相关产品推荐更多 >
万千商家帮你免费找货
0 人在求购买到急需产品
- 详细信息
- 技术资料
- 供应商:
上海联迈生物工程有限公司
- 库存:
大量
- 目录编号:
LM-1175R
- 克隆性:
多克隆
- 抗原来源:
Rabbit
- 保质期:
1年
- 抗体英文名:
SHBG
- 抗体名:
性激素结合球蛋白抗体
- 宿主:
Rabbit
- 适应物种:
Human, Mouse, Rat, Dog, Cow, Rabbit,
- 免疫原:
KLH conjugated synthetic peptide derived from human SHBG:301-402/402
- 亚型:
IgG
- 形态:
Lyophilized or Liquid
- 应用范围:
WB=1:500-2000 ELISA=1:500-1000 IHC-P=1:400-800 IHC-F=1:400-800 IF=1:100-500 (石蜡切片需做抗原修复)
- 浓度:
1mg/ml
- 保存条件:
Store at -20 °C
- 规格:
50ul 100ul 200ul
SHBG性激素结合球蛋白抗体
| 英文名称 | SHBG |
| 中文名称 | 性激素结合球蛋白抗体 |
| 别 名 | Sex Hormone Binding Globulin; ABP; Androgen binding protein; MGC126834; MGC138391; SBP; Sex steroid binding protein; SHBG; TEBG; Testis specific androgen binding protein; Testosterone binding beta globulin; Testosterone Estradiol Binding Globulin; Testosterone estrogen binding globulin; SHBG_HUMAN; Sex hormone-binding globulin; Sex steroid-binding protein; Testis-specific androgen-binding protein; Testosterone-estradiol-binding globulin; TeBG; Testosterone-estrogen-binding globulin. |
| 规格价格 | 50ul/780元 购买 100ul/1380元 购买 200ul/2200元 购买 大包装/询价 |
| 说 明 书 | 50ul 100ul 200ul |
| 研究领域 | 肿瘤 生长因子和激素 结合蛋白 |
| 抗体来源 | Rabbit |
| 克隆类型 | Polyclonal |
| 交叉反应 | Human, Mouse, Rat, Dog, Cow, Rabbit, |
| 产品应用 | WB=1:500-2000 ELISA=1:500-1000 IHC-P=1:400-800 IHC-F=1:400-800 IF=1:100-500 (石蜡切片需做抗原修复) not yet tested in other applications. optimal dilutions/concentrations should be determined by the end user. |
| 分 子 量 | 44kDa |
| 细胞定位 | 分泌型蛋白 |
| 性 状 | Lyophilized or Liquid |
| 浓 度 | 1mg/ml |
| 免 疫 原 | KLH conjugated synthetic peptide derived from human SHBG:301-402/402 |
| 亚 型 | IgG |
| 纯化方法 | affinity purified by Protein A |
| 储 存 液 | 0.01M TBS(pH7.4) with 1% BSA, 0.03% Proclin300 and 50% Glycerol. |
| 保存条件 | Store at -20 °C for one year. Avoid repeated freeze/thaw cycles. The lyophilized antibody is stable at room temperature for at least one month and for greater than a year when kept at -20°C. When reconstituted in sterile pH 7.4 0.01M PBS or diluent of antibody the antibody is stable for at least two weeks at 2-4 °C. |
| PubMed | PubMed |
| 产品介绍 | background: Sex hormone binding globulin (SHBG) is a glycoprotein synthesized by the liver. Circulating androgen and estrogen concentrations influence SHBG synthesis. Elevated testosterone, for example, causes SHBG synthesis to decrease, whereas high estrogen stimulates SHBG production. The regulation of SHBG synthesis, combined with SHBG's higher affinity for testosterone, impacts bioavailable testosterone levels. SHBG binds up to 98 percent of the steroid hormones in the blood including 5a-dihydrotestosterone (DHT), testosterone and androstenediol with particularly high affinity, and estradiol and estrone with slightly lower affinity. Function: Functions as an androgen transport protein, but may also be involved in receptor mediated processes. Each dimer binds one molecule of steroid. Specific for 5-alpha-dihydrotestosterone, testosterone, and 17-beta-estradiol. Regulates the plasma metabolic clearance rate of steroid hormones by controlling their plasma concentration. Subunit: Homodimer. Subcellular Location: Secreted . Note=In testis, it is synthesized by the Sertoli cells, secreted into the lumen of the seminiferous tubule and transported to the epididymis. Tissue Specificity: Isoform 1 and isoform 2 are present in liver and testis. Post-translational modifications: Variant Asn-356 contains one N-linked (GlcNAc...) at position 356. Similarity: Contains 2 laminin G-like domains. SWISS: P04278 Gene ID: 6462 Database links: Entrez Gene: 404182 Cow Entrez Gene: 6462 Human Omim: 182205 Human SwissProt: P04278 Human Unigene: 632235 Human Important Note: This product as supplied is intended for research use only, not for use in human, therapeutic or diagnostic applications. 性激素结合球蛋白(SHBG),又称睾酮—雌二醇结合球蛋白。 SHBG是一运输性激素的载体,它在性激素人作用过程中以及在各种生理病理情况下都有一定的变化和意义。 SHBG是由母体肝脏产生的循环类固醇类结合球蛋白,执行载体蛋白的功能,胰岛素是肝脏合成SHBG的强大的抑制因子,胰岛素抑制效应的主要作用点在于竞争性刺激肝脏SHBG的产生,因而SHBG减少是高胰岛素血症、胰岛素抵抗的标志。 |
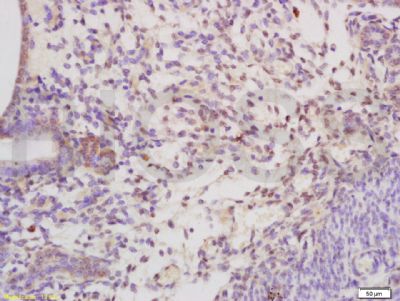
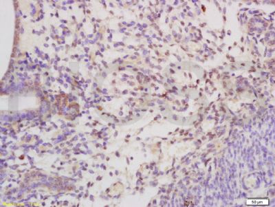
| 产品图片 | ![]() Sample: Lane1: Testis (Mouse) Lysate at 30 ug Lane2: Liver (Mouse) Lysate at 30 ug Primary: Anti-SHBG(bs-1175R) at 1:200 dilution; Secondary: HRP conjugated Goat Anti-Rabbit IgG(bs-0295G-HRP) at 1: 3000 dilution; Predicted band size : 44kD Observed band size : 44kD ![]() Tissue/cell: rat uterus tissue; 4% Paraformaldehyde-fixed and paraffin-embedded; Antigen retrieval: citrate buffer ( 0.01M, pH 6.0 ), Boiling bathing for 15min; Block endogenous peroxidase by 3% Hydrogen peroxide for 30min; Blocking buffer (normal goat serum,C-0005) at 37℃ for 20 min; Incubation: Anti-SHBG Polyclonal Antibody, Unconjugated(bs-1175R) 1:200, overnight at 4°C, followed by conjugation to the secondary antibody(SP-0023) and DAB(C-0010) staining |
风险提示:丁香通仅作为第三方平台,为商家信息发布提供平台空间。用户咨询产品时请注意保护个人信息及财产安全,合理判断,谨慎选购商品,商家和用户对交易行为负责。对于医疗器械类产品,请先查证核实企业经营资质和医疗器械产品注册证情况。
技术资料暂无技术资料 索取技术资料
SHBG性激素结合球蛋白抗体
¥780 - 2200










