相关产品推荐更多 >
万千商家帮你免费找货
0 人在求购买到急需产品
- 详细信息
- 文献和实验
- 技术资料
- 供应商:
上海联迈生物工程有限公司
- 库存:
大量
- 目录编号:
LM-7403R
- 克隆性:
多克隆
- 抗原来源:
Rabbit
- 保质期:
1年
- 抗体英文名:
Histone H4 (tri methyl K20)
- 抗体名:
组蛋白H4(三甲基K20)抗体
- 宿主:
Rabbit
- 适应物种:
Human, Mouse, Rat, Cow,
- 免疫原:
KLH conjugated Synthesised methylpeptide derived from human Histone H4 around the methylation site of tri methyl K20:HR(tri methyl K)VL
- 亚型:
IgG
- 形态:
Lyophilized or Liquid
- 应用范围:
WB=1:500-2000 ELISA=1:500-1000 IHC-P=1:400-800 IHC-F=1:400-800 ICC=1:100-500 IF=1:100-500 (石蜡切片需做抗原修复)
- 浓度:
1mg/ml
- 保存条件:
Store at -20 °C
- 规格:
100ul
| 英文名称 | Histone H4 (tri methyl K20) |
| 中文名称 | 组蛋白H4(三甲基K20)抗体 |
| 别 名 | H4F2; H4FN; HIST1H4; HIST2H4; HISTH4H4; methyl histone H4; histone H4; H4_HUMAN; Osteogenic growth peptide; OGP.Histone H3/l. |
| 规格价格 | 100ul/1580元 购买 大包装/询价 |
| 说 明 书 | 100ul |
| 产品类型 | 甲基化抗体 |
| 研究领域 | 肿瘤 细胞生物 表观遗传学 |
| 抗体来源 | Rabbit |
| 克隆类型 | Polyclonal |
| 交叉反应 | Human, Mouse, Rat, Cow, |
| 产品应用 | WB=1:500-2000 ELISA=1:500-1000 IHC-P=1:400-800 IHC-F=1:400-800 ICC=1:100-500 IF=1:100-500 (石蜡切片需做抗原修复) not yet tested in other applications. optimal dilutions/concentrations should be determined by the end user. |
| 分 子 量 | 11kDa |
| 细胞定位 | 细胞核 |
| 性 状 | Lyophilized or Liquid |
| 浓 度 | 1mg/ml |
| 免 疫 原 | KLH conjugated Synthesised methylpeptide derived from human Histone H4 around the methylation site of tri methyl K20:HR(tri methyl K)VL |
| 亚 型 | IgG |
| 纯化方法 | affinity purified by Protein A |
| 储 存 液 | 0.01M TBS(pH7.4) with 1% BSA, 0.03% Proclin300 and 50% Glycerol. |
| 保存条件 | Store at -20 °C for one year. Avoid repeated freeze/thaw cycles. The lyophilized antibody is stable at room temperature for at least one month and for greater than a year when kept at -20°C. When reconstituted in sterile pH 7.4 0.01M PBS or diluent of antibody the antibody is stable for at least two weeks at 2-4 °C. |
| PubMed | PubMed |
| 产品介绍 | background: Histones are basic nuclear proteins that are responsible for the nucleosome structure of the chromosomal fiber in eukaryotes. Nucleosomes consist of approximately 146 bp of DNA wrapped around a histone octamer composed of pairs of each of the four core histones (H2A, H2B, H3, and H4). The chromatin fiber is further compacted through the interaction of a linker histone, H1, with the DNA between the nucleosomes to form higher order chromatin structures. This gene is intronless and encodes a member of the histone H4 family. Transcripts from this gene lack polyA tails; instead, they contain a palindromic termination element. [provided by RefSeq, Jul 2008] Function: Core component of nucleosome. Nucleosomes wrap and compact DNA into chromatin, limiting DNA accessibility to the cellular machineries which require DNA as a template. Histones thereby play a central role in transcription regulation, DNA repair, DNA replication and chromosomal stability. DNA accessibility is regulated via a complex set of post-translational modifications of histones, also called histone code, and nucleosome remodeling. Subunit: The nucleosome is a histone octamer containing two molecules each of H2A, H2B, H3 and H4 assembled in one H3-H4 heterotetramer and two H2A-H2B heterodimers. The octamer wraps approximately 147 bp of DNA. Subcellular Location: Nucleus. Chromosome. Post-translational modifications: Acetylation at Lys-6 (H4K5ac), Lys-9 (H4K8ac), Lys-13 (H4K12ac) and Lys-17 (H4K16ac) occurs in coding regions of the genome but not in heterochromatin. Citrullination at Arg-4 (H4R3ci) by PADI4 impairs methylation. Similarity: Belongs to the histone H4 family. SWISS: P02304 Gene ID: 121504 Database links: Entrez Gene: 121504 Human Entrez Gene: 554313 Human Entrez Gene: 8294 Human Entrez Gene: 8359 Human Entrez Gene: 8360 Human Entrez Gene: 8361 Human Entrez Gene: 8362 Human Entrez Gene: 8363 Human Entrez Gene: 8364 Human Entrez Gene: 8365 Human Entrez Gene: 8366 Human Entrez Gene: 8367 Human Entrez Gene: 8368 Human Entrez Gene: 8370 Human Entrez Gene: 100041230 Mouse Entrez Gene: 100862646 Mouse Entrez Gene: 319155 Mouse Entrez Gene: 319156 Mouse Entrez Gene: 319157 Mouse Entrez Gene: 319158 Mouse Entrez Gene: 319159 Mouse Entrez Gene: 319160 Mouse Entrez Gene: 319161 Mouse Entrez Gene: 320332 Mouse Entrez Gene: 326619 Mouse Entrez Gene: 326620 Mouse Entrez Gene: 69386 Mouse Entrez Gene: 97122 Mouse GenBank: NM_003548 Human Omim: 142750 Human SwissProt: P84040 Fruit fly (Drosophila melanogaster) SwissProt: P02304 Human SwissProt: P62805 Human SwissProt: P02304 Mouse SwissProt: P62806 Mouse SwissProt: P02304 Rat SwissProt: P09322 Schizosaccharomyces pombe Unigene: 21500 Fruit fly (Drosophila melanogaster) Unigene: 29514 Fruit fly (Drosophila melanogaster) Unigene: 29527 Fruit fly (Drosophila melanogaster) Unigene: 30219 Fruit fly (Drosophila melanogaster) Unigene: 30220 Fruit fly (Drosophila melanogaster) Unigene: 30221 Fruit fly (Drosophila melanogaster) Unigene: 30223 Fruit fly (Drosophila melanogaster) Unigene: 30868 Fruit fly (Drosophila melanogaster) Unigene: 30869 Fruit fly (Drosophila melanogaster) Unigene: 30871 Fruit fly (Drosophila melanogaster) Unigene: 30872 Fruit fly (Drosophila melanogaster) Unigene: 30873 Fruit fly (Drosophila melanogaster) Unigene: 30876 Fruit fly (Drosophila melanogaster) Unigene: 33873 Fruit fly (Drosophila melanogaster) Unigene: 5747 Fruit fly (Drosophila melanogaster) Unigene: 143080 Human Unigene: 247816 Human Unigene: 248172 Human Unigene: 248178 Human Unigene: 248179 Human Unigene: 278483 Human Unigene: 352191 Human Unigene: 46423 Human Unigene: 528055 Human Unigene: 533295 Human Unigene: 55468 Human Unigene: 591790 Human Unigene: 655235 Human Unigene: 662174 Human Unigene: 706635 Human Unigene: 742244 Human Unigene: 14775 Mouse Unigene: 158272 Mouse Unigene: 227295 Mouse Unigene: 228709 Mouse Unigene: 246720 Mouse Unigene: 255646 Mouse Unigene: 260530 Mouse Unigene: 261642 Mouse Unigene: 261662 Mouse Unigene: 261664 Mouse Unigene: 377875 Mouse Unigene: 442307 Mouse Unigene: 486099 Mouse Unigene: 489077 Mouse Important Note: This product as supplied is intended for research use only, not for use in human, therapeutic or diagnostic applications. |
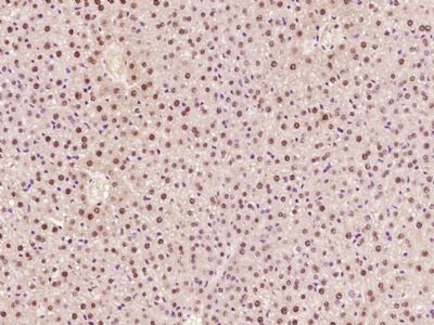
| 产品图片 | ![]() Paraformaldehyde-fixed, paraffin embedded (Mouse liver); Antigen retrieval by boiling in sodium citrate buffer (pH6.0) for 15min; Block endogenous peroxidase by 3% hydrogen peroxide for 20 minutes; Blocking buffer (normal goat serum) at 37°C for 30min; Antibody incubation with (Histone H4 (tri methyl K20)) Polyclonal Antibody, Unconjugated (bs-7403R) at 1:400 overnight at 4°C, followed by operating according to SP Kit(Rabbit) (sp-0023) instructionsand DAB staining. |
风险提示:丁香通仅作为第三方平台,为商家信息发布提供平台空间。用户咨询产品时请注意保护个人信息及财产安全,合理判断,谨慎选购商品,商家和用户对交易行为负责。对于医疗器械类产品,请先查证核实企业经营资质和医疗器械产品注册证情况。
文献和实验Strain Construction and Screening Methods for a Yeast Histone H3/H4 Mutant Library
A mutant library consisting of hundreds of designed point and deletion mutants in the genes encoding Saccharomyces cerevisiae histones H3 and H4 is described. Incorporation of this library into a suitably engineered yeast strain (e.g
物 Mediator 与 Spliceosome(双龙)调控 RNA(火珠)可变剪接。主页链接http://www.cell.com/molecular-cell/fulltext/S1097-2765(11)00998-103 画龙点睛还记得画龙点睛的神来之笔吗?动粒组装的关键(点睛)之处在于,组蛋白 H4 的 20 位赖氨酸的特定修饰 H4K20me1。主页链接http://www.cell.com/developmental-cell/fulltext/S1534-5807(14)00281-004 龙凤
Histone Acetylation and Deacetylation
transcription (1 ,2 ). DNA is packaged into chromatin, a highly organized and dynamic protein-DNA complex. The fundamental subunit of chromatin, the nucleosome, is composed of an octomer of four core histones, an H3/H4 tetramer and two H2A/H2B dimers, surrounded
技术资料暂无技术资料 索取技术资料











