相关产品推荐更多 >
万千商家帮你免费找货
0 人在求购买到急需产品
- 详细信息
- 文献和实验
- 技术资料
- 供应商:
上海康朗生物科技有限公司
- 库存:
大量
- 目录编号:
kl-4114R
- 克隆性:
多克隆
- 抗原来源:
Rabbit
- 保质期:
12个月
- 抗体英文名:
IKBKE/IKKi/IKKe antibody
- 抗体名:
核因子κB抑制蛋白E抗体
- 宿主:
Rabbit
- 适应物种:
Human, Mouse, Rat, Cow,
- 免疫原:
KLH conjugated synthetic peptide derived from human IKBKE (534-583):501-600/716
- 亚型:
IgG
- 形态:
冻干粉或液体
- 应用范围:
WB=1:500-2000 ELISA=1:500-1000 IHC-P=1:400-800 IHC-F=1:400-800 IF=1:100-500
- 浓度:
1mg/ml
- 保存条件:
-20 °C
- 规格:
100ul 200ul
| 中文名称 | 核因子κB抑制蛋白E抗体 |
| 别 名 | IKKi/IKKe; I kappa B kinase epsilon; IkBKE; IKBKE protein; IKK E; IKK i; IKK-i; IKK related kinase epsilon; IKKE; IKK-E; IKKepsilon; IKKI; Inducible I kappa B kinase; inducible IkappaB kinase; Inhibitor of kappa light polypeptide gene enhancer in B cells kinase epsilon; Inhibitor of nuclear factor kappa B kinase subunit epsilon; KIAA0151; MGC125294; MGC125295; MGC125297; IKKE_HUMAN; I-kappa-B kinase epsilon; IKK-epsilon; Inducible I kappa-B kinase. |
| 规格价格 | 100ul/1380元 购买 200ul/2200元 购买 大包装/询价 |
| 说 明 书 | 100ul 200ul |
| 研究领域 | 肿瘤 免疫学 染色质和核信号 信号转导 激酶和磷酸酶 |
| 抗体来源 | Rabbit |
| 克隆类型 | Polyclonal |
| 交叉反应 | Human, Mouse, Rat, Cow, |
| 产品应用 | WB=1:500-2000 ELISA=1:500-1000 IHC-P=1:400-800 IHC-F=1:400-800 IF=1:100-500 (石蜡切片需做抗原修复) not yet tested in other applications. optimal dilutions/concentrations should be determined by the end user. |
| 分 子 量 | 79kDa |
| 细胞定位 | 细胞核 细胞浆 |
| 性 状 | Lyophilized or Liquid |
| 浓 度 | 1mg/ml |
| 免 疫 原 | KLH conjugated synthetic peptide derived from human IKBKE (534-583):501-600/716 |
| 亚 型 | IgG |
| 纯化方法 | affinity purified by Protein A |
| 储 存 液 | 0.01M TBS(pH7.4) with 1% BSA, 0.03% Proclin300 and 50% Glycerol. |
| 保存条件 | Store at -20 °C for one year. Avoid repeated freeze/thaw cycles. The lyophilized antibody is stable at room temperature for at least one month and for greater than a year when kept at -20°C. When reconstituted in sterile pH 7.4 0.01M PBS or diluent of antibody the antibody is stable for at least two weeks at 2-4 °C. |
| PubMed | PubMed |
| 产品介绍 | background: IKBKE is a noncanonical I-kappa-B (see MIM 164008) kinase (IKK) that is essential for regulating antiviral signaling pathways. IKBKE has also been identified as a breast cancer (MIM 114480) oncogene and is amplified and overexpressed in over 30% of breast carcinomas and breast cancer cell lines (Hutti et al., 2009 [PubMed 19481526]).[supplied by OMIM, Oct 2009]. Function: Phosphorylates inhibitors of NF-kappa-B thus leading to the dissociation of the inhibitor/NF-kappa-B complex and ultimately the degradation of the inhibitor. May play a special role in the immune response. Protects cells against DNA damage-induced cell death. Subunit: May interact with MAVS/IPS1. Interacts with AZI2. Interacts with SIKE1. Interacts with TICAM1/TRIF, IRF3 and DDX58/RIG-I, interactions are disrupted by the interaction between IKBKE and SIKE1. Interacts with TOPORS; induced by DNA damage. Interacts with CYLD. Subcellular Location: Cytoplasm. Nucleus. Nucleus, PML body. Tissue Specificity: Highly expressed in spleen followed by thymus, peripheral blood leukocytes, pancreas, placenta. Weakly expressed in lung, kidney, prostate, ovary and colon. Post-translational modifications: Autophosphorylated and phosphorylated by IKBKB/IKKB. Sumoylation by TOPORS upon DNA damage is required for protection of cells against DNA damage-induced cell death. Desumoylated by SENP1. Similarity: Belongs to the protein kinase superfamily. Ser/Thr protein kinase family. I-kappa-B kinase subfamily. Contains 1 protein kinase domain. SWISS: Q14164 Gene ID: 9641 Database links: Entrez Gene: 9641 Human Omim: 605048 Human SwissProt: Q14164 Human Unigene: 321045 Human Important Note: This product as supplied is intended for research use only, not for use in human, therapeutic or diagnostic applications. I kappa B kinase epsilon(IKKe)也是丝氨酸/苏氨酸蛋白激酶家族.可以磷酸化IkB,从而激活NF-kB通路,促进NF-kB核移位,并最终降解NF-kB的抑制剂. IKKe可表达在很多组织细胞中;胸腺、胰腺、脾、胎盘、外周血白细胞,也可少量表达在肺、肾、前列腺癌、卵巢、结肠。但最多表达在乳腺肿瘤上,IKBKE在人类乳腺癌中明显高表达,这种新的乳腺癌易感基因在肿瘤的形成和发展中起着及其关键的作用。IKBKE蛋白不同于乳腺癌易感基因BRCA1和BRCA2,是先天具有的。带有这些遗传变异的这些基因的女性会增加早发乳腺癌的风险。 |
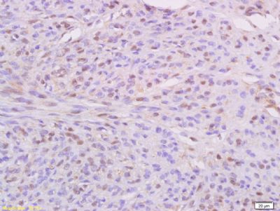
| 产品图片 | ![]() Tissue/cell: human cervical carcinoma; 4% Paraformaldehyde-fixed and paraffin-embedded; Antigen retrieval: citrate buffer ( 0.01M, pH 6.0 ), Boiling bathing for 15min; Block endogenous peroxidase by 3% Hydrogen peroxide for 30min; Blocking buffer (normal goat serum,C-0005) at 37℃ for 20 min; Incubation: Anti-IKBKE/IKKi Polyclonal Antibody, Unconjugated(bs-4114R) 1:200, overnight at 4°C, followed by conjugation to the secondary antibody(SP-0023) and DAB(C-0010) staining |
风险提示:丁香通仅作为第三方平台,为商家信息发布提供平台空间。用户咨询产品时请注意保护个人信息及财产安全,合理判断,谨慎选购商品,商家和用户对交易行为负责。对于医疗器械类产品,请先查证核实企业经营资质和医疗器械产品注册证情况。
文献和实验Generation of Antibody Molecules Through Antibody Engineering
been overcome to a large extent using genetic-engineering techniques to produce chimeric mouse/human and completely human antibodies. Such an approach is particularly suitable because of the domain structure of the antibody molecule ( 2 ), where functional
The importance of antibody molecules was first recognized in the 1890s, when it was shown that immunity to tetanus and diphtheria was caused by antibodies against the bacterial exotoxins (1 ). Around the same time, it was shown that antisera
General comments: Antibodies, like most proteins, do not like to be freeze-thawed. Avoid repetitive freezing of your solution. The best way to store your antibody is to keep a high protein concentration (>1 mg/ml), add some protease
技术资料暂无技术资料 索取技术资料











