相关产品推荐更多 >
万千商家帮你免费找货
0 人在求购买到急需产品
- 详细信息
- 文献和实验
- 技术资料
- 供应商:
上海康朗生物科技有限公司
- 库存:
大量
- 目录编号:
kl-3787R
- 克隆性:
多克隆
- 抗原来源:
Rabbit
- 保质期:
12个月
- 抗体英文名:
SCD1 antibody
- 抗体名:
固醇酰辅酶A脱氢酶1抗体
- 宿主:
Rabbit
- 适应物种:
Human, Mouse, Rat, Dog, Pig, Cow, Rabbit, Sheep,
- 免疫原:
KLH conjugated synthetic peptide derived from human SCD1:265-359/359
- 亚型:
IgG
- 形态:
冻干粉或液体
- 应用范围:
ELISA=1:500-1000 IHC-P=1:400-800 IHC-F=1:400-800 IF=1:100-500
- 浓度:
1mg/ml
- 保存条件:
-20 °C
- 规格:
50ul 100ul 200ul
| 中文名称 | 固醇酰辅酶A脱氢酶1抗体 |
| 别 名 | ACOD_HUMAN; Acyl-CoA desaturase; Delta(9)-desaturase; Delta-9 desaturase; Delta-9-Desaturase; FADS5; Fatty acid desaturase; PRO0998; SCD 1; SCD; SCD1; Stearoyl-CoA Desaturase. |
| 规格价格 | 50ul/780元 购买 100ul/1380元 购买 200ul/2200元 购买 大包装/询价 |
| 说 明 书 | 50ul 100ul 200ul |
| 研究领域 | 肿瘤 心血管 免疫学 信号转导 合成与降解 脂蛋白 新陈代谢 |
| 抗体来源 | Rabbit |
| 克隆类型 | Polyclonal |
| 交叉反应 | Human, Mouse, Rat, Dog, Pig, Cow, Rabbit, Sheep, |
| 产品应用 | ELISA=1:500-1000 IHC-P=1:400-800 IHC-F=1:400-800 IF=1:100-500 (石蜡切片需做抗原修复) not yet tested in other applications. optimal dilutions/concentrations should be determined by the end user. |
| 分 子 量 | 41kDa |
| 细胞定位 | 细胞浆 细胞膜 |
| 性 状 | Lyophilized or Liquid |
| 浓 度 | 1mg/ml |
| 免 疫 原 | KLH conjugated synthetic peptide derived from human SCD1:265-359/359 |
| 亚 型 | IgG |
| 纯化方法 | affinity purified by Protein A |
| 储 存 液 | 0.01M TBS(pH7.4) with 1% BSA, 0.03% Proclin300 and 50% Glycerol. |
| 保存条件 | Store at -20 °C for one year. Avoid repeated freeze/thaw cycles. The lyophilized antibody is stable at room temperature for at least one month and for greater than a year when kept at -20°C. When reconstituted in sterile pH 7.4 0.01M PBS or diluent of antibody the antibody is stable for at least two weeks at 2-4 °C. |
| PubMed | PubMed |
| 产品介绍 | background: Stearoyl-CoA desaturase (SCD) is a regulatory enzyme in lipogenesis. The SCD1 gene is tightly regulated by signals such as insulin, leptin, carbohydrate, fatty acids and temperature. The enzyme is constitutively expressed in adipose tissue and is induced in liver in response to a fat free, high carbohydrate diet. SCD1 expression is higher in female than male mouse. The repression of RNA levels and enzyme activity of hepatic SCD1 by Leptin has been shown to significantly reduce the triglyceride storage, VLDL production and therefore an increase in fatty acid oxidation. Inhibition of SCD1 could be of benefit for treatment of obesity, hepatic steatosis and other metabolic disorders. Function: Terminal component of the liver microsomal stearyl-CoA desaturase system, that utilizes O(2) and electrons from reduced cytochrome b5 to catalyze the insertion of a double bond into a spectrum of fatty acyl-CoA substrates including palmitoyl-CoA and stearoyl-CoA. Subcellular Location: Endoplasmic reticulum membrane; Multi-pass membrane protein (Probable). Similarity: Belongs to the fatty acid desaturase family. SWISS: O00767 Gene ID: 6319 Database links: Entrez Gene: 6319 Human Entrez Gene: 20249 Mouse Entrez Gene: 83792 Rat Omim: 604031 Human SwissProt: O00767 Human SwissProt: P13516 Mouse SwissProt: P07308 Rat Unigene: 558396 Human Unigene: 597496 Human Important Note: This product as supplied is intended for research use only, not for use in human, therapeutic or diagnostic applications. 固醇酰辅酶A脱氢酶1(SCD1)是催化细胞中饱和脂肪酸(SFA)转化为单不饱和脂肪酸(MUFA)的限速酶,在调控脂肪酸代谢、维持能量平衡、调节胰岛素敏感性及衰老等方面都发挥着重要作用,近来在肥胖、激素调节、对瘦素的作用等研究受到了重视。 |
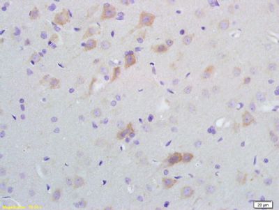
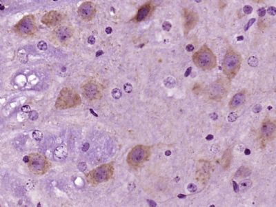
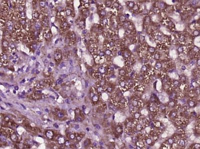
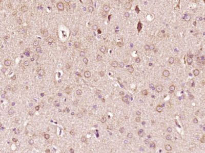
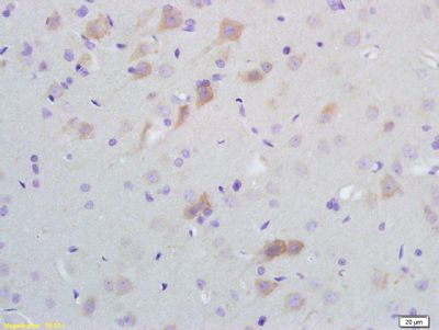
| 产品图片 | ![]() Sample:Lung (Rat) Lysate at 40 ug Primary: Anti- SCD1 (bs-3787R) at 1/300 dilution Secondary: HRP conjugated Goat-Anti-rabbit IgG (bs-0295G-HRP) at 1/5000 dilution Predicted band size: 41 kD Observed band size: 55 kD ![]() Paraformaldehyde-fixed, paraffin embedded (Mouse brain); Antigen retrieval by boiling in sodium citrate buffer (pH6.0) for 15min; Block endogenous peroxidase by 3% hydrogen peroxide for 20 minutes; Blocking buffer (normal goat serum) at 37°C for 30min; Antibody incubation with (SCD1) Polyclonal Antibody, Unconjugated (bs-3787R) at 1:400 overnight at 4°C, followed by operating according to SP Kit(Rabbit) (sp-0023) instructionsand DAB staining. ![]() Paraformaldehyde-fixed, paraffin embedded (Human liver cancer); Antigen retrieval by boiling in sodium citrate buffer (pH6.0) for 15min; Block endogenous peroxidase by 3% hydrogen peroxide for 20 minutes; Blocking buffer (normal goat serum) at 37°C for 30min; Antibody incubation with (SCD1) Polyclonal Antibody, Unconjugated (bs-3787R) at 1:400 overnight at 4°C, followed by operating according to SP Kit(Rabbit) (sp-0023) instructionsand DAB staining. ![]() Paraformaldehyde-fixed, paraffin embedded (Rat brain); Antigen retrieval by boiling in sodium citrate buffer (pH6.0) for 15min; Block endogenous peroxidase by 3% hydrogen peroxide for 20 minutes; Blocking buffer (normal goat serum) at 37°C for 30min; Antibody incubation with (SCD1) Polyclonal Antibody, Unconjugated (bs-3787R) at 1:500 overnight at 4°C, followed by a conjugated secondary (sp-0023) for 20 minutes and DAB staining. ![]() Tissue/cell: rat brain tissue; 4% Paraformaldehyde-fixed and paraffin-embedded; Antigen retrieval: citrate buffer ( 0.01M, pH 6.0 ), Boiling bathing for 15min; Block endogenous peroxidase by 3% Hydrogen peroxide for 30min; Blocking buffer (normal goat serum,C-0005) at 37℃ for 20 min; Incubation: Anti-SCD1 Polyclonal Antibody, Unconjugated(bs-3787R) 1:200, overnight at 4°C, followed by conjugation to the secondary antibody(SP-0023) and DAB(C-0010) staining |
风险提示:丁香通仅作为第三方平台,为商家信息发布提供平台空间。用户咨询产品时请注意保护个人信息及财产安全,合理判断,谨慎选购商品,商家和用户对交易行为负责。对于医疗器械类产品,请先查证核实企业经营资质和医疗器械产品注册证情况。
文献和实验Generation of Antibody Molecules Through Antibody Engineering
been overcome to a large extent using genetic-engineering techniques to produce chimeric mouse/human and completely human antibodies. Such an approach is particularly suitable because of the domain structure of the antibody molecule ( 2 ), where functional
The importance of antibody molecules was first recognized in the 1890s, when it was shown that immunity to tetanus and diphtheria was caused by antibodies against the bacterial exotoxins (1 ). Around the same time, it was shown that antisera
General comments: Antibodies, like most proteins, do not like to be freeze-thawed. Avoid repetitive freezing of your solution. The best way to store your antibody is to keep a high protein concentration (>1 mg/ml), add some protease
技术资料暂无技术资料 索取技术资料















