相关产品推荐更多 >
万千商家帮你免费找货
0 人在求购买到急需产品
- 详细信息
- 文献和实验
- 技术资料
- 供应商:
上海联迈生物工程有限公司
- 库存:
大量
- 目录编号:
LM-11660R
- 克隆性:
多克隆
- 抗原来源:
Rabbit
- 保质期:
1年
- 抗体英文名:
Gbx1
- 抗体名:
肠和大脑特定同源蛋白1抗体
- 宿主:
Rabbit
- 适应物种:
Human, Mouse, Rat, Chicken, Dog, Pig, Rabbit, Zebrafish, Sheep, Fruit Fly, Chimpanzee, mpanzee,
- 免疫原:
KLH conjugated synthetic peptide derived from human Gbx1 (201-300aa):201-300/363
- 亚型:
IgG
- 形态:
Lyophilized or Liquid
- 应用范围:
ELISA=1:500-1000 IHC-P=1:400-800 IHC-F=1:400-800 Flow-Cyt=1μg/Test ICC=1:100-500 IF=1:100-500 (石蜡切片需做抗原修复)
- 浓度:
1mg/ml
- 保存条件:
Store at -20 °C
- 规格:
100ul 200ul
| 英文名称 | Gbx1 |
| 中文名称 | 肠和大脑特定同源蛋白1抗体 |
| 别 名 | Gastrulation and brain specific homeobox protein 1; Gastrulation and brain-specific homeobox protein 1; Gastrulation brain homeo box 1; Gastrulation brain homeobox 1; Gbx1; GBX1_HUMAN; Homeobox protein GBX-1; Homeobox protein GBX1. |
| 规格价格 | 100ul/1380元 购买 200ul/2200元 购买 大包装/询价 |
| 说 明 书 | 100ul 200ul |
| 研究领域 | 肿瘤 染色质和核信号 神经生物学 信号转导 Alzheimer's |
| 抗体来源 | Rabbit |
| 克隆类型 | Polyclonal |
| 交叉反应 | Human, Mouse, Rat, Chicken, Dog, Pig, Rabbit, Zebrafish, Sheep, Fruit Fly, Chimpanzee, mpanzee, |
| 产品应用 | ELISA=1:500-1000 IHC-P=1:400-800 IHC-F=1:400-800 Flow-Cyt=1μg/Test ICC=1:100-500 IF=1:100-500 (石蜡切片需做抗原修复) not yet tested in other applications. optimal dilutions/concentrations should be determined by the end user. |
| 分 子 量 | 38kDa |
| 细胞定位 | 细胞核 |
| 性 状 | Lyophilized or Liquid |
| 浓 度 | 1mg/ml |
| 免 疫 原 | KLH conjugated synthetic peptide derived from human Gbx1 (201-300aa):201-300/363 |
| 亚 型 | IgG |
| 纯化方法 | affinity purified by Protein A |
| 储 存 液 | 0.01M TBS(pH7.4) with 1% BSA, 0.03% Proclin300 and 50% Glycerol. |
| 保存条件 | Store at -20 °C for one year. Avoid repeated freeze/thaw cycles. The lyophilized antibody is stable at room temperature for at least one month and for greater than a year when kept at -20°C. When reconstituted in sterile pH 7.4 0.01M PBS or diluent of antibody the antibody is stable for at least two weeks at 2-4 °C. |
| PubMed | PubMed |
| 产品介绍 | background: The homeobox is DNA sequence that is approximately 180 base pairs long that is involved in all steps of the developmental regulation of animals, fungi and plants, from embryogenesis to cell differentiation. The homeobox encodes a protein domain of about 60 amino acids, called the homeodomain, that can bind to DNA. The gastrulation brain homeobox 1 (GBX1) gene, along with another homeobox gene (EN2), maps to chromosome 7q36, and is expressed in septal and pallidal areas and in the basal forebrain cholinergic system, an area implicated in Alzheimer’s disease. The GBX1 gene encodes the GBX1 protein, which localizes to the nucleus and contains 1 homeobox DNA-binding domain. Subcellular Location: Nucleus. Similarity: Contains 1 homeobox DNA-binding domain. SWISS: Q14549 Gene ID: 2636 Database links: Entrez Gene: 2636 Human Entrez Gene: 231044 Mouse Entrez Gene: 246149 Rat Omim: 603354 Human SwissProt: Q14549 Human SwissProt: P82976 Mouse Unigene: 647114 Human Unigene: 246596 Mouse Unigene: 92432 Rat Important Note: This product as supplied is intended for research use only, not for use in human, therapeutic or diagnostic applications. |
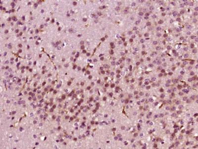
| 产品图片 |
Paraformaldehyde-fixed, paraffin embedded (Mouse brain); Antigen retrieval by boiling in sodium citrate buffer (pH6.0) for 15min; Block endogenous peroxidase by 3% hydrogen peroxide for 20 minutes; Blocking buffer (normal goat serum) at 37°C for 30min; Antibody incubation with (Gbx1) Polyclonal Antibody, Unconjugated (bs-11660R) at 1:400 overnight at 4°C, followed by operating according to SP Kit(Rabbit) (sp-0023) instructionsand DAB staining.
Blank control(blue): RSC96(fixed with 2% paraformaldehyde (10 min) and then permeabilized with ice-cold 90% methanol for 30 min on ice).
Primary Antibody:Rabbit Anti-Gbx1 antibody(bs-11660R), Dilution: 1μg in 100 μL 1X PBS containing 0.5% BSA; Isotype Control Antibody: Rabbit IgG(orange) ,used under the same conditions ); Secondary Antibody: Goat anti-rabbit IgG-PE(white blue), Dilution: 1:200 in 1 X PBS containing 0.5% BSA. |
风险提示:丁香通仅作为第三方平台,为商家信息发布提供平台空间。用户咨询产品时请注意保护个人信息及财产安全,合理判断,谨慎选购商品,商家和用户对交易行为负责。对于医疗器械类产品,请先查证核实企业经营资质和医疗器械产品注册证情况。
文献和实验4、Sox2、Klf4和c—Myc)在皮肤成纤维细胞中基本不表达或表达水平很低。脂肪干细胞内两种转录因子的表达水平高于皮肤成纤维细胞,这表明,在初始状态下,脂肪干细胞更容易被诱导。利用脂肪干细胞诱导的iPS细胞能够分化成人体内的神经细胞、肌肉细胞以及肠上皮细胞等。此外,利用脂肪干细胞培养iPS细胞不需要饲养细胞,这无疑提高了其安全性。因hASCs为iPS细胞提供了更好的体细胞来源,将来当iPS细胞应用于临床治疗时,可选择适当的供体细胞种类,既保证了较高的诱导效率也提高iPS细胞的安全性。4. iPS
、胰脏、膀胱和生殖器官等。胃壁非常薄,粘膜呈襞状。胃容量约为20~30ml。肠管较长,约为体长的10倍,其中盲肠发达约占整个腹部的三分之一。肝脏呈暗黄褐色,分为内侧左右叶、外侧左右叶和后叶。胆囊位于内侧左右叶之间。胰脏为一长而扁平的叶状腺体,粉红色,横位于腹腔前半部胃的背面。分头、体和尾叶。6、大脑在胚胎期42~45天脑发育成熟,大脑半球没有明显的回纹,只有原始的深沟,属于平滑脑组织,较其它同类动物发达。7、淋巴系统淋巴系统较为发达。脾脏呈扁平板状,位于胃大弯部。肺部淋巴结具有高度的反应性,在少量
【资源】蛋白版2006年05月无人应助帖,请广大战友积极应助,加分从优!
=0 【求助】购买PAI-1抗体 做WESTER BLOT http://www.dxy.cn/bbs/post/view?bid=65&id=6264202&sty=1&tpg=9&age=0 【求助】蛋白表达求助!!急,在线等!! http://www.dxy.cn/bbs/post/view?bid=65&id=6264067&sty=1&tpg=9&age=0 【求助】如何解释化学修饰后的结果? http://www.dxy.cn/bbs/post/view?bid=65&id
技术资料暂无技术资料 索取技术资料












