相关产品推荐更多 >
万千商家帮你免费找货
0 人在求购买到急需产品
- 详细信息
- 文献和实验
- 技术资料
- 供应商:
上海联迈生物工程有限公司
- 库存:
大量
- 目录编号:
LM-10724R
- 克隆性:
多克隆
- 抗原来源:
Rabbit
- 保质期:
1年
- 抗体英文名:
AKT2
- 抗体名:
蛋白激酶B2抗体
- 宿主:
Rabbit
- 适应物种:
Mouse, Rat, Pig, Cow, Horse,
- 免疫原:
KLH conjugated synthetic peptide derived from human AKT2:21-120/481
- 亚型:
IgG
- 形态:
Lyophilized or Liquid
- 应用范围:
WB=1:500-2000 ELISA=1:500-1000 IHC-P=1:400-800 IHC-F=1:400-800 ICC=1:100-500 IF=1:100-500 (石蜡切片需做抗原修复)
- 浓度:
1mg/ml
- 保存条件:
Store at -20 °C
- 规格:
100ul 200ul
| 英文名称 | AKT2 |
| 中文名称 | 蛋白激酶B2抗体 |
| 别 名 | C AKT; MGC9965; Oncogene AKT1; PKB; PRKBA; Protein Kinase B Alpha; RAC; RAC PK Alpha; RAC Serine/Threonine Protein Kinase; vAKT Murine Thymoma Viral Oncogene Homolog 1; AKT2_HUMAN; HIHGHH; AKT 2; AKT-2; Akt2; PKB beta; PKB-beta; PKBB; PKBBETA; PRKBB; Protein kinase Akt 2; Protein kinase Akt-2; Protein kinase B beta; RAC BETA; RAC beta serine threonine protein kinase; RAC PK beta; Rac protein kinase beta; Rac protein kinase beta; RAC-BETA; RAC-beta serine/threonine-protein kinase; RAC-PK-beta; V AKT Murine Thymoma Viral Oncogene Homolog 2. |
| 规格价格 | 100ul/1380元 购买 200ul/2200元 购买 大包装/询价 |
| 说 明 书 | 100ul 200ul |
| 研究领域 | 肿瘤 细胞生物 神经生物学 信号转导 细胞凋亡 激酶和磷酸酶 |
| 抗体来源 | Rabbit |
| 克隆类型 | Polyclonal |
| 交叉反应 | Mouse, Rat, Pig, Cow, Horse, |
| 产品应用 | WB=1:500-2000 ELISA=1:500-1000 IHC-P=1:400-800 IHC-F=1:400-800 ICC=1:100-500 IF=1:100-500 (石蜡切片需做抗原修复) not yet tested in other applications. optimal dilutions/concentrations should be determined by the end user. |
| 分 子 量 | 56kDa |
| 细胞定位 | 细胞核 细胞浆 细胞膜 |
| 性 状 | Lyophilized or Liquid |
| 浓 度 | 1mg/ml |
| 免 疫 原 | KLH conjugated synthetic peptide derived from human AKT2:21-120/481 |
| 亚 型 | IgG |
| 纯化方法 | affinity purified by Protein A |
| 储 存 液 | 0.01M TBS(pH7.4) with 1% BSA, 0.03% Proclin300 and 50% Glycerol. |
| 保存条件 | Store at -20 °C for one year. Avoid repeated freeze/thaw cycles. The lyophilized antibody is stable at room temperature for at least one month and for greater than a year when kept at -20°C. When reconstituted in sterile pH 7.4 0.01M PBS or diluent of antibody the antibody is stable for at least two weeks at 2-4 °C. |
| PubMed | PubMed |
| 产品介绍 | background: This gene is a putative oncogene encoding a protein belonging to a subfamily of serine/threonine kinases containing SH2-like (Src homology 2-like) domains. The gene was shown to be amplified and overexpressed in 2 of 8 ovarian carcinoma cell lines and 2 of 15 primary ovarian tumors. Overexpression contributes to the malignant phenotype of a subset of human ductal pancreatic cancers. The encoded protein is a general protein kinase capable of phophorylating several known proteins. [provided by RefSeq, Jul 2008]. Function: IGF-1 leads to the activation of AKT3, which may play a role in regulating cell survival. Capable of phosphorylating several known proteins. Subunit: Interacts (via PH domain) with TCL1A; this enhances AKT3 phosphorylation and activation. Interacts with TRAF6. Post-translational modifications: Phosphorylation on Thr-305 and Ser-472 is required for full activity. Phosphorylated upon DNA damage, probably by ATM or ATR. Ubiquitinated. When fully phosphorylated and translocated into the nucleus, undergoes 'Lys-48'-polyubiquitination catalyzed by TTC3, leading to its degradation by the proteasome. Similarity: Belongs to the protein kinase superfamily. AGC Ser/Thr protein kinase family. RAC subfamily. Contains 1 AGC-kinase C-terminal domain. Contains 1 PH domain. Contains 1 protein kinase domain. SWISS: P31751 Gene ID: 208 Database links: Entrez Gene: 208 Human Entrez Gene: 11652 Mouse Entrez Gene: 25233 Rat Omim: 164731 Human SwissProt: P31751 Human SwissProt: Q60823 Mouse SwissProt: P47197 Rat Unigene: 631535 Human Unigene: 177194 Mouse Unigene: 87066 Rat Important Note: This product as supplied is intended for research use only, not for use in human, therapeutic or diagnostic applications. |
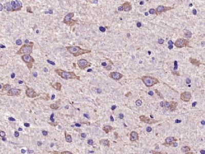
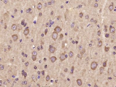
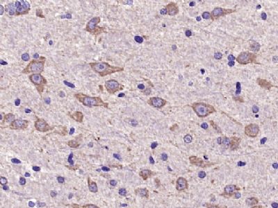
| 产品图片 | ![]() Sample: Lung (Rat) Lysate at 40 ug Primary: Anti-AKT2 (bs-10724R) at 1/500 dilution Secondary: IRDye800CW Goat Anti-Rabbit IgG at 1/20000 dilution Predicted band size: 56 kD Observed band size: 56 kD ![]() Sample: Lung (Mouse) Lysate at 40 ug Primary: Anti-AKT2 (bs-10724R) at 1/500 dilution Secondary: IRDye800CW Goat Anti-Rabbit IgG at 1/20000 dilution Predicted band size: 56 kD Observed band size: 56 kD ![]() Paraformaldehyde-fixed, paraffin embedded (Mouse brain); Antigen retrieval by microwave in sodium citrate buffer (pH6.0) ; Block endogenous peroxidase by 3% hydrogen peroxide for 30 minutes; Blocking buffer (3% BSA) at RT for 30min; Antibody incubation with (AKT2) Polyclonal Antibody, Unconjugated (bs-10724R) at 1:400 overnight at 4℃, followed by conjugation to the secondary antibody (labeled with HRP)and DAB staining. ![]() Paraformaldehyde-fixed, paraffin embedded (Rat brain); Antigen retrieval by microwave in sodium citrate buffer (pH6.0) ; Block endogenous peroxidase by 3% hydrogen peroxide for 30 minutes; Blocking buffer (3% BSA) at RT for 30min; Antibody incubation with (AKT2) Polyclonal Antibody, Unconjugated (bs-10724R) at 1:400 overnight at 4℃, followed by conjugation to the secondary antibody (labeled with HRP)and DAB staining. |
风险提示:丁香通仅作为第三方平台,为商家信息发布提供平台空间。用户咨询产品时请注意保护个人信息及财产安全,合理判断,谨慎选购商品,商家和用户对交易行为负责。对于医疗器械类产品,请先查证核实企业经营资质和医疗器械产品注册证情况。
文献和实验性。生长因子受体可以通过Ras激活催化亚基。P13K激活的结果是使嵌合在细胞膜上的磷脂酰肌醇二磷酸(PIP2)磷酸化生成磷脂腺肌醇三磷酸(PIPa)。PIP3作为第二信使,募集含PH结构域的蛋白质到细胞内膜。Akt(蛋白激酶B)含有PH结构域的丝氨酸/苏氨酸激酶之一。Akt除了氨基端的PH结构域外,还有一个中央催化结构域和羧基端调节结构域。Akt家族有3个成员:Aktl、Akt2和Akt3。3个成员在组织分布和功能方面大同小异。Akt被PIP3吸引到细胞膜内侧后,还要在Thr308和Ser473位点
相关专题 细胞凋亡专题 PATHWAYS KEY: Akt也被称为蛋白激酶B(protein kinase B,PKB),是一种分子 量约为60kDa的丝/苏氨酸蛋白激酶,处于多条信号通路的重要交叉点,可调节细胞因子、生长因子和癌基因Ras激活的细胞生存信号,在真核生物的调控网络中普遍存在。Akt信号通路与恶性肿瘤、糖尿病、类风湿关节炎等多种疾病的发生发展密切
三句话读懂一篇 CNS:「神药」二甲双胍又出抗癌奇招;抑郁症
衰老过程息息相关。2021 年 8 月 20 日,重庆大学生命科学学院庞珊珊课题组联合唐海清课题组在 Nature Communications 杂志上发表研究论文 Saturated very long chain fatty acid configures glycosphingolipid for lysosome homeostasis in long-lived C. elegans。该研究以线虫生殖细胞缺失突变体作为模型,发现一种新的促机体保持长寿的超长链饱和脂肪酸 behenic
技术资料暂无技术资料 索取技术资料














