相关产品推荐更多 >
万千商家帮你免费找货
0 人在求购买到急需产品
- 详细信息
- 文献和实验
- 技术资料
- 供应商:
上海康朗生物科技有限公司
- 库存:
大量
- 目录编号:
kl-3195R
- 克隆性:
多克隆
- 抗原来源:
Rabbit
- 保质期:
12个月
- 抗体英文名:
Phospho-IRF3 (Ser396) antibody
- 抗体名:
磷酸化干扰素调节因子3
- 宿主:
Rabbit
- 适应物种:
Human, Mouse, Rat, Dog, Pig, Cow, Sheep,
- 免疫原:
KLH conjugated synthesised phosphopeptide derived from human IRF3 around the phosphorylation site of Ser396:LHI(p-S)NS
- 亚型:
IgG
- 形态:
冻干粉或液体
- 应用范围:
ELISA=1:500-1000 IHC-P=1:400-800 IHC-F=1:400-800 ICC=1:100-500 IF=1:100-500
- 浓度:
1mg/ml
- 保存条件:
-20 °C
- 规格:
100ul
| 中文名称 | 磷酸化干扰素调节因子3 |
| 别 名 | IRF3 (phospho S396); IRF3 (phospho Ser396); p-IRF3 (Ser396); p-IRF3 (S396); Interferon regulatory factor 3; IRF 3; IRF-3; IRF3; IRF3_HUMAN; MGC94729. |
![]() |
Specific References (1) | bs-3195R has been referenced in 1 publications. [IF=3.23] Le Bel, Manon, and Jean Gosselin. "Leukotriene B 4 Enhances NOD2-Dependent Innate Response against Influenza Virus Infection." PloS one 10.10 (2015): e0139856. WB ; Mouse. PubMed:26444420 |
| 规格价格 | 100ul/1580元 购买 大包装/询价 |
| 说 明 书 | 100ul |
| 产品类型 | 磷酸化抗体 |
| 研究领域 | 肿瘤 免疫学 信号转导 细胞凋亡 转录调节因子 |
| 抗体来源 | Rabbit |
| 克隆类型 | Polyclonal |
| 交叉反应 | Human, Mouse, Rat, Dog, Pig, Cow, Sheep, |
| 产品应用 | ELISA=1:500-1000 IHC-P=1:400-800 IHC-F=1:400-800 ICC=1:100-500 IF=1:100-500 (石蜡切片需做抗原修复) not yet tested in other applications. optimal dilutions/concentrations should be determined by the end user. |
| 分 子 量 | 47kDa |
| 细胞定位 | 细胞核 细胞浆 |
| 性 状 | Lyophilized or Liquid |
| 浓 度 | 1mg/ml |
| 免 疫 原 | KLH conjugated synthesised phosphopeptide derived from human IRF3 around the phosphorylation site of Ser396:LHI(p-S)NS |
| 亚 型 | IgG |
| 纯化方法 | affinity purified by Protein A |
| 储 存 液 | 0.01M TBS(pH7.4) with 1% BSA, 0.03% Proclin300 and 50% Glycerol. |
| 保存条件 | Store at -20 °C for one year. Avoid repeated freeze/thaw cycles. The lyophilized antibody is stable at room temperature for at least one month and for greater than a year when kept at -20°C. When reconstituted in sterile pH 7.4 0.01M PBS or diluent of antibody the antibody is stable for at least two weeks at 2-4 °C. |
| PubMed | PubMed |
| 产品介绍 | background: This gene encodes a member of the interferon regulatory transcription factor (IRF) family. The encoded protein is found in an inactive cytoplasmic form that upon serine/threonine phosphorylation forms a complex with CREBBP. This complex translocates to the nucleus and activates the transcription of interferons alpha and beta, as well as other interferon-induced genes. Alternatively spliced transcript variants encoding multiple isoforms have been observed for this gene. [provided by RefSeq, Nov 2011]. Function: Mediates interferon-stimulated response element (ISRE) promoter activation. Functions as a molecular switch for antiviral Key transcriptional regulator of type I interferon (IFN)-dependent immune responses and plays a critical role in the innate immune response against DNA and RNA viruses. Regulates the transcription of type I IFN genes (IFN-alpha and IFN-beta) and IFN-stimulated genes (ISG) by binding to an interferon-stimulated response element (ISRE) in their promoters. Acts as a more potent activator of the IFN-beta (IFNB) gene than the IFN-alpha (IFNA) gene and plays a critical role in both the early and late phases of the IFNA/B gene induction. Found in an inactive form in the cytoplasm of uninfected cells and following viral infection, double-stranded RNA (dsRNA), or toll-like receptor (TLR) signaling, becomes phosphorylated by IKBKE and TBK1 kinases. This induces a conformational change, leading to its dimerization and nuclear localization and association with CREB binding protein (CREBBP) to form dsRNA-activated factor 1 (DRAF1), a complex which activates the transcription of the type I IFN and ISG genes. Can activate distinct gene expression programs in macrophages and can induce significant apoptosis in primary macrophages. Subunit: Monomer. Homodimer; phosphorylation-induced. Heterodimer with IRF7. Interacts with CREBBP. May interact with MAVS. Interacts with IKBKE and TBK1. Interacts with TICAM1 and TICAM2. Interacts with rotavirus A NSP1 (via C-terminus); this interaction leads to the proteasome-dependent degradation of IRF3. Interacts with RBCK1. Interacts with TRIM21. Interacts with HERC5. Subcellular Location: Cytoplasm. Nucleus. Note=Shuttles between cytoplasmic and nuclear compartments, with export being the prevailing effect. When activated, IRF3 interaction with CREBBP prevents its export to the cytoplasm. Tissue Specificity: Expressed constitutively in a variety of tissues. Post-translational modifications: Constitutively phosphorylated on many serines residues. C-terminal serine/threonine cluster is phosphorylated in response of induction by IKBKE and TBK1. Ser-385 and Ser-386 may be specifically phosphorylated in response to induction. An alternate model propose that the five serine/threonine residues between 396 and 405 are phosphorylated in response to a viral infection. Phosphorylation, and subsequent activation of IRF3 is inhibited by vaccinia virus protein E3. Ubiquitinated; ubiquitination involves RBCK1 leading to proteasomal degradation. Polyubiquitinated; ubiquitination involves TRIM21 leading to proteasomal degradation. ISGylated by HERC5 resulting in sustained IRF3 activation and in the inhibition of IRF3 ubiquitination by disrupting PIN1 binding. The phosphorylation state of IRF3 does not alter ISGylation. Similarity: Belongs to the IRF family. Contains 1 IRF tryptophan pentad repeat DNA-binding domain. SWISS: Q14653 Gene ID: 3661 Database links: Entrez Gene: 3661 Human Entrez Gene: 54131 Mouse Omim: 603734 Human SwissProt: Q14653 Human SwissProt: P70671 Mouse Unigene: 289052 Human Unigene: 75254 Human Unigene: 3960 Mouse Important Note: This product as supplied is intended for research use only, not for use in human, therapeutic or diagnostic applications. 干扰素调节因子家族是一大类对干扰素起调控作用的转录因子的统称。 一般认为干扰素调节因子(IRF)通过调节干扰素的表达而行使其抗病毒、应激、免疫调节功能。近年来,研究人员发现IRF在细胞凋亡、细胞周期、细胞分化、肿瘤发生中也起着重要的调节作用。 |
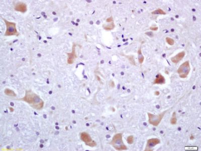
| 产品图片 | ![]() Tissue/cell: rat brain tissue; 4% Paraformaldehyde-fixed and paraffin-embedded; Antigen retrieval: citrate buffer ( 0.01M, pH 6.0 ), Boiling bathing for 15min; Block endogenous peroxidase by 3% Hydrogen peroxide for 30min; Blocking buffer (normal goat serum,C-0005) at 37℃ for 20 min; Incubation: Anti-Phospho-IRF3(Ser396) Polyclonal Antibody, Unconjugated(bs-3195R) 1:200, overnight at 4°C, followed by conjugation to the secondary antibody(SP-0023) and DAB(C-0010) staining ![]() Tissue/cell: rat brain tissue;4% Paraformaldehyde-fixed and paraffin-embedded; Antigen retrieval: citrate buffer ( 0.01M, pH 6.0 ), Boiling bathing for 15min; Blocking buffer (normal goat serum,C-0005) at 37℃ for 20 min; Incubation: Anti-Phospho-IRF3(Ser396) Polyclonal Antibody, Unconjugated(bs-3195R) 1:200, overnight at 4°C; The secondary antibody was Goat Anti-Rabbit IgG, Cy3 conjugated (bs-0295G-Cy3)used at 1:200 dilution for 40 minutes at 37°C. DAPI(5ug/ml,blue,C-0033) was used to stain the cell nuclei |
风险提示:丁香通仅作为第三方平台,为商家信息发布提供平台空间。用户咨询产品时请注意保护个人信息及财产安全,合理判断,谨慎选购商品,商家和用户对交易行为负责。对于医疗器械类产品,请先查证核实企业经营资质和医疗器械产品注册证情况。
文献和实验Using Phospho‐Motif Antibodies to Determine Kinase Substrates
comprising both the phosphorylated residue and the surrounding residues that determine kinase specificity, with degenerate residues taking up the remaining positions. Currently, several categories of phospho?motif antibody are commercially available
Optimized Protocol to Make Phospho-Specific Antibodies that Work
, not simply its level of expression. In this review, we will discuss both the design of the phosphopeptide immunogen and immunization. The affinity purification of the phospho-specific antibody as well as the methods most suitable for characterizing
Absorption Control in Immunohistochemistry Using Phospho-Peptides Immobilized on Magnetic Beads
neutralization of phospho-specific antibodies with phospho-peptides immobilized on magnetic beads. This technique allows for sequestration of antibody–peptide complex from the incubation solution, minimizing the risk of formation of unblocked antibodies capable
技术资料暂无技术资料 索取技术资料













