相关产品推荐更多 >
万千商家帮你免费找货
0 人在求购买到急需产品
- 详细信息
- 文献和实验
- 技术资料
- 库存:
211
- 保质期:
长期
- 供应商:
北京百奥莱博科技有限公司
特别声明:本产品及我公司所售其他产品均为科研类试剂产品,严禁用于药物、医疗及其他非科研用途。
北京百奥莱博专业生产供应2×Hot Start Taq PCR MasterMix销*(代"售"),我公司销*(代"售")全品类的分子生物学试剂,价格优惠,欢迎广大科研工作者垂询订购。
名称:2×Hot Start Taq PCR MasterMix销*(代"售")
编号:JN0038
规格:1ml×5
品牌:百奥莱博
产地:北京
本制品是将PCR反应所需的HotStart Taq酶、dNTP混合物、MgCl2以及反应缓冲液预先配制成2倍浓度的混合物。使用时只需加入模板和引物并稀释到1倍浓度即可进行PCR反应,大大地简化了操作过程,减少了PCR操作过程中的污染。本制品所使用的HotStart Taq是经特殊工艺处理后的Taq酶,在加热至高温前,其聚合酶活性被抑制,从而抑制低温条件下由引物的非特异性退火或引物二聚体引起的非特异性扩增。使用本制品扩增得到的PCR产物具有3´端"A"突出,因此可直接克隆于T载体中。
产品特点:
1、简便:与常规热启动Taq酶反应条件一致,无需改变扩增程序。
2、高效:有效减少了杂带及拖带产生,从而实现高特异性的PCR。
3、灵敏:可从0.05ng人基因组DNA模板中扩增出特定基因片段(图例二)。
4、稳定:经测试,反复冻融40次后,扩增性能仍不受影响。
5、快捷:PCR反应所必需试剂全集于一管之中,数分钟即可完成反应体系配制。
产品用途:
1、高特异性PCR反应;
2、复杂模板扩增;
3、Multiplex PCR;
4、基因组扩增检测。
应用实例:

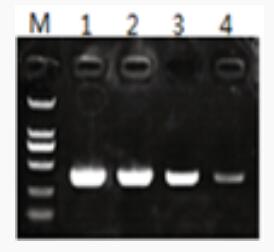
图例一)50μl扩增体系中,以50ng人基因组DNA为模板,2×Hot Start Taq可对特定基因片段(170bp)进行高特异性扩增。
泳道M:DNA 2000 Ladder;泳道1,2:普通Taq酶1.25U;泳道3,4: HotStart Taq酶,1.25U

图例二) 50μ l扩增体系中,分别以50ng~0.05ng人基因组DNA为模板,可对特定基因片段(380bp)进行很好的扩增。
泳道1:50ng;泳道2:5ng;泳道3:0.5ng;泳道4:0.05ng;泳道M:DNA 2000 Ladder
常用反应体系(50μl):
| 组分 | 体积 |
| 2×PCR MasterMix* | 25μl |
| 上游引物 | 0.2-1.0μM(终浓度) |
| 下游引物 | 0.2-1.0μM(终浓度) |
| 模板 | 1-50ng(质粒) |
| 10ng-1μg(基因组) | |
| ddH2O | 至50μl |
| *Mg2+终浓度为2mM | |
常用PCR循环:
| 当扩增片段<3K: | |
| 94℃ | 10分钟 |
| 30次循环 | 94℃,30秒 57℃,30秒 72℃根据产物长度调整,60秒/kb |
| 72℃ | 5分钟 |
| 4℃ | 保温 |
| 当扩增片段≥3K(推荐引物长度≥30bp): | |
| 94℃ | 10分钟 |
| 30次循环 | 94℃,5秒 68℃根据产物长度调整,60秒/kb |
| 72℃ | 5分钟 |
| 4℃ | 保温 |
PCR MasterMix选购指南:
| 编号 | 产品名称 | 特点 |
| 适用于菌落鉴定、菌液鉴定及常规PCR鉴定实验的Mix系列 | ||
| JN0030 | 2×Taq PCR MasterMix | 高性价比PCR Mix,使用简便,扩增灵敏度高 |
| JN0034 | 2×Complex Taq PCR MasterMix | JN0030改进版,性能更均衡,适用面更广 |
| JN0040 | 2×Fast Taq PCR MasterMix | 最快速的PCR试剂,常规PCR鉴定45分钟内知道结果 |
| JN0035 | 2×RoomTop Taq PCR MasterMix | 可放在手边的PCR试剂,室温稳定存放60天 |
| JN0036 | 2×RoomTop Fast Taq PCR MasterMix | 室温稳定存放60天,高速PCR试剂,常规PCR鉴定45分钟内知道结果 |
| 适用于一些较难扩增的PCR条带的鉴定及短片段克隆 | ||
| JN0032 | 2×Taq Plus PCR MasterMix | 扩增效率更高及较好的保真度 |
| JN0038 | 2×Hot Start Taq PCR MasterMix | 采用热启动Taq,可获得很好的特异性 |
| JN0041 | 2×Ultra Taq PCR MasterMix | 高速扩增酶,优化配方,解决PCR扩增难题的,灵敏度高 |
| 高保真酶试剂,适用于长片段基因克隆 | ||
| JN0031 | 2×Pfu PCR MasterMix | 采用高保真酶,适用于基因克隆 |
| JN0043 | 2×Fast Pfu PCR MasterMix | 采用改良型高保真酶,更好的扩增效果,4倍扩增速度;扩增迅速 |
| 防止PCR产物二次污染、极高检测灵敏度的PCR试剂 | ||
| JN0047 | 2×PCR MasterMix(防污染) | 采用dUTP/UDG酶系统,从根本上杜绝PCR产物二次污染 |
| JN0033 | 2×Genotyping PCR Kit(nomal) | 极高检测灵敏度,可达到普通PCR试剂102至104倍扩增灵敏度 |
PCR MasterMix性能对比表:
| 名称 | 编号 | 扩增时间 | 扩增长度 | 是否有3"-A | 基因组扩增 |
| 2×Taq PCR MasterMix | JN0030 | 1min/kb | ≤8kb | √ | + |
| 2×RoomTop Taq PCR MasterMix | JN0035 | 1min/kb | ≤8kb | √ | ++ |
| 2×Complex Taq PCR MasterMix | JN0034 | 1min/kb | ≤8kb | √ | + |
| 2×Fast Taq PCR MasterMix | JN0040 | 15s/kb | ≤8kb | √ | + |
| 2×RoomTop Fast Taq PCR MasterMix | JN0036 | 15s/kb | ≤8kb | √ | ++ |
| 2×Ultra Taq PCR MasterMix | JN0041 | 15s/kb | ≤8kb | √ | +++ |
| 2×Taq Plus PCR MasterMix | JN0032 | 1min/kb | ≤20kb | √ | ++++ |
| 2×Ultra Taq Plus PCR MasterMix | JN0042 | 15s/kb | ≤30kb | √ | ++++ |
| 2×Hot Start Taq PCR MasterMix | JN0038 | 1min/kb | ≤8kb | √ | ++++ |
| 2×Hot Start Taq Plus PCR MasterMix | JN0039 | 1min/kb | ≤20kb | √ | ++++ |
| 2×Pfu PCR MasterMix | JN0031 | 1min/kb | ≤6kb | × | + |
| 2×Fast Pfu PCR MasterMix | JN0043 | 30min/kb | ≤12kb | × | + |
| 2×SYBR Green Realtime PCR MasterMix | JN0049 | 1min/kb | ≤8kb | √ | ++ |
| 2×Genotyping PCR Kit(Normal) | JN0033 | 1min/kb | ≤8kb | √ | +++++ |
| 2×Genotyping PCR Kit(Fast) | JN0044 | 15s/kb | ≤8kb | √ | +++++ |
| 2×PCR MasterMix(防污染) | JN0047 | 1min/kb | ≤8kb | √ | + |
我公司的2×Hot Start Taq PCR MasterMix销*(代"售"),性价比高,货期短,送货上门,欢迎您来电咨询购买,另外,我公司还生产供应销*(代"售")下列产品:
·重组人泛素结合酶E2-D4(UBCE2D4)
编号:JN1963
英文名称:Recombinant Human Ubiquitin-Conjugating Enzyme E2 D4
规格:10μg|50μg|500μg|1mg
本品由我们的大肠杆菌表达系统制备而成,目的基因编码的Met1-Met147在N端带有GST标签。
UBCE2D4质量控制:>95%(还原性SDS-PAGE)
UBCE2D4制剂:液体
UBCE2D4保存:收到货后请置于-20℃,可保存6个月,避免反复冻融。
关于UBCE2D4:
Ubiquitin-Conjugating Enzyme E2 D4 (UBCE2D4) is a ligase that belongs to the Ubiquitin-Conjugating Enzyme family. UBCE2D4 has been proposed to participate in Ubl conjugation pathway. UBCE2D4 takes part in post-translational protein modification, protein K6-linked ubiquitination, protein K11-linked ubiquitination, protein K27-linked ubiquitination, protein K29-linked ubiquitination, protein K48-linked ubiquitination, and protein K63-linked ubiquitination. UBCE2D4 regulate of protein metabolic process. UBCE2D4 accepts ubiquitin from the E1 complex and catalyzes its covalent attachment to other proteins. In vitro, UBCE2D4 able to promote polyubiquitination using all 7 ubiquitin Lys residues, but may prefer Lys-11 and Lys-48-linked poly-ubiquitination.
2×Hot Start Taq PCR MasterMix销*(代"售")关键词:百奥莱博,JN0038,2×Hot Start Taq PCR MasterMix
·重组人α-可溶性NSF附着蛋白(α-SNAP)
编号:JN0676
英文名称:Recombinant Human alpha-Soluble NSF Attachment Protein
规格:10μg|50μg|500μg|1mg
本品由我们的大肠杆菌表达系统制备而成,目的基因编码的Met1-Arg295在N端含有His标签。
SNAP-α质量控制:>95%(还原性SDS-PAGE)
SNAP-α制剂:冻干品
SNAP-α保存:
冻干蛋白置于-20℃以下可长期保存,室温条件下可稳定保存3周。
复溶蛋白溶液可在4~7℃保存2~7天,可分装后置于-20℃保存三个月。
SNAP-α复溶:
打开试剂管前请先离心。
复溶浓度推荐大于100μg/ml。
冻干蛋白请溶于ddH2O。
复溶后,请根据用量分装冻存,避免反复冻融。
关于SNAP-α:
α-Soluble NSF Attachment Protein (SNAP-α) is a member of the SNAP (Soluble NSF Attachment Protein) family. SNAP-α interacts with PRKCABP and disrupts the interaction between GRIA2 and PRKCABP, leading to the internalization of GRIA2. SNAP-α is required for vesicular transport between the endoplasmic reticulum and the Golgi apparatus. SNAP-α is in charge of the binding of NSF and therefore the formation of a 20S fusion particle.
2×Hot Start Taq PCR MasterMix销*(代"售")关键词:百奥莱博,JN0038,2×Hot Start Taq PCR MasterMix
·重组人Peroxiredoxin 5(过氧化物还原蛋白5)
编号:JN1449
英文名称:Recombinant Human Peroxiredoxin-5
规格:10μg|50μg|500μg|1mg
本品由我们的哺乳动物细胞表达系统制备而成,目的基因编码的Met53-Leu214在N端含有His标签。
Peroxiredoxin 5质量控制:>95%(还原性SDS-PAGE)
Peroxiredoxin 5制剂:冻干品
Peroxiredoxin 5保存:
冻干蛋白置于-20℃以下可长期保存,室温条件下可稳定保存3周。
复溶蛋白溶液可在4~7℃保存2~7天,可分装后置于-20℃保存三个月。
Peroxiredoxin 5复溶:
打开试剂管前请先离心。
复溶浓度推荐大于100μg/ml。
冻干蛋白请溶于ddH2O。
复溶后,请根据用量分装冻存,避免反复冻融。
关于Peroxiredoxin 5:
Peroxisomes are essential organelles that participate in multiple important metabolic processes, including the β-oxidation of fatty acids, plasmalogen synthesis, and the metabolism of reactive oxygen species (ROS). Peroxiredoxins is overexpressed in breast cancer tissues to a great extent suggesting that they has a proliferative effect and may be related to cancer development or progression. Peroxiredoxin 5 (PRDX5) is a thioredoxin peroxidase that belongs to the atypical 2-Cys class of the TSA/ahpC family of peroxiredoxins. PRDX5 is a widely expressed mitochondrial antioxidant enzyme that reduces hydrogen peroxide, alkyl hydroperoxides, and peroxynitrite. In human cells, this enzyme is present in the cytosol, mitochondria, peroxisomes, and nucleus.
我公司正在打折促销核酸扩增(PCR)全系列产品,恭候您的咨询选购2×Hot Start Taq PCR MasterMix销*(代"售")。
风险提示:丁香通仅作为第三方平台,为商家信息发布提供平台空间。用户咨询产品时请注意保护个人信息及财产安全,合理判断,谨慎选购商品,商家和用户对交易行为负责。对于医疗器械类产品,请先查证核实企业经营资质和医疗器械产品注册证情况。
文献和实验Hot Start activation approaches are increasingly being used to improve the performance of PCR. Since the inception of Hot Start as a means of blocking DNA polymerase extension at lower temperatures, a number of approaches have been developed
for both DNA sample and reaction mixture preparation, is strongly recommended.The reagents for PCR should be prepared separately and used solely for this purpose. Autoclaving of all solutions, except dNTPs, primers and Taq DNA Polymerase is recommended
bp 片段,以 pBS 菌液为模板扩增 1500 bp 片段。 模板:菌液 OD600=0.8 时 2 μL /50 μL PCR 扩增程序:同上 a 扩增程序同。 结果:Bioteke 2×power Taq PCR MasterMix 试剂对于质粒或菌液均可高效率的扩增。取扩增产物 10 μL 用 1% 琼脂糖凝胶电泳进行分析可见明亮条带。 二、genomic DNA扩增 1.大肠杆菌DNA扩增 模板:大肠杆菌DNA 50 ng/50 μL PCR扩增程序: 循环数 Step 温度
技术资料暂无技术资料 索取技术资料










