相关产品推荐更多 >
万千商家帮你免费找货
0 人在求购买到急需产品
- 详细信息
- 文献和实验
- 技术资料
- 供应商:
上海康朗生物科技有限公司
- 库存:
大量
- 目录编号:
kl-2536R
- 克隆性:
多克隆
- 抗原来源:
Rabbit
- 保质期:
12个月
- 抗体英文名:
SREBP2 antibody
- 抗体名:
胆固醇调节元件结合蛋白2抗体
- 宿主:
Rabbit
- 适应物种:
Human, Mouse, Rat, Pig, Horse,
- 免疫原:
KLH conjugated synthetic peptide derived from human SREBP-2:951-1141/1141
- 亚型:
IgG
- 形态:
冻干粉或液体
- 应用范围:
WB=1:500-2000 ELISA=1:500-1000 IHC-P=1:400-800 IHC-F=1:400-800 IF=1:100-500
- 浓度:
1mg/ml
- 保存条件:
-20 °C
- 规格:
50ul 100ul 200ul
| 中文名称 | 胆固醇调节元件结合蛋白2抗体 |
| 别 名 | Sterol Regulatory Element Binding Protein-2; MGC124823; Srebf2_retired; SREBP-2; SREBP2; SREBP-2; SRBP2_HUMAN; Sterol regulatory element-binding protein 2; SREBP-2; Class D basic helix-loop-helix protein 2; bHLHd2; Sterol regulatory element-binding transcription factor 2; Processed sterol regulatory element-binding protein 2. |
| 规格价格 | 50ul/780元 购买 100ul/1380元 购买 200ul/2200元 购买 大包装/询价 |
| 说 明 书 | 50ul 100ul 200ul |
| 研究领域 | 糖蛋白 |
| 抗体来源 | Rabbit |
| 克隆类型 | Polyclonal |
| 交叉反应 | Human, Mouse, Rat, Pig, Horse, |
| 产品应用 | WB=1:500-2000 ELISA=1:500-1000 IHC-P=1:400-800 IHC-F=1:400-800 IF=1:100-500 (石蜡切片需做抗原修复) not yet tested in other applications. optimal dilutions/concentrations should be determined by the end user. |
| 分 子 量 | 126kDa |
| 细胞定位 | 细胞核 细胞浆 |
| 性 状 | Lyophilized or Liquid |
| 浓 度 | 1mg/ml |
| 免 疫 原 | KLH conjugated synthetic peptide derived from human SREBP-2:951-1141/1141 |
| 亚 型 | IgG |
| 纯化方法 | affinity purified by Protein A |
| 储 存 液 | 0.01M TBS(pH7.4) with 1% BSA, 0.03% Proclin300 and 50% Glycerol. |
| 保存条件 | Store at -20 °C for one year. Avoid repeated freeze/thaw cycles. The lyophilized antibody is stable at room temperature for at least one month and for greater than a year when kept at -20°C. When reconstituted in sterile pH 7.4 0.01M PBS or diluent of antibody the antibody is stable for at least two weeks at 2-4 °C. |
| PubMed | PubMed |
| 产品介绍 | background: Under basal conditions SREBP is bound to ER membranes as a glycosylated precursor protein. Upon cholesterol depletion, the protein is cleaved to its active forms (50-68 kDa) and translocated into the nucleus to stimulate transcription of genes involved in the uptake and synthesis of cholesterol. ab30682 detects both precursor and active forms of SREBP2 in tissues and cells such as liver, brown fat, testis, HepG2 cells, and human fibroblast. The apparent molecular weight on SDS-PAGE may be higher than the calculated molecular weight (about 126 kDa) due to glycosylation of the protein. Function: Transcriptional activator required for lipid homeostasis. Regulates transcription of the LDL receptor gene as well as the cholesterol and to a lesser degree the fatty acid synthesis pathway (By similarity). Binds the sterol regulatory element 1 (SRE-1) (5'-ATCACCCCAC-3') found in the flanking region of the LDRL and HMG-CoA synthase genes. Subunit: Forms a tight complex with SCAP in the ER membrane. Efficient DNA binding of the soluble transcription factor fragment requires dimerization with another bHLH protein. Interacts with LMNA. Component of SCAP/SREBP complex composed of SREBF2, SCAP and RNF139; the complex hampers the interaction between SCAP and SEC24B, thereby reducing SREBF2 proteolytic processing. Interacts (via C-terminus domain) with RNF139. Subcellular Location: Endoplasmic reticulum membrane; Multi-pass membrane protein. Golgi apparatus membrane; Multi-pass membrane protein. Cytoplasmic vesicle, COPII-coated vesicle membrane; Multi-pass membrane protein. Note=Moves from the endoplasmic reticulum to the Golgi in the absence of sterols. Processed sterol regulatory element-binding protein 2: Nucleus. Tissue Specificity: Ubiquitously expressed in adult and fetal tissues. Post-translational modifications: At low cholesterol the SCAP/SREBP complex is recruited into COPII vesicles for export from the ER. In the Golgi complex SREBPs are cleaved sequentially by site-1 and site-2 protease. The first cleavage by site-1 protease occurs within the luminal loop, the second cleavage by site-2 protease occurs within the first transmembrane domain and releases the transcription factor from the Golgi membrane. Apoptosis triggers cleavage by the cysteine proteases caspase-3 and caspase-7. Phosphorylated by AMPK, leading to suppress protein processing and nuclear translocation, and repress target gene expression (By similarity). Similarity: Belongs to the SREBP family. Contains 1 bHLH (basic helix-loop-helix) domain. SWISS: Q12772 Gene ID: 6721 Database links: Entrez Gene: 395304 Chicken Entrez Gene: 6721 Human Entrez Gene: 20788 Mouse Entrez Gene: 396675 Pig Entrez Gene: 300095 Rat Entrez Gene: 443980 Xenopus laevis Omim: 600481 Human SwissProt: Q60429 Chinese Hamster SwissProt: Q12772 Human SwissProt: Q3U1N2 Mouse SwissProt: Q3T1I5 Rat SwissProt: Q6GQ26 Xenopus laevis Unigene: 443258 Human Unigene: 38016 Mouse Unigene: 41063 Rat Important Note: This product as supplied is intended for research use only, not for use in human, therapeutic or diagnostic applications. |
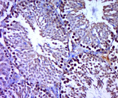
| 产品图片 | ![]() Sample: Hela(Human) Cell Lysate at 30 ug 293T(Human) Cell Lysate at 30 ug Primary: Anti-SREBP2 (bs-2536R) at 1/1000 dilution Secondary: IRDye800CW Goat Anti-Rabbit IgG at 1/20000 dilution Predicted band size: 126 kD Observed band size: 126 kD ![]() Paraformaldehyde-fixed, paraffin embedded (mouse testis tissue); Antigen retrieval by boiling in sodium citrate buffer (pH6.0) for 15min; Block endogenous peroxidase by 3% hydrogen peroxide for 20 minutes; Blocking buffer (normal goat serum) at 37°C for 30min; Antibody incubation with (SREBP2) Polyclonal Antibody, Unconjugated (bs-2536R) at 1:400 overnight at 4°C, followed by a conjugated secondary (sp-0024) for 20 minutes and DAB staining. |
风险提示:丁香通仅作为第三方平台,为商家信息发布提供平台空间。用户咨询产品时请注意保护个人信息及财产安全,合理判断,谨慎选购商品,商家和用户对交易行为负责。对于医疗器械类产品,请先查证核实企业经营资质和医疗器械产品注册证情况。
文献和实验Generation of Antibody Molecules Through Antibody Engineering
been overcome to a large extent using genetic-engineering techniques to produce chimeric mouse/human and completely human antibodies. Such an approach is particularly suitable because of the domain structure of the antibody molecule ( 2 ), where functional
The importance of antibody molecules was first recognized in the 1890s, when it was shown that immunity to tetanus and diphtheria was caused by antibodies against the bacterial exotoxins (1 ). Around the same time, it was shown that antisera
General comments: Antibodies, like most proteins, do not like to be freeze-thawed. Avoid repetitive freezing of your solution. The best way to store your antibody is to keep a high protein concentration (>1 mg/ml), add some protease
技术资料暂无技术资料 索取技术资料












