相关产品推荐更多 >
万千商家帮你免费找货
0 人在求购买到急需产品
- 详细信息
- 文献和实验
- 技术资料
- 供应商:
上海康朗生物科技有限公司
- 库存:
大量
- 目录编号:
kl-2251R
- 克隆性:
多克隆
- 抗原来源:
Rabbit
- 保质期:
12个月
- 抗体英文名:
A Raf antibody
- 抗体名:
A-Raf抗体
- 宿主:
Rabbit
- 适应物种:
Human, Mouse, Rat,
- 免疫原:
KLH conjugated synthetic peptide derived from human A Raf/ARAF:151-250/606
- 亚型:
IgG
- 形态:
冻干粉或液体
- 应用范围:
WB=1:500-2000 ELISA=1:500-1000 IHC-P=1:400-800 IHC-F=1:400-800 IF=1:100-500
- 浓度:
1mg/ml
- 保存条件:
-20 °C
- 规格:
100ul 200ul
| 中文名称 | A-Raf抗体 |
| 别 名 | A raf 1; A-Raf; Raf1; A Raf proto oncogene serine/threonine protein kinase; ARAF 1; ARAF; ARaf proto oncogene serine/threonine protein kinase; ARAF1; Oncogene Araf1; Oncogene PKS2; PKS 2; PKS; PKS2; Proto oncogene Pks; RAFA 1; RAFA1; Ras binding protein DA Raf; v raf murine sarcoma 3611 viral oncogene homolog; v raf murine sarcoma 3611 viral oncogene homolog 1; v raf oncogene homolog 1 (murine sarcoma 3611 virus). |
| 规格价格 | 100ul/1380元 购买 200ul/2200元 购买 大包装/询价 |
| 说 明 书 | 100ul 200ul |
| 研究领域 | 肿瘤 细胞生物 免疫学 神经生物学 信号转导 转录调节因子 激酶和磷酸酶 |
| 抗体来源 | Rabbit |
| 克隆类型 | Polyclonal |
| 交叉反应 | Human, Mouse, Rat, |
| 产品应用 | WB=1:500-2000 ELISA=1:500-1000 IHC-P=1:400-800 IHC-F=1:400-800 IF=1:100-500 (石蜡切片需做抗原修复) not yet tested in other applications. optimal dilutions/concentrations should be determined by the end user. |
| 分 子 量 | 68kDa |
| 细胞定位 | 细胞浆 |
| 性 状 | Lyophilized or Liquid |
| 浓 度 | 1mg/ml |
| 免 疫 原 | KLH conjugated synthetic peptide derived from human A Raf/ARAF:151-250/606 |
| 亚 型 | IgG |
| 纯化方法 | affinity purified by Protein A |
| 储 存 液 | 0.01M TBS(pH7.4) with 1% BSA, 0.03% Proclin300 and 50% Glycerol. |
| 保存条件 | Store at -20 °C for one year. Avoid repeated freeze/thaw cycles. The lyophilized antibody is stable at room temperature for at least one month and for greater than a year when kept at -20°C. When reconstituted in sterile pH 7.4 0.01M PBS or diluent of antibody the antibody is stable for at least two weeks at 2-4 °C. |
| PubMed | PubMed |
| 产品介绍 | background: The RAF family of signaling proteins has three isoforms: A RAF, RAF 1 and B RAF. These proteins are instrumental in forwarding the stimulus generated by mitogens from monomeric G proteins to the MAP kinase pathway. RAF 1 is known to be downstream of Ras and binds to it by an N terminal noncatalytic domain. This domain is conserved in A RAF and B RAF. 14-3-3 is also known to be an activator of RAFs. Activated RAF directly phosphorylates and activates MEK. A RAF is expressed at a very high concentration in urogenital and kidney tissues. Function: Involved in the transduction of mitogenic signals from the cell membrane to the nucleus. Tissue Specificity: Predominantly in urogenital tissues. Similarity: Belongs to the protein kinase superfamily. TKL Ser/Thr protein kinase family. RAF subfamily. Contains 1 phorbol-ester/DAG-type zinc finger. Contains 1 protein kinase domain. Contains 1 RBD (Ras-binding) domain. SWISS: P10398 Gene ID: 369 Database links: Entrez Gene: 369 Human Entrez Gene: 397601 Pig Entrez Gene: 64363 Rat Entrez Gene: 403063 Zebrafish Omim: 311010 Human SwissProt: P10398 Human SwissProt: O19004 Pig SwissProt: P14056 Rat Unigene: 446641 Human Unigene: 1714 Rat Important Note: This product as supplied is intended for research use only, not for use in human, therapeutic or diagnostic applications. |
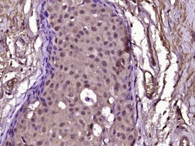
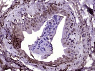
| 产品图片 | ![]() Sample: Hela(Human) Cell Lysate at 30 ug NIH/3T3(Mouse) Cell Lysate at 30 ug Primary: Anti-A Raf (bs-2251R) at 1/1000 dilution Secondary: IRDye800CW Goat Anti-Rabbit IgG at 1/20000 dilution Predicted band size: 68 kD Observed band size: 65 kD ![]() Sample: 293T(Human) Cell Lysate at 30 ug Raji(Human) Cell Lysate at 30 ug Primary: Anti-A Raf (bs-2251R) at 1/1000 dilution Secondary: IRDye800CW Goat Anti-Rabbit IgG at 1/20000 dilution Predicted band size: 68 kD Observed band size: 65 kD ![]() Paraformaldehyde-fixed, paraffin embedded (Human breast carcinoma); Antigen retrieval by boiling in sodium citrate buffer (pH6.0) for 15min; Block endogenous peroxidase by 3% hydrogen peroxide for 20 minutes; Blocking buffer (normal goat serum) at 37°C for 30min; Antibody incubation with (A Raf) Polyclonal Antibody, Unconjugated (bs-2251R) at 1:400 overnight at 4°C, followed by operating according to SP Kit(Rabbit) (sp-0023) instructionsand DAB staining. ![]() Paraformaldehyde-fixed, paraffin embedded (Rat bladder); Antigen retrieval by boiling in sodium citrate buffer (pH6.0) for 15min; Block endogenous peroxidase by 3% hydrogen peroxide for 20 minutes; Blocking buffer (normal goat serum) at 37°C for 30min; Antibody incubation with (A Raf) Polyclonal Antibody, Unconjugated (bs-2251R) at 1:400 overnight at 4°C, followed by operating according to SP Kit(Rabbit) (sp-0023) instructionsand DAB staining. |
风险提示:丁香通仅作为第三方平台,为商家信息发布提供平台空间。用户咨询产品时请注意保护个人信息及财产安全,合理判断,谨慎选购商品,商家和用户对交易行为负责。对于医疗器械类产品,请先查证核实企业经营资质和医疗器械产品注册证情况。
文献和实验Raf 蛋白 Ras 结合结构域的简并进化库合成以及利用片段互补法快速筛选二氢叶酸还原酶的快速折叠且稳定的克隆
。 亮氨酸拉链例子的结果使我们相信 DHFR PCA 可以用于解决更具挑战性的问题。在此例中,仅仅改变了几个关键氨基酸的位置,而且只有 2〜4 个氨基酸可以被替换。基于之前的理论研究 [38],我们试图严格并全面的测定使 Ser/Thr 蛋白激酶 raf 的 ras 结合结构域(RBD) 正确折叠的序列决定因素同之前发表噬菌体展示策略类似,我们所用方法的目标是鉴定出蛋白质折叠和稳定所必需的序列 [40]。其原理是:如果一个给定的 RBD 变体可以快速正确的折叠并足够稳定,那么它应该可以与 ras 相互
Detection of RTK Pathway Activation in Drosophila Using Anti-dpERK Immunofluorescence Staining
). Activation of RTKs by their extracellular ligands triggers a signal transduction cascade, mediated by the Ras/Raf/MEK cassette, which ultimately leads to dual phosphorylation and activation of the mitogen-activated protein kinase/extracellularly regulated
Introduction of human 14-3-3 proteins
which was found recently to be a major protein-tyrosine kinase (PTK)substrate,and to interact with several signaling molecules including PI3-K,in T lymphocytes.The association between 14-3-3tau and Cbl was detected both in vitro and in intact T cells and,in contrast to Raf
技术资料暂无技术资料 索取技术资料












