相关产品推荐更多 >
万千商家帮你免费找货
0 人在求购买到急需产品
- 详细信息
- 文献和实验
- 技术资料
- 供应商:
上海康朗生物科技有限公司
- 库存:
大量
- 目录编号:
kl-12049R
- 克隆性:
多克隆
- 抗原来源:
Rabbit
- 保质期:
12个月
- 抗体英文名:
5HT2A Receptor antibody
- 抗体名:
5-羟色胺受体2A抗体
- 宿主:
Rabbit
- 适应物种:
Human, Mouse, Rat, Dog, Pig, Cow, Horse, Sheep,
- 免疫原:
KLH conjugated synthetic peptide derived from human 5HT2A Receptor:51-150/471 <Extracellular>
- 亚型:
IgG
- 形态:
冻干粉或液体
- 应用范围:
WB=1:500-2000 ELISA=1:500-1000 IHC-P=1:400-800 IHC-F=1:400-800 ICC=1:100-500 IF=1:100-500
- 浓度:
1mg/ml
- 保存条件:
-20 °C
- 规格:
100ul 200ul
| 中文名称 | 5-羟色胺受体2A抗体 |
| 别 名 | SR-2A; 5 HT 2; 5 HT 2A; 5 HT2 receptor; 5 HT2A; 5 hydroxytryptamine receptor 2A; 5-HT-2; 5-HT-2A; 5-hydroxytryptamine 2A receptor; 5-hydroxytryptamine receptor 2A; 5HT2A_HUMAN; HTR 2; HTR 2A; HTR2; HTR2A; Serotonin receptor 2A. |
| 规格价格 | 100ul/1380元 购买 200ul/2200元 购买 大包装/询价 |
| 说 明 书 | 100ul 200ul |
| 研究领域 | 心血管 细胞生物 神经生物学 细胞膜受体 G蛋白偶联受体 新陈代谢 G蛋白信号 |
| 抗体来源 | Rabbit |
| 克隆类型 | Polyclonal |
| 交叉反应 | Human, Mouse, Rat, Dog, Pig, Cow, Horse, Sheep, |
| 产品应用 | WB=1:500-2000 ELISA=1:500-1000 IHC-P=1:400-800 IHC-F=1:400-800 ICC=1:100-500 IF=1:100-500 (石蜡切片需做抗原修复) not yet tested in other applications. optimal dilutions/concentrations should be determined by the end user. |
| 分 子 量 | 53kDa |
| 细胞定位 | 细胞膜 |
| 性 状 | Lyophilized or Liquid |
| 浓 度 | 1mg/ml |
| 免 疫 原 | KLH conjugated synthetic peptide derived from human 5HT2A Receptor:51-150/471 <Extracellular> |
| 亚 型 | IgG |
| 纯化方法 | affinity purified by Protein A |
| 储 存 液 | 0.01M TBS(pH7.4) with 1% BSA, 0.03% Proclin300 and 50% Glycerol. |
| 保存条件 | Store at -20 °C for one year. Avoid repeated freeze/thaw cycles. The lyophilized antibody is stable at room temperature for at least one month and for greater than a year when kept at -20°C. When reconstituted in sterile pH 7.4 0.01M PBS or diluent of antibody the antibody is stable for at least two weeks at 2-4 °C. |
| PubMed | PubMed |
| 产品介绍 | background: This gene encodes one of the receptors for serotonin, a neurotransmitter with many roles. Mutations in this gene are associated with susceptibility to schizophrenia and obsessive-compulsive disorder, and are also associated with response to the antidepressant citalopram in patients with major depressive disorder (MDD). MDD patients who also have a mutation in intron 2 of this gene show a significantly reduced response to citalopram as this antidepressant downregulates expression of this gene. Multiple transcript variants encoding different isoforms have been found for this gene. [provided by RefSeq, Sep 2009] Function: This is one of the several different receptors for 5-hydroxytryptamine (serotonin), a biogenic hormone that functions as a neurotransmitter, a hormone, and a mitogen. This receptor mediates its action by association with G proteins that activate a phosphatidylinositol-calcium second messenger system. This receptor is involved in tracheal smooth muscle contraction, bronchoconstriction, and control of aldosterone production. Subunit: Interacts with MPDZ and INADL. May interact with MPP3, PRDX6, DLG4, DLG1, CASK, APBA1 and MAGI2. Subcellular Location: Cell membrane. Localizes to the post-synaptic thickening of axo-dendritic synapses. Similarity: Belongs to the G-protein coupled receptor 1 family. SWISS: P28223 Gene ID: 3356 Database links: Entrez Gene: 3356 Human Entrez Gene: 15558 Mouse Entrez Gene: 29595 Rat Omim: 182135 Human SwissProt: P28223 Human SwissProt: P35363 Mouse SwissProt: P14842 Rat Unigene: 654586 Human Unigene: 72630 Human Unigene: 214351 Mouse Unigene: 10294 Rat Unigene: 146756 Rat Important Note: This product as supplied is intended for research use only, not for use in human, therapeutic or diagnostic applications. |
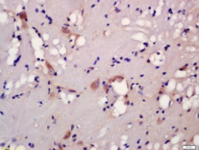
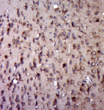
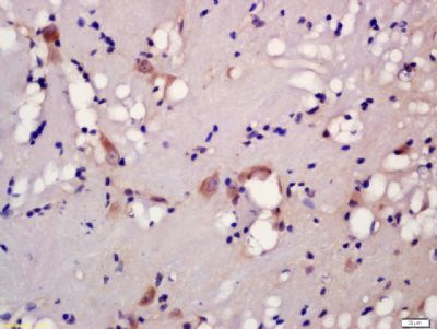
| 产品图片 | ![]() Sample: Small intestine (Mouse) Lysate at 40 ug Primary: Anti-5HT2A Receptor (bs-12049R) at 1/300 dilution Secondary: IRDye800CW Goat Anti-Rabbit IgG at 1/20000 dilution Predicted band size: 53 kD Observed band size: 53 kD ![]() Sample:Cerebellum (Mouse) Lysate at 40 ug Primary: Anti-5HT2A Receptor (bs-12049R) at 1/300 dilution Secondary: IRDye800CW Goat Anti-Rabbit IgG at 1/20000 dilution Predicted band size: 53 kD Observed band size: 53 kD ![]() Paraformaldehyde-fixed, paraffin embedded (Rat brain); Antigen retrieval by boiling in sodium citrate buffer (pH6.0) for 15min; Block endogenous peroxidase by 3% hydrogen peroxide for 20 minutes; Blocking buffer (normal goat serum) at 37°C for 30min; Antibody incubation with (5HT2A Receptor) Polyclonal Antibody, Unconjugated (bs-12049R) at 1:400 overnight at 4°C, followed by a conjugated secondary (sp-0023) for 20 minutes and DAB staining. ![]() Tissue/cell: rat brain tissue; 4% Paraformaldehyde-fixed and paraffin-embedded; Antigen retrieval: citrate buffer ( 0.01M, pH 6.0 ), Boiling bathing for 15min; Block endogenous peroxidase by 3% Hydrogen peroxide for 30min; Blocking buffer (normal goat serum,C-0005) at 37℃ for 20 min; Incubation: Anti-5HT2A Polyclonal Antibody, Unconjugated(bs-12049R) 1:200, overnight at 4°C, followed by conjugation to the secondary antibody(SP-0023) and DAB(C-0010) staining |
风险提示:丁香通仅作为第三方平台,为商家信息发布提供平台空间。用户咨询产品时请注意保护个人信息及财产安全,合理判断,谨慎选购商品,商家和用户对交易行为负责。对于医疗器械类产品,请先查证核实企业经营资质和医疗器械产品注册证情况。
文献和实验Characterization of 5‐HT1A,B and 5‐HT2A,C Serotonin Receptor Binding
assays for measuring the binding of radioligands to two major types of receptors for 5?hydroxytryptamine (5?HT or serotonin), 5?HT1 and 5?HT2 receptors, in homogenates of brain tissue or cloned into cells in culture. The specific receptor subtypes covered
Aspects of CNS Lupus: Mouse Models of Anti-NMDA Receptor Antibody Mediated Reactivity
This chapter describes methods utilized in establishing a mouse model of neuropsychiatric lupus encompassing both cognitive and emotional dysfunction, and a model of the influence of maternal antibody on the developing brain. The antibody
This work describes protocols for the production of single-chain antibody and T-cell receptor fragments inE. coli . A choice of methods is given for the purification of the recombinant fragments that rely on the use of either immunoaffinity
技术资料暂无技术资料 索取技术资料














