相关产品推荐更多 >
万千商家帮你免费找货
0 人在求购买到急需产品
- 详细信息
- 文献和实验
- 技术资料
- 供应商:
上海联迈生物工程有限公司
- 库存:
大量
- 目录编号:
LM-0778R
- 克隆性:
多克隆
- 抗原来源:
Rabbit
- 保质期:
1年
- 抗体英文名:
CD90
- 抗体名:
CD90抗体
- 宿主:
Rabbit
- 适应物种:
Human, Mouse, Rat, Dog, Pig, Horse, Sheep,
- 免疫原:
KLH conjugated synthetic peptide derived from rat Thy-1 (52-100aa):31-120/161 <Extracellular>
- 亚型:
IgG
- 形态:
Lyophilized or Liquid
- 应用范围:
WB=1:500-2000 IHC-P=1:400-800 IHC-F=1:400-800 Flow-Cyt=1μg/Test IF=1:100-500 (石蜡切片需做抗原修复)
- 浓度:
1mg/ml
- 保存条件:
Store at -20 °C
- 规格:
50ul 100ul 200ul
| 英文名称 | CD90 |
| 中文名称 | CD90抗体 |
| 别 名 | CD90 / Thy1; CD7; CD90; CD90 antigen; CDw90; FLJ33325; MGC128895; T25; Theta antigen; Thy-1; Thy 1; Thy 1 cell surface antigen; Thy 1 membrane glycoprotein; Thy 1 membrane glycoprotein precursor; Thy 1.2; Thy-1 T-cell antigen; Thy1 antigen; Thy1 T cell antigen; Thy1.1; Thy1.2; Thymus cell antigen 1, theta; THY1_RAT; THY1_HUMAN. |
![]() |
Specific References (12) | bs-0778R has been referenced in 12 publications. [IF=6.72] Chen, Guobao, et al. "3D Scaffolds with Different Stiffness but Same Microstructure for Bone Tissue Engineering." ACS Applied Materials & Interfaces (2015). IHC-F ; Rat. PubMed:26151287 [IF=1.52] Tepekoy, Filiz, et al. "CD90 and CD105 expression in the mouse ovary and testis at different stages of postnatal development." Reproductive Biology(2015). IHC-P ; Mouse. PubMed:26679159 [IF=3.36] Long, Q., et al. "Bone marrow mesenchymal stem cell transplantation improves cognitive impairment via up-regulation of hippocampal GABAergic system in a rat model of chronic cerebral hypoperfusion." Neuroscience (2015). Rat. PubMed:26545982 [IF=1.80] Vansandt, Lindsey M., et al. "Conservation of spermatogonial stem cell marker expression in undifferentiated felid spermatogonia." Theriogenology(2016). IHC-P ; Other Species. PubMed:27129396 [IF=1.43] Zeng, Biao, et al. "Increased expression of importin13 in endometriosis and endometrial carcinoma." Medical Science Monitor 18.6 (2012): CR361-CR367. IHC-P ; Human. PubMed:22648251 [IF=1.06] Scott, Erin M., et al. "Early histopathologic changes in the retina and optic nerve in canine primary angle‐closure glaucoma." Veterinary ophthalmology16.s1 (2013): 79-86. IHC-P ; Dog. PubMed:23826772 [IF=0.00] Gstraunthaler, Gerhard, et al. "Human platelet lysates successfully replace fetal bovine serum in adipose-derived adult stem cell culture." Journal of Advanced Biotechnology and Bioengineering 2.1 (2014): 1-11. IF(ICC) ; Human. PubMed:0 [IF=0.52] Utomo, Pamudji, et al. "Decreasing SDF1-CXCR4 Expression after Adipose-Derived Mesenchymal Stem Cells (ASCS) Treatment Combined with Freeze-Dried Amniotic Membrane Wrapping in Rat Sciatic Nerve Injury." International Journal of ChemTech Research. IF(ICC) ; Rat. PubMed:0 [IF=1.92] Ma, Caiyun, et al. "Cryopreservation and multipotential characteristics evaluation of a novel type of mesenchymal stem cells derived from Small Tailed Han Sheep fetal lung tissue." Cryobiology (2017). FCM ; Sheep. PubMed:28284665 [IF=2.94] Wang, Kai, et al. "Over-expression of Mash1 improves the GABAergic differentiation of bone marrow mesenchymal stem cells< i> in vitro." Brain Research Bulletin (2013). FCM ; Rat. PubMed:24144723 [IF=2.88] Long, Qianfa, et al. "Genetically engineered bone marrow mesenchymal stem cells improve functional outcome in a rat model of epilepsy." Brain Research (2013). Rat. PubMed:23928226 [IF=2.26] Yu, Xian-huan, et al. "Clinicopathological characteristics of 20 cases of hepatocellular carcinoma with bile duct tumor thrombi." Digestive diseases and sciences 56.1 (2011): 252-259. IHC-P ; Human. PubMed:20437099 |
| 规格价格 | 50ul/780元 购买 100ul/1380元 购买 200ul/2200元 购买 大包装/询价 |
| 说 明 书 | 50ul 100ul 200ul |
| 研究领域 | 细胞生物 免疫学 神经生物学 |
| 抗体来源 | Rabbit |
| 克隆类型 | Polyclonal |
| 交叉反应 | Human, Mouse, Rat, Dog, Pig, Horse, Sheep, |
| 产品应用 | WB=1:500-2000 IHC-P=1:400-800 IHC-F=1:400-800 Flow-Cyt=1μg/Test IF=1:100-500 (石蜡切片需做抗原修复) not yet tested in other applications. optimal dilutions/concentrations should be determined by the end user. |
| 分 子 量 | 12kDa |
| 细胞定位 | 细胞膜 |
| 性 状 | Lyophilized or Liquid |
| 浓 度 | 1mg/ml |
| 免 疫 原 | KLH conjugated synthetic peptide derived from rat Thy-1 (52-100aa):31-120/161 <Extracellular> |
| 亚 型 | IgG |
| 纯化方法 | affinity purified by Protein A |
| 储 存 液 | 0.01M TBS(pH7.4) with 1% BSA, 0.03% Proclin300 and 50% Glycerol. |
| 保存条件 | Store at -20 °C for one year. Avoid repeated freeze/thaw cycles. The lyophilized antibody is stable at room temperature for at least one month and for greater than a year when kept at -20°C. When reconstituted in sterile pH 7.4 0.01M PBS or diluent of antibody the antibody is stable for at least two weeks at 2-4 °C. |
| PubMed | PubMed |
| 产品介绍 | background: Thy-1 or CD90 (Cluster of Differentiation 90) is a 25–37 kDa heavily N-glycosylated, glycophosphatidylinositol (GPI) anchored conserved cell surface protein with a single V-like immunoglobulin domain, originally discovered as a thymocyte antigen. Thy-1can be used as a marker for a variety of stem cells and for the axonal processes of mature neurons. Structural study of Thy-1 lead to the foundation of the Immunoglobulin superfamily, of which it is the smallest member, and led to some of the initial biochemical description and characterization of a vertebrate GPI anchor and also the first demonstration of tissue specific differential glycosylation. Function: May play a role in cell-cell or cell-ligand interactions during synaptogenesis and other events in the brain. Subcellular Location: Cell membrane; Lipid-anchor, GPI-anchor. Tissue Specificity: Abundant in lymphoid tissues. Post-translational modifications: Glycosylation is tissue specific. Sialylation of N-glycans at Asn-93 in brain and at Asn-42, Asn-93 and Asn-117 in thymus. Similarity: Contains 1 Ig-like V-type (immunoglobulin-like) domain. SWISS: P01830 Gene ID: 24832 Database links: Entrez Gene: 7070 Human Entrez Gene: 21838 Mouse Entrez Gene: 24832 Rat Omim: 188230 Human SwissProt: P04216 Human SwissProt: P01831 Mouse SwissProt: P01830 Rat Unigene: 644697 Human Unigene: 3951 Mouse Unigene: 108198 Rat Important Note: This product as supplied is intended for research use only, not for use in human, therapeutic or diagnostic applications. |
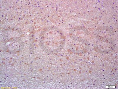
| 产品图片 | ![]() Sample: Brain (Mouse) Lysate at 40 ug Primary: Anti-CD90 (bs-0778R) at 1/300 dilution Secondary: IRDye800CW Goat Anti-Rabbit IgG at 1/20000 dilution Predicted band size: 12 kD Observed band size: 32 kD ![]() Sample: Brain (Mouse) Lysate at 40 ug Primary: Anti-CD90 (bs-0778R) at 1/300 dilution Secondary: IRDye800CW Goat Anti-Rabbit IgG at 1/20000 dilution Predicted band size: 12 kD Observed band size: 32 kD ![]() Tissue/cell: rat brain tissue; 4% Paraformaldehyde-fixed and paraffin-embedded; Antigen retrieval: citrate buffer ( 0.01M, pH 6.0 ), Boiling bathing for 15min; Block endogenous peroxidase by 3% Hydrogen peroxide for 30min; Blocking buffer (normal goat serum,C-0005) at 37℃ for 20 min; Incubation: Anti-Thy-1/CD90/ Thy1.1 Polyclonal Antibody, Unconjugated(bs-0778R) 1:200, overnight at 4°C, followed by conjugation to the secondary antibody(SP-0023) and DAB(C-0010) staining ![]() ![]() Blank control: U937(blue). Primary Antibody: Rabbit Anti-CD90 antibody(bs-0778R), Dilution: 1μg in 100 μL 1X PBS containing 0.5% BSA; Isotype Control Antibody: Rabbit IgG (orange) ,used under the same conditions. Secondary Antibody: Goat anti-rabbit IgG-PE(white blue), Dilution: 1:200 in 1 X PBS containing 0.5% BSA. Protocol The cells were fixed with 2% paraformaldehyde (10 min).Primary antibody (bs-0778R, 1μg /1x10^6 cells) were incubated for 30 min on the ice, followed by 1 X PBS containing 0.5% BSA + 10% goat serum (15 min) to block non-specific protein-protein interactions. Then the Goat Anti-rabbit IgG/PE antibody was added into the blocking buffer mentioned above to react with the primary antibody at 1/200 dilution for 30 min on ice. Acquisition of 20,000 events was performed. ![]() Blank control (blue line): U251 (blue). Primary Antibody (green line): Rabbit Anti- CD90 antibody (bs-0778R) Dilution: 1μg /10^6 cells; Isotype Control Antibody (orange line): Rabbit IgG . Secondary Antibody (white blue line): Goat anti-rabbit IgG-FITC Dilution: 1μg /test. Protocol The cells were fixed with 70% ice-cold methanol overnight at 4℃. Cells stained with Primary Antibody for 30 min at room temperature. The cells were then incubated in 1 X PBS/2%BSA/10% goat serum to block non-specific protein-protein interactions followed by the antibody for 15 min at room temperature. The secondary antibody used for 40 min at room temperature. Acquisition of 20,000 events was performed. |
风险提示:丁香通仅作为第三方平台,为商家信息发布提供平台空间。用户咨询产品时请注意保护个人信息及财产安全,合理判断,谨慎选购商品,商家和用户对交易行为负责。对于医疗器械类产品,请先查证核实企业经营资质和医疗器械产品注册证情况。
文献和实验CD90 分子 CD90 常用单克隆抗体或代号: 5E10;(Thy1.23) 主要表达细胞: Pre- B,Pro- Hem,大脑[AS] 分子质量(kDa)和结构: gp 25- 35 (GPI连接)(IgSF) 功 能: T细胞活化、识别、粘附 CD90 Summary: May mediate differentiation of hemaoietic stem cells and synaptogenesis
抗体的结构决定了其对应的功能,同一抗体的V区和C区的氨基酸组成和顺序不同,决定了其功能上的差异。V区和C区的组成和结构,决定了抗体的生物学功能。 图1:抗体的主要功能(图片来源:Abbas et al: Cellular and Molecular Immunology, 7e.) 1、特异性识别功能 抗体可以通过其结构上的可变区域与抗原结合,同时,具有极高的特异性。这种特异性识别功能可以使抗体识别和结合到感染的病原体,肿瘤细胞等不同种类的分子,帮助免疫系统识别并定位到这些分子,进而启动
在生命科学和医学基础研究中,或多或少都需要用到抗体。抗体的应用场景不同、标记物众多,且针对同一标记物市场上往往有多个抗体可供选择,那么,我们如何从成百万上千万种抗体中,挑选出我们想要的那支呢? 在我们6月份的关于抗体的调研活动中,我们发现,大家更多的是去参考文献或专利中的材料和方法部分,这无疑很大程度上保证了抗体的有效性。其次有45%和34%的受访者会用到百度和谷歌,然而这两个搜索引擎覆盖面颇广,经常会出现抗体无关的搜索结果,而专业用于查找抗体的网站,大家却知之甚少。 因此,本次文章中
技术资料暂无技术资料 索取技术资料

















