相关产品推荐更多 >
万千商家帮你免费找货
0 人在求购买到急需产品
- 详细信息
- 文献和实验
- 技术资料
- 供应商:
上海联迈生物工程有限公司
- 库存:
大量
- 目录编号:
LM-0683R
- 克隆性:
多克隆
- 抗原来源:
Rabbit
- 保质期:
1年
- 抗体英文名:
LRRK2
- 抗体名:
富亮氨酸重复激酶2抗体
- 宿主:
Rabbit
- 适应物种:
Human, Mouse, Rat, Cow,
- 免疫原:
KLH conjugated synthetic peptide derived from human LRRK2:2455-2527/2527
- 亚型:
IgG
- 形态:
Lyophilized or Liquid
- 应用范围:
WB=1:500-2000 ELISA=1:500-1000 IHC-P=1:400-800 IHC-F=1:400-800 Flow-Cyt=1μg/Test IF=1:100-500 (石蜡切片需做抗原修复)
- 浓度:
1mg/ml
- 保存条件:
Store at -20 °C
- 规格:
100ul 200ul
| 英文名称 | LRRK2 |
| 中文名称 | 富亮氨酸重复激酶2抗体 |
| 别 名 | Dardarin; Leucine rich repeat kinase 2; LRRK 2; LRRK-2; LRRK2; PARK 8; PARK8; ROCO 2; ROCO-2; ROCO2; Leucine-rich repeat serine/threonine-protein kinase 2; Dardarin; LRRK2_HUMAN; augmented in rheumatoid arthritis 17; AURA17; Leucine rich repeat kinase 2; RIPK7. |
![]() |
Specific References (1) | bs-0683R has been referenced in 1 publications. [IF=2.94] Zhang, Shuai-nan, et al. "Cerebral potential biomarkers discovery and metabolic pathways analysis of α-synucleinopathies and the dual effects of Acanthopanax senticosus Harms on central nervous system through metabolomics analysis." Journal of ethnopharmacology (2015). WB ; Mouse. PubMed:25660332 |
| 规格价格 | 100ul/1380元 购买 200ul/2200元 购买 大包装/询价 |
| 说 明 书 | 100ul 200ul |
| 研究领域 | 免疫学 神经生物学 |
| 抗体来源 | Rabbit |
| 克隆类型 | Polyclonal |
| 交叉反应 | Human, Mouse, Rat, Cow, |
| 产品应用 | WB=1:500-2000 ELISA=1:500-1000 IHC-P=1:400-800 IHC-F=1:400-800 Flow-Cyt=1μg/Test IF=1:100-500 (石蜡切片需做抗原修复) not yet tested in other applications. optimal dilutions/concentrations should be determined by the end user. |
| 分 子 量 | 286kDa |
| 细胞定位 | 细胞浆 细胞膜 |
| 性 状 | Lyophilized or Liquid |
| 浓 度 | 1mg/ml |
| 免 疫 原 | KLH conjugated synthetic peptide derived from human LRRK2:2455-2527/2527 |
| 亚 型 | IgG |
| 纯化方法 | affinity purified by Protein A |
| 储 存 液 | 0.01M TBS(pH7.4) with 1% BSA, 0.03% Proclin300 and 50% Glycerol. |
| 保存条件 | Store at -20 °C for one year. Avoid repeated freeze/thaw cycles. The lyophilized antibody is stable at room temperature for at least one month and for greater than a year when kept at -20°C. When reconstituted in sterile pH 7.4 0.01M PBS or diluent of antibody the antibody is stable for at least two weeks at 2-4 °C. |
| PubMed | PubMed |
| 产品介绍 | background: LRRK2 (Dardarin) is encoded by the gene LRRK2. Genetic mutations of LRRK2 have been linked to Parkinsonism and synucleinopathies. LRRK2 belongs to the ROCO protein family and includes a protein kinase domain of the MAPKKK class and several other major functional domains. Function: May play a role in the phosphorylation of proteins central to Parkinson disease. Phosphorylates PRDX3. May also have GTPase activity. Subcellular Location: Cytoplasm. Membrane. Mitochondrion. Localized in the cytoplasm and associated with cellular membrane structures. Associates with the mitochondrial outer membrane. Tissue Specificity: Expressed throughout the adult brain, but at a lower level than in heart and liver. Also expressed in placenta, lung, skeletal muscle, kidney and pancreas. In the brain, expressed in the cerebellum, cerebral cortex, medulla, spinal cord occipital pole, frontal lobe, temporal lobe and putamen. Expression is particularly high in brain dopaminoceptive areas. DISEASE: Defects in LRRK2 are the cause of Parkinson disease type 8 (PARK8) [MIM:607060]. A slowly progressive neurodegenerative disorder characterized by bradykinesia, rigidity, resting tremor, postural instability, neuronal loss in the substantia nigra, and the presence of neurofibrillary MAPT (tau)-positive and Lewy bodies in some patients. Similarity: Belongs to the protein kinase superfamily. TKL Ser/Thr protein kinase family. Contains 12 LRR (leucine-rich) repeats. Contains 1 protein kinase domain. Contains 1 Roc domain. SWISS: Q5S007 Gene ID: 120892 Database links: Entrez Gene: 120892 Human Entrez Gene: 66725 Mouse Entrez Gene: 300160 Rat Omim: 609007 Human SwissProt: Q5S007 Human SwissProt: Q5S006 Mouse Unigene: 187636 Human Unigene: 37558 Mouse Unigene: 213971 Rat Important Note: This product as supplied is intended for research use only, not for use in human, therapeutic or diagnostic applications. 主要用于:帕金森氏病的研究 亮氨酸丰富区重复激酶2 |
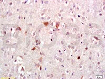
| 产品图片 | ![]() Tissue/cell: rat brain tissue; 4% Paraformaldehyde-fixed and paraffin-embedded; Antigen retrieval: citrate buffer ( 0.01M, pH 6.0 ), Boiling bathing for 15min; Block endogenous peroxidase by 3% Hydrogen peroxide for 30min; Blocking buffer (normal goat serum,C-0005) at 37℃ for 20 min; Incubation: Anti-LRRK2 Polyclonal Antibody, Unconjugated(bs-0683R) 1:300, overnight at 4°C, followed by conjugation to the secondary antibody(SP-0023) and DAB(C-0010) staining ![]() Blank control: A549(blue), the cells were fixed with 2% paraformaldehyde (10 min) and then permeabilized with ice-cold 90% methanol for 30 min on ice.. Isotype Control Antibody: Rabbit IgG(orange) ; Secondary Antibody: Goat anti-rabbit IgG-FITC(white blue), Dilution: 1:100 in 1 X PBS containing 0.5% BSA ; Primary Antibody Dilution: 1μg in 100 μL1X PBS containing 0.5% BSA(green). |
风险提示:丁香通仅作为第三方平台,为商家信息发布提供平台空间。用户咨询产品时请注意保护个人信息及财产安全,合理判断,谨慎选购商品,商家和用户对交易行为负责。对于医疗器械类产品,请先查证核实企业经营资质和医疗器械产品注册证情况。
文献和实验有一个简单但很说明问题的实验,可以表明受体交联对于B细胞激活的重要性。分别用抗BCR抗体的Fab片段或F(ab)2片段处理B细胞。Fab因为是单价,不能交联BCR,故不能刺激B细胞活化。F(ab)2可分别与两个BCR分子结合而使之交联,B细胞可有微弱的激活。如果再进一步用抗F(ab)2抗体,通过与两个F(ab)2结合而使更多的BCR交联,则B细胞可获得很强的激活信号。显然,此处实施交联的是抗BCR抗体及抗抗体,而抗原对B细胞激活中发生的是抗原分子或相关复合结构对BCR的交联。 BCR
1,筛查试剂 必须是经国家食品药品监督管理局注册批准,批批合格,在有效期内的试剂。推荐使用经临床质量评估敏感性和特异性高的试剂。 2,筛查方法 (1),常用的筛查方法是酶联免疫试(ELISA) 目前国内外主要使用第三代(双抗原夹心法)试剂,少数使用第二代试剂。血源筛查仍以第三代ELISA为主,国际上有些国家和区已将线性免疫酶测定(第四代ELISA试剂)用于血源筛查。第四代ELISA试剂是最近发展起来的HIV抗原抗体联合测定试剂,可同时测P24抗原和抗HIV-1/2抗体
-1和HIV-2(最好的是抗原/抗体联合试验)。初步试验反应性标本应再用能区别HIV-1和HIV-2感染的抗体免疫学检测。如果鉴别试验也是反应性,表明HIV-1或HIV-2抗体存在。如果鉴别试验是阴性,应进一步采取定性或定量NAT来识别或排除急性HIV-1感染。根据急性感染的患病率,初步试验呈反应性标本 注:1当不能进行抗原/抗体联合免疫学分析时,A可以是IgM灵敏的抗体免疫学试验; 2 重复A(+)和B(+)根据试验而定;
技术资料暂无技术资料 索取技术资料













