相关产品推荐更多 >
万千商家帮你免费找货
0 人在求购买到急需产品
- 详细信息
- 文献和实验
- 技术资料
- 供应商:
上海康朗生物科技有限公司
- 库存:
大量
- 目录编号:
kl-2104R
- 克隆性:
多克隆
- 抗原来源:
Rabbit
- 保质期:
12个月
- 抗体英文名:
TNFAIP1 antibody
- 抗体名:
肿瘤坏死因子α诱导蛋白1抗体
- 宿主:
Rabbit
- 适应物种:
Human, Mouse, Rat,
- 免疫原:
KLH conjugated synthetic peptide derived from human TNFAIP1:231-316/316
- 亚型:
IgG
- 形态:
冻干粉或液体
- 应用范围:
WB=1:500-2000 ELISA=1:500-1000 IHC-P=1:400-800 IHC-F=1:400-800 IF=1:100-500
- 浓度:
1mg/ml
- 保存条件:
-20 °C
- 规格:
50ul 100ul 200ul
| 中文名称 | 肿瘤坏死因子α诱导蛋白1抗体 |
| 别 名 | tumor necrosis factor, alpha-induced protein 1-like; Tumor necrosis factor-alpha-induced protein 1; Tumor necrosis factor alpha induced protein 1 (endothelial); BACD2_HUMAN; BTB/POZ domain-containing adapter for CUL3-mediated RhoA degradation protein 2; BTB/POZ domain-containing protein TNFAIP1; endothelial; hBACURD2; Protein B12; tnfaip1; Tumor necrosis factor alpha induced protein 1; TNF-IP 1; TNF-IP-1; TNF-IP1. |
| 规格价格 | 50ul/780元 购买 100ul/1380元 购买 200ul/2200元 购买 大包装/询价 |
| 说 明 书 | 50ul 100ul 200ul |
| 研究领域 | 肿瘤 细胞生物 免疫学 神经生物学 细胞凋亡 |
| 抗体来源 | Rabbit |
| 克隆类型 | Polyclonal |
| 交叉反应 | Human, Mouse, Rat, |
| 产品应用 | WB=1:500-2000 ELISA=1:500-1000 IHC-P=1:400-800 IHC-F=1:400-800 IF=1:100-500 (石蜡切片需做抗原修复) not yet tested in other applications. optimal dilutions/concentrations should be determined by the end user. |
| 分 子 量 | 35kDa |
| 细胞定位 | 细胞核 细胞浆 |
| 性 状 | Lyophilized or Liquid |
| 浓 度 | 1mg/ml |
| 免 疫 原 | KLH conjugated synthetic peptide derived from human TNFAIP1:231-316/316 |
| 亚 型 | IgG |
| 纯化方法 | affinity purified by Protein A |
| 储 存 液 | 0.01M TBS(pH7.4) with 1% BSA, 0.03% Proclin300 and 50% Glycerol. |
| 保存条件 | Store at -20 °C for one year. Avoid repeated freeze/thaw cycles. The lyophilized antibody is stable at room temperature for at least one month and for greater than a year when kept at -20°C. When reconstituted in sterile pH 7.4 0.01M PBS or diluent of antibody the antibody is stable for at least two weeks at 2-4 °C. |
| PubMed | PubMed |
| 产品介绍 | background: This gene was identified as a gene whose expression can be induced by the tumor necrosis factor alpha (TNF) in umbilical vein endothelial cells. Studies of a similar gene in mouse suggest that the expression of this gene is developmentally regulated in a tissue-specific manner. [provided by RefSeq, Jul 2008]. Function: Substrate-specific adapter of a BCR (BTB-CUL3-RBX1) E3 ubiquitin-protein ligase complex involved in regulation of cytoskeleton structure. The BCR(BACURD2) E3 ubiquitin ligase complex mediates the ubiquitination of RHOA, leading to its degradation by the proteasome, thereby regulating the actin cytoskeleton and cell migration. Its interaction with RHOB may regulate apoptosis. May enhance the PCNA-dependent DNA polymerase delta activity. Subcellular Location: Cytoplasm. Nucleus. Endosome. Colocalizes with RHOB in endosomes. Post-translational modifications: Phosphorylation at Ser-280 by CK2 facilitates the nucleus localization and increases interaction with PCNA. Similarity: Belongs to the BACURD family. Contains 1 BTB (POZ) domain. SWISS: Q13829 Gene ID: 7126 Database links: Entrez Gene: 7126 Human Entrez Gene: 21927 Mouse Entrez Gene: 287543 Rat Omim: 191161 Human SwissProt: Q13829 Human SwissProt: O70479 Mouse SwissProt: Q7TNY1 Rat Unigene: 76090 Human Unigene: 386774 Mouse Unigene: 18199 Rat Important Note: This product as supplied is intended for research use only, not for use in human, therapeutic or diagnostic applications. TNFAIP1 protein是第一个被鉴定受肿瘤坏死因子α诱导的蛋白,实验证明TNFAIP1 蛋白可能参与DNA复制、合成、细胞凋亡以及人类的各种疾病等重要生理过程,但还有一些功能不清。 |
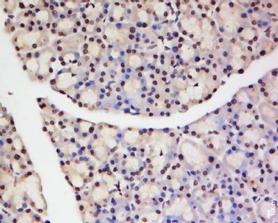
| 产品图片 | ![]() Tissue/cell: Rat pancreas tissue; 4% Paraformaldehyde-fixed and paraffin-embedded; Antigen retrieval: citrate buffer ( 0.01M, pH 6.0 ), Boiling bathing for 15min; Block endogenous peroxidase by 3% Hydrogen peroxide for 30min; Blocking buffer (normal goat serum,C-0005) at 37℃ for 20 min; Incubation: Anti-TNFAIP1 Polyclonal Antibody, Unconjugated(bs-2104R) 1:200, overnight at 4°C, followed by conjugation to the secondary antibody(SP-0023) and DAB(C-0010) staining |
风险提示:丁香通仅作为第三方平台,为商家信息发布提供平台空间。用户咨询产品时请注意保护个人信息及财产安全,合理判断,谨慎选购商品,商家和用户对交易行为负责。对于医疗器械类产品,请先查证核实企业经营资质和医疗器械产品注册证情况。
文献和实验Generation of Antibody Molecules Through Antibody Engineering
been overcome to a large extent using genetic-engineering techniques to produce chimeric mouse/human and completely human antibodies. Such an approach is particularly suitable because of the domain structure of the antibody molecule ( 2 ), where functional
The importance of antibody molecules was first recognized in the 1890s, when it was shown that immunity to tetanus and diphtheria was caused by antibodies against the bacterial exotoxins (1 ). Around the same time, it was shown that antisera
General comments: Antibodies, like most proteins, do not like to be freeze-thawed. Avoid repetitive freezing of your solution. The best way to store your antibody is to keep a high protein concentration (>1 mg/ml), add some protease
技术资料暂无技术资料 索取技术资料











