相关产品推荐更多 >
万千商家帮你免费找货
0 人在求购买到急需产品
- 详细信息
- 文献和实验
- 技术资料
- 供应商:
上海康朗生物科技有限公司
- 库存:
大量
- 目录编号:
kl-20414R
- 克隆性:
多克隆
- 抗原来源:
Rabbit
- 保质期:
12个月
- 抗体英文名:
LC3A/B antibody
- 抗体名:
自噬微管相关蛋白轻链3A/3B抗体
- 宿主:
Rabbit
- 适应物种:
Human, Mouse, Rat, Cow, Horse, Sheep, Guinea Pig,
- 免疫原:
KLH conjugated synthetic peptide derived from human LC3A/B:1-50/121
- 亚型:
IgG
- 形态:
冻干粉或液体
- 应用范围:
ELISA=1:500-1000 IHC-P=1:400-800 IHC-F=1:400-800 Flow-Cyt=1μg/Test ICC=1:100-500 IF=1:100-500
- 浓度:
1mg/ml
- 保存条件:
-20 °C
- 规格:
100ul 200ul
| 中文名称 | 自噬微管相关蛋白轻链3A/3B抗体 |
| 别 名 | Autophagy related protein LC3 A; Autophagy related protein LC3 B; Autophagy related ubiquitin like modifier LC3 A; Autophagy related ubiquitin like modifier LC3 B; LC3; MAP1 light chain 3 like protein 1; MAP1 light chain 3 like protein 2; MAP1A/1B light chain 3 A; MAP1A/1B light chain 3 B; MAP1A/1BLC3; MAP1A/MAP1B LC3 A; MAP1A/MAP1B LC3 B; MAP1ALC3; MAP1BLC3; MAP1LC3A; MAP1LC3B; Microtubule associated protein 1 light chain 3 alpha; Microtubule associated protein 1 light chain 3 beta; Microtubule associated proteins 1A/1B light chain 3; Microtubule associated proteins 1A/1B light chain 3A; Microtubule associated proteins 1A/1B light chain 3B; MLP3A_HUMAN. |
| 规格价格 | 100ul/1380元 购买 200ul/2200元 购买 大包装/询价 |
| 说 明 书 | 100ul 200ul |
| 研究领域 | 肿瘤 细胞生物 神经生物学 信号转导 细胞骨架 细胞外基质 |
| 抗体来源 | Rabbit |
| 克隆类型 | Polyclonal |
| 交叉反应 | Human, Mouse, Rat, Cow, Horse, Sheep, Guinea Pig, |
| 产品应用 | ELISA=1:500-1000 IHC-P=1:400-800 IHC-F=1:400-800 Flow-Cyt=1μg/Test ICC=1:100-500 IF=1:100-500 (石蜡切片需做抗原修复) not yet tested in other applications. optimal dilutions/concentrations should be determined by the end user. |
| 分 子 量 | 14kDa |
| 细胞定位 | 细胞浆 细胞膜 |
| 性 状 | Lyophilized or Liquid |
| 浓 度 | 1mg/ml |
| 免 疫 原 | KLH conjugated synthetic peptide derived from human LC3A/B:1-50/121 |
| 亚 型 | IgG |
| 纯化方法 | affinity purified by Protein A |
| 储 存 液 | Preservative: 15mM Sodium Azide, Constituents: 1% BSA, 0.01M PBS, pH 7.4 |
| 保存条件 | Store at -20 °C for one year. Avoid repeated freeze/thaw cycles. The lyophilized antibody is stable at room temperature for at least one month and for greater than a year when kept at -20°C. When reconstituted in sterile pH 7.4 0.01M PBS or diluent of antibody the antibody is stable for at least two weeks at 2-4 °C. |
| PubMed | PubMed |
| 产品介绍 | background: A major contributor to cellular homeostasis is the ability of the cell to strike a balance between the formation and degradation/removal of its cellular components. This process of internal cellular turn-over is called autophagy (self-eating), and is facilitated by a pathway of around 16 interacting proteins in the human. LC3, a ubiquitin-like modifier protein, is the human homolog of yeast Apg8 and is involved in the formation of autophagosomal vacuoles, called autophagosomes. LC3 is expressed as 3 splice variants (LC3A, LC3B and LC3C), which exhibit different tissue distributions and are processed into cytosolic and autophagosomal membrane-bound forms, termed LC3-I and LC3-II, respectively. A disruption to the autophagic process is now associated with the progression of several cancers, neurodegenerative disorders and cardiac pathologies, where LC3 is widely employed as a marker for autophagy. Function: Probably involved in formation of autophagosomal vacuoles (autophagosomes). Subunit: 3 different light chains, LC1, LC2 and LC3, can associate with MAP1A and MAP1B proteins (By similarity). Interacts with SQSTM1 (By similarity). Interacts with TP53INP1 and TP53INP2. Subcellular Location: Cytoplasmic. Endomembrane system; Lipid-anchor. Cytoplasmic vesicle, autophagosome membrane; Lipid-anchor. Note: LC3B binds to the autophagic membranes. Tissue Specificity: Most abundant in heart, brain, liver, skeletal muscle and testis but absent in thymus and peripheral blood leukocytes. Post-translational modifications: The precursor molecule is cleaved by APG4B/ATG4B to form the cytosolic form, LC3-I. This is activated by APG7L/ATG7, transferred to ATG3 and conjugated to phospholipid to form the membrane-bound form, LC3-II. Similarity: Belongs to the MAP1 LC3 family. SWISS: Q9GZQ8 Gene ID: 81631 Database links: Entrez Gene: 81631 Human Entrez Gene: 84557 Human Entrez Gene: 66734 Mouse Entrez Gene: 67443 Mouse Entrez Gene: 362245 Rat Entrez Gene: 64862 Rat Omim: 601242 Human Omim: 609604 Human SwissProt: Q9GZQ8 Human SwissProt: Q9H492 Human SwissProt: Q91VR7 Mouse SwissProt: Q9CQV6 Mouse SwissProt: Q62625 Rat SwissProt: Q6XVN8 Rat Unigene: 356061 Human Unigene: 196239 Mouse Unigene: 28357 Mouse Unigene: 41412 Rat Important Note: This product as supplied is intended for research use only, not for use in human, therapeutic or diagnostic applications. |
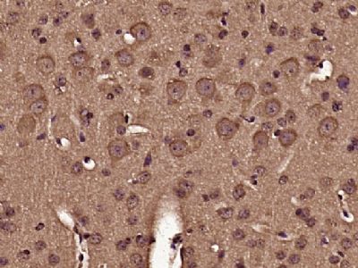
| 产品图片 | ![]() Paraformaldehyde-fixed, paraffin embedded (Mouse brain); Antigen retrieval by boiling in sodium citrate buffer (pH6.0) for 15min; Block endogenous peroxidase by 3% hydrogen peroxide for 20 minutes; Blocking buffer (normal goat serum) at 37°C for 30min; Antibody incubation with (LC3A/B) Polyclonal Antibody, Unconjugated (bs-20414R) at 1:400 overnight at 4°C, followed by operating according to SP Kit(Rabbit) (sp-0023) instructionsand DAB staining. ![]() Blank control (blue line): Hela (fixed with 70% ethanol (Overmight at 4℃) and then permeabilized with 90% ice-cold methanol for 30 min at -20℃). Primary Antibody (green line): Rabbit Anti-LC3A/B antibody (bs-20414R), Dilution: 0.2μg /10^6 cells; Isotype Control Antibody (orange line): Rabbit IgG . Secondary Antibody (white blue line): Goat anti-rabbit IgG-PE,Dilution: 1μg /test. |
风险提示:丁香通仅作为第三方平台,为商家信息发布提供平台空间。用户咨询产品时请注意保护个人信息及财产安全,合理判断,谨慎选购商品,商家和用户对交易行为负责。对于医疗器械类产品,请先查证核实企业经营资质和医疗器械产品注册证情况。
文献和实验Detection of Hepatitis B Virus X Antigen by Immunohistochemistry and Western Blotting
The genome of hepatitis B virus (HBV) is a partially double-stranded DNA molecule within virus particles that is approx 3.2 kbp long (1 ,2 ). It has four open reading frames, all on one strand, that encode the surface antigen or envelope
Abrogation of p53-Induced Apoptosis by the Hepatitis B Virus X Gene
Hepatocellular carcinoma (HCC) is one of the most prevalent malignant diseases worldwide and has become a leading cause for cancer-related deaths in adults from Asia and sub-Saharan Africa (1 ). The DNA tumor virus hepatitis B virus (HBV
8.0) in clean 16x125mm polypropylene test tube. If needed, adjust pH to 8.0 using 0.5M carbonate buffer. 2. Prepare fresh, 1mg/mL of either NHS-FITC in DMSO or 1mg/mL NHS-LC-Biotin in DH2O. If FITC coupling, add 75uL of FITC/DMSO solution to Antibody
技术资料暂无技术资料 索取技术资料












