相关产品推荐更多 >
万千商家帮你免费找货
0 人在求购买到急需产品
- 详细信息
- 技术资料
- 供应商:
上海康朗生物科技有限公司
- 库存:
大量
- 目录编号:
kl-20293R
- 克隆性:
多克隆
- 抗原来源:
Rabbit
- 保质期:
12个月
- 抗体英文名:
phospho-Kv4.2 (Thr607) antibody
- 抗体名:
磷酸化电压门控性钾通道蛋白Kv4.2抗体
- 宿主:
Rabbit
- 适应物种:
Human, Mouse, Rat, Pig, Cow, Rabbit,
- 免疫原:
KLH conjugated synthesised phosphopeptide derived from human KCND2 around the phosphorylation site of Thr607 :VT(p-T)PE
- 亚型:
IgG
- 形态:
冻干粉或液体
- 应用范围:
WB=1:500-2000 ELISA=1:500-1000 IHC-P=1:400-800 IHC-F=1:400-800 ICC=1:100-500 IF=1:100-500
- 浓度:
1mg/ml
- 保存条件:
-20 °C
- 规格:
100ul
phospho-Kv4.2 (Thr607) antibody
| 中文名称 | 磷酸化电压门控性钾通道蛋白Kv4.2抗体 |
| 别 名 | p-KCND2/Kv4.2(Thr607); p-Kv4.2(Thr607); Potassium voltage-gated channel subfamily D member 2; KCD2; KCND 2; KCND2; KCND2_HUMAN; KIAA1044; Potassium voltage gated channel Shal related subfamily member 2; RK 5; RK5; Voltage gated potassium channel Kv4.2; Voltage gated potassium channel subunit Kv4.2; Voltage sensitive potassium channel; voltage-gated potassium channel Kv4.2; Voltage-gated potassium channel subunit Kv4.2; voltage-sensitive potassium channel. |
| 规格价格 | 100ul/1580元 购买 大包装/询价 |
| 说 明 书 | 100ul |
| 产品类型 | 磷酸化抗体 |
| 研究领域 | 心血管 神经生物学 通道蛋白 |
| 抗体来源 | Rabbit |
| 克隆类型 | Polyclonal |
| 交叉反应 | Human, Mouse, Rat, Pig, Cow, Rabbit, |
| 产品应用 | WB=1:500-2000 ELISA=1:500-1000 IHC-P=1:400-800 IHC-F=1:400-800 ICC=1:100-500 IF=1:100-500 (石蜡切片需做抗原修复) not yet tested in other applications. optimal dilutions/concentrations should be determined by the end user. |
| 分 子 量 | 70kDa |
| 细胞定位 | 细胞膜 |
| 性 状 | Lyophilized or Liquid |
| 浓 度 | 1mg/ml |
| 免 疫 原 | KLH conjugated synthesised phosphopeptide derived from human KCND2 around the phosphorylation site of Thr607 :VT(p-T)PE |
| 亚 型 | IgG |
| 纯化方法 | affinity purified by Protein A |
| 储 存 液 | Preservative: 15mM Sodium Azide, Constituents: 1% BSA, 0.01M PBS, pH 7.4 |
| 保存条件 | Store at -20 °C for one year. Avoid repeated freeze/thaw cycles. The lyophilized antibody is stable at room temperature for at least one month and for greater than a year when kept at -20°C. When reconstituted in sterile pH 7.4 0.01M PBS or diluent of antibody the antibody is stable for at least two weeks at 2-4 °C. |
| PubMed | PubMed |
| 产品介绍 | background: Voltage-gated K+ channels in the plasma membrane control the repolarization and the frequency of action potentials in neurons, muscles, and other excitable cells. Pore-forming (alpha) subunit of voltage-gated rapidly inactivating A-type potassium channels. May contribute to I(To) current in heart and I(Sa) current in neurons. Channel properties are modulated by interactions with other alpha subunits and with regulatory subunits. Function: Pore-forming (alpha) subunit of voltage-gated rapidly inactivating A-type potassium channels. May contribute to I(To) current in heart and I(Sa) current in neurons. Channel properties are modulated by interactions with other alpha subunits and with regulatory subunits. Subunit: Homotetramer or heterotetramer with KCND1 and/or KCND3. Interacts with DPP6, DLG4 and NCS1/FREQ (By similarity). Interacts with DLG1. Associates with the regulatory subunits KCNIP1, KCNIP2, KCNIP3 and KCNIP4. Probably part of a complex consisting of KCNIP1, KCNIP2 isoform 3 and KCND2. The KCND2-KCNIP2 channel complex contains four KCND2 and four KCNIP2 subunits. Interacts with FLNA, FLNC and DPP10. Subcellular Location: Cell membrane. Cell projection > dendrite. Detected in dendrites in cultured hippocampal neurons. Association with KCNIP2 probably enhances cell surface expression. Tissue Specificity: Highly expressed throughout the brain. Expression is very low or absent in other tissues. Post-translational modifications: Phosphorylated on serine and threonine residues. Similarity: Belongs to the potassium channel family. D (Shal) (TC 1.A.1.2) subfamily. Kv4.2/KCND2 sub-subfamily. SWISS: Q9NZV8 Gene ID: 3751 Database links: Entrez Gene: 3751 Human Omim: 605410 Human SwissProt: Q9NZV8 Human Unigene: 654739 Human Important Note: This product as supplied is intended for research use only, not for use in human, therapeutic or diagnostic applications. |
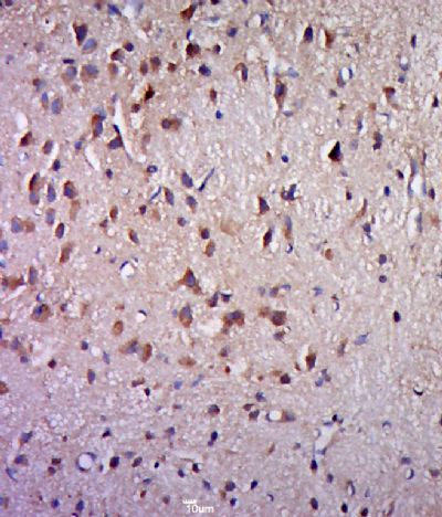
| 产品图片 | ![]() Paraformaldehyde-fixed, paraffin embedded (Rat brain); Antigen retrieval by boiling in sodium citrate buffer (pH6.0) for 15min; Block endogenous peroxidase by 3% hydrogen peroxide for 20 minutes; Blocking buffer (normal goat serum) at 37°C for 30min; Antibody incubation with (phospho-Kv4.2 (Thr607)) Polyclonal Antibody, Unconjugated (bs-20293R) at 1:400 overnight at 4°C, followed by a conjugated secondary (sp-0023) for 20 minutes and DAB staining. |
风险提示:丁香通仅作为第三方平台,为商家信息发布提供平台空间。用户咨询产品时请注意保护个人信息及财产安全,合理判断,谨慎选购商品,商家和用户对交易行为负责。对于医疗器械类产品,请先查证核实企业经营资质和医疗器械产品注册证情况。
技术资料暂无技术资料 索取技术资料
phospho-Kv4.2 (Thr607) antibody
¥1580










