相关产品推荐更多 >
万千商家帮你免费找货
0 人在求购买到急需产品
- 详细信息
- 技术资料
- 供应商:
上海联迈生物工程有限公司
- 库存:
大量
- 目录编号:
LM-0572R
- 克隆性:
多克隆
- 抗原来源:
Rabbit
- 保质期:
1年
- 抗体英文名:
Cyclin B1
- 抗体名:
周期素B1抗体
- 宿主:
Rabbit
- 适应物种:
Human, Mouse, Rat, Cow,
- 免疫原:
KLH conjugated synthetic peptide derived from human Cyclin B1:271-433/433
- 亚型:
IgG
- 形态:
Lyophilized or Liquid
- 应用范围:
WB=1:500-2000 ELISA=1:500-1000 IHC-P=1:400-800 IHC-F=1:400-800 Flow-Cyt=1μg/Test IF=1:100-500 (石蜡切片需做抗原修复)
- 浓度:
1mg/ml
- 保存条件:
Store at -20 °C
- 规格:
50ul 100ul 200ul
Cyclin B1周期素B1抗体
| 英文名称 | Cyclin B1 |
| 中文名称 | 周期素B1抗体 |
| 别 名 | CCNB 1; CCNB; CCNB1; CCNB1_HUMAN; G2 mitotic specific cyclin B1; G2/mitotic-specific cyclin-B1. |
![]() |
Specific References (9) | bs-0572R has been referenced in 9 publications. [IF=2.08] Zhang, Jihong, et al. "Interleukin 18 augments growth ability via NF-κB and p38/ATF2 pathways by targeting cylin B1, cyclin B2, cylin A2, and Bcl-2 in BRL-3A rat liver cells." Gene (2015). WB ; Rat. PubMed:25752290 [IF=2.22] Wang, Chengke, and Zhenxin Wang. "Studying the relationship between cell cycle and Alzheimer’s disease by gold nanoparticle probes." Analytical Biochemistry (2015). ELISA ; Human. PubMed:26299647 [IF=5.01] Ghate, N. B., et al. "Sundew plant, a potential source of anti-inflammatory agents, selectively induces G2/M arrest and apoptosis in MCF-7 cells through upregulation of p53 and Bax/Bcl-2 ratio." Cell Death Discovery 2 (2016). WB ; Human. PubMed:27551490 [IF=2.16] Zhang, Jin, et al. "Silica nanoparticles induce start inhibition of meiosis and cell cycle arrest via down-regulating meiotic relevant factors." Toxicology Research (2016). WB ; Mouse. PubMed:0 [IF=5.01] Guo, Hongrui, et al. "Dietary NiCl2 causes cell cycle arrest in the broiler's kidney." Oncotarget. (2015) 6.34:35964-77. IHC-P ; Chicken. PubMed:26440151 [IF=1.56] Qu, Zhongyuan, et al. "Chelidonine induces mitotic slippage and apoptotic-like death in SGC-7901 human gastric carcinoma cells." Molecular medicine reports 13.2 (2016): 1336-1344. WB ; Human. PubMed:26677104 [IF=3.58] Wang, Qi, et al. "Methamphetamine induces hepatotoxicity via inhibiting cell division, arresting cell cycle and activating apoptosis: In vivo and in vitro studies." Food and Chemical Toxicology (2017). WB ; Rat. PubMed:28341135 [IF=3.13] Zhang, Wen-feng, et al. "Angelica polysaccharides inhibit the growth and promote the apoptosis of U251 glioma cells in vitro and in vivo." Phytomedicine (2017). WB ; Human. PubMed:0 [IF=3.73] Ghate, Nikhil Baban, et al. "An Antioxidant Extract of Tropical Lichen, Parmotrema reticulatum, Induces Cell Cycle Arrest and Apoptosis in Breast Carcinoma Cell Line MCF-7." PLOS ONE 8.12 (2013): e82293. WB ; Human. PubMed:24358166 |
| 规格价格 | 50ul/780元 购买 100ul/1380元 购买 200ul/2200元 购买 大包装/询价 |
| 说 明 书 | 50ul 100ul 200ul |
| 研究领域 | 肿瘤 细胞生物 免疫学 细胞周期蛋白 |
| 抗体来源 | Rabbit |
| 克隆类型 | Polyclonal |
| 交叉反应 | Human, Mouse, Rat, Cow, |
| 产品应用 | WB=1:500-2000 ELISA=1:500-1000 IHC-P=1:400-800 IHC-F=1:400-800 Flow-Cyt=1μg/Test IF=1:100-500 (石蜡切片需做抗原修复) not yet tested in other applications. optimal dilutions/concentrations should be determined by the end user. |
| 分 子 量 | 48kDa |
| 细胞定位 | 细胞核 细胞浆 |
| 性 状 | Lyophilized or Liquid |
| 浓 度 | 1mg/ml |
| 免 疫 原 | KLH conjugated synthetic peptide derived from human Cyclin B1:271-433/433 |
| 亚 型 | IgG |
| 纯化方法 | affinity purified by Protein A |
| 储 存 液 | 0.01M TBS(pH7.4) with 1% BSA, 0.03% Proclin300 and 50% Glycerol. |
| 保存条件 | Store at -20 °C for one year. Avoid repeated freeze/thaw cycles. The lyophilized antibody is stable at room temperature for at least one month and for greater than a year when kept at -20°C. When reconstituted in sterile pH 7.4 0.01M PBS or diluent of antibody the antibody is stable for at least two weeks at 2-4 °C. |
| PubMed | PubMed |
| 产品介绍 | background: The protein encoded by this gene is a regulatory protein involved in mitosis. The gene product complexes with p34(cdc2) to form the maturation-promoting factor (MPF). Two alternative transcripts have been found, a constitutively expressed transcript and a cell cycle-regulated transcript, that is expressed predominantly during G2/M phase. The different transcripts result from the use of alternate transcription initiation sites. [provided by RefSeq, Jul 2008]. Function: Essential for the control of the cell cycle at the G2/M (mitosis) transition. Subunit: Interacts with the CDC2 protein kinase to form a serine/threonine kinase holoenzyme complex also known as maturation promoting factor (MPF). The cyclin subunit imparts substrate specificity to the complex. Binds HEI10. Interacts with catalytically active RALBP1 and CDC2 during mitosis to form an endocytotic complex during interphase. Interacts with CCNF; interaction is required for nuclear localization. Subcellular Location: Cytoplasm. Nucleus. Cytoplasm, cytoskeleton, centrosome. Post-translational modifications: Ubiquitinated by the SCF(NIPA) complex during interphase, leading to its destruction. Not ubiquitinated during G2/M phases. Phosphorylated by PLK1 at Ser-133 on centrosomes during prophase: phosphorylation by PLK1 does not cause nuclear import. Phosphorylation at Ser-147 was also reported to be mediated by PLK1 but Ser-133 seems to be the primary phosphorylation site. Similarity: Belongs to the cyclin family. Cyclin AB subfamily. SWISS: P24860 Gene ID: 891 Database links: Entrez Gene: 891 Human Entrez Gene: 268697 Mouse Entrez Gene: 25203 Rat Omim: 123836 Human SwissProt: P14635 Human SwissProt: P24860 Mouse SwissProt: P30277 Rat Unigene: 23960 Human Unigene: 260114 Mouse Unigene: 380027 Mouse Unigene: 482545 Mouse Unigene: 9232 Rat Important Note: This product as supplied is intended for research use only, not for use in human, therapeutic or diagnostic applications. 主要出现在G2期。Cyclin B是细胞周期调节必不可少的条件。 细胞周期素B1是细胞周期调节因子,它的异常表达将导致细胞周期发生紊乱,致使肿瘤形成. |
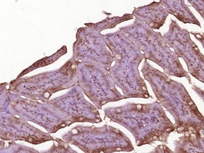
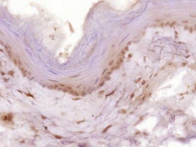
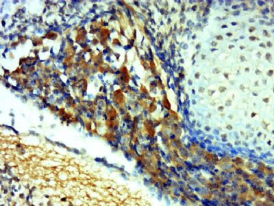
| 产品图片 | ![]() Sample: U937 Cell (Human) Lysate at 30 ug Primary: Anti- Cyclin B1 (bs-0572R) at 1/300 dilution Secondary: IRDye800CW Goat Anti-Rabbit IgG at 1/20000 dilution Predicted band size: 48 kD Observed band size: 50 kD ![]() Sample: U251 Cell (Human) Lysate at 30 ug Primary: Anti- Cyclin B1 (bs-0572R) at 1/300 dilution Secondary: IRDye800CW Goat Anti-Rabbit IgG at 1/20000 dilution Predicted band size: 48 kD Observed band size: 50 kD ![]() Sample: Hela Cell (Human) Lysate at 30 ug Primary: Anti- Cyclin B1 (bs-0572R) at 1/300 dilution Secondary: IRDye800CW Goat Anti-Rabbit IgG at 1/20000 dilution Predicted band size: 48 kD Observed band size: 50 kD ![]() Sample: K562 Cell (Human) Lysate at 30 ug Primary: Anti- Cyclin B1 (bs-0572R) at 1/300 dilution Secondary: IRDye800CW Goat Anti-Rabbit IgG at 1/20000 dilution Predicted band size: 48 kD Observed band size: 50 kD ![]() Paraformaldehyde-fixed, paraffin embedded (Mouse small intestine); Antigen retrieval by boiling in sodium citrate buffer (pH6.0) for 15min; Block endogenous peroxidase by 3% hydrogen peroxide for 20 minutes; Blocking buffer (normal goat serum) at 37°C for 30min; Antibody incubation with (Cyclin B1) Polyclonal Antibody, Unconjugated (bs-0572R) at 1:400 overnight at 4°C, followed by operating according to SP Kit(Rabbit) (sp-0023) instructionsand DAB staining. ![]() Paraformaldehyde-fixed, paraffin embedded (Rat esophageal); Antigen retrieval by boiling in sodium citrate buffer (pH6.0) for 15min; Block endogenous peroxidase by 3% hydrogen peroxide for 20 minutes; Blocking buffer (normal goat serum) at 37°C for 30min; Antibody incubation with (Cyclin B1) Polyclonal Antibody, Unconjugated (bs-0572R) at 1:400 overnight at 4°C, followed by operating according to SP Kit(Rabbit) (sp-0023) instructionsand DAB staining. ![]() Tissue/cell: mouse embryo tissue; 4% Paraformaldehyde-fixed and paraffin-embedded; Antigen retrieval: citrate buffer ( 0.01M, pH 6.0 ), Boiling bathing for 15min; Block endogenous peroxidase by 3% Hydrogen peroxide for 30min; Blocking buffer (normal goat serum,C-0005) at 37℃ for 20 min; Incubation: Anti-Cyclin B1 Polyclonal Antibody, Unconjugated(bs-0572R) 1:500, overnight at 4°C, followed by conjugation to the secondary antibody(SP-0023) and DAB(C-0010) staining ![]() Tissue/cell: human colon carcinoma; 4% Paraformaldehyde-fixed and paraffin-embedded; Antigen retrieval: citrate buffer ( 0.01M, pH 6.0 ), Boiling bathing for 15min; Block endogenous peroxidase by 3% Hydrogen peroxide for 30min; Blocking buffer (normal goat serum,C-0005) at 37℃ for 20 min; Incubation: Anti-Cyclin B1 Polyclonal Antibody, Unconjugated(bs-0572R) 1:200, overnight at 4°C, followed by conjugation to the secondary antibody(SP-0023) and DAB(C-0010) staining ![]() Blank control (blue line): A549 (blue). Primary Antibody (green line): Rabbit Anti-Cyclin B1 antibody(bs-0572R). Dilution: 1μg /10^6 cells; Isotype Control Antibody (orange line): Rabbit IgG . Secondary Antibody (white blue line): F(ab’)2 fragment goat anti-rabbit IgG-FITC. Dilution: 1μg /test. Protocol The cells were fixed with 2% paraformaldehyde (10 min) and then permeabilized with 0.1% PBS-Tween for 20 min at room temperature.Cells stained with Primary Antibody for 30 min at room temperature. The cells were then incubated in 1 X PBS/2%BSA/10% goat serum to block non-specific protein-protein interactions followed by the antibody for 15 min at room temperature. The secondary antibody used for 40 min at room temperature. Acquisition of 20,000 events was performed. ![]() Cell: Hela Concentration:1:100 Host/Isotype:Rabbit/IgG Flow cytometric analysis of primary antibody (Cat#: bs-0572R) on Hela(green) compared with isotype control in the absence of primary antibody (blue) followed by Alexa Fluor 488-conjugated goat anti-rabbit IgG(H+L) secondary antibody . |
风险提示:丁香通仅作为第三方平台,为商家信息发布提供平台空间。用户咨询产品时请注意保护个人信息及财产安全,合理判断,谨慎选购商品,商家和用户对交易行为负责。对于医疗器械类产品,请先查证核实企业经营资质和医疗器械产品注册证情况。
技术资料暂无技术资料 索取技术资料
Cyclin B1周期素B1抗体
¥780 - 2200




















