相关产品推荐更多 >
万千商家帮你免费找货
0 人在求购买到急需产品
- 详细信息
- 文献和实验
- 技术资料
- 供应商:
上海联迈生物工程有限公司
- 库存:
大量
- 目录编号:
LM-4887R
- 克隆性:
多克隆
- 抗原来源:
Rabbit
- 保质期:
1年
- 抗体英文名:
GOLPH2
- 抗体名:
高尔基体膜蛋白GP73抗体
- 宿主:
Rabbit
- 适应物种:
Human, Mouse, Rat, Dog, Cow, Horse,
- 免疫原:
KLH conjugated synthetic peptide derived from human GOLPH2 (21-50aa):21-120/401
- 亚型:
IgG
- 形态:
Lyophilized or Liquid
- 应用范围:
WB=1:500-2000 ELISA=1:500-1000 IHC-P=1:400-800 IHC-F=1:400-800 ICC=1:100-500 IF=1:100-500 (石蜡切片需做抗原修复)
- 浓度:
1mg/ml
- 保存条件:
Store at -20 °C
- 规格:
50ul 100ul 200ul
| 英文名称 | GOLPH2 |
| 中文名称 | 高尔基体膜蛋白GP73抗体 |
| 别 名 | Chromosome 9 open reading frame 155; Golgi membrane protein 1; Golgi membrane protein GP73; Golgi phosphoprotein 2; Golgi protein 73 kD; golgi protein 73kD; GOLM 1; GOLM1; GOLPH 2; GOLPH2; GP 73; GP73; PSEC0257; bA379P1.3; C9orf155. |
| 规格价格 | 50ul/780元 购买 100ul/1380元 购买 200ul/2200元 购买 大包装/询价 |
| 说 明 书 | 50ul 100ul 200ul |
| 研究领域 | 肿瘤 信号转导 细菌及病毒 |
| 抗体来源 | Rabbit |
| 克隆类型 | Polyclonal |
| 交叉反应 | Human, Mouse, Rat, Dog, Cow, Horse, |
| 产品应用 | WB=1:500-2000 ELISA=1:500-1000 IHC-P=1:400-800 IHC-F=1:400-800 ICC=1:100-500 IF=1:100-500 (石蜡切片需做抗原修复) not yet tested in other applications. optimal dilutions/concentrations should be determined by the end user. |
| 分 子 量 | 45kDa |
| 细胞定位 | 细胞浆 细胞膜 细胞外基质 |
| 性 状 | Lyophilized or Liquid |
| 浓 度 | 1mg/ml |
| 免 疫 原 | KLH conjugated synthetic peptide derived from human GOLPH2 (21-50aa):21-120/401 |
| 亚 型 | IgG |
| 纯化方法 | affinity purified by Protein A |
| 储 存 液 | 0.01M TBS(pH7.4) with 1% BSA, 0.03% Proclin300 and 50% Glycerol. |
| 保存条件 | Store at -20 °C for one year. Avoid repeated freeze/thaw cycles. The lyophilized antibody is stable at room temperature for at least one month and for greater than a year when kept at -20°C. When reconstituted in sterile pH 7.4 0.01M PBS or diluent of antibody the antibody is stable for at least two weeks at 2-4 °C. |
| PubMed | PubMed |
| 产品介绍 | background: GOLPH2 is widely expressed. Expression levels are high in the colon, prostate, trachea and stomach; expressed at lower level in testis, muscle, lymphoid tissues, white blood cells and spleen. GOLPH2 is predominantly expressed by cells of the epithelial lineage. It is expressed at a low level in normal liver, though expression significantly increases in virus (HBV, HCV) infected liver. Expression does not increase in liver disease due to non viral causes (alcohol induced liver disease, autoimmune hepatitis). Increased expression in hepatocytes appears to be a general feature of advanced liver disease. In liver tissue from patients with adult giant-cell hepatitis (GCH), it is strongly expressed in hepatocyte derived syncitial giant cells. GOLPH2 is constitutively expressed by biliary epithelial cells but not by hepatocytes. Function: Unknown. Cellular response protein to viral infection. Subcellular Location: Golgi apparatus, cis-Golgi network membrane. Early Golgi. Cycles via the cell surface and endosomes upon lumenal pH disruption. Tissue Specificity: Widely expressed. Highly expressed in colon, prostate, trachea and stomach. Expressed at lower level in testis, muscle, lymphoid tissues, white blood cells and spleen. Predominantly expressed by cells of the epithelial lineage. Expressed at low level in normal liver. Expression significantly increases in virus (HBV, HCV) infected liver. Expression does not increase in liver disease due to non-viral causes (alcohol-induced liver disease, autoimmune hepatitis). Increased expression in hepatocytes appears to be a general feature of advanced liver disease. In liver tissue from patients with adult giant-cell hepatitis (GCH), it is strongly expressed in hepatocyte-derived syncitial giant cells. Constitutively expressed by biliary epithelial cells but not by hepatocytes. Post-translational modifications: Glycosylated. Phosphorylation sites are present in the extracelllular medium. Similarity: Belongs to the GOLM1/CASC4 family. SWISS: Q8NBJ4 Gene ID: 51280 Database links: Entrez Gene: 51280 Human Entrez Gene: 105348 Mouse Entrez Gene: 306725 Rat Omim: 606804 Human SwissProt: Q8NBJ4 Human SwissProt: Q91XA2 Mouse Unigene: 494337 Human Unigene: 171335 Mouse Important Note: This product as supplied is intended for research use only, not for use in human, therapeutic or diagnostic applications. |
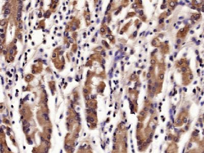
| 产品图片 | ![]() Paraformaldehyde-fixed, paraffin embedded (rat stomach tissue); Antigen retrieval by microwave in sodium citratebuffer (pH6.0) ; Block endogenous peroxidase by 3% hydrogen peroxide for 30 minutes; Blocking buffer (3%BSA) at RTfor 30min; Antibody incubation with (GOLPH2) Polyclonal/MonoclonalAntibody, Unconjugated (bs-4887R) at 1:400 overnight at 4℃,followed by conjugation to the secondary antibody (labeled with HRP)and DAB staining. ![]() Paraformaldehyde-fixed, paraffin embedded (human stomach tissue); Antigen retrieval by microwave in sodium citratebuffer (pH6.0) ; Block endogenous peroxidase by 3% hydrogen peroxide for 30 minutes; Blocking buffer (3%BSA) at RTfor 30min; Antibody incubation with (GOLPH2) Polyclonal/MonoclonalAntibody, Unconjugated (bs-4887R) at 1:400 overnight at 4℃,followed by conjugation to the secondary antibody (labeled with HRP)and DAB staining. |
风险提示:丁香通仅作为第三方平台,为商家信息发布提供平台空间。用户咨询产品时请注意保护个人信息及财产安全,合理判断,谨慎选购商品,商家和用户对交易行为负责。对于医疗器械类产品,请先查证核实企业经营资质和医疗器械产品注册证情况。
文献和实验,从而提高目的蛋白检出率[4]。 (2)分离亚细胞结构富集目的蛋白 如果目的蛋白表达量较低或增溶后仍未检出条带,可根据目的蛋白定位进行亚细胞结构分离以富集目的蛋白,降低检测难度[5]。例如:当目标蛋白为跨膜蛋白时,其表达量低且难以提取,这种情况下可以先富集膜蛋白后再进行 WB 检测,有效降低检测难度且检测结果更清晰(如图 3)。使用柱式法亚细胞结构分离系列工具,无需超高速离心,无需自配溶液,无需研磨仪即可分离细胞膜、细胞核、内质网、高尔基体、溶酶体等亚细胞结构,大大降低了 WB 检测难度
在 RIPA 不可溶组分中,如果样品又是研磨困难的组织样品,则优先选择对膜蛋白和小分子量蛋白提取效率更高且不需要匀浆仪的 Invent 柱式法工具进行总蛋白提取[1]。 * 目标蛋白在某个特定细胞器上(内质网,高尔基体,溶酶体,线粒体,内体等)表达,且蛋白表达量较低,若用总蛋白检测时条带较弱,则推荐使用 Invent 柱式法工具富集特定细胞器蛋白后再检测,提高检出效率。 * 研究蛋白定位或研究蛋白转运过程,推荐使用 Invent 柱式法工具进行细胞组分分离,将样品分离为不同组分如分成细胞核,细胞浆,细胞
的质膜结构域,如LDL受体; ②有些进入溶酶体,在那里被消化,如EGF的受体,称为受体下行调节(receptor down-regulation); ③ 有些被运至质膜不同的结构域, 形成穿胞运输(transcytosis)。如母鼠的抗体从血液通过上皮细胞进入母乳中,乳鼠肠上皮细胞将抗体摄人体内,都是通过穿胞运输完成的。 五、外排作用 组成型的外排途径(constitutive exocytosis pathway):由高尔基体TGN区分泌囊泡向质膜运输的过程,其作用在于更新膜蛋白和膜脂
技术资料暂无技术资料 索取技术资料












