相关产品推荐更多 >
万千商家帮你免费找货
0 人在求购买到急需产品
- 详细信息
- 技术资料
- 供应商:
上海康朗生物科技有限公司
- 库存:
大量
- 目录编号:
kl-20261R
- 克隆性:
多克隆
- 抗原来源:
Rabbit
- 保质期:
12个月
- 抗体英文名:
Phospho-Cofilin (Ser3) antibody
- 抗体名:
磷酸化丝切蛋白(Ser3)抗体
- 宿主:
Rabbit
- 适应物种:
Human, Mouse, Rat, Pig, Cow, Horse, Sheep,
- 免疫原:
KLH conjugated synthetic peptide derived from human Phospho-Cofilin (Ser3):A(p-S)GV
- 亚型:
IgG
- 形态:
冻干粉或液体
- 应用范围:
ELISA=1:500-1000 IHC-P=1:400-800 IHC-F=1:400-800 ICC=1:100-500 IF=1:100-500
- 浓度:
1mg/ml
- 保存条件:
-20 °C
- 规格:
100ul 200ul
| 中文名称 | 磷酸化丝切蛋白(Ser3)抗体 |
| 别 名 | Cofilin (Phospho-Ser3); Cofilin (Phospho S3); 18 kDa phosphoprotein; CFL 1; CFL; CFL1; Cofilin 1; Cofilin 1 non muscle; Cofilin non muscle isoform; p18; COF1_HUMAN. |
| 规格价格 | 100ul/1380元 购买 200ul/2200元 购买 大包装/询价 |
| 说 明 书 | 100ul 200ul |
| 研究领域 | 肿瘤 细胞生物 免疫学 神经生物学 信号转导 生长因子和激素 细胞粘附分子 |
| 抗体来源 | Rabbit |
| 克隆类型 | Polyclonal |
| 交叉反应 | Human, Mouse, Rat, Pig, Cow, Horse, Sheep, |
| 产品应用 | ELISA=1:500-1000 IHC-P=1:400-800 IHC-F=1:400-800 ICC=1:100-500 IF=1:100-500 (石蜡切片需做抗原修复) not yet tested in other applications. optimal dilutions/concentrations should be determined by the end user. |
| 分 子 量 | 18kDa |
| 细胞定位 | 细胞核 细胞浆 |
| 性 状 | Lyophilized or Liquid |
| 浓 度 | 1mg/ml |
| 免 疫 原 | KLH conjugated synthetic peptide derived from human Phospho-Cofilin (Ser3):A(p-S)GV |
| 亚 型 | IgG |
| 纯化方法 | affinity purified by Protein A |
| 储 存 液 | Preservative: 15mM Sodium Azide, Constituents: 1% BSA, 0.01M PBS, pH 7.4 |
| 保存条件 | Store at -20 °C for one year. Avoid repeated freeze/thaw cycles. The lyophilized antibody is stable at room temperature for at least one month and for greater than a year when kept at -20°C. When reconstituted in sterile pH 7.4 0.01M PBS or diluent of antibody the antibody is stable for at least two weeks at 2-4 °C. |
| PubMed | PubMed |
| 产品介绍 | background: The protein encoded by this gene can polymerize and depolymerize F-actin and G-actin in a pH-dependent manner. Increased phosphorylation of this protein by LIM kinase aids in Rho-induced reorganization of the actin cytoskeleton. Cofilin is a widely distributed intracellular actin-modulating protein that binds and depolymerizes filamentous F-actin and inhibits the polymerization of monomeric G-actin in a pH-dependent manner. It is involved in the translocation of actin-cofilin complex from cytoplasm to nucleus.[supplied by OMIM, Apr 2004]. Function: Controls reversibly actin polymerization and depolymerization in a pH-sensitive manner. It has the ability to bind G- and F-actin in a 1:1 ratio of cofilin to actin. It is the major component of intranuclear and cytoplasmic actin rods. Subunit: Can bind G- and F-actin in a 1:1 ratio of cofilin to actin. It is a major component of intranuclear and cytoplasmic actin rods. Subcellular Location: Nucleus matrix. Cytoplasm, cytoskeleton Tissue Specificity: Widely distributed in various tissues. Post-translational modifications: Inactivated by phosphorylation on Ser-3. Phosphorylated on Ser-3 in resting cells. Dephosphorylated by PDXP/chronophin; this restores its activity in promoting actin filament depolymerization. The phosphorylation of Ser-24 may prevent recognition of the nuclear localization signal. Similarity: Belongs to the actin-binding proteins ADF family. Contains 1 ADF-H domain. SWISS: P23528 Gene ID: 1072 Database links: Entrez Gene: 1072 Human Entrez Gene: 534553 Cow Entrez Gene: 12631 Mouse Entrez Gene: 445532 Pig Entrez Gene: 29271 Rat Entrez Gene: 494432 Sheep Omim: 601442 Human SwissProt: Q5E9F7 Cow SwissProt: P23528 Human SwissProt: P18760 Mouse SwissProt: P10668 Pig SwissProt: P45592 Rat SwissProt: Q6B7M7 Sheep Unigene: 52428 Cow Unigene: 170622 Human Unigene: 329655 Mouse Unigene: 11675 Rat Unigene: 13212 Sheep Important Note: This product as supplied is intended for research use only, not for use in human, therapeutic or diagnostic applications. |
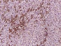
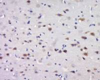
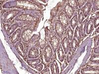
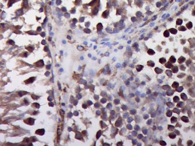
| 产品图片 | ![]() Paraformaldehyde-fixed, paraffin embedded (Rat testis); Antigen retrieval by boiling in sodium citrate buffer (pH6.0) for 15min; Block endogenous peroxidase by 3% hydrogen peroxide for 20 minutes; Blocking buffer (normal goat serum) at 37°C for 30min; Antibody incubation with (P-Cofilin (Ser3)) Polyclonal Antibody, Unconjugated (bs-20261R) at 1:400 overnight at 4°C, followed by operating according to SP Kit(Rabbit) (sp-0023) instructionsand DAB staining. ![]() Paraformaldehyde-fixed, paraffin embedded (Mouse placenta); Antigen retrieval by boiling in sodium citrate buffer (pH6.0) for 15min; Block endogenous peroxidase by 3% hydrogen peroxide for 20 minutes; Blocking buffer (normal goat serum) at 37°C for 30min; Antibody incubation with (P-Cofilin (Ser3)) Polyclonal Antibody, Unconjugated (bs-20261R) at 1:400 overnight at 4°C, followed by operating according to SP Kit(Rabbit) (sp-0023) instructionsand DAB staining. |
风险提示:丁香通仅作为第三方平台,为商家信息发布提供平台空间。用户咨询产品时请注意保护个人信息及财产安全,合理判断,谨慎选购商品,商家和用户对交易行为负责。对于医疗器械类产品,请先查证核实企业经营资质和医疗器械产品注册证情况。
技术资料暂无技术资料 索取技术资料











