相关产品推荐更多 >
万千商家帮你免费找货
0 人在求购买到急需产品
- 详细信息
- 技术资料
- 供应商:
上海康朗生物科技有限公司
- 库存:
大量
- 目录编号:
kl-20195R
- 克隆性:
多克隆
- 抗原来源:
Rabbit
- 保质期:
12个月
- 抗体英文名:
Phospho-PTEN(Ser385) antibody
- 抗体名:
磷酸化肿瘤抑制基因PTEN抗体
- 宿主:
Rabbit
- 适应物种:
Human, Mouse, Rat,
- 免疫原:
KLH conjugated synthetic peptide derived from human Phospho-PTEN(Ser385):TD(p-S)DP
- 亚型:
IgG
- 形态:
冻干粉或液体
- 应用范围:
ELISA=1:500-1000 IHC-P=1:400-800 IHC-F=1:400-800 ICC=1:100-500 IF=1:100-500
- 浓度:
1mg/ml
- 保存条件:
-20 °C
- 规格:
100ul 200ul
Phospho-PTEN(Ser385) antibody
| 中文名称 | 磷酸化肿瘤抑制基因PTEN抗体 |
| 别 名 | PTEN(phospho S385); ITGA 2; MGC11227; MHAM; MMAC 1; MMAC1; Bannayan Zonana; BZS a; Multiple hamartoma (Cowden syndrome); Mutated in Mutiple Advanced Cancers 1; Phosphatase and Tensin Homolog; Phosphatidylinositol 345 trisphosphate 3 phosphatase and dual specificity protein phosphatase PTEN; Phosphatidylinositol 345 trisphosphate 3 phosphatase; Platelet antigen BR; PTEN 1; PTEN1; Tensin homolog; TEP 1; TEP1; VLA 2 Receptor Alpha Subunit. |
| 规格价格 | 100ul/1380元 购买 200ul/2200元 购买 大包装/询价 |
| 说 明 书 | 100ul 200ul |
| 研究领域 | 肿瘤 细胞生物 细胞周期蛋白 激酶和磷酸酶 表观遗传学 |
| 抗体来源 | Rabbit |
| 克隆类型 | Polyclonal |
| 交叉反应 | Human, Mouse, Rat, |
| 产品应用 | ELISA=1:500-1000 IHC-P=1:400-800 IHC-F=1:400-800 ICC=1:100-500 IF=1:100-500 (石蜡切片需做抗原修复) not yet tested in other applications. optimal dilutions/concentrations should be determined by the end user. |
| 分 子 量 | 44kDa |
| 细胞定位 | 细胞核 细胞浆 |
| 性 状 | Lyophilized or Liquid |
| 浓 度 | 1mg/ml |
| 免 疫 原 | KLH conjugated synthetic peptide derived from human Phospho-PTEN(Ser385):TD(p-S)DP |
| 亚 型 | IgG |
| 纯化方法 | affinity purified by Protein A |
| 储 存 液 | Preservative: 15mM Sodium Azide, Constituents: 1% BSA, 0.01M PBS, pH 7.4 |
| 保存条件 | Store at -20 °C for one year. Avoid repeated freeze/thaw cycles. The lyophilized antibody is stable at room temperature for at least one month and for greater than a year when kept at -20°C. When reconstituted in sterile pH 7.4 0.01M PBS or diluent of antibody the antibody is stable for at least two weeks at 2-4 °C. |
| PubMed | PubMed |
| 产品介绍 | background: Potential tumor suppressor. Acts as a phosphoinositide3-phosphatase by regulating PtdIns (3,4,5)P3 levels. Involved in regulation of the AKT1 signaling pathway. The unphosphorylated form cooperates with AIP1 to suppress AKT1 activation.The PTEN/MMAC1 discovers the first to have the suppress of the phosphoric acid enzyme activity cancer gene currently.The gene of PTEN locates the chromosome10q23 area, sending forth sex tumor and a few households cancers with the variety to suffer from the comprehensive disease easilyrelevant.The activity that passes to repress the Akt regulates the cell period, the cell ground rule decease and glues to connect.This text discussed PTEN structure, function and its correlationses, the PTEN is in tumor repress function mechanism. Function: Tumor suppressor. Acts as a dual-specificity protein phosphatase, dephosphorylating tyrosine-, serine- and threonine-phosphorylated proteins. Also acts as a lipid phosphatase, removing the phosphate in the D3 position of the inositol ring from phosphatidylinositol 3,4,5-trisphosphate, phosphatidylinositol 3,4-diphosphate, phosphatidylinositol 3-phosphate and inositol 1,3,4,5-tetrakisphosphate with order of substrate preference in vitro PtdIns(3,4,5)P3 > PtdIns(3,4)P2 > PtdIns3P > Ins(1,3,4,5)P4. The lipid phosphatase activity is critical for its tumor suppressor function. Antagonizes the PI3K-AKT/PKB signaling pathway by dephosphorylating phosphoinositides and thereby modulating cell cycle progression and cell survival. The unphosphorylated form cooperates with AIP1 to suppress AKT1 activation. Dephosphorylates tyrosine-phosphorylated focal adhesion kinase and inhibits cell migration and integrin-mediated cell spreading and focal adhesion formation. Plays a role as a key modulator of the AKT-mTOR signaling pathway controlling the tempo of the process of newborn neurons integration during adult neurogenesis, including correct neuron positioning, dendritic development and synapse formation. May be a negative regulator of insulin signaling and glucose metabolism in adipose tissue. The nuclear monoubiquitinated form possesses greater apoptotic potential, whereas the cytoplasmic nonubiquitinated form induces less tumor suppressive ability. Subunit: Monomer. The unphosphorylated form interacts with the second PDZ domain of AIP1 and with DLG1 and MAST2 in vitro. Interacts with MAGI2, MAGI3, MAST1 and MAST3, but neither with MAST4 nor with DLG5. Interaction with MAGI2 increases protein stability. Interacts with NEDD4. Interacts with NDFIP1 and NDFIP2; in the presence of NEDD4 or ITCH, this interaction promotes PTEN ubiquitination. Interacts (via C2 domain) with FRK. Interacts with USP7; the interaction is direct. Interacts with ROCK1. Interacts with XIAP/BIRC4. Subcellular Location: Cytoplasm. Nucleus. Nucleus, PML body. Note=Monoubiquitinated form is nuclear. Nonubiquitinated form is cytoplasmic. Colocalized with PML and USP7 in PML nuclear bodies. XIAP/BIRC4 promotes its nuclear localization. Tissue Specificity: Expressed at a relatively high level in all adult tissues, including heart, brain, placenta, lung, liver, muscle, kidney and pancreas. Post-translational modifications: Constitutively phosphorylated by CK2 under normal conditions. Phosphorylated in vitro by MAST1, MAST2 and MAST3. Phosphorylation results in an inhibited activity towards PIP3. Phosphorylation can both inhibit or promote PDZ-binding. Phosphorylation at Tyr-336 by FRK/PTK5 protects this protein from ubiquitin-mediated degradation probably by inhibiting its binding to NEDD4. Phosphorylation by ROCK1 is essential for its stability and activity. Phosphorylation by PLK3 promotes its stability and prevents its degradation by the proteasome. Monoubiquitinated; monoubiquitination is increased in presence of retinoic acid. Deubiquitinated by USP7; leading to its nuclear exclusion. Monoubiquitination of one of either Lys-13 and Lys-289 amino acid is sufficient to modulate PTEN compartmentalization. Ubiquitinated by XIAP/BIRC4. DISEASE: Defects in PTEN are a cause of Cowden disease (CD) [MIM:158350]; also known as Cowden syndrome (CS). CD is an autosomal dominant cancer predisposition syndrome associated with elevated risk for tumors of the breast, thyroid and skin. The predominant phenotype for CD is multiple hamartoma syndrome, in many organ systems including the breast (70% of CD patients), thyroid (40-60%), skin, CNS (40%), gastrointestinal tract. Affected individuals are at an increased risk of both breast and thyroid cancers. Trichilemmomas (benign tumors of the hair follicle infundibulum), and mucocutaneous papillomatosis (99%) are hallmarks of CD. Defects in PTEN are the cause of Lhermitte-Duclos disease (LDD) [MIM:158350]; also known as cerebelloparenchymal disorder VI. LDD is characterized by dysplastic gangliocytoma of the cerebellum which often results in cerebellar signs and seizures. LDD and CD seem to be the same entity, and are considered as hamartoma-neoplasia syndromes. Defects in PTEN are a cause of Bannayan-Zonana syndrome (BZS) [MIM:153480]; also known as Ruvalcaba-Myhre-Smith syndrome (RMSS) or Bannayan-Riley-Ruvalcaba syndrome (BRRS). In BZS there seems not to be an increased risk of malignancy. It has a partial clinical overlap with CD. BZS is characterized by the classic triad of macrocephaly, lipomatosis and pigmented macules of the gland penis. Defects in PTEN are a cause of head and neck squamous cell carcinomas (HNSCC) [MIM:275355]; also known as squamous cell carcinoma of the head and neck. Defects in PTEN are a cause of susceptibility to endometrial cancer (ENDMC) [MIM:608089]. Note=PTEN mutations are found in a subset of patients with Proteus syndrome, a genetically heterogeneous condition. The molecular diagnosis of PTEN mutation positive cases classifies Proteus syndrome patients as part of the PTEN hamartoma syndrome spectrum. As such, patients surviving the early years of Proteus syndrome are likely at a greater risk of developing malignancies. Defects in PTEN are a cause of susceptibility to glioma type 2 (GLM2) [MIM:613028]. Gliomas are central nervous system neoplasms derived from glial cells and comprise astrocytomas, glioblastoma multiforme, oligodendrogliomas, and ependymomas. [DISEASE] Defects in PTEN are a cause of VACTERL association with hydrocephalus (VACTERL-H) [MIM:276950]. VACTERL is an acronym for vertebral anomalies, anal atresia, congenital cardiac disease, tracheoesophageal fistula, renal anomalies, radial dysplasia, and other limb defects. Defects in PTEN may be a cause of susceptibility to prostate cancer (PC) [MIM:176807]. It is a malignancy originating in tissues of the prostate. Most prostate cancers are adenocarcinomas that develop in the acini of the prostatic ducts. Other rare histopathologic types of prostate cancer that occur in approximately 5% of patients include small cell carcinoma, mucinous carcinoma, prostatic ductal carcinoma, transitional cell carcinoma, squamous cell carcinoma, basal cell carcinoma, adenoid cystic carcinoma (basaloid), signet-ring cell carcinoma and neuroendocrine carcinoma. Defects in PTEN are a cause of macrocephaly/autism syndrome (MCEPHAS) [MIM:605309]. Patients have autism spectrum disorders and macrocephaly, with head circumferences ranging from +2.5 to +8 SD for age and sex (average head circumference +4.0 SD). Note=A microdeletion of chromosome 10q23 involving BMPR1A and PTEN is a cause of chromosome 10q23 deletion syndrome, which shows overlapping features of the following three disorders: Bannayan-Zonana syndrome, Cowden disease and juvenile polyposis syndrome. Similarity: Contains 1 C2 tensin-type domain. Contains 1 phosphatase tensin-type domain. SWISS: P60484 Gene ID: 5728 Database links: Entrez Gene: 5728 Human Entrez Gene: 19211 Mouse Entrez Gene: 50557 Rat Omim: 601728 Human SwissProt: P60484 Human SwissProt: O08586 Mouse Unigene: 500466 Human Unigene: 245395 Mouse Unigene: 444861 Mouse Important Note: This product as supplied is intended for research use only, not for use in human, therapeutic or diagnostic applications. PTEN是一种肿瘤抑制基因(N端抗体),在维持细胞的增殖、分化和凋亡平衡起重要作用,该基因在许多肿瘤常表现为突变或杂合性丢失,NMAC1主要用于胶质瘤、乳腺、前列腺癌、非何杰金氏淋巴瘤各种恶性肿瘤的研究. |
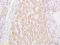
| 产品图片 | ![]() Paraformaldehyde-fixed, paraffin embedded (rat brain tissue); Antigen retrieval by boiling in sodium citrate buffer (pH6.0) for 15min; Block endogenous peroxidase by 3% hydrogen peroxide for 20 minutes; Blocking buffer (normal goat serum) at 37°C for 30min; Antibody incubation with (PTEN(Ser385)) Polyclonal Antibody, Unconjugated (bs-20195R) at 1:400 overnight at 4°C, followed by operating according to SP Kit(Rabbit) (sp-0023) instructionsand DAB staining. ![]() Blank control (blue line): A431 cells (fixed with 70% methanol (Overnight at 4℃) and then permeabilized with 90% ice-cold methanol for 20 min at -20℃). Primary Antibody (green line): Rabbit Anti-Phospho-PTEN(Ser385) antibody (bs-20195R),Dilution: 3μg /10^6 cells; Isotype Control Antibody (orange line): Rabbit IgG . Secondary Antibody (white blue line): Goat anti-rabbit IgG-FITC,Dilution: 1μg /test. |
风险提示:丁香通仅作为第三方平台,为商家信息发布提供平台空间。用户咨询产品时请注意保护个人信息及财产安全,合理判断,谨慎选购商品,商家和用户对交易行为负责。对于医疗器械类产品,请先查证核实企业经营资质和医疗器械产品注册证情况。
技术资料暂无技术资料 索取技术资料
Phospho-PTEN(Ser385) antibody
¥1380 - 2200











