相关产品推荐更多 >
万千商家帮你免费找货
0 人在求购买到急需产品
- 详细信息
- 技术资料
- 供应商:
上海联迈生物工程有限公司
- 库存:
大量
- 目录编号:
LM-0472R
- 克隆性:
多克隆
- 抗原来源:
Rabbit
- 保质期:
1年
- 抗体英文名:
GLUT1
- 抗体名:
葡萄糖转运蛋白1抗体
- 宿主:
Rabbit
- 适应物种:
Human, Mouse, Rat, Chicken, Dog, Pig, Cow, Sheep,
- 免疫原:
KLH conjugated synthetic peptide derived from human GLUT1 (191-270aa):191-270/492
- 亚型:
IgG
- 形态:
Lyophilized or Liquid
- 应用范围:
WB=1:500-2000 ELISA=1:500-1000 IHC-P=1:400-800 IHC-F=1:400-800 Flow-Cyt=1μg/Test ICC=1:100-500 IF=1:100-500 (石蜡切片需做抗原修复)
- 浓度:
1mg/ml
- 保存条件:
Store at -20 °C
- 规格:
50ul 100ul 200ul
GLUT1葡萄糖转运蛋白1抗体
| 英文名称 | GLUT1 |
| 中文名称 | 葡萄糖转运蛋白1抗体 |
| 别 名 | Glucose Transporter GLUT1; GT-1; GLUT-1; GLUT 1; Solute carrier family 2; facilitated glucose transporter member 1; Glucose transporter type 1; erythrocyte/brain; DYT17; DYT18; Erythrocyte/brain HepG2 glucose transporter; Erythrocyte/hepatoma glucose transporter; Glucose transporter 1; Glucose transporter type 1; Glucose transporter type 1 erythrocyte/brain; Glucose transporter type 1, erythrocyte/brain; GLUT; GLUT1; GLUT1DS; GLUTB; GT1; GTG1; Gtg3; GTR1_HUMAN; HepG2 glucose transporter; MGC141895; MGC141896; PED; RATGTG1; SLC2A 1; SLC2A1; Solute carrier family 2 (facilitated glucose transporter), member 1; Solute carrier family 2 facilitated glucose transporter member 1. |
![]() |
Specific References (3) | bs-0472R has been referenced in 3 publications. [IF=0.00] Klasvogt, Sonja, et al. "Air–liquid interface enhances oxidative phosphorylation in intestinal epithelial cell line IPEC-J2." Cell Death Discovery 3 (2017): 17001. WB ; Pig. PubMed:28250970 [IF=3.86] Chu, Meiqiang, et al. "MicroRNA-126 participates in lipid metabolism in mammary epithelial cells." Molecular and Cellular Endocrinology (2017). WB ; Human. PubMed:28599789 [IF=5.47] Yan, Yu-E., et al. ʺSignificant Reduction of the GLUT3 Level, but not GLUT1 Level, Was Observed in the Brain Tissues of Several Scrapie Experimental Animals and Scrapie-Infected Cell Lines.ʺ Molecular neurobiology (2013): 1-14. WB ; PubMed:24243341 |
| 规格价格 | 50ul/780元 购买 100ul/1380元 购买 200ul/2200元 购买 大包装/询价 |
| 说 明 书 | 50ul 100ul 200ul |
| 研究领域 | 肿瘤 免疫学 生长因子和激素 转运蛋白 |
| 抗体来源 | Rabbit |
| 克隆类型 | Polyclonal |
| 交叉反应 | Human, Mouse, Rat, Chicken, Dog, Pig, Cow, Sheep, |
| 产品应用 | WB=1:500-2000 ELISA=1:500-1000 IHC-P=1:400-800 IHC-F=1:400-800 Flow-Cyt=1μg/Test ICC=1:100-500 IF=1:100-500 (石蜡切片需做抗原修复) not yet tested in other applications. optimal dilutions/concentrations should be determined by the end user. |
| 分 子 量 | 54kDa |
| 细胞定位 | 细胞膜 细胞外基质 |
| 性 状 | Lyophilized or Liquid |
| 浓 度 | 1mg/ml |
| 免 疫 原 | KLH conjugated synthetic peptide derived from human GLUT1 (191-270aa):191-270/492 |
| 亚 型 | IgG |
| 纯化方法 | affinity purified by Protein A |
| 储 存 液 | 0.01M TBS(pH7.4) with 1% BSA, 0.03% Proclin300 and 50% Glycerol. |
| 保存条件 | Store at -20 °C for one year. Avoid repeated freeze/thaw cycles. The lyophilized antibody is stable at room temperature for at least one month and for greater than a year when kept at -20°C. When reconstituted in sterile pH 7.4 0.01M PBS or diluent of antibody the antibody is stable for at least two weeks at 2-4 °C. |
| PubMed | PubMed |
| 产品介绍 | background: This gene encodes a major glucose transporter in the mammalian blood-brain barrier. Mutations in this gene have been found in a family with paroxysmal exertion-induced dyskinesia. [provided by RefSeq, Jul 2008]. Function: Facilitative glucose transporter. This isoform may be responsible for constitutive or basal glucose uptake. Has a very broad substrate specificity; can transport a wide range of aldoses including both pentoses and hexoses. Subcellular Location: Cell membrane; Multi-pass membrane protein. Melanosome. Note=Localizes primarily at the cell surface. Identified by mass spectrometry in melanosome fractions from stage I to stage IV. Tissue Specificity: Expressed at variable levels in many human tissues. Post-translational modifications: Phosphorylated upon DNA damage, probably by ATM or ATR. DISEASE: Defects in SLC2A1 are the cause of GLUT1 deficiency syndrome type 1 (GLUT1DS1) [MIM:606777]; also known as blood-brain barrier glucose transport defect. A neurologic disorder showing wide phenotypic variability. The most severe 'classic' phenotype comprises infantile-onset epileptic encephalopathy associated with delayed development, acquired microcephaly, motor incoordination, and spasticity. Onset of seizures, usually characterized by apneic episodes, staring spells, and episodic eye movements, occurs within the first 4 months of life. Other paroxysmal findings include intermittent ataxia, confusion, lethargy, sleep disturbance, and headache. Varying degrees of cognitive impairment can occur, ranging from learning disabilities to severe mental retardation. Defects in SLC2A1 are the cause of GLUT1 deficiency syndrome type 2 (GLUT1DS2) [MIM:612126]. A clinically variable disorder characterized primarily by onset in childhood of paroxysmal exercise-induced dyskinesia. The dyskinesia involves transient abnormal involuntary movements, such as dystonia and choreoathetosis, induced by exercise or exertion, and affecting the exercised limbs. Some patients may also have epilepsy, most commonly childhood absence epilepsy. Mild mental retardation may also occur. In some patients involuntary exertion-induced dystonic, choreoathetotic, and ballistic movements may be associated with macrocytic hemolytic anemia. Similarity: Belongs to the major facilitator superfamily. Sugar transporter (TC 2.A.1.1) family. Glucose transporter subfamily. SWISS: P11166 Gene ID: 6513 Database links: Entrez Gene: 6513 Human Entrez Gene: 20525 Mouse Entrez Gene: 24778 Rat Omim: 138140 Human SwissProt: P11166 Human SwissProt: P17809 Mouse SwissProt: P11167 Rat Unigene: 473721 Human Unigene: 721551 Human Unigene: 21002 Mouse Unigene: 3205 Rat Important Note: This product as supplied is intended for research use only, not for use in human, therapeutic or diagnostic applications. |
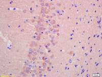
| 产品图片 | ![]() Sample: Liver (Rat) Lysate at 40 ug Primary: Anti-GLUT1 (bs-0472R) at 1/300 dilution Secondary: IRDye800CW Goat Anti-Rabbit IgG at 1/20000 dilution Predicted band size: 54 kD Observed band size: 54 kD ![]() Sample: Embryo(Mouse) Lysate at 40 ug NIH/3T3(Mouse) CellLysate at 30 ug Primary: Anti-GLUT1 (bs-0472R) at 1/300 dilution Secondary: IRDye800CW Goat Anti-Rabbit IgG at 1/20000 dilution Predicted band size: 54 kD Observed band size: 54 kD ![]() Sample: Brain(Mouse) Lysate at 40 ug Liver(Mouse) Lysate at 40 ug Primary: Anti-GLUT1 (bs-0472R) at 1/300 dilution Secondary: IRDye800CW Goat Anti-Rabbit IgG at 1/20000 dilution Predicted band size: 54 kD Observed band size: 54 kD ![]() Sample: HepG2 (Human) CellLysate at 30 ug Primary: Anti-GLUT1 (bs-0472R) at 1/300 dilution Secondary: IRDye800CW Goat Anti-Rabbit IgG at 1/20000 dilution Predicted band size: 54 kD Observed band size: 54 kD ![]() Tissue/cell: human kidney tissue; 4% Paraformaldehyde-fixed and paraffin-embedded; Antigen retrieval: citrate buffer ( 0.01M, pH 6.0 ), Boiling bathing for 15min; Block endogenous peroxidase by 3% Hydrogen peroxide for 30min; Blocking buffer (normal goat serum,C-0005) at 37℃ for 20 min; Incubation: Anti-GLUT1 Polyclonal Antibody, Unconjugated(bs-0472R) 1:400, overnight at 4°C, followed by conjugation to the secondary antibody(SP-0023) and DAB(C-0010) staining ![]() Image was kindly submitted by Dr. Lelisa Gemta from University of Virginia. Mouse splenocytes stained with Rabbit Anti-GLUT1 Polyclonal Antibody, PE conjugated (bs-0472R-PE)at 1:50. |
风险提示:丁香通仅作为第三方平台,为商家信息发布提供平台空间。用户咨询产品时请注意保护个人信息及财产安全,合理判断,谨慎选购商品,商家和用户对交易行为负责。对于医疗器械类产品,请先查证核实企业经营资质和医疗器械产品注册证情况。
技术资料暂无技术资料 索取技术资料
GLUT1葡萄糖转运蛋白1抗体
¥780 - 2200
















