相关产品推荐更多 >
万千商家帮你免费找货
0 人在求购买到急需产品
- 详细信息
- 文献和实验
- 技术资料
- 供应商:
上海联迈生物工程有限公司
- 库存:
大量
- 目录编号:
LM-0325R
- 克隆性:
多克隆
- 抗原来源:
Rabbit
- 保质期:
1年
- 抗体英文名:
GAD65
- 抗体名:
谷氨酸脱羧酶-65抗体
- 宿主:
Rabbit
- 适应物种:
Human, Mouse, Rat, Chicken, Pig,
- 亚型:
IgG
- 形态:
Lyophilized or Liquid
- 应用范围:
WB=1:500-2000 ELISA=1:500-1000 IHC-P=1:400-800 IHC-F=1:400-800 IF=1:100-500 (石蜡切片需做抗原修复)
- 浓度:
1mg/ml
- 保存条件:
Store at -20 °C
- 规格:
50ul 100ul 200ul
| 英文名称 | GAD65 |
| 中文名称 | 谷氨酸脱羧酶-65抗体 |
| 别 名 | GAD65; 65 kDa glutamic acid decarboxylase; DCE 2; DCE2; GAD 2; GAD 65; GAD-2; GAD-65; GAD2; Glutamate Decarboxylase 2 (pancreatic islets and brain 65kDa); Glutamate Decarboxylase 2; Glutamate Decarboxylase 65; Glutamate decarboxylase 65 kDa isoform; Glutamic Acid Decarboxylase 2; Glutamic Acid Decarboxylase 65. |
| 规格价格 | 50ul/780元 购买 100ul/1380元 购买 200ul/2200元 购买 大包装/询价 |
| 说 明 书 | 50ul 100ul 200ul |
| 研究领域 | 免疫学 糖尿病 |
| 抗体来源 | Rabbit |
| 克隆类型 | Polyclonal |
| 交叉反应 | Human, Mouse, Rat, Chicken, Pig, |
| 产品应用 | WB=1:500-2000 ELISA=1:500-1000 IHC-P=1:400-800 IHC-F=1:400-800 IF=1:100-500 (石蜡切片需做抗原修复) not yet tested in other applications. optimal dilutions/concentrations should be determined by the end user. |
| 分 子 量 | 65kDa |
| 细胞定位 | 细胞浆 细胞膜 |
| 性 状 | Lyophilized or Liquid |
| 浓 度 | 1mg/ml |
| 免 疫 原 | KLH conjugated synthetic peptide derived from human GAD65:501-585/585 |
| 亚 型 | IgG |
| 纯化方法 | affinity purified by Protein A |
| 储 存 液 | 0.01M TBS(pH7.4) with 1% BSA, 0.03% Proclin300 and 50% Glycerol. |
| 保存条件 | Store at -20 °C for one year. Avoid repeated freeze/thaw cycles. The lyophilized antibody is stable at room temperature for at least one month and for greater than a year when kept at -20°C. When reconstituted in sterile pH 7.4 0.01M PBS or diluent of antibody the antibody is stable for at least two weeks at 2-4 °C. |
| PubMed | PubMed |
| 产品介绍 | background: This gene encodes one of several forms of glutamic acid decarboxylase, identified as a major autoantigen in insulin-dependent diabetes. The enzyme encoded is responsible for catalyzing the production of gamma-aminobutyric acid from L-glutamic acid. A pathogenic role for this enzyme has been identified in the human pancreas since it has been identified as an autoantibody and an autoreactive T cell target in insulin-dependent diabetes. This gene may also play a role in the stiff man syndrome. Alternative splicing results in multiple transcript variants that encode the same protein. [provided by RefSeq, Oct 2008] Function: Catalyzes the production of GABA. Subunit: Homodimer. Subcellular Location: Cytoplasm, cytosol. Cytoplasmic vesicle. Cell junction, synapse, presynaptic cell membrane; Lipid-anchor. Golgi apparatus membrane; Peripheral membrane protein; Cytoplasmic side. Note=Associated to cytoplasmic vesicles. In neurons, cytosolic leaflet of Golgi membranes and presynaptic clusters. Post-translational modifications: Phosphorylated; which does not affect kinetic parameters or subcellular location. Palmitoylated; which is required for presynaptic clustering. Similarity: Belongs to the group II decarboxylase family. SWISS: Q05329 Gene ID: 2572 Database links: Entrez Gene: 2572 Human Entrez Gene: 14417 Mouse Entrez Gene: 24380 Rat Omim: 138275 Human SwissProt: Q05329 Human SwissProt: Q5VZ29 Human SwissProt: Q5VZ30 Human SwissProt: P48320 Mouse SwissProt: Q548L4 Mouse SwissProt: Q05683 Rat Unigene: 231829 Human Unigene: 4784 Mouse Unigene: 29951 Rat Important Note: This product as supplied is intended for research use only, not for use in human, therapeutic or diagnostic applications. 谷氨酸脱羧酶-65(GAD65)是用于I II型糖尿病研究的很重要的蛋白。 |
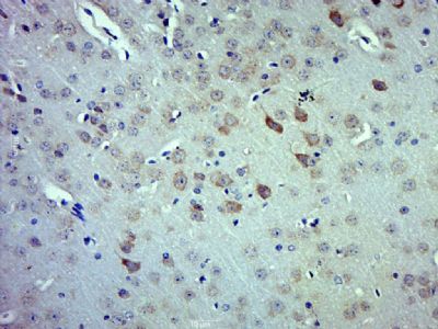
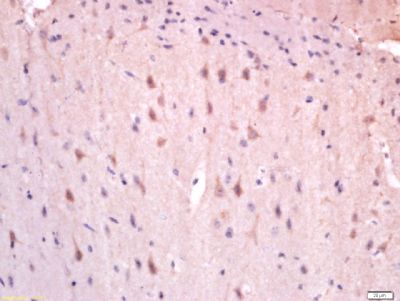
| 产品图片 | ![]() Sample: Hela Cell Lysate at 40 ug Primary: Anti- GAD65 (bs-0325R) at 1/300 dilution Secondary: IRDye800CW Goat Anti-Rabbit IgG at 1/10000 dilution Predicted band size: 65 kD Observed band size: 65 kD ![]() Sample: Lung(Rat) lysate at 30 ug; Primary: Anti-GAD65 (bs-0325R) at 1:300 dilution; Secondary: HRP conjugated Goat Anti-Rabbit IgG(bs-0295G-HRP) at 1: 5000 dilution; Predicted band size : 65kD Observed band size : 65kD ![]() Sample: Cerebrum (Mouse) Lysate at 40 ug Primary: Anti-GAD65 (bs-0325R) at 1/300 dilution Secondary: IRDye800CW Goat Anti-Rabbit IgG at 1/20000 dilution Predicted band size: 65 kD Observed band size: 65 kD ![]() Sample: brain (Mouse) Lysate at 40 ug Primary: Anti-GAD65 (bs-0325R) at 1/300 dilution Secondary: IRDye800CW Goat Anti-Rabbit IgG at 1/20000 dilution Predicted band size: 65 kD Observed band size: 65 kD ![]() Tissue/cell: mouse brain tissue; 4% Paraformaldehyde-fixed and paraffin-embedded; Antigen retrieval: citrate buffer ( 0.01M, pH 6.0 ), Boiling bathing for 15min; Block endogenous peroxidase by 3% Hydrogen peroxide for 30min; Blocking buffer (normal goat serum,C-0005) at 37℃ for 20 min; Incubation: Anti-GAD65 Polyclonal Antibody, Unconjugated(bs-0325R) 1:200, overnight at 4°C, followed by conjugation to the secondary antibody(SP-0023) and DAB(C-0010) staining ![]() Paraformaldehyde-fixed, paraffin embedded (Mouse brain); Antigen retrieval by boiling in sodium citrate buffer (pH6.0) for 15min; Block endogenous peroxidase by 3% hydrogen peroxide for 20 minutes; Blocking buffer (normal goat serum) at 37°C for 30min; Antibody incubation with (GAD65) Polyclonal Antibody, Unconjugated (bs-0325R) at 1:500 overnight at 4°C, followed by a conjugated secondary (sp-0023) for 20 minutes and DAB staining. |
风险提示:丁香通仅作为第三方平台,为商家信息发布提供平台空间。用户咨询产品时请注意保护个人信息及财产安全,合理判断,谨慎选购商品,商家和用户对交易行为负责。对于医疗器械类产品,请先查证核实企业经营资质和医疗器械产品注册证情况。
文献和实验foreye 我想免疫组化法检测NFkBp65,请问santa cruz的这类抗体好用么?sc109和sc372分别识别的是NFkb p65的N末端和C末端,这两个有区别么?是否都是激活后暴露出来的?(记得C端是结合DNA的位置)请战友前辈指教!谢谢谢谢! lishufang821 我最近也在做免疫组化法检测NFkBp65,买的中山的,现在正在摸浓度,赫赫 多交流阿。QQ:493093683
hbqh 我想做NF-KB的WB,我买的抗体是NF-KBp65抗体,不是磷酸化抗体,是不是我需要做细胞核的NF-KBp65的量变化,另外我是不是必须选择细胞核内参呢?哪位前辈知道啊,在线等待,谢谢 hbqh 自己顶一下 hbqh 怎么没有人顶啊,快点回复吧 amygdala 相关回答见http://www.dxy.cn/bbs/post/view?bid=74
【求助】有谁用过中杉分装的santa cruz 公司的兔来源的多抗 NF-kB P65 抗体?效果如何啊?
autumner 有谁用过中杉分装的santa cruz 公司兔来源的多抗 NF-kB P65 抗体?效果如何啊?我想用来做细胞的免疫荧光或是Western Blotting。望用过的战友们给个中肯的评价,谢谢! erik 我用过分装的磷酸化的p65,做western blot ,感觉不错! lsj096 请问你用的怎么样啊?我也想买个!谢谢! zhangql930611
技术资料暂无技术资料 索取技术资料
















