相关产品推荐更多 >
万千商家帮你免费找货
0 人在求购买到急需产品
- 详细信息
- 询价记录
- 文献和实验
- 技术资料
- 供应商:
上海联迈生物工程有限公司
- 库存:
大量
- 目录编号:
LM-0086R
- 克隆性:
多克隆
- 抗原来源:
Rabbit
- 保质期:
1年
- 抗体英文名:
TGF beta 1
- 抗体名:
转化生长因子β1/TGF β1/TGF-β1抗体
- 宿主:
Rabbit
- 适应物种:
Human, Mouse, Rat, Dog, Pig, Cow, Rabbit, Sheep, Guinea Pig,
- 免疫原:
KLH conjugated synthetic peptide derived from human TGF-Beta 1:351-390/390
- 亚型:
IgG
- 形态:
Lyophilized or Liquid
- 应用范围:
WB=1:500-2000 ELISA=1:500-1000 IHC-P=1:400-800 IHC-F=1:400-800 IF=1:100-500 (石蜡切片需做抗原修复)
- 浓度:
1mg/ml
- 保存条件:
Store at -20 °C
- 规格:
50ul 100ul 200ul
| 英文名称 | TGF beta 1 |
| 中文名称 | 转化生长因子β1/TGF β1/TGF-β1抗体 |
| 别 名 | CED; DPD1; TGF beta 1; TGF beta; TGF beta 1 protein; TGF-beta 1 protein; TGF-beta-1; TGF-beta-5; TGF-beta1; TGFB; Tgfb-1; tgfb1; TGFB1_HUMAN; TGFbeta; TGFbeta1; Transforming Growth Factor b1; Transforming Growth Factor beta 1; Transforming growth factor beta 1a; transforming growth factor beta-1; transforming growth factor, beta 1. |
![]() |
Specific References (16) | bs-0086R has been referenced in 16 publications. [IF=4.52] Abdelmagid, Samir M., et al. "Mutation in Osteoactivin Reduces Bone Formation in Vivo and Osteoblast Differentiation in Vitro." The American Journal of Pathology (2014). WB ; Rat. PubMed:24462663 [IF=1.06] Erbas, O., et al. "Nephro-protective effect of granulocyte colony-stimulating factor in streptozotocin induced diabetic rats." Biotechnic & Histochemistry 0 (2014): 1-9. IHC-P ; Rat. PubMed:24707907 [IF=0.94] Tang, Jin, et al. "Increased adenosine levels contribute to ischemic kidney fibrosis in the unilateral ureteral obstruction model." Experimental and Therapeutic Medicine. IHC-P ; Mouse. PubMed:25667621 [IF=3.23] Xue X, Chen Q, Zhao G, Zhao J-Y, Duan Z, Zheng P-S (2015) The Overexpression of TGF-β and CCN2 in Intrauterine Adhesions Involves the NF-κB Signaling Pathway. PLoS ONE 10(12): e0146159. IHC-P ; Human. PubMed:26719893 [IF=1.88] Venter, Neil Grant, et al. "Use of platelet-rich plasma in deep second-and third-degree burns." Burns (2016). other ; PubMed:26822695 [IF=7.39] Ganguly, Rituparna, et al. "Anti-atherogenic Effect of Trivalent Chromium-loaded CPMV Nanoparticles in Human Aortic Smooth Muscle Cells under Hyperglycemic Conditions in vitro." Nanoscale (2016). WB ; Human. PubMed:26935414 [IF=1.64] Eren, Kenan, et al. "The Suppression of Wound Healing Response with Sirolimus and Sunitinib Following Experimental Trabeculectomy in a Rabbit Model." Current Eye Research (2016): 1-10. IHC-P ; Rabbit. PubMed:25897981 [IF=1.89] Hu, Jianguo, Biao Zeng, and Xingwei Jiang. "The expression of marker for endometrial stem cell and fibrosis was increased in intrauterine adhesious."International journal of clinical and experimental pathology 8.2 (2015): 1525. IHC-P ; Mouse. PubMed:25973037 [IF=1.27] Sun, Zhenqiang, et al. "Immunological effect induced by mesenchymal stem cells in a rat liver transplantation model." Experimental and therapeutic medicine 10.2 (2015): 401-406. IHC-P ; Rat. PubMed:26622328 [IF=1.40] Zhu, Yi, et al. "High Molecular Weight Hyaluronic Acid Inhibits Fibrosis of Endometrium." Medical Science Monitor 22 (2016): 3438-3445. IHC-P ; Mouse. PubMed:27670361 [IF=5.29] Shang, Peijin, et al. "Acetyl-11-Keto-β-Boswellic Acid Attenuates Prooxidant and Profibrotic Mechanisms Involving Transforming Growth Factor-β1, and Improves Vascular Remodeling in Spontaneously Hypertensive Rats." Scientific Reports 6 (2016): 39809. IHC-P ; Rat. PubMed:28009003 [IF=1.56] Du, Jinghua, et al. "TLR4‑dependent signaling pathway modulation: A novel mechanism by which pioglitazone protects against nutritional fibrotic steatohepatitis in mice." Molecular medicine reports 13.3 (2016): 2159-2166. WB ; Mouse. PubMed:26781175 [IF=2.55] Shen, Haitao, et al. "Chloroquine attenuates paraquat-induced lung injury in mice by altering inflammation, oxidative stress and fibrosis." International Immunopharmacology 46 (2017): 16-22. IHC-P ; Mouse. PubMed:28249220 [IF=2.13] Mao, Rui, et al. "Efficacy of radiotherapy for the treatment of cystic echinococcosis in naturally infected sheep." Infectious Diseases of Poverty 6.1 (2017): 88. IHC-P ; Sheep. PubMed:28464914 [IF=2.45] Xiu, Zhi-Ming, et al. "1-Acetyl-5-phenyl-1H-pyrrol-3-ylacetate: an aldose reductase inhibitor for the treatment of diabetic nephropathy." Bioorganic & Medicinal Chemistry Letters (2017). WB ; Rat. PubMed:0 [IF=1.96] Kou, Wei, et al. ʺTransforming growth factor-β1 promotes Treg commitment in nasal polyposis after intranasal steroid treatment.ʺ Inflammation Research (2013): 1-7. ELISA ; Human. PubMed:23178794 |
| 规格价格 | 50ul/780元 购买 100ul/1380元 购买 200ul/2200元 购买 大包装/询价 |
| 说 明 书 | 50ul 100ul 200ul |
| 研究领域 | 肿瘤 心血管 信号转导 干细胞 生长因子和激素 转录调节因子 细胞因子 细胞外基质 |
| 抗体来源 | Rabbit |
| 克隆类型 | Polyclonal |
| 交叉反应 | Human, Mouse, Rat, Dog, Pig, Cow, Rabbit, Sheep, Guinea Pig, |
| 产品应用 | WB=1:500-2000 ELISA=1:500-1000 IHC-P=1:400-800 IHC-F=1:400-800 IF=1:100-500 (石蜡切片需做抗原修复) not yet tested in other applications. optimal dilutions/concentrations should be determined by the end user. |
| 分 子 量 | 12.8/44kDa |
| 细胞定位 | 分泌型蛋白 |
| 性 状 | Lyophilized or Liquid |
| 浓 度 | 1mg/ml |
| 免 疫 原 | KLH conjugated synthetic peptide derived from human TGF-Beta 1:351-390/390 |
| 亚 型 | IgG |
| 纯化方法 | affinity purified by Protein A |
| 储 存 液 | 0.01M TBS(pH7.4) with 1% BSA, 0.03% Proclin300 and 50% Glycerol. |
| 保存条件 | Store at -20 °C for one year. Avoid repeated freeze/thaw cycles. The lyophilized antibody is stable at room temperature for at least one month and for greater than a year when kept at -20°C. When reconstituted in sterile pH 7.4 0.01M PBS or diluent of antibody the antibody is stable for at least two weeks at 2-4 °C. |
| PubMed | PubMed |
| 产品介绍 | background: This gene encodes a member of the transforming growth factor beta (TGFB) family of cytokines, which are multifunctional peptides that regulate proliferation, differentiation, adhesion, migration, and other functions in many cell types. Many cells have TGFB receptors, and the protein positively and negatively regulates many other growth factors. The secreted protein is cleaved into a latency-associated peptide (LAP) and a mature TGFB1 peptide, and is found in either a latent form composed of a TGFB1 homodimer, a LAP homodimer, and a latent TGFB1-binding protein, or in an active form composed of a TGFB1 homodimer. The mature peptide may also form composed of a TGFB1 homodimer. The mature peptide may also form composed of a TGFB1 homodimer. The mature peptide may also form composed of a TGFB1 homodimer. The mature peptide may also form composed of a TGFB1 homodimer. The mature peptide may also form heterodimers with other TGFB family members. This gene is frequently upregulated in tumor cells, and mutations in this gene result in Camurati-Engelmann disease. Function: Multifunctional protein that controls proliferation, differentiation and other functions in many cell types. Many cells synthesize TGFB1 and have specific receptors for it. It positively and negatively regulates many other growth factors. It plays an important role in bone remodeling as it is a potent stimulator of osteoblastic bone formation, causing chemotaxis, proliferation and differentiation in committed osteoblasts. Subunit: Homodimer; disulfide-linked, or heterodimer with TGFB2. Secreted and stored as a biologically inactive form in the extracellular matrix in a 290 kDa complex (large latent TGF-beta1 complex) containing the TGFB1 homodimer, the latency-associated peptide (LAP), and the latent TGFB1 binding protein-1 (LTBP1). The complex without LTBP1 is known as the'small latent TGF-beta1 complex'. Dissociation of the TGFB1 from LAP is required for growth factor activation and biological activity. Release of the large latent TGF-beta1 complex from the extracellular matrix is carried out by the matrix metalloproteinase MMP3 (By similarity). May interact with THSD4; this interaction may lead to sequestration by FBN1 microfibril assembly and attenuation of TGFB signaling. Interacts with the serine proteases, HTRA1 and HTRA3: the interaction with either inhibits TGFB1-mediated signaling. The HTRA protease activity is required for this inhibition (By similarity). Interacts with CD109, DPT and ASPN. Subcellular Location: Secreted, extracellular space, extracellular matrix. Tissue Specificity: Highly expressed in bone. Abundantly expressed in articular cartilage and chondrocytes and is increased in osteoarthritis (OA). Co-localizes with ASPN in chondrocytes within OA lesions of articular cartilage. Post-translational modifications: Glycosylated. The precursor is cleaved into mature TGF-beta-1 and LAP, which remains non-covalently linked to mature TGF-beta-1 rendering it inactive. DISEASE: Defects in TGFB1 are the cause of Camurati-Engelmann disease (CE) [MIM:131300]; also known as progressive diaphyseal dysplasia 1 (DPD1). CE is an autosomal dominant disorder characterized by hyperostosis and sclerosis of the diaphyses of long bones. The disease typically presents in early childhood with pain, muscular weakness and waddling gait, and in some cases other features such as exophthalmos, facial paralysis, hearing difficulties and loss of vision. Similarity: Belongs to the TGF-beta family. SWISS: P01137 Gene ID: 7040 Database links: Entrez Gene: 7040 Human Entrez Gene: 21803 Mouse Entrez Gene: 59086 Rat Omim: 190180 Human SwissProt: P01137 Human SwissProt: P04202 Mouse SwissProt: P17246 Rat Unigene: 645227 Human Important Note: This product as supplied is intended for research use only, not for use in human, therapeutic or diagnostic applications. 生长因子和激素( Growth Factor and Hormones) TGF是一种多效生长因子,对上皮细胞增值有潜在抑制作用,可抑制肿瘤生长用于许多恶性肿瘤如:胃癌、肺癌、膀胱癌、肾癌、前列腺癌、结肠癌等多种恶性肿瘤的研究。 TGFβ超级家族由为数众多的生长的分化因子组成,包括转移生长因子β1,2和3(TGF β1,TGF β2,TGF β3);胎盘生长因子(PTGF-β);生长/分化因子(GDFs);缪氏抑制物(MIS);骨形态形成蛋白(BMPs);交织细胞元神经生长因子(GDNF);抑制素和活化素(α, β-A,和β-C),Lefty和Nodal。 TGF超级家族成员参与胚胎发育和成体组织体内平衡。TGF-β1抗体与TGF-β2和TGF-β3没有交叉反应。与豚鼠有大部分交叉。 |
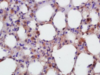
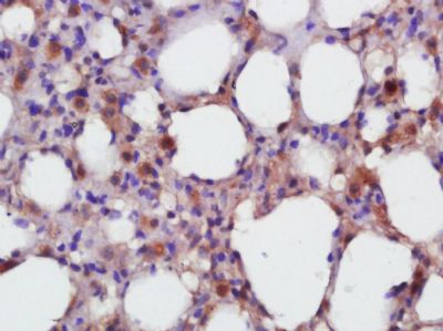
| 产品图片 | ![]() Sample: Ovary (Mouse) Lysate at 40 ug Primary: Anti-TGF beta 1 (bs-0086R) at 1/1000 dilution Secondary: IRDye800CW Goat Anti-Rabbit IgG at 1/20000 dilution Predicted band size: 12.8/44 kD Observed band size: 59 kD ![]() Sample: Embryo (Mouse) Lysate at 40 ug Cerebrum (Rat) Lysate at 40 ug Primary: Anti-TGF beta 1 (bs-0086R) at 1/1000 dilution Secondary: IRDye800CW Goat Anti-Rabbit IgG at 1/20000 dilution Predicted band size: 12.8/44 kD Observed band size: 59 kD ![]() Sample:TGF beta1 recombinant protein (human) Lysate at 100ng Primary: Anti- TGF beta1 (bs-0086R) at 1/300 dilution Secondary: IRDye800CW Goat Anti-Rabbit IgG at 1/20000 dilution Predicted band size: 12.8/44 kD Observed band size: 12.8 kD ![]() Paraformaldehyde-fixed, paraffin embedded (Rat lung); Antigen retrieval by boiling in sodium citrate buffer (pH6.0) for 15min; Block endogenous peroxidase by 3% hydrogen peroxide for 20 minutes; Blocking buffer (normal goat serum) at 37°C for 30min; Antibody incubation with (TGF beta 1) Polyclonal Antibody, Unconjugated (bs-0086R) at 1:400 overnight at 4°C, followed by operating according to SP Kit(Rabbit) (sp-0023) instructions and DAB staining. |
风险提示:丁香通仅作为第三方平台,为商家信息发布提供平台空间。用户咨询产品时请注意保护个人信息及财产安全,合理判断,谨慎选购商品,商家和用户对交易行为负责。对于医疗器械类产品,请先查证核实企业经营资质和医疗器械产品注册证情况。
- 作者
- 内容
- 询问日期
文献和实验人转化生长因子β1 ( TGF- β 1 ) 酶联免疫 分析 试剂 盒使用说明书 本试剂仅供研究使用 目的:本试剂盒用于测定人尿液及相关液体样本中转化生长因子β1(TGF-β1)的含量。 实验原理 : 本试剂盒应用 双抗体 夹心法测定 标本 中 人 转化生长因子β1 ( TGF- β 1 ) 水平。用纯化的 人 转化生长因子β1 ( TGF- β 1 ) 抗体 包被微孔板,制成固相 抗 体,往包被 单抗 的微孔中加入 转化生长因子
大鼠转化生长因子 β 1(TGF- β 1) 酶联免疫 分析 试剂 盒使用说明书 本试剂仅供研究使用 目的:本试剂盒用于测定大鼠血清,血浆及相关液体样本中 转化生长因子β1(TGF-β1) 的含量。 实验原理 : 本试剂盒应用双抗体夹心法测定 标本 中 大鼠 转化生长因子 β 1( TGF- β 1) 水平。用纯化的 大鼠 转化生长因子 β 1( TGF- β 1) 抗体包被微孔板,制成固相抗体,往包被单抗的微孔中
作用可被TNF-α(小鼠MIC)或IL-2(人MLC)所逆转。③抑制PBMC中NK活性以及NK细胞对TNF-α的的以应性。④抑制ConA和IL-2、IL-6协同诱导小鼠胸腺MHC非限制杀伤性细胞的活性。 (4)抑制细胞因子产生:如抑制PBMC中IFN-γ和TNF-α的产生。 (5)其它调节作用:①促进成纤维细胞、成骨细胞和雪旺氏细胞的生长。TGF-β1、TGF-β2促进人成纤维细胞IL-6的产生,其机理可能是通过对IL-6基因转录的调节。②抑制上皮细胞、破骨细胞、内皮细胞生长
技术资料暂无技术资料 索取技术资料















