相关产品推荐更多 >
万千商家帮你免费找货
0 人在求购买到急需产品
- 详细信息
- 询价记录
- 文献和实验
- 技术资料
- 免疫原:
KLH conjugated synthetic peptide derived from human PRODH
- 亚型:
IgG
- 形态:
液态/冻干粉
- 保存条件:
Store at -2825 °C
- 克隆性:
多克隆
- 宿主:
rabbit
- 应用范围:
IHC-P=1:50-100 IHC-F=1:50-1421 (石蜡切片需做抗原修复) not yet tested in other applications.optimal dilutions/concentrations should be determined by the end user.
- 浓度:
1mg/1ml
- 规格:
0.2ml/0.1ML
英文名称Latency-associated peptide
中文名称转化生长因子β/TGFβ抗体
别 名 LAP; Latency-associated peptide; ARVD; BSC 1 cell growth inhibitor; CED; Cetermin; Diaphyseal dysplasia 1 progressive; DPD 1; DPD1; G TSF; Glioblastoma derived T cell suppressor factor; LAP; Polyergin; TGF beta 1; TGF beta 1 protein; TGF beta; TGF beta1; TGF-beta-1; TGFB 1; TGFB; TGFB1; TGFB1_HUMAN; TGFbeta; Transforming growth factor; Transforming growth factor beta 1; Transforming Growth Factor beta.
规格价格100ul 200ul
研究领域肿瘤 细胞生物 信号转导 干细胞 生长因子和激素 转录调节因子抗体来源Rabbit
克隆类型Polyclonal 交叉反应 Human,
产品应用WB=1:500-2000 ELISA=1:500-1000 IHC-P=1:400-800 IHC-F=1:400-800 ICC=1:100-500 IF=1:100-500 (石蜡切片
需做抗原修复)
not yet tested in other applications.
optimal dilutions/concentrations should be determined by the end user.
分子 量30/44kDa
细胞定位细胞外基质分泌型蛋白性 状 Lyophilized or Liquid
浓 度 1mg/ml
免疫 原KLH conjugated synthetic peptide derived from human Latency-associated peptide:101-200/390
亚 型 IgG
纯化方法affinity purified by Protein A
储存 液0.01M TBS(pH7.4) with 1% BSA, 0.03% Proclin300 and 50% Glycerol.
保存条件Store at -20 °C for one year. Avoid repeated freeze/thaw cycles. The lyophilized antibody is stable at room temperature for at least one month and for greater than a year when kept at -20°C. When reconstituted in sterile pH 7.4 0.01M PBS or diluent of antibody the antibody is stable for at least two weeks at 2-4 °C.
PubMedPubMed
产品介绍background:
This gene encodes a member of the transforming growth factor beta (TGFB) family of cytokines, which are multifunctional peptides that regulate proliferation, differentiation, adhesion, migration, and other functions in many cell types. Many cells have TGFB receptors, and the protein positively and negatively regulates many other growth factors. The secreted protein is cleaved into a latency-associated peptide (LAP) and a mature TGFB1 peptide, and is found in either a latent form composed of a TGFB1 homodimer, a LAP homodimer, and a latent TGFB1-binding protein, or in an active form composed of a TGFB1 homodimer. The mature peptide may also form heterodimers with other TGFB family members. This gene is frequently upregulated in tumor cells, and mutations in this gene result in Camurati-Engelmann disease.
Function:
Multifunctional protein that controls proliferation, differentiation and other functions in many cell types. Many cells synthesize TGFB1 and have specific receptors for it. It positively and negatively regulates many other growth factors. It plays an important role in bone remodeling as it is a potent stimulator of osteoblastic bone formation, causing chemotaxis, proliferation and differentiation in committed osteoblasts.
Subunit:
Homodimer; disulfide-linked, or heterodimer with TGFB2. Secreted and stored as a biologically inactive form in the extracellular matrix in a 290 kDa complex (large latent TGF-beta1 complex) containing the TGFB1 homodimer, the latency-associated peptide (LAP), and the latent TGFB1 binding protein-1 (LTBP1). The complex without LTBP1 is known as the'small latent TGF-beta1 complex'. Dissociation of the TGFB1 from LAP is required for growth factor activation and biological activity. Release of the large latent TGF-beta1 complex from the extracellular matrix is carried out by the matrix metalloproteinase MMP3. May interact with THSD4; this interaction may lead to sequestration by FBN1 microfibril assembly and attenuation of TGFB signaling.
Interacts with the serine proteases, HTRA1 and HTRA3: the interaction with either inhibits TGFB1-mediated signaling. The HTRA protease activity is required for this inhibition. Interacts with CD109, DPT and ASPN.
Subcellular Location:
Secreted, extracellular space, extracellular matrix.
Tissue Specificity:
Highly expressed in bone. Abundantly expressed in articular cartilage and chondrocytes and is increased in osteoarthritis (OA). Co-localizes with ASPN in chondrocytes within OA lesions of articular cartilage.
Post-translational modifications:
Glycosylated.
The precursor is cleaved into mature TGF-beta-1 and LAP, which remains non-covalently linked to mature TGF-beta-1 rendering it inactive.
DISEASE:
Defects in TGFB1 are the cause of Camurati-Engelmann disease (CE) [MIM:131300]; also known as progressive diaphyseal
Similarity:
Belongs to the TGF-beta family.
SWISS:
P01137
Gene ID:
7040
Database links:
Entrez Gene: 7040 Human Entrez Gene: 21803 Mouse Entrez Gene: 59086 Rat Omim: 190180 Human SwissProt: P01137 Human SwissProt: P04202 Mouse SwissProt: P17246 Rat Unigene: 645227 Human
Unigene: 248380 Mouse
Unigene: 40136 Rat
Important Note:
This product as supplied is intended for research use only, not for use in human, therapeutic or diagnostic applications.
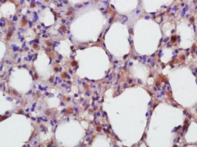
产品图片:
| 产品图片 | ![]() Sample: Ovary (Mouse) Lysate at 40 ug Primary: Anti-TGF beta 1 (bs-0086R) at 1/1000 dilution Secondary: IRDye800CW Goat Anti-Rabbit IgG at 1/20000 dilution Predicted band size: 12.8/44 kD Observed band size: 59 kD ![]() Sample: Embryo (Mouse) Lysate at 40 ug Cerebrum (Rat) Lysate at 40 ug Primary: Anti-TGF beta 1 (bs-0086R) at 1/1000 dilution Secondary: IRDye800CW Goat Anti-Rabbit IgG at 1/20000 dilution Predicted band size: 12.8/44 kD Observed band size: 59 kD ![]() Sample:TGF beta1 recombinant protein (human) Lysate at 100ng Primary: Anti- TGF beta1 (bs-0086R) at 1/300 dilution Secondary: IRDye800CW Goat Anti-Rabbit IgG at 1/20000 dilution Predicted band size: 12.8/44 kD Observed band size: 12.8 kD ![]() Paraformaldehyde-fixed, paraffin embedded (Rat lung); Antigen retrieval by boiling in sodium citrate buffer (pH6.0) for 15min; Block endogenous peroxidase by 3% hydrogen peroxide for 20 minutes; Blocking buffer (normal goat serum) at 37°C for 30min; Antibody incubation with (TGF beta 1) Polyclonal Antibody, Unconjugated (bs-0086R) at 1:400 overnight at 4°C, followed by operating according to SP Kit(Rabbit) (sp-0023) instructions and DAB staining. |
风险提示:丁香通仅作为第三方平台,为商家信息发布提供平台空间。用户咨询产品时请注意保护个人信息及财产安全,合理判断,谨慎选购商品,商家和用户对交易行为负责。对于医疗器械类产品,请先查证核实企业经营资质和医疗器械产品注册证情况。
- 作者
- 内容
- 询问日期
文献和实验人转化生长因子β1 ( TGF- β 1 ) 酶联免疫 分析 试剂 盒使用说明书 本试剂仅供研究使用 目的:本试剂盒用于测定人尿液及相关液体样本中转化生长因子β1(TGF-β1)的含量。 实验原理 : 本试剂盒应用 双抗体 夹心法测定 标本 中 人 转化生长因子β1 ( TGF- β 1 ) 水平。用纯化的 人 转化生长因子β1 ( TGF- β 1 ) 抗体 包被微孔板,制成固相 抗 体,往包被 单抗 的微孔中加入 转化生长因子
大鼠转化生长因子 β 1(TGF- β 1) 酶联免疫 分析 试剂 盒使用说明书 本试剂仅供研究使用 目的:本试剂盒用于测定大鼠血清,血浆及相关液体样本中 转化生长因子β1(TGF-β1) 的含量。 实验原理 : 本试剂盒应用双抗体夹心法测定 标本 中 大鼠 转化生长因子 β 1( TGF- β 1) 水平。用纯化的 大鼠 转化生长因子 β 1( TGF- β 1) 抗体包被微孔板,制成固相抗体,往包被单抗的微孔中
作用可被TNF-α(小鼠MIC)或IL-2(人MLC)所逆转。③抑制PBMC中NK活性以及NK细胞对TNF-α的的以应性。④抑制ConA和IL-2、IL-6协同诱导小鼠胸腺MHC非限制杀伤性细胞的活性。 (4)抑制细胞因子产生:如抑制PBMC中IFN-γ和TNF-α的产生。 (5)其它调节作用:①促进成纤维细胞、成骨细胞和雪旺氏细胞的生长。TGF-β1、TGF-β2促进人成纤维细胞IL-6的产生,其机理可能是通过对IL-6基因转录的调节。②抑制上皮细胞、破骨细胞、内皮细胞生长
技术资料暂无技术资料 索取技术资料












