相关产品推荐更多 >
万千商家帮你免费找货
0 人在求购买到急需产品
- 详细信息
- 文献和实验
- 技术资料
- 供应商:
上海联迈生物工程有限公司
- 库存:
大量
- 目录编号:
LM-0052R
- 克隆性:
多克隆
- 抗原来源:
Rabbit
- 保质期:
1年
- 抗体英文名:
Caspase 8
- 抗体名:
半胱氨酸蛋白酶8抗体
- 宿主:
Rabbit
- 适应物种:
Human, Mouse, Rat, Chicken, Dog, Pig, Cow, Sheep,
- 免疫原:
KLH conjugated synthetic peptide derived from rat Caspase-8 subunit p10:411-482/482
- 亚型:
IgG
- 形态:
Lyophilized or Liquid
- 应用范围:
ELISA=1:500-1000 IHC-P=1:400-800 IHC-F=1:400-800 Flow-Cyt=1μg/Test IF=1:100-500 (石蜡切片需做抗原修复)
- 浓度:
1mg/ml
- 保存条件:
Store at -20 °C
- 规格:
50ul 100ul 200ul
| 英文名称 | Caspase 8 |
| 中文名称 | 半胱氨酸蛋白酶8抗体 |
| 别 名 | Caspase-8 p10; Caspase-8 subunit p10; ALPS2B; Amyotrophic lateral sclerosis 2 chromosomal region candidate gene 12 protein; Apoptosis related cysteine peptidase; Apoptotic cysteine protease; Apoptotic protease Mch 5; Apoptotic protease Mch-5; Apoptotic protease Mch5; CAP 4; CAP4; CASP 8; CASP-8; Caspase-8; Caspase8; CASP8; CASP8_HUMAN; Caspase8; Caspase 8 apoptosis related cysteine peptidase; Caspase8; CED 3; FADD homologous ICE/CED 3 like protease; FADD Homologous ICE/CED3 Like Protease; FADD Like ICE antibody FADD-homologous ICE/CED-3-like protease; FADD-like ICE; FLICE; FLJ17672; ICE like apoptotic protease 5; ICE-like apoptotic protease 5; MACH alpha 1/2/3 protein; MACH antibody MACH beta 1/2/3/4 protein antibody MCH 5; MCH5. |
![]() |
Specific References (9) | bs-0052R has been referenced in 9 publications. [IF=3.53] Fang C, Zhang J, Qi D, Fan X, Luo J, et al. (2014) Evodiamine Induces G2/M Arrest and Apoptosis via Mitochondrial and Endoplasmic Reticulum Pathways in H446 and H1688 Human Small-Cell Lung Cancer Cells. PLoS ONE 9(12): e115204. WB ; Human. PubMed:25506932 [IF=2.44] Tulsulkar, Jatin, et al. "Ginkgo biloba Extract Prevents Female Mice from Ischemic Brain Damage and the Mechanism Is Independent of the HO1/Wnt Pathway." Translational Stroke Research (2015): 1-12. other ; PubMed:26573919 [IF=3.40] Gao, Hui, et al. "Hispidulin induces mitochondrial apoptosis in acute myeloid leukemia cells by targeting extracellular matrix metalloproteinase inducer."American Journal of Translational Research 8.2 (2016): 1115-1132. WB ; Human. PubMed:27158398 [IF=2.37] Akinrinde, A. S., et al. "Alterations in blood pressure, antioxidant status and caspase 8 expression in cobalt chloride-induced cardio-renal dysfunction are reversed by Ocimum gratissimum and gallic acid in Wistar rats." Journal of Trace Elements in Medicine and Biology 36 (2016): 27-37. Rat. PubMed:27259349 [IF=3.23] Daverey, Amita, and Sandeep K. Agrawal. "Curcumin alleviates oxidative stress and mitochondrial dysfunction in astrocytes." Neuroscience 333 (2016): 92-103. WB ; Human. PubMed:27423629 [IF=3.85] Wang, Yandi, et al. "Regulation of steroid hormones and energy status with cysteamine and its effect on spermatogenesis." Toxicology and Applied Pharmacology (2016). IHC-P ; Sheep. PubMed:27815134 [IF=5.23] Zhao, Yong, et al. "Hydrogen Sulfide and/or Ammonia Reduces Spermatozoa Motility through AMPK/AKT Related Pathways." Scientific Reports 6 (2016): 37884. WB ; Pig. PubMed:27883089 [IF=3.95] Wang, Gang, et al. "Inhibition of hydrogen sulfide synthesis provides protection for severe acute pancreatitis rats via apoptosis pathway." Apoptosis (2013): 1-15. IHC-P ; Rat. PubMed:23054084 [IF=2.33] Wu, Chun-Yan, et al. "PCSK9 siRNA Inhibits HUVEC Apoptosis Induced by ox-LDL via Bcl/Bax–Caspase9–Caspase3 Pathway." Molecular and Cellular Biochemistry 359.1-2 (2012): 347-358. WB ; Human. PubMed:21847580 |
| 规格价格 | 50ul/780元 购买 100ul/1380元 购买 200ul/2200元 购买 大包装/询价 |
| 说 明 书 | 50ul 100ul 200ul |
| 研究领域 | 细胞生物 神经生物学 细胞凋亡 |
| 抗体来源 | Rabbit |
| 克隆类型 | Polyclonal |
| 交叉反应 | Human, Mouse, Rat, Chicken, Dog, Pig, Cow, Sheep, |
| 产品应用 | ELISA=1:500-1000 IHC-P=1:400-800 IHC-F=1:400-800 Flow-Cyt=1μg/Test IF=1:100-500 (石蜡切片需做抗原修复) not yet tested in other applications. optimal dilutions/concentrations should be determined by the end user. |
| 分 子 量 | 12/55kDa |
| 细胞定位 | 细胞浆 |
| 性 状 | Lyophilized or Liquid |
| 浓 度 | 1mg/ml |
| 免 疫 原 | KLH conjugated synthetic peptide derived from rat Caspase-8 subunit p10:411-482/482 |
| 亚 型 | IgG |
| 纯化方法 | affinity purified by Protein A |
| 储 存 液 | 0.01M TBS(pH7.4) with 1% BSA, 0.03% Proclin300 and 50% Glycerol. |
| 保存条件 | Store at -20 °C for one year. Avoid repeated freeze/thaw cycles. The lyophilized antibody is stable at room temperature for at least one month and for greater than a year when kept at -20°C. When reconstituted in sterile pH 7.4 0.01M PBS or diluent of antibody the antibody is stable for at least two weeks at 2-4 °C. |
| PubMed | PubMed |
| 产品介绍 | background: Caspases are cysteine proteases, expressed as inactive precursors, that mediate apoptosis by proteolysis of specific substrates. Caspases have the ability to cleave after aspartic acid residues. There are two classes of caspases involved in apoptosis; initiators (activation by receptor cluster) and effectors (activation by mitochondrial permeability transition). Proapoptotic signals autocatalytically activate initiator caspases, such as Caspase 8 and Caspase 9. Activated initiator caspases then process effector caspases, such as Caspase 3 and Caspase 7, which in turn cause cell collapse. Function: Most upstream protease of the activation cascade of caspases responsible for the TNFRSF6/FAS mediated and TNFRSF1A induced cell death. Binding to the adapter molecule FADD recruits it to either receptor. The resulting aggregate called death-inducing signaling complex (DISC) performs CASP8 proteolytic activation. The active dimeric enzyme is then liberated from the DISC and free to activate downstream apoptotic proteases. Proteolytic fragments of the N-terminal propeptide (termed CAP3, CAP5 and CAP6) are likely retained in the DISC. Cleaves and activates CASP3, CASP4, CASP6, CASP7, CASP9 and CASP10. May participate in the GZMB apoptotic pathways. Cleaves ADPRT. Hydrolyzes the small-molecule substrate, Ac-Asp-Glu-Val-Asp-|-AMC. Likely target for the cowpox virus CRMA death inhibitory protein. Isoform 5, isoform 6, isoform 7 and isoform 8 lack the catalytic site and may interfere with the pro-apoptotic activity of the complex. Subunit: Heterotetramer that consists of two anti-parallel arranged heterodimers, each one formed by a 18 kDa (p18) and a 10 kDa (p10) subunit. Interacts with FADD, CFLAR and PEA15. Isoform 9 interacts at the endoplasmic reticulum with a complex containing BCAP31, BAP29, BCL2 and/or BCL2L1. Interacts with TNFAIP8L2. Subcellular Location: Cytoplasm. Tissue Specificity: Isoform 1, isoform 5 and isoform 7 are expressed in a wide variety of tissues. Highest expression in peripheral blood leukocytes, spleen, thymus and liver. Barely detectable in brain, testis and skeletal muscle. DISEASE: Defects in CASP8 are the cause of caspase-8 deficiency (CASP8D) [MIM:607271]. CASP8D is a disorder resembling autoimmune lymphoproliferative syndrome (ALPS). It is characterized by lymphadenopathy, splenomegaly, and defective CD95-induced apoptosis of peripheral blood lymphocytes (PBLs). It leads to defects in activation of T-lymphocytes, B-lymphocytes, and natural killer cells leading to immunodeficiency characterized by recurrent sinopulmonary and herpes simplex virus infections and poor responses to immunization. Similarity: Belongs to the peptidase C14A family. Contains 2 DED (death effector) domains. SWISS: O89110 Gene ID: 841 Database links: Entrez Gene: 841 Human Entrez Gene: 12370 Mouse Entrez Gene: 54474 Rat Entrez Gene: 64044 Rat Omim: 601763 Human SwissProt: Q14790 Human SwissProt: O89110 Mouse SwissProt: Q9JHX4 Rat Unigene: 599762 Human Unigene: 655983 Human Unigene: 336851 Mouse Important Note: This product as supplied is intended for research use only, not for use in human, therapeutic or diagnostic applications. |
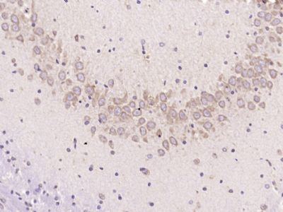
| 产品图片 | ![]() Paraformaldehyde-fixed, paraffin embedded (Rat brain); Antigen retrieval by microwave in sodium citrate buffer (pH6.0) ; Block endogenous peroxidase by 3% hydrogen peroxide for 30 minutes; Blocking buffer (3% BSA) at RT for 30min; Antibody incubation with (Caspase 8) Polyclonal Antibody, Unconjugated (bs-0052R) at 1:400 overnight at 4℃, followed by conjugation to the secondary antibody (labeled with HRP)and DAB staining. ![]() Blank control (blue line): U251 (blue). Primary Antibody (green line): Rabbit Anti-caspase-8 antibody (bs-0052R) Dilution: 1μg /10^6 cells; Isotype Control Antibody (orange line): Rabbit IgG . Secondary Antibody (white blue line): Goat anti-rabbit IgG-PE Dilution: 1μg /test. Protocol The cells were fixed with 70% ethanol overnight at 4℃ and then permeabilized with 0.1% PBS-Tween for 20 min at room temperature. Cells stained with Primary Antibody for 30 min at room temperature. The cells were then incubated in 1 X PBS/2%BSA/10% goat serum to block non-specific protein-protein interactions followed by the antibody for 15 min at room temperature. The secondary antibody used for 40 min at room temperature. Acquisition of 20,000 events was performed. |
风险提示:丁香通仅作为第三方平台,为商家信息发布提供平台空间。用户咨询产品时请注意保护个人信息及财产安全,合理判断,谨慎选购商品,商家和用户对交易行为负责。对于医疗器械类产品,请先查证核实企业经营资质和医疗器械产品注册证情况。
文献和实验【求助】caspase-3抗体与激活型caspase-3抗体
环佩从容 要做下一步实验啦,这两个抗体选哪个呀,目前研究有没有区分哪一个更好点啊 ronaldo_zj 楼主您好。 1. 楼主需要知道Pro caspase-3以及Cleaved caspase-3的功能以及检测手段,不是说哪个好那个不好的问题,而是根据你的课题需要检测何种片段的问题。请楼主先具体查阅关于caspase活化的文献后再定好实验计划; 2. 目前多数研究均认为Cleaved
olivial 最近想做caspase-3的WB,但关于caspase-3的活化有一个问题一直没弄明白,想请教。 在没受刺激前,细胞内的caspase-3以procaspase的形式存在,当受到内外源性刺激时,被活化成异二聚体,该异二聚体由p12和p17两个亚基组成。但procaspase是怎样变成异二聚体的呢?是self-cleavage,还是上游信号如caspase-8、9裂解的? selenium
bin1986 最近在做凋亡,在用凯基的caspase-3分光光度法试剂盒检测 细胞经过与药物孵育24小时后检测 用酶标仪检测,OD值在0.1-0.3之间,有一定浓度依赖,高浓度下caspase-3的活化程度有差不多4 问题在于,我用BCA蛋白定量得到的蛋白浓度时30多ug/ul,我加了有250ug,如果按照说明书的话,这个OD值应该在1左右,而我的最高才0.3.另外我的control孔(没加药)与我最低
技术资料暂无技术资料 索取技术资料













