相关产品推荐更多 >
万千商家帮你免费找货
0 人在求购买到急需产品
- 详细信息
- 技术资料
- 供应商:
上海康朗生物科技有限公司
- 库存:
大量
- 目录编号:
kl-2013R
- 克隆性:
多克隆
- 抗原来源:
Rabbit
- 保质期:
12个月
- 抗体英文名:
phospho-Nrf2 (Ser40) antibody
- 抗体名:
磷酸化核因子2相关因子2(Ser40)抗体
- 宿主:
Rabbit
- 适应物种:
Human, Mouse, Rat, Chicken, Dog, Pig, Cow,
- 免疫原:
KLH conjugated Synthesised phosphopeptide derived from human Nrf2 around the phosphorylation site of Ser40 [DF(p-S)QR]:DF(p-S)QR
- 亚型:
IgG
- 形态:
冻干粉或液体
- 应用范围:
WB=1:500-2000 ELISA=1:500-1000 IHC-P=1:400-800 IHC-F=1:400-800 Flow-Cyt=1μg /test IF=1:100-500
- 浓度:
1mg/ml
- 保存条件:
-20 °C
- 规格:
100ul
phospho-Nrf2 (Ser40) antibody
| 中文名称 | 磷酸化核因子2相关因子2(Ser40)抗体 |
| 别 名 | Nrf2 (phospho S40); p-Nrf2 (phospho S40); Nuclear factor-E2 related factor2; HEBP1; NF E2 related factor 2; NFE2 related factor 2; NFE2L2; Nrf 2; Nuclear factor erythroid 2 related factor 2; Nuclear factor erythroid derived 2 like 2; NF2L2_HUMAN. |
![]() |
Specific References (20) | bs-2013R has been referenced in 20 publications. [IF=3.37] Kakehashi A, Kato A, Ishii N, Wei M, Morimura K, et al. (2014) Valerian Inhibits Rat Hepatocarcinogenesis by Activating GABA(A) Receptor-Mediated Signaling. PLoS ONE 9(11): e113610. IHC-P ; Rat. PubMed:25419570 [IF=2.87] Kaneko, Yoko S., et al. "Aripiprazole increases NAD (P) H–quinone oxidoreductase-1 and heme oxygenase-1 in PC12 cells." Journal of Neural Transmission: 1-16. WB ; Rat. PubMed:25504008 [IF=2.10] Chang, Wen-Chang, et al. "Scopoletin Protects against Methylglyoxal-Induced Hyperglycemia and Insulin Resistance Mediated by Suppression of Advanced Glycation Endproducts (AGEs) Generation and Anti-Glycation." Molecules 20.2 (2015): 2786-2801. IHC-P ; Rat. PubMed:25671364 [IF=4.48] Cárdeno, Ana, et al. "Squalene targets pro-and anti-inflammatory mediators and pathways to modulate over-activation of neutrophils, monocytes and macrophages." Journal of Functional Foods 14 (2015): 779-790. WB ; Human. PubMed:not posted yet [IF=5.74] Santofimia-Castaño, Patricia, et al. "Melatonin induces the expression of Nrf2-regulated antioxidant enzymes via PKC and Ca 2+ influx activation in mouse pancreatic acinar cells." Free Radical Biology and Medicine (2015). Rat. PubMed:26163001 [IF=3.03] Allard, Joanne S., et al. "Prolonged metformin treatment leads to reduced transcription of Nrf2 and neurotrophic factors without cognitive impairment in older C57BL/6J mice." Behavioural Brain Research (2016). WB ; Mouse. PubMed:26698400 [IF=5.03] Yen, Ting-Lin, et al. "Andrographolide stimulates p38 MAPK-Nrf2-HO-1 signaling in primary cerebral endothelial cells for definite protection against ischemic stroke in rats." Translational Research (2016). WB ; Mouse. PubMed:26746802 [IF=3.71] Ko, Su Hyuk, et al. "Crude Preparations of Helicobacter pylori Outer Membrane Vesicles Induce Upregulation of Heme Oxygenase-1 via Activating Akt-Nrf2 and mTOR-IκB Kinase-NF-κB Pathways in Dendritic Cells." Infection and Immunity (2016): IAI-00190. IF(ICC) ; Others. PubMed:27185786 [IF=3.73] Ko, Su Hyuk, et al. "Bacteroides fragilis Enterotoxin Upregulates Heme Oxygenase-1 in Intestinal Epithelial Cells via a Mitogen-Activated Protein Kinases-and NF-κB-Dependent Pathway, Leading to Modulation of Apoptosis." Infection and Immunity (2016): IAI-00191. IF(ICC) ; Mouse. PubMed:27324483 [IF=3.85] Kim, Mi-Hwi, et al. "EX4 stabilizes and activates Nrf2 via PKCδ, contributing to the prevention of oxidative stress-induced pancreatic beta cell damage." Toxicology and Applied Pharmacology (2016). WB ; Rat. PubMed:27939242 [IF=3.14] Hou, Xiang, et al. "Ameliorative effect of ampelopsin on LPS-induced acute phase response in piglets." Journal of Functional Foods 35 (2017): 489-498. WB ; Pig. PubMed:0 [IF=4.29] Ghosh, Anindya, et al. "Insulin Inhibits Nrf2 Gene Expression via Heterogeneous Nuclear Ribonucleoprotein F/K in Diabetic Mice." Endocrinology 158.4 (2017): 903-919. WB ; Mouse. PubMed:28324005 [IF=3.36] Li, Ying-Na, et al. "Saponins from Aralia taibaiensis Attenuate D-Galactose-Induced Aging in Rats by Activating FOXO3a and Nrf2 Pathways." Oxidative medicine and cellular longevity 2014 (2014). IHC-P ; PubMed:24669284 [IF=7.19] Mo, Chunfen, et al. "The Crosstalk between Nrf2 and AMPK Pathways Is Important for the Anti-inflammatory Effect of Berberine in LPS-Stimulated Macrophages and Endotoxin-Shocked Mice."?Antioxidants & redox signaling?ja (2013). PubMed:23875776 [IF=5.27] Lee, Bao-Hong, et al. "Dimerumic acid attenuates receptor for advanced glycation endproduct (RAGE) signal to inhibit inflammation and diabetes mediated by Nrf2 activation and promoted methylglyoxal metabolism into D-lactate acid" Free Radical Biology and Medicine WB ; Human, Mouse. PubMed:23434766 [IF=5.27] Lee, Bao-Hong, et al. "Ankaflavin: A natural novel PPAR?? agonist up-regulated Nrf2 to attenuate methylglyoxal (MG)-induced diabetes< i> in vivo."Free Radical Biology and Medicine (2012).y WB ; Rat. PubMed:23022408 [IF=3.01] Bao-Hong, L. et al. "Graptopetalum paraguayense and resveratrol ameliorates 3 carboxymethyllysine (CML)-induced pancreas dysfunction and 4 hyperglycemia." Food and Chemical Toxicology. (2013). WB ; Mouse. PubMed:24036142 [IF=3.01] Lee, Bao-Hong, et al. "< i> Graptopetalum paraguayense and resveratrol ameliorates carboxymethyllysine (CML)-induced pancreas dysfunction and hyperglycemia." Food and Chemical Toxicology 62 (2013): 492-498. WB ; Mouse. PubMed:24036142 [IF=2.91] Hsu, Wei-Hsuan, et al. "Monascin and AITC attenuate methylglyoxal-induced PPAR?? phosphorylation and degradation through inhibition of the oxidative stress/PKC pathway depending on Nrf2 activation."Journal of agricultural and food chemistry (2013).. Mouse. PubMed:23731245 [IF=2.74] Cheng, An-Sheng, Yu-Hsiang Cheng, and Tsu-Liang Chang. "Resveratrol protects RINm5F pancreatic cells from methylglyoxal-induced apoptosis." Journal of Functional Foods (2013). WB ; Rat. PubMed:not posted yet |
| 规格价格 | 100ul/1580元 购买 大包装/询价 |
| 说 明 书 | 100ul |
| 产品类型 | 磷酸化抗体 |
| 研究领域 | 免疫学 染色质和核信号 细胞凋亡 转录调节因子 激酶和磷酸酶 |
| 抗体来源 | Rabbit |
| 克隆类型 | Polyclonal |
| 交叉反应 | Human, Mouse, Rat, Chicken, Dog, Pig, Cow, |
| 产品应用 | WB=1:500-2000 ELISA=1:500-1000 IHC-P=1:400-800 IHC-F=1:400-800 Flow-Cyt=1μg /test IF=1:100-500 (石蜡切片需做抗原修复) not yet tested in other applications. optimal dilutions/concentrations should be determined by the end user. |
| 分 子 量 | 68kDa |
| 细胞定位 | 细胞核 细胞浆 |
| 性 状 | Lyophilized or Liquid |
| 浓 度 | 1mg/ml |
| 免 疫 原 | KLH conjugated Synthesised phosphopeptide derived from human Nrf2 around the phosphorylation site of Ser40 [DF(p-S)QR]:DF(p-S)QR |
| 亚 型 | IgG |
| 纯化方法 | affinity purified by Protein A |
| 储 存 液 | 0.01M TBS(pH7.4) with 1% BSA, 0.03% Proclin300 and 50% Glycerol. |
| 保存条件 | Store at -20 °C for one year. Avoid repeated freeze/thaw cycles. The lyophilized antibody is stable at room temperature for at least one month and for greater than a year when kept at -20°C. When reconstituted in sterile pH 7.4 0.01M PBS or diluent of antibody the antibody is stable for at least two weeks at 2-4 °C. |
| PubMed | PubMed |
| 产品介绍 | background: Nuclear factor erythroid 2-related factor 2 (Nrf2) is a transcription factor which regulates the expression of many detoxification and antioxidant enzymes. Nrf2 can potentially play a significant role in adaptive responses to oxidative stress. Nrf2 belongs to the Cap N Collar (CNC-bZIP) subfamily of basic /leucine zipper (bZIP) transcription factors. Function: Transcription activator that binds to antioxidant response (ARE) elements in the promoter regions of target genes. Important for the coordinated up-regulation of genes in response to oxidative stress. May be involved in the transcriptional activation of genes of the beta-globin cluster by mediating enhancer activity of hypersensitive site 2 of the beta-globin locus control region. Subunit: Heterodimer. Forms a ternary complex with PGAM5 and KEAP1. May bind DNA with an unknown protein. Interacts via its leucine-zipper domain with the coiled-coil domain of PMF1. Subcellular Location: Cytoplasm, cytosol. Nucleus. Note=Cytosolic under unstressed conditions, translocates into the nucleus upon induction by electrophilic agents. Tissue Specificity: Widely expressed. Highest expression in adult muscle, kidney, lung, liver and in fetal muscle. Post-translational modifications: Phosphorylation of Ser-40 by PKC in response to oxidative stress dissociates NFE2L2 from its cytoplasmic inhibitor KEAP1, promoting its translocation into the nucleus. Similarity: Belongs to the bZIP family. CNC subfamily. Contains 1 bZIP domain. SWISS: Q16236 Gene ID: 4780 Database links: Entrez Gene: 4780 Human Omim: 600492 Human SwissProt: Q16236 Human Important Note: This product as supplied is intended for research use only, not for use in human, therapeutic or diagnostic applications. |
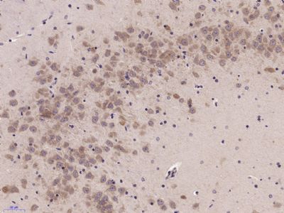
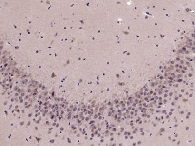
| 产品图片 | ![]() Paraformaldehyde-fixed, paraffin embedded (Rat brain); Antigen retrieval by microwave in sodium citrate buffer (pH6.0) ; Block endogenous peroxidase by 3% hydrogen peroxide for 30 minutes; Blocking buffer (3% BSA) at RT for 30min; Antibody incubation with (phospho-Nrf2 (Ser40)) Polyclonal Antibody, Unconjugated (bs-2013R) at 1:400 overnight at 4℃, followed by conjugation to the secondary antibody (labeled with HRP)and DAB staining. ![]() Paraformaldehyde-fixed, paraffin embedded (Mouse brain); Antigen retrieval by microwave in sodium citrate buffer (pH6.0) ; Block endogenous peroxidase by 3% hydrogen peroxide for 30 minutes; Blocking buffer (3% BSA) at RT for 30min; Antibody incubation with (phospho-Nrf2 (Ser40)) Polyclonal Antibody, Unconjugated (bs-2013R) at 1:400 overnight at 4℃, followed by conjugation to the secondary antibody (labeled with HRP)and DAB staining. ![]() Blank control (blue line): Jurkat (fixed with 2% paraformaldehyde (10 min) , then permeabilized with 90% ice-cold methanol for 30 min on ice). Primary Antibody (green line): Rabbit Anti-phospho-Nrf2 (Ser40) antibody (bs-2013R),Dilution: 1μg /10^6 cells; Isotype Control Antibody (orange line): Rabbit IgG . Secondary Antibody (white blue line): Goat anti-rabbit IgG-FITC,Dilution: 1μg /test. |
风险提示:丁香通仅作为第三方平台,为商家信息发布提供平台空间。用户咨询产品时请注意保护个人信息及财产安全,合理判断,谨慎选购商品,商家和用户对交易行为负责。对于医疗器械类产品,请先查证核实企业经营资质和医疗器械产品注册证情况。
技术资料暂无技术资料 索取技术资料
phospho-Nrf2 (Ser40) antibody
¥1580













