相关产品推荐更多 >
万千商家帮你免费找货
0 人在求购买到急需产品
- 详细信息
- 询价记录
- 文献和实验
- 技术资料
- 库存:
大量供应
- 供应商:
上海彩佑实业有限公司
- 检测范围:
6个月
- 检测方法:
ELISA
- 适应物种:
小鼠
- 标记物:
见说明书
- 样本:
血清血浆
- 规格:
48T/96T
| 规格: | 48T | 产品价格: | ¥800.0 |
|---|---|---|---|
| 规格: | 96T | 产品价格: | ¥2200.0 |
试剂盒的检测原理:
参考图1,组织、细胞等样品表面的抗原先与一抗结合,后者再与生物素标记的二抗结合;按照适当比例将Streptavidin和生物素标记的辣根过氧化物酶(Biotin-labeled Horseradish Peroxidase, Biotin-HRP)或生物素标记的碱性磷酸酶(Biotin-labeled Alkaline Phosphatase, Biotin-AP)混合,形成网络状的SABC-HRP或SABC-AP (Streptavidin-Biotin Complex containing HRP/AP)复合物;接着二抗上标记的生物素再与SABC-HRP/AP结合,加入HRP/AP底物进行显色或发光反应即可检测到相应的信号。其中Streptavidin和Biotin-HRP/AP混合后形成网络状复合物是信号能被放大的关键,相当于一个待检测的生物素分子通过SABC-HRP/AP复合物的识别最终可以由很多个HRP/AP分子来显示其信号,从而达到了信号放大的效果。
图1. SABC试剂盒的检测原理图。图中以生物素标记的HRP为例,生物素标记AP的检测信号放大原理与其完全一致。

试剂盒检测效果:
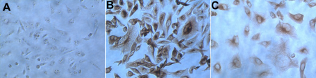
参考图2和图3,免疫染色的信号可以轻松增强5倍以上!
图2. Hela细胞Tubulin免疫染色效果图。A. 阴性对照组(不加一抗)。B. SABC-HRP实验组。C. HRP标记二抗对照组。
图3. Hela细胞Tubulin免疫染色效果图。A. 阴性对照组(不加一抗)。B. SABC-AP实验组。C. AP标记二抗对照组。
风险提示:丁香通仅作为第三方平台,为商家信息发布提供平台空间。用户咨询产品时请注意保护个人信息及财产安全,合理判断,谨慎选购商品,商家和用户对交易行为负责。对于医疗器械类产品,请先查证核实企业经营资质和医疗器械产品注册证情况。
- 作者
- 内容
- 询问日期
文献和实验 神经元维持添加剂 神经元分化添加剂 牛纤维连接蛋白 100X 山羊抗大鼠巢蛋白抗原亲和纯化多克隆抗体 绵羊抗人gFaP抗原亲和纯化多克隆抗体 小鼠抗神经元特异的b-iii微管蛋白单克隆抗体 小鼠抗少突胶质细胞标志物o4单克隆抗体 神经祖细胞多能性的验证: 利用Human/Mouse/rat Neural lineage Functional
内腔可产生高强度的磁场,足以分离磁微粒标记的细胞,无需分离柱提供提供更高强度的磁场。由于磁微粒极小,不会影响靶细胞的流式分析结果,因此不需要去除。除了现有的定型产品外,客户可选择EasySep® PE、FITC或生物素分选系统与自己的PE、FITC或生物素—偶联的单抗相结合,来富集任何所需的细胞。如果您有自己的小鼠IgG1抗任何细胞的抗体, 也可以使用“Do-It-Yourself”试剂盒做成TAC,用来分选您想要的细胞。此外,还可以根据您的特殊需要,专门为您设计定做试剂盒。用于正选小鼠的细胞
Polymer二抗进行了反应的放大,该方法敏感性较高,可缩短抗体孵育时间或降低抗体浓度。 (2)内源性过氧化物酶残余:适度延长内源性过氧化物酶阻断剂阻断时间。 (3)一抗导致的非特异性染色:多克隆抗体易于产生非特异性染色,结合抗体官网信息合理选择多克隆抗体或单克隆抗体。 (4)一抗种属来源与组织样本来源相同:如使用鼠源一抗检测小鼠组织,尽量选择种属来源与样本种属不同的一抗。 (5)切片或细胞过于干燥:实验过程中,需保持样本的湿润。 Q5:阳性染色细胞定位不正确,如何修正? (1)抗原修复条件不合理:尝试改变
技术资料暂无技术资料 索取技术资料







