相关产品推荐更多 >
万千商家帮你免费找货
0 人在求购买到急需产品
- 详细信息
- 技术资料
- 供应商:
上海康朗生物科技有限公司
- 库存:
大量
- 目录编号:
kl-17643R
- 克隆性:
多克隆
- 抗原来源:
Rabbit
- 保质期:
12个月
- 抗体英文名:
SPCS3 antibody
- 抗体名:
信号肽复合物亚基3抗体
- 宿主:
Rabbit
- 适应物种:
Human, Mouse, Rat, Cow, Horse,
- 免疫原:
KLH conjugated synthetic peptide derived from human SPCS3:51-120/180
- 亚型:
IgG
- 形态:
冻干粉或液体
- 应用范围:
ELISA=1:500-1000 IHC-P=1:400-800 IHC-F=1:400-800 ICC=1:100-500 IF=1:100-500
- 浓度:
1mg/ml
- 保存条件:
-20 °C
- 规格:
100ul 200ul
| 中文名称 | 信号肽复合物亚基3抗体 |
| 别 名 | DKFZp564J1864; FLJ22649; Microsomal signal peptidase 22/23 kDa subunit; Microsomal signal peptidase 23 kDa subunit; PRO3567; Signal peptidase complex subunit 3; Signal peptidase complex subunit 3 homolog (S. cerevisiae); Signal peptidase complex subunit 3 homolog; SPase 22 kDa subunit; SPase 22/23 kDa subunit; SPC22; SPC22/23; SPC3; UNQ1841; YLR066W. |
| 规格价格 | 100ul/1380元 购买 200ul/2200元 购买 大包装/询价 |
| 说 明 书 | 100ul 200ul |
| 研究领域 | 细胞生物 信号转导 表观遗传学 |
| 抗体来源 | Rabbit |
| 克隆类型 | Polyclonal |
| 交叉反应 | Human, Mouse, Rat, Cow, Horse, |
| 产品应用 | ELISA=1:500-1000 IHC-P=1:400-800 IHC-F=1:400-800 ICC=1:100-500 IF=1:100-500 (石蜡切片需做抗原修复) not yet tested in other applications. optimal dilutions/concentrations should be determined by the end user. |
| 分 子 量 | 20kDa |
| 性 状 | Lyophilized or Liquid |
| 浓 度 | 1mg/ml |
| 免 疫 原 | KLH conjugated synthetic peptide derived from human SPCS3:51-120/180 |
| 亚 型 | IgG |
| 纯化方法 | affinity purified by Protein A |
| 储 存 液 | 0.01M TBS(pH7.4) with 1% BSA, 0.03% Proclin300 and 50% Glycerol. |
| 保存条件 | Store at -20 °C for one year. Avoid repeated freeze/thaw cycles. The lyophilized antibody is stable at room temperature for at least one month and for greater than a year when kept at -20°C. When reconstituted in sterile pH 7.4 0.01M PBS or diluent of antibody the antibody is stable for at least two weeks at 2-4 °C. |
| PubMed | PubMed |
| 产品介绍 | background: SPCS3 (signal peptidase complex subunit 3), also known as SPC3, is a 180 amino acid single-pass type II membrane protein that localizes to both the microsome and the endoplasmic reticulum (ER) and belongs to the SPCS (signal peptidase complex subunit) family. Existing as a component of the microsomal signal peptidase complex which consists of five members, SPCS3 functions to remove signal peptides from proteins that are translated to the lumen of the ER. The gene encoding SPCS3 maps to human chromosome 4, which encodes nearly 6% of the human genome and has the largest gene deserts (regions of the genome with no protein encoding genes) of all of the human chromosomes. Defects in some of the genes located on chromosome 4 are associated with Huntington's disease, Ellis-van Creveld syndrome, methylmalonic acidemia and polycystic kidney disease. Function: A component of the microsomal signal peptidase complex which removes signal peptides from nascent proteins as they are translocated into the lumen of the endoplasmic reticulum. Subunit: Component of the microsomal signal peptidase complex which consists of five members: SEC11A, SEC11C, SPCS1, SPCS2 and SPCS3. Subcellular Location: Endoplasmic reticulum and Microsome membrane;: Single-pass type II membrane protein Similarity: Belongs to the SPCS3 family. Gene ID: 60559 Database links: Entrez Gene: 767917 Cow Entrez Gene: 404005 Dog Entrez Gene: 60559 Human Entrez Gene: 76219 Mouse Entrez Gene: 76976 Mouse Entrez Gene: 100360464 Rat Entrez Gene: 317409 Rat SwissProt: Q3SZU5 Cow SwissProt: P61008 Dog SwissProt: P61009 Human SwissProt: Q9D365 Mouse SwissProt: Q568Z4 Rat Unigene: 6322 Cow Unigene: 3875 Dog Unigene: 42194 Human Unigene: 328305 Mouse Unigene: 482965 Mouse Unigene: 162344 Rat Important Note: This product as supplied is intended for research use only, not for use in human, therapeutic or diagnostic applications. |
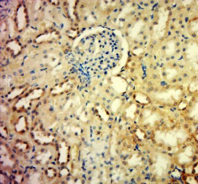
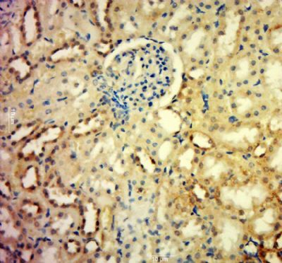
| 产品图片 | ![]() Paraformaldehyde-fixed, paraffin embedded (Rat kidney); Antigen retrieval by boiling in sodium citrate buffer (pH6.0) for 15min; Block endogenous peroxidase by 3% hydrogen peroxide for 20 minutes; Blocking buffer (normal goat serum) at 37°C for 30min; Antibody incubation with (SPCS3) Polyclonal Antibody, Unconjugated (bs-17643R) at 1:500 overnight at 4°C, followed by a conjugated secondary (sp-0023) for 20 minutes and DAB staining. |
风险提示:丁香通仅作为第三方平台,为商家信息发布提供平台空间。用户咨询产品时请注意保护个人信息及财产安全,合理判断,谨慎选购商品,商家和用户对交易行为负责。对于医疗器械类产品,请先查证核实企业经营资质和医疗器械产品注册证情况。
技术资料暂无技术资料 索取技术资料










