相关产品推荐更多 >
万千商家帮你免费找货
0 人在求购买到急需产品
- 详细信息
- 文献和实验
- 技术资料
- 供应商:
上海康朗生物科技有限公司
- 库存:
大量
- 目录编号:
kl-1743R
- 克隆性:
多克隆
- 抗原来源:
Rabbit
- 保质期:
12个月
- 抗体英文名:
Dopamine D3 receptor antibody
- 抗体名:
多巴胺受体D3抗体
- 宿主:
Rabbit
- 适应物种:
Human, Mouse, Rat,
- 免疫原:
KLH conjugated synthetic peptide derived from mouse DRD3:352-446/446 <Extracellular>
- 亚型:
IgG
- 形态:
冻干粉或液体
- 应用范围:
WB=1:500-2000 ELISA=1:500-1000 IHC-P=1:400-800 IHC-F=1:400-800 IF=1:200-800
- 浓度:
1mg/ml
- 保存条件:
-20 °C
- 规格:
50ul 100ul 200ul
| 中文名称 | 多巴胺受体D3抗体 |
| 别 名 | DRD3; 3dopamine receptor; D; Dopamine receptor D3; DRD3; Dopamine receptor 3; ETM1; FET1; D(3) dopamine receptor; DRD3; DRD3_HUMAN. |
![]() |
Specific References (1) | bs-1743R has been referenced in 1 publications. [IF=2.35] Xu, Jiao-jiao, et al. "Dopamine D1 receptor activation induces dehydroepiandrosterone sulfotransferase (SULT2A1) in HepG2 cells." Acta Pharmacologica Sinica (2014). WB ; Human. PubMed:24909515 |
| 规格价格 | 50ul/780元 购买 100ul/1380元 购买 200ul/2200元 购买 大包装/询价 |
| 说 明 书 | 50ul 100ul 200ul |
| 研究领域 | 细胞生物 神经生物学 细胞膜受体 |
| 抗体来源 | Rabbit |
| 克隆类型 | Polyclonal |
| 交叉反应 | Human, Mouse, Rat, |
| 产品应用 | WB=1:500-2000 ELISA=1:500-1000 IHC-P=1:400-800 IHC-F=1:400-800 IF=1:200-800 (石蜡切片需做抗原修复) not yet tested in other applications. optimal dilutions/concentrations should be determined by the end user. |
| 分 子 量 | 44kDa |
| 细胞定位 | 细胞浆 细胞膜 |
| 性 状 | Lyophilized or Liquid |
| 浓 度 | 1mg/ml |
| 免 疫 原 | KLH conjugated synthetic peptide derived from mouse DRD3:352-446/446 <Extracellular> |
| 亚 型 | IgG |
| 纯化方法 | affinity purified by Protein A |
| 储 存 液 | 0.01M TBS(pH7.4) with 1% BSA, 0.03% Proclin300 and 50% Glycerol. |
| 保存条件 | Store at -20 °C for one year. Avoid repeated freeze/thaw cycles. The lyophilized antibody is stable at room temperature for at least one month and for greater than a year when kept at -20°C. When reconstituted in sterile pH 7.4 0.01M PBS or diluent of antibody the antibody is stable for at least two weeks at 2-4 °C. |
| PubMed | PubMed |
| 产品介绍 | background: This is one of the five types (D1 to D5) of receptors for dopamine. The activity of this receptor is mediated by G proteins which inhibit adenylyl cyclase. This receptor is expressed in phylogenetically older regions of the brain, suggesting that it plays a role in cognitive and emotional functions. It is a target for drugs which treat schizophrenia, drug addiction, and Parkinson disease. Alternative splicing of this gene results in multiple transcript variants that would encode different isoforms, although some variants may be subject to nonsense-mediated decay (NMD). Also known as: dopamine D3 receptor; 3 dopamine receptor; D; Dopamine receptor D3; DRD; ETM1; FET1. Subunit: Interacts with CLIC6. Interacts with GRK4. Interacts with PALM. Subcellular Location: Cell membrane; Multi-pass membrane protein. Note=Both membrane-bound and scattered in the cytoplasm during basal conditions. Receptor stimulation results in the rapid internalization and sequestration of the receptors at the perinuclear area (5 and 15 minutes), followed by the dispersal of the receptors to the membrane (30 minutes). DRD3 and GRK4 co-localize in lipid rafts of renal proximal tubule cells. Tissue Specificity: Brain. Similarity: Belongs to the G-protein coupled receptor 1 family. SWISS: P30728 Gene ID: 13490 Database links: Entrez Gene: 1814 Human Entrez Gene: 13490 Mouse Entrez Gene: 29238 Rat Omim: 126451 Human SwissProt: P35462 Human SwissProt: P30728 Mouse SwissProt: P19020 Rat Unigene: 121478 Human Unigene: 439735 Mouse Unigene: 10356 Rat Important Note: This product as supplied is intended for research use only, not for use in human, therapeutic or diagnostic applications. 多巴胺受体D3常与某些精神、神经疾病有关,如精神分裂症、早发性痴呆等。但最新研究表明多巴胺受体与肿瘤细胞多药耐药有关。 |
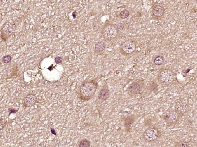
| 产品图片 | ![]() Sample: Brain (Mouse) Lysate at 40 ug Brain (Rat) Lysate at 40 ug Primary: Anti-Dopamine D3 receptor (bs-1743R) at 1/300 dilution Secondary: IRDye800CW Goat Anti-Rabbit IgG at 1/20000 dilution Predicted band size: 44 kD Observed band size: 48 kD ![]() Sample: HepG2 Cell Lysate at 30 ug U251 Cell Lysate at 30 ug Primary: Anti-Dopamine D3 receptor (bs-1743R) at 1/300 dilution Secondary: IRDye800CW Goat Anti-Rabbit IgG at 1/20000 dilution Predicted band size: 44 kD Observed band size: 48 kD ![]() Paraformaldehyde-fixed, paraffin embedded (Rat brain); Antigen retrieval by boiling in sodium citrate buffer (pH6.0) for 15min; Block endogenous peroxidase by 3% hydrogen peroxide for 20 minutes; Blocking buffer (normal goat serum) at 37°C for 30min; Antibody incubation with (Dopamine D3 receptor) Polyclonal Antibody, Unconjugated (bs-1743R) at 1:400 overnight at 4°C, followed by operating according to SP Kit(Rabbit) (sp-0023) instructionsand DAB staining. ![]() Paraformaldehyde-fixed, paraffin embedded (Rat brain); Antigen retrieval by boiling in sodium citrate buffer (pH6.0) for 15min; Block endogenous peroxidase by 3% hydrogen peroxide for 20 minutes; Blocking buffer (normal goat serum) at 37°C for 30min; Incubation: Anti-Dopamine D3 receptor Antibody, conjugated (bs-1743R-AF594) 1:400, 1.5 hours at 37°C; DAPI (5ug/ml, blue, C-0033) was used to stain the cell nuclei. ![]() Paraformaldehyde-fixed, paraffin embedded (Rat brain); Antigen retrieval by boiling in sodium citrate buffer (pH6.0) for 15min; Block endogenous peroxidase by 3% hydrogen peroxide for 20 minutes; Blocking buffer (normal goat serum) at 37°C for 30min; Antibody incubation with (Dopamine D3 receptor) Polyclonal Antibody, Unconjugated (bs-1743R) at 1:400 overnight at 4°C, followed by a conjugated Goat Anti-Rabbit IgG antibody (bs-0295G-AF594) for 90 minutes, and DAPI for nuclei staining. |
风险提示:丁香通仅作为第三方平台,为商家信息发布提供平台空间。用户咨询产品时请注意保护个人信息及财产安全,合理判断,谨慎选购商品,商家和用户对交易行为负责。对于医疗器械类产品,请先查证核实企业经营资质和医疗器械产品注册证情况。
文献和实验Genomic Strategies for the Identification of Dopamine Receptor Genes in Zebrafish
In this chapter, we describe the identification and cloning of D2-like dopamine receptor (DR) genes in zebrafish, a vertebrate model genetic organism. To identify DR genes, we performed searches of the zebrafish genomic sequence database
Transcription Mechanisms for Dopamine Receptor Genes
pharmacologic observations in parkinsonian and schizophrenic patients, the D2 dopamine receptor has traditionally been thought to be the main mediator of the motor and behavioral effects of dopamine (1 ,6 ). More recent molecular and neurophysiologic advances
Dopamine Receptor Binding and Quantitative Autoradiographic Study
of neuropsychiatric disorders such as schizophrenia and Parkinson’s disease. Until 1990, the dopamine receptor population in the brain and periphery was believed to consist of two subtypes, D1 and D2 , which were distinguished by their pharmacology and coupling
技术资料暂无技术资料 索取技术资料
















