相关产品推荐更多 >
万千商家帮你免费找货
0 人在求购买到急需产品
- 详细信息
- 文献和实验
- 技术资料
- 供应商:
上海康朗生物科技有限公司
- 库存:
大量
- 目录编号:
kl-1573R
- 克隆性:
多克隆
- 抗原来源:
Rabbit
- 保质期:
12个月
- 抗体英文名:
BBC3/PUMA antibodyBBC3/PUMA antibody
- 抗体名:
p53正向细胞凋亡调控因子抗体
- 宿主:
Rabbit
- 适应物种:
Human, Mouse, Rat, Dog, Pig, Cow,
- 免疫原:
KLH conjugated synthetic peptide derived from human BBC3:131-180/193
- 亚型:
IgG
- 形态:
冻干粉或液体
- 应用范围:
WB=1:500-2000 ELISA=1:500-1000 IHC-P=1:400-800 IHC-F=1:400-800 Flow-Cyt=1μg /test IF=1:100-500
- 浓度:
1mg/ml
- 保存条件:
-20 °C
- 规格:
50ul 100ul 200ul
| 中文名称 | p53正向细胞凋亡调控因子抗体 |
| 别 名 | PUMA; bcl-2 binding component 3; BBC 3; BBC3; BCL 2 binding component 3; BCL2 binding component 3; JFY 1; JFY1; p53 up regulated modulator of apoptosis; p53 Upregulated Modulator of Apoptosis; PUMA alpha; PUMA/JFY1; BBC3_RAT. |
![]() |
Specific References (2) | bs-1573R has been referenced in 2 publications. [IF=1.96] Zhang, Pei, et al. "Epithelial-mesenchymal transition is necessary for acquired resistance to cisplatin and increases the metastatic potential of nasopharyngeal carcinoma cells." International Journal of Molecular Medicine (2013). WB ; Human. PubMed:24173500 [IF=5.62] Qiu, Shi, et al. "A small peptide derived from p53 linker region can resume the apoptotic activity of p53 by sequestering iASPP with p53." Cancer Letters 356.2 (2015): 910-917. IP ; Human. PubMed:25444901 |
| 规格价格 | 50ul/780元 购买 100ul/1380元 购买 200ul/2200元 购买 大包装/询价 |
| 说 明 书 | 50ul 100ul 200ul |
| 研究领域 | 肿瘤 细胞生物 免疫学 细胞凋亡 线粒体 |
| 抗体来源 | Rabbit |
| 克隆类型 | Polyclonal |
| 交叉反应 | Human, Mouse, Rat, Dog, Pig, Cow, |
| 产品应用 | WB=1:500-2000 ELISA=1:500-1000 IHC-P=1:400-800 IHC-F=1:400-800 Flow-Cyt=1μg /test IF=1:100-500 (石蜡切片需做抗原修复) not yet tested in other applications. optimal dilutions/concentrations should be determined by the end user. |
| 分 子 量 | 21kDa |
| 细胞定位 | 细胞浆 线粒体 |
| 性 状 | Lyophilized or Liquid |
| 浓 度 | 1mg/ml |
| 免 疫 原 | KLH conjugated synthetic peptide derived from human BBC3:131-180/193 |
| 亚 型 | IgG |
| 纯化方法 | affinity purified by Protein A |
| 储 存 液 | 0.01M TBS(pH7.4) with 1% BSA, 0.03% Proclin300 and 50% Glycerol. |
| 保存条件 | Store at -20 °C for one year. Avoid repeated freeze/thaw cycles. The lyophilized antibody is stable at room temperature for at least one month and for greater than a year when kept at -20°C. When reconstituted in sterile pH 7.4 0.01M PBS or diluent of antibody the antibody is stable for at least two weeks at 2-4 °C. |
| PubMed | PubMed |
| 产品介绍 | background: This gene encodes a member of the BCL-2 family of proteins. This family member belongs to the BH3-only pro-apoptotic subclass. The protein cooperates with direct activator proteins to induce mitochondrial outer membrane permeabilization and apoptosis. It can bind to anti-apoptotic Bcl-2 family members to induce mitochondrial dysfunction and caspase activation. Because of its pro-apoptotic role, this gene is a potential drug target for cancer therapy and for tissue injury. Alternative splicing results in multiple transcript variants. [provided by RefSeq, Dec 2011] Function: Essential mediator of p53/TP53-dependent and p53/TP53-independent apoptosis. Functions by promoting partial unfolding of BCL2L1 and dissociation of BCL2L1 from p53/TP53. Essential for ER stress-induced cell death. Subunit: Interacts with BCL2, BCL2L1/BCL-XL, MCL1 and BCL2A1. Subcellular Location: Mitochondrion. Note=Localized to the mitochondria in order to induce cytochrome c release. Similarity: Belongs to the Bcl-2 family. SWISS: Q96PG8 Gene ID: 27113 Database links: Entrez Gene: 27113 Human Entrez Gene: 170770 Mouse Entrez Gene: 317673 Rat Omim: 605854 Human SwissProt: Q9BXH1 Human SwissProt: Q99ML1 Mouse SwissProt: Q80ZG6 Rat Unigene: 467020 Human Unigene: 7660 Mouse Unigene: 25176 Rat Important Note: This product as supplied is intended for research use only, not for use in human, therapeutic or diagnostic applications. PUMA在由p53诱导而经历细胞凋亡的细胞中被p53活化。在线粒体,PUMA 诱导细胞色素C的释放和激活对细胞凋亡的快速诱导。PUMA 与Bcl2、Bcl-XL、类Bcl2-1蛋白相互作用,促使线粒体易位和BAX的多聚化。PUMA在通过依赖细胞色素C/APAF1 途径介导p53诱导的细胞死亡中也发挥作用。 |
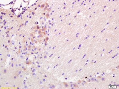
| 产品图片 | ![]() Sample: K562 Cell Lysate at 30 ug Primary: Anti- BBC3 (bs-1573R) at 1/300 dilution Secondary: IRDye800CW Goat Anti-Rabbit IgG at 1/20000 dilution Predicted band size: 21 kD Observed band size: 25 kD ![]() Tissue/cell: rat brain tissue; 4% Paraformaldehyde-fixed and paraffin-embedded; Antigen retrieval: citrate buffer ( 0.01M, pH 6.0 ), Boiling bathing for 15min; Block endogenous peroxidase by 3% Hydrogen peroxide for 30min; Blocking buffer (normal goat serum,C-0005) at 37℃ for 20 min; Incubation: Anti-BBC3/PUMA Polyclonal Antibody, Unconjugated(bs-1573R) 1:200, overnight at 4°C, followed by conjugation to the secondary antibody(SP-0023) and DAB(C-0010) staining ![]() Blank control: U-87MG(blue). Primary Antibody:Rabbit Anti-BBC3 PUMA antibody(bs-1573R), Dilution: 1μg in 100 μL 1X PBS containing 0.5% BSA; Isotype Control Antibody: Rabbit IgG(orange) ,used under the same conditions ); Secondary Antibody: Goat anti-rabbit IgG-PE(white blue), Dilution: 1:200 in 1 X PBS containing 0.5% BSA. Protocol The cells were fixed with 2% paraformaldehyde (10 min) , then permeabilized with 90% ice-cold methanol for 30 min on ice. Primary antibody (bs-1573R,1μg /1x10^6 cells) were incubated for 30 min on the ice, followed by 1 X PBS containing 0.5% BSA + 1 0% goat serum (15 min) to block non-specific protein-protein interactions. Then the Goat Anti-rabbit IgG/PE antibody was added into the blocking buffer mentioned above to react with the primary antibody at 1/200 dilution for 30 min on ice. Acquisition of 20,000 events was performed. |
风险提示:丁香通仅作为第三方平台,为商家信息发布提供平台空间。用户咨询产品时请注意保护个人信息及财产安全,合理判断,谨慎选购商品,商家和用户对交易行为负责。对于医疗器械类产品,请先查证核实企业经营资质和医疗器械产品注册证情况。
文献和实验Generation of Antibody Molecules Through Antibody Engineering
been overcome to a large extent using genetic-engineering techniques to produce chimeric mouse/human and completely human antibodies. Such an approach is particularly suitable because of the domain structure of the antibody molecule ( 2 ), where functional
The importance of antibody molecules was first recognized in the 1890s, when it was shown that immunity to tetanus and diphtheria was caused by antibodies against the bacterial exotoxins (1 ). Around the same time, it was shown that antisera
General comments: Antibodies, like most proteins, do not like to be freeze-thawed. Avoid repetitive freezing of your solution. The best way to store your antibody is to keep a high protein concentration (>1 mg/ml), add some protease
技术资料暂无技术资料 索取技术资料













