相关产品推荐更多 >
万千商家帮你免费找货
0 人在求购买到急需产品
- 详细信息
- 询价记录
- 文献和实验
- 技术资料
- 抗体名:
G蛋白偶联受体GPR176蛋白抗体
- 抗体英文名:
GPR176 antibody
- 浓度:
1mg/ml
- 应用范围:
WB=1:500-2000 ELISA=1:500-1000 IHC-P=1:400-800 IHC-F=1:400-800 ICC=1:100-500 IF=1:100-500
- 宿主:
Rabbit
- 供应商:
上海康朗生物科技有限公司
- 库存:
大量
- 目录编号:
kl-15387R
- 抗原来源:
Rabbit
- 保质期:
12个月
- 适应物种:
Human, Mouse, Rat, Pig, Cow, Horse, Rabbit, Sheep,
- 克隆性:
多克隆
- 保存条件:
-20 °C
- 形态:
冻干粉或液体
- 亚型:
IgG
- 免疫原:
KLH conjugated synthetic peptide derived from human GPR176:131-230/515 <Extracellular>
- 规格:
100ul 200ul
| 中文名称 | G蛋白偶联受体GPR176蛋白抗体 |
| 别 名 | Gm1012; GP176; GPR; GPR176; HB-954; Probable G-protein coupled receptor 176; GP176_HUMAN. |
| 规格价格 | 100ul/1380元 购买 200ul/2200元 购买 大包装/询价 |
| 说 明 书 | 100ul 200ul |
| 研究领域 | 细胞生物 免疫学 信号转导 G蛋白偶联受体 G蛋白信号 |
| 抗体来源 | Rabbit |
| 克隆类型 | Polyclonal |
| 交叉反应 | Human, Mouse, Rat, Pig, Cow, Horse, Rabbit, Sheep, |
| 产品应用 | WB=1:500-2000 ELISA=1:500-1000 IHC-P=1:400-800 IHC-F=1:400-800 ICC=1:100-500 IF=1:100-500 (石蜡切片需做抗原修复) not yet tested in other applications. optimal dilutions/concentrations should be determined by the end user. |
| 分 子 量 | 57kDa |
| 性 状 | Lyophilized or Liquid |
| 浓 度 | 1mg/ml |
| 免 疫 原 | KLH conjugated synthetic peptide derived from human GPR176:131-230/515 <Extracellular> |
| 亚 型 | IgG |
| 纯化方法 | affinity purified by Protein A |
| 储 存 液 | 0.01M TBS(pH7.4) with 1% BSA, 0.03% Proclin300 and 50% Glycerol. |
| 保存条件 | Store at -20 °C for one year. Avoid repeated freeze/thaw cycles. The lyophilized antibody is stable at room temperature for at least one month and for greater than a year when kept at -20°C. When reconstituted in sterile pH 7.4 0.01M PBS or diluent of antibody the antibody is stable for at least two weeks at 2-4 °C. |
| PubMed | PubMed |
| 产品介绍 | background: GPR176 is a Members of the G protein-coupled receptor family, such as GPR176, are cell surface receptors involved in responses to hormones, growth factors, and neurotransmitters (Hata et al., 1995 [PubMed 7893747]).[supplied by OMIM, Jul 2008]. Function: Orphan receptor. Subcellular Location: Cell membrane; Multi-pass membrane protein. Similarity: Belongs to the G-protein coupled receptor 1 family. SWISS: Q14439 Gene ID: 11245 Database links: Entrez Gene: 11245 Human Entrez Gene: 381413 Mouse Entrez Gene: 117257 Rat Omim: 612183 Human SwissProt: Q14439 Human SwissProt: Q80WT4 Mouse SwissProt: Q64017 Rat Unigene: 37196 Human Unigene: 70979 Mouse Unigene: 44656 Rat Important Note: This product as supplied is intended for research use only, not for use in human, therapeutic or diagnostic applications. |
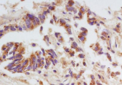
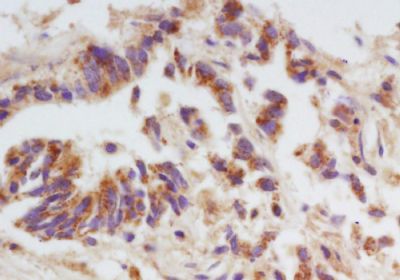
| 产品图片 | ![]() Tissue/cell: human colon carcinoma; 4% Paraformaldehyde-fixed and paraffin-embedded; Antigen retrieval: citrate buffer ( 0.01M, pH 6.0 ), Boiling bathing for 15min; Block endogenous peroxidase by 3% Hydrogen peroxide for 30min; Blocking buffer (normal goat serum,C-0005) at 37℃ for 20 min; Incubation: Anti-GPR176 Polyclonal Antibody, Unconjugated(bs-15387R) 1:200, overnight at 4°C, followed by conjugation to the secondary antibody(SP-0023) and DAB(C-0010) staining |
风险提示:丁香通仅作为第三方平台,为商家信息发布提供平台空间。用户咨询产品时请注意保护个人信息及财产安全,合理判断,谨慎选购商品,商家和用户对交易行为负责。对于医疗器械类产品,请先查证核实企业经营资质和医疗器械产品注册证情况。
- 作者
- 内容
- 询问日期
文献和实验Generation of Antibody Molecules Through Antibody Engineering
been overcome to a large extent using genetic-engineering techniques to produce chimeric mouse/human and completely human antibodies. Such an approach is particularly suitable because of the domain structure of the antibody molecule ( 2 ), where functional
The importance of antibody molecules was first recognized in the 1890s, when it was shown that immunity to tetanus and diphtheria was caused by antibodies against the bacterial exotoxins (1 ). Around the same time, it was shown that antisera
General comments: Antibodies, like most proteins, do not like to be freeze-thawed. Avoid repetitive freezing of your solution. The best way to store your antibody is to keep a high protein concentration (>1 mg/ml), add some protease
技术资料暂无技术资料 索取技术资料











