相关产品推荐更多 >
万千商家帮你免费找货
0 人在求购买到急需产品
- 详细信息
- 文献和实验
- 技术资料
- 供应商:
上海康朗生物科技有限公司
- 库存:
大量
- 目录编号:
kl-14262R
- 克隆性:
多克隆
- 抗原来源:
Rabbit
- 保质期:
12个月
- 抗体名:
磷酸化δ连环蛋白抗体
- 宿主:
Rabbit
- 适应物种:
Human, Mouse, Rat, Dog, Pig, Cow, Horse,
- 免疫原:
WB=1:500-2000 ELISA=1:500-1000 IHC-P=1:400-800 IHC-F=1:400-800 ICC=1:100-500 IF=1:100-500
- 亚型:
IgG
- 形态:
冻干粉或液体
- 应用范围:
phospho-delta 1 Catenin (Tyr280) antibody
- 浓度:
1mg/ml
- 保存条件:
-20 °C
- 规格:
100ul
| 中文名称 | 磷酸化δ连环蛋白抗体 |
| 别 名 | delta 1 Catenin (phospho Y280); p-delta 1 Catenin (phospho Y280); Cadherin associated Src substrate; Cadherin-associated Src substrate; CAS; Catenin (cadherin associated protein) delta 1; Catenin delta 1; Catenin delta-1; CTND1_HUMAN; CTNND 1; CTNND; CTNND1; KIAA0384; p120; P120 CAS; p120 catenin; P120 CTN; p120(cas); p120(ctn); P120CAS; P120CTN. |
| 规格价格 | 100ul/1580元 购买 大包装/询价 |
| 说 明 书 | 100ul |
| 产品类型 | 磷酸化抗体 |
| 研究领域 | 细胞生物 信号转导 干细胞 转录调节因子 细胞骨架 |
| 抗体来源 | Rabbit |
| 克隆类型 | Polyclonal |
| 交叉反应 | Human, Mouse, Rat, Dog, Pig, Cow, Horse, |
| 产品应用 | WB=1:500-2000 ELISA=1:500-1000 IHC-P=1:400-800 IHC-F=1:400-800 ICC=1:100-500 IF=1:100-500 (石蜡切片需做抗原修复) not yet tested in other applications. optimal dilutions/concentrations should be determined by the end user. |
| 分 子 量 | 106kDa |
| 细胞定位 | 细胞核 细胞浆 |
| 性 状 | Lyophilized or Liquid |
| 浓 度 | 1mg/ml |
| 免 疫 原 | KLH conjugated synthesised phosphopeptide derived from human delta 1 Catenin around the phosphorylation site of Tyr280:EP(p-Y)GL |
| 亚 型 | IgG |
| 纯化方法 | affinity purified by Protein A |
| 储 存 液 | 0.01M TBS(pH7.4) with 1% BSA, 0.03% Proclin300 and 50% Glycerol. |
| 保存条件 | Store at -20 °C for one year. Avoid repeated freeze/thaw cycles. The lyophilized antibody is stable at room temperature for at least one month and for greater than a year when kept at -20°C. When reconstituted in sterile pH 7.4 0.01M PBS or diluent of antibody the antibody is stable for at least two weeks at 2-4 °C. |
| PubMed | PubMed |
| 产品介绍 | background: This gene encodes a member of the Armadillo protein family, which function in adhesion between cells and signal transduction. Multiple translation initiation codons and alternative splicing result in many different isoforms being translated. Not all of the full-length natures of the described transcript variants have been determined. Read-through transcription also exists between this gene and the neighboring upstream thioredoxin-related transmembrane protein 2 (TMX2) gene. [provided by RefSeq, Dec 2010] Function: Binds to and inhibits the transcriptional repressor ZBTB33, which may lead to activation of target genes of the Wnt signaling pathway (By similarity). May associate with and regulate the cell adhesion properties of both C- and E-cadherins. Implicated both in cell transformation by SRC and in ligand-induced receptor signaling through the EGF, PDGF, CSF-1 and ERBB2 receptors. Promotes GLIS2 C-terminal cleavage. Subcellular Location: Cytoplasm. Nucleus. Cell membrane. Interaction with GLIS2 promotes nuclear translocation (By similarity). NANOS1 induces its translocation from sites of cell-cell contact to the cytoplasm. Tissue Specificity: Expressed in vascular endothelium. Post-translational modifications: Phosphorylated by protein-tyrosine kinases. Dephosphorylated by PTPRJ. Similarity: Belongs to the beta-catenin family. Contains 10 ARM repeats. SWISS: O60716 Gene ID: 1500 Database links: Entrez Gene: 1500 Human Entrez Gene: 12388 Mouse Entrez Gene: 311163 Rat Omim: 601045 Human SwissProt: O60716 Human SwissProt: P30999 Mouse Unigene: 166011 Human Unigene: 35738 Mouse Unigene: 9435 Rat Important Note: This product as supplied is intended for research use only, not for use in human, therapeutic or diagnostic applications. |
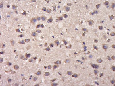
| 产品图片 | ![]() Paraformaldehyde-fixed, paraffin embedded (Mouse brain); Antigen retrieval by boiling in sodium citrate buffer (pH6.0) for 15min; Block endogenous peroxidase by 3% hydrogen peroxide for 20 minutes; Blocking buffer (normal goat serum) at 37°C for 30min; Antibody incubation with (p-delta 1 Catenin (Tyr280)) Polyclonal Antibody, Unconjugated (bs-14262R) at 1:400 overnight at 4°C, followed by operating according to SP Kit(Rabbit) (sp-0023) instructions and DAB staining. |
风险提示:丁香通仅作为第三方平台,为商家信息发布提供平台空间。用户咨询产品时请注意保护个人信息及财产安全,合理判断,谨慎选购商品,商家和用户对交易行为负责。对于医疗器械类产品,请先查证核实企业经营资质和医疗器械产品注册证情况。
文献和实验Using Phospho‐Motif Antibodies to Determine Kinase Substrates
comprising both the phosphorylated residue and the surrounding residues that determine kinase specificity, with degenerate residues taking up the remaining positions. Currently, several categories of phospho?motif antibody are commercially available
dongreyuan 有的抗体名称上面写着Ab-33,比如,β-catenin(Ab-33)antibody,请问,Ab-33是什么意思? bettyzyj 这个抗体是非磷酸化的抗体non-phospho-antibody ,33 代表的是基因位点 dongreyuan 谢谢了 yhwangcams bettyzyj wrote
祝贺〖雅裕睿安〗成为Signalway Antibody(SAB)独家
祝贺〖上海雅裕 〗成为 Signalway Antibody 品牌 (SAB) 的独家总代理。 促销【 ABCD 】细则如下: 【 A 】 买两支 SAB 抗体免费获得 8G 优盘 活动时间:即日起,至 2011 年
技术资料暂无技术资料 索取技术资料










