相关产品推荐更多 >
万千商家帮你免费找货
0 人在求购买到急需产品
- 详细信息
- 文献和实验
- 技术资料
- 供应商:
上海康朗生物科技有限公司
- 库存:
大量
- 目录编号:
kl-12959R
- 克隆性:
多克隆
- 抗原来源:
Rabbit
- 保质期:
12个月
- 抗体英文名:
phospho-ACTH (Ser168) antibody
- 抗体名:
磷酸化促肾上腺皮质激素ACTH抗体
- 宿主:
Rabbit
- 适应物种:
Human, Rat, Dog,
- 免疫原:
KLH conjugated synthesised phosphopeptide derived from human ACTH around the phosphorylation site of Ser168:DE(p-S)AE
- 亚型:
IgG
- 形态:
冻干粉或液体
- 应用范围:
ELISA=1:500-1000 IHC-P=1:400-800 IHC-F=1:400-800 ICC=1:100-500 IF=1:100-500
- 浓度:
1mg/ml
- 保存条件:
-20 °C
- 规格:
100ul
| 中文名称 | 磷酸化促肾上腺皮质激素ACTH抗体 |
| 别 名 | ACTH (phospho S168); p-ACTH (phospho S168); ACTH; Adrenocorticotropic hormone; Adrenocorticotropin; Alpha melanocyte stimulating hormone; alpha-MSH; alphaMSH; Beta LPH; Beta melanocyte stimulating hormone; Beta-endorphin; beta-MSH; CLIP; Corticotropin; Corticotropin lipotropin; Corticotropin-like intermediary peptide; Gamma LPH; gamma-MSH; Lipotropin beta; Lipotropin gamma; Lipotropin, included; LPH; Melanocyte-stimulating hormone, included; Melanotropin alpha; Melanotropin beta; Melanotropin gamma; Melanotropin, included; Met-enkephalin; MSH; NPP; POC; POMC; Pomc-1; Pomc1; Pomc2; Pro ACTH endorphin; Pro opiomelanocortin; Pro-opiomelanocortin-alpha; Proopiomelanocortin; Proopiomelanocortin preproprotein; Tetracosactide. |
| 规格价格 | 100ul/1580元 购买 大包装/询价 |
| 说 明 书 | 100ul |
| 产品类型 | 磷酸化抗体 |
| 研究领域 | 肿瘤 细胞生物 神经生物学 信号转导 新陈代谢 |
| 抗体来源 | Rabbit |
| 克隆类型 | Polyclonal |
| 交叉反应 | Human, Rat, Dog, |
| 产品应用 | ELISA=1:500-1000 IHC-P=1:400-800 IHC-F=1:400-800 ICC=1:100-500 IF=1:100-500 (石蜡切片需做抗原修复) not yet tested in other applications. optimal dilutions/concentrations should be determined by the end user. |
| 分 子 量 | 4.5kDa |
| 细胞定位 | 分泌型蛋白 |
| 性 状 | Lyophilized or Liquid |
| 浓 度 | 1mg/ml |
| 免 疫 原 | KLH conjugated synthesised phosphopeptide derived from human ACTH around the phosphorylation site of Ser168:DE(p-S)AE |
| 亚 型 | IgG |
| 纯化方法 | affinity purified by Protein A |
| 储 存 液 | 0.01M TBS(pH7.4) with 1% BSA, 0.03% Proclin300 and 50% Glycerol. |
| 保存条件 | Store at -20 °C for one year. Avoid repeated freeze/thaw cycles. The lyophilized antibody is stable at room temperature for at least one month and for greater than a year when kept at -20°C. When reconstituted in sterile pH 7.4 0.01M PBS or diluent of antibody the antibody is stable for at least two weeks at 2-4 °C. |
| PubMed | PubMed |
| 产品介绍 | background: This gene encodes a polypeptide hormone precursor that undergoes extensive, tissue-specific, post-translational processing via cleavage by subtilisin-like enzymes known as prohormone convertases. There are eight potential cleavage sites within the polypeptide precursor and, depending on tissue type and the available convertases, processing may yield as many as ten biologically active peptides involved in diverse cellular functions. The encoded protein is synthesized mainly in corticotroph cells of the anterior pituitary where four cleavage sites are used; adrenocorticotrophin, essential for normal steroidogenesis and the maintenance of normal adrenal weight, and lipotropin beta are the major end products. In other tissues, including the hypothalamus, placenta, and epithelium, all cleavage sites may be used, giving rise to peptides with roles in pain and energy homeostasis, melanocyte stimulation, and immune modulation. These include several distinct melanotropins, lipotropins, and endorphins that are contained within the adrenocorticotrophin and beta-lipotropin peptides. Mutations in this gene have been associated with early onset obesity, adrenal insufficiency, and red hair pigmentation. Alternatively spliced transcript variants encoding the same protein have been described. [provided by RefSeq, Jul 2008]. Function: ACTH stimulates the adrenal glands to release cortisol. MSH (melanocyte-stimulating hormone) increases thepigmentation of skin by increasing melanin production in melanocytes. Beta-endorphin and Met-enkephalin are endogenous opiates. Subcellular Location: Secreted. Tissue Specificity: ACTH and MSH are produced by the pituitary gland. Post-translational modifications: Specific enzymatic cleavages at paired basic residues yield the different active peptides. O-glycosylated; reducing sugar is probably N-acetylgalactosamine. DISEASE: Defects in POMC may be associated with susceptibility to obesity (OBESITY) [MIM:601665]. It is a condition characterized by an increase of body weight beyond the limitation of skeletal and physical requirements, as the result of excessive accumulation of body fat. Defects in POMC are the cause of pro-opiomelanocortinin deficiency (POMCD) [MIM:609734]. Affected individuals present early-onset obesity, adrenal insufficiency and red hair. Similarity: Belongs to the POMC family. SWISS: P01189 Gene ID: 5443 Database links: Entrez Gene: 5443 Human Entrez Gene: 18976 Mouse Entrez Gene: 24664 Rat Omim: 176830 Human SwissProt: P01190 Cow SwissProt: P01189 Human SwissProt: P01193 Mouse SwissProt: P01194 Rat Important Note: This product as supplied is intended for research use only, not for use in human, therapeutic or diagnostic applications. |
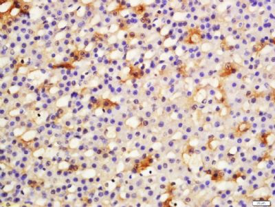
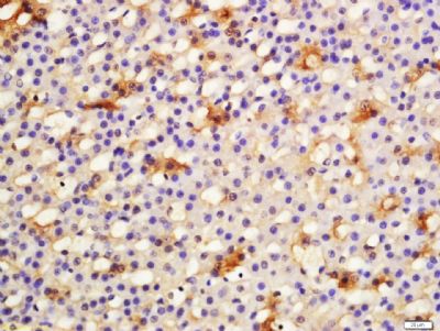
| 产品图片 | ![]() Paraformaldehyde-fixed, paraffin embedded (Human brain glioma); Antigen retrieval by boiling in sodium citrate buffer (pH6.0) for 15min; Block endogenous peroxidase by 3% hydrogen peroxide for 20 minutes; Blocking buffer (normal goat serum) at 37°C for 30min; Antibody incubation with (phospho-ACTH (Ser168)) Polyclonal Antibody, Unconjugated (bs-12959R) at 1:400 overnight at 4°C, followed by operating according to SP Kit(Rabbit) (sp-0023) instructionsand DAB staining. ![]() Tissue/cell: rat adrenal tissue; 4% Paraformaldehyde-fixed and paraffin-embedded; Antigen retrieval: citrate buffer ( 0.01M, pH 6.0 ), Boiling bathing for 15min; Block endogenous peroxidase by 3% Hydrogen peroxide for 30min; Blocking buffer (normal goat serum,C-0005) at 37℃ for 20 min; Incubation: Anti-phospho-ACTH (Ser168) Polyclonal Antibody, Unconjugated(bs-12959R) 1:200, overnight at 4°C, followed by conjugation to the secondary antibody(SP-0023) and DAB(C-0010) staining |
风险提示:丁香通仅作为第三方平台,为商家信息发布提供平台空间。用户咨询产品时请注意保护个人信息及财产安全,合理判断,谨慎选购商品,商家和用户对交易行为负责。对于医疗器械类产品,请先查证核实企业经营资质和医疗器械产品注册证情况。
文献和实验Using Phospho‐Motif Antibodies to Determine Kinase Substrates
comprising both the phosphorylated residue and the surrounding residues that determine kinase specificity, with degenerate residues taking up the remaining positions. Currently, several categories of phospho?motif antibody are commercially available
Optimized Protocol to Make Phospho-Specific Antibodies that Work
, not simply its level of expression. In this review, we will discuss both the design of the phosphopeptide immunogen and immunization. The affinity purification of the phospho-specific antibody as well as the methods most suitable for characterizing
Absorption Control in Immunohistochemistry Using Phospho-Peptides Immobilized on Magnetic Beads
neutralization of phospho-specific antibodies with phospho-peptides immobilized on magnetic beads. This technique allows for sequestration of antibody–peptide complex from the incubation solution, minimizing the risk of formation of unblocked antibodies capable
技术资料暂无技术资料 索取技术资料












