相关产品推荐更多 >
万千商家帮你免费找货
0 人在求购买到急需产品
- 详细信息
- 询价记录
- 文献和实验
- 技术资料
- 供应商:
上海康朗生物科技有限公司
- 库存:
大量
- 目录编号:
kl-1268R
- 克隆性:
多克隆
- 抗原来源:
Rabbit
- 保质期:
12个月
- 抗体英文名:
Macrophage Inflammatory Protein 3 alpha antibody
- 抗体名:
巨噬细胞炎性蛋白MIP-3a抗体
- 宿主:
Rabbit
- 适应物种:
Human, Mouse, Rat,
- 亚型:
IgG
- 形态:
冻干粉或液体
- 应用范围:
WB=1:500-2000 ELISA=1:500-1000 IHC-P=1:400-800 IHC-F=1:400-800 IF=1:100-500
- 浓度:
1mg/ml
- 保存条件:
-20 °C
- 规格:
100ul 200ul
| 中文名称 | 巨噬细胞炎性蛋白MIP-3a抗体 |
| 别 名 | Beta-chemokine exodus-1; C-C motif chemokine 20; CC chemokine LARC; CCL20; CCL20(2-70); CCL20_HUMAN; Chemokine (C C motif) ligand 20; Chemokine CC motif ligand 20; CKb4; Exodus 1; LARC; Liver and activation-regulated chemokine; Macrophage inflammatory protein 3 alpha; MIP 3 alpha; MIP 3A; MIP-3-alpha; MIP-3a; MIP3A; SCYA20; Small inducible cytokine A20; Small inducible cytokine subfamily A (Cys Cys) member 20; Small-inducible cytokine A20; ST38. |
| 规格价格 | 50ul/780元 购买 100ul/1380元 购买 200ul/2200元 购买 大包装/询价 |
| 说 明 书 | 50ul 100ul 200ul |
| 研究领域 | 细胞生物 免疫学 |
| 抗体来源 | Rabbit |
| 克隆类型 | Polyclonal |
| 交叉反应 | Human, Mouse, Rat, |
| 产品应用 | WB=1:500-2000 ELISA=1:500-1000 IHC-P=1:400-800 IHC-F=1:400-800 IF=1:100-500 (石蜡切片需做抗原修复) not yet tested in other applications. optimal dilutions/concentrations should be determined by the end user. |
| 分 子 量 | 8.6kDa |
| 细胞定位 | 分泌型蛋白 |
| 性 状 | Lyophilized or Liquid |
| 浓 度 | 1mg/ml |
| 免 疫 原 | KLH conjugated synthetic peptide derived from human CCL20:31-97/97 |
| 亚 型 | IgG |
| 纯化方法 | affinity purified by Protein A |
| 储 存 液 | 0.01M TBS(pH7.4) with 1% BSA, 0.03% Proclin300 and 50% Glycerol. |
| 保存条件 | Store at -20 °C for one year. Avoid repeated freeze/thaw cycles. The lyophilized antibody is stable at room temperature for at least one month and for greater than a year when kept at -20°C. When reconstituted in sterile pH 7.4 0.01M PBS or diluent of antibody the antibody is stable for at least two weeks at 2-4 °C. |
| PubMed | PubMed |
| 产品介绍 | background: This antimicrobial gene belongs to the subfamily of small cytokine CC genes. Cytokines are a family of secreted proteins involved in immunoregulatory and inflammatory processes. The CC cytokines are proteins characterized by two adjacent cysteines. The protein encoded by this gene displays chemotactic activity for lymphocytes and can repress proliferation of myeloid progenitors. Two transcript variants encoding different isoforms have been found for this gene. [provided by RefSeq, Sep 2014]. Function: Chemotactic factor that attracts lymphocytes and, slightly, neutrophils, but not monocytes. Inhibits proliferation of myeloid progenitors in colony formation assays. May be involved in formation and function of the mucosal lymphoid tissues by attracting lymphocytes and dendritic cells towards epithelial cells. C-terminal processed forms have been shown to be equally chemotactically active for leukocytes. Possesses antibacterial activity E.coli ATCC 25922 and S.aureus ATCC 29213. Subunit: Binds to and activate CCR6. Subcellular Location: Secreted. Tissue Specificity: Expressed predominantly in the liver, lymph nodes, appendix, peripheral blood lymphocytes, and fetal lung. Low levels seen in thymus, prostate, testis, small intestine and colon. Post-translational modifications: C-terminal processed forms which lack 1, 3 or 6 amino acids are produced by proteolytic cleavage after secretion from peripheral blood monocytes. Similarity: Belongs to the intercrine beta (chemokine CC) family. SWISS: O89093 Gene ID: 6364 Database links: Entrez Gene: 6364 Human Entrez Gene: 20297 Mouse Entrez Gene: 29538 Rat Omim: 601960 Human SwissProt: P78556 Human SwissProt: O89093 Mouse SwissProt: P97884 Rat Unigene: 75498 Human Unigene: 116739 Mouse Unigene: 10722 Rat Important Note: This product as supplied is intended for research use only, not for use in human, therapeutic or diagnostic applications. |
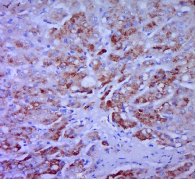
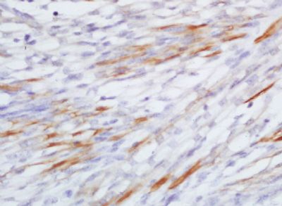
| 产品图片 | ![]() Paraformaldehyde-fixed, paraffin embedded (human liver carcinoma); Antigen retrieval by boiling in sodium citrate buffer (pH6.0) for 15min; Block endogenous peroxidase by 3% hydrogen peroxide for 20 minutes; Blocking buffer (normal goat serum) at 37°C for 30min; Antibody incubation with (CCL20) Polyclonal Antibody, Unconjugated (bs-1268R) at 1:400 overnight at 4°C, followed by a conjugated secondary (sp-0023) for 20 minutes and DAB staining. ![]() Tissue/cell: mouse embryo tissue; 4% Paraformaldehyde-fixed and paraffin-embedded; Antigen retrieval: citrate buffer ( 0.01M, pH 6.0 ), Boiling bathing for 15min; Block endogenous peroxidase by 3% Hydrogen peroxide for 30min; Blocking buffer (normal goat serum,C-0005) at 37℃ for 20 min; Incubation: Anti-CCL20 Polyclonal Antibody, Unconjugated(bs-1268R) 1:200, overnight at 4°C, followed by conjugation to the secondary antibody(SP-0023) and DAB(C-0010) staining |
风险提示:丁香通仅作为第三方平台,为商家信息发布提供平台空间。用户咨询产品时请注意保护个人信息及财产安全,合理判断,谨慎选购商品,商家和用户对交易行为负责。对于医疗器械类产品,请先查证核实企业经营资质和医疗器械产品注册证情况。
- 作者
- 内容
- 询问日期
文献和实验inflammatory immune responses mediated by classical macrophage activation can also be detrimental to the host. In contrast, the IL-4 receptor-alpha-mediated alternative pathway of macrophage activation has been proposed as a mechanism to attenuate excessive
cell death (AICD). Recently, we demonstrated that a recombinant fusion protein comprising a T-cell-targeted anti-CD7 scFv antibody fragment genetically fused to soluble FasL (sFasL) can eliminate synovial fluid T cells in the absence of activity
Use of Flow Cytometric Methods to Quantify Protein‐Protein Interactions
recruits GAIP (RGS19) to attenuate dopamine D2 receptor signaling. Mol. Biol. Cell 15:4926‐4937. Lee, E., Linder, M.E., and Gilman, A.G. 1994. Expression of G‐protein alpha
技术资料暂无技术资料 索取技术资料












