相关产品推荐更多 >
万千商家帮你免费找货
0 人在求购买到急需产品
- 详细信息
- 文献和实验
- 技术资料
- 供应商:
上海康朗生物科技有限公司
- 库存:
大量
- 目录编号:
kl-12679R
- 克隆性:
多克隆
- 抗原来源:
Rabbit
- 保质期:
12个月
- 抗体英文名:
VAC14 antibody
- 抗体名:
VAC14蛋白抗体
- 宿主:
Rabbit
- 适应物种:
Human, Mouse, Rat, Chicken, Dog, Pig, Cow, Horse, Rabbit, Zebrafish,
- 免疫原:
KLH conjugated synthetic peptide derived from human VAC14:1-100/782
- 亚型:
IgG
- 形态:
冻干粉或液体
- 应用范围:
ELISA=1:500-1000 IHC-P=1:400-800 IHC-F=1:400-800 ICC=1:100-500 IF=1:100-500
- 浓度:
1mg/ml
- 保存条件:
-20 °C
- 规格:
100ul 200ul
| 中文名称 | VAC14蛋白抗体 |
| 别 名 | ArPIKfyve; FLJ10305; FLJ36622; FLJ46582; MGC149815; MGC149816; OTTHUMP00000174908; Protein VAC14 homolog; Tax1 (human T cell leukemia virus type I) binding protein 1; Tax1 (human T cell leukemia virus type I) binding protein 2; Tax1 binding protein 2; Tax1-binding protein 2; TAX1BP2; TRX; VAC 14; vac14; Vac14 homolog (S. cerevisiae); Vac14 homolog; VAC14_HUMAN. |
| 规格价格 | 100ul/1380元 购买 200ul/2200元 购买 大包装/询价 |
| 说 明 书 | 100ul 200ul |
| 研究领域 | 肿瘤 细胞生物 信号转导 淋巴细胞 |
| 抗体来源 | Rabbit |
| 克隆类型 | Polyclonal |
| 交叉反应 | Human, Mouse, Rat, Chicken, Dog, Pig, Cow, Horse, Rabbit, Zebrafish, |
| 产品应用 | ELISA=1:500-1000 IHC-P=1:400-800 IHC-F=1:400-800 ICC=1:100-500 IF=1:100-500 (石蜡切片需做抗原修复) not yet tested in other applications. optimal dilutions/concentrations should be determined by the end user. |
| 分 子 量 | 88kDa |
| 性 状 | Lyophilized or Liquid |
| 浓 度 | 1mg/ml |
| 免 疫 原 | KLH conjugated synthetic peptide derived from human VAC14:1-100/782 |
| 亚 型 | IgG |
| 纯化方法 | affinity purified by Protein A |
| 储 存 液 | 0.01M TBS(pH7.4) with 1% BSA, 0.03% Proclin300 and 50% Glycerol. |
| 保存条件 | Store at -20 °C for one year. Avoid repeated freeze/thaw cycles. The lyophilized antibody is stable at room temperature for at least one month and for greater than a year when kept at -20°C. When reconstituted in sterile pH 7.4 0.01M PBS or diluent of antibody the antibody is stable for at least two weeks at 2-4 °C. |
| PubMed | PubMed |
| 产品介绍 | background: The content of phosphatidylinositol 3,5-bisphosphate (PtdIns(3,5)P2) in endosomal membranes changes dynamically with fission and fusion events that generate or absorb intracellular transport vesicles. VAC14 is a component of a trimolecular complex that tightly regulates the level of PtdIns(3,5)P2. Other components of this complex are the PtdIns(3,5)P2-synthesizing enzyme PIKFYVE (MIM 609414) and the PtdIns(3,5)P2 phosphatase FIG4 (MIM 609390). VAC14 functions as an activator of PIKFYVE (Sbrissa et al., 2007 [PubMed 17556371]).[supplied by OMIM, Feb 2010] Function: The PI(3,5)P2 regulatory complex regulates both the synthesis and turnover of phosphatidylinositol-3,5-bisphosphate (PtdIns(3,5)P2). Acts as a positive activator of PIKfyve kinase activity. Also required to maintain normal levels of phosphatidylinositol 3-phosphate (PtdIns(3)P) and phosphatidylinositol 5-phosphate (PtdIns(5)P). Plays a role in the biogenesis of endosome carrier vesicles (ECV) / multivesicular bodies (MVB) transport intermediates from early endosomes. Subcellular Location: Endosome membrane. Microsome membrane. Mainly associated with membranes of the late endocytic pathway. Tissue Specificity: Ubiquitously expressed. Similarity: Belongs to the VAC14 family. Contains 6 HEAT repeats. Gene ID: 55697 Database links: Entrez Gene: 55697 Human Entrez Gene: 234729 Mouse Entrez Gene: 307842 Rat Omim: 604632 Human SwissProt: Q08AM6 Human SwissProt: Q80WQ2 Mouse SwissProt: Q80W92 Rat Unigene: 445061 Human Unigene: 274894 Mouse Unigene: 46366 Rat Important Note: This product as supplied is intended for research use only, not for use in human, therapeutic or diagnostic applications. |
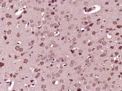
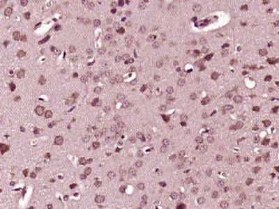
| 产品图片 | ![]() Paraformaldehyde-fixed, paraffin embedded (Mouse brain); Antigen retrieval by boiling in sodium citrate buffer (pH6.0) for 15min; Block endogenous peroxidase by 3% hydrogen peroxide for 20 minutes; Blocking buffer (normal goat serum) at 37°C for 30min; Antibody incubation with (VAC14) Polyclonal Antibody, Unconjugated (bs-12679R) at 1:400 overnight at 4°C, followed by operating according to SP Kit(Rabbit) (sp-0023) instructionsand DAB staining. |
风险提示:丁香通仅作为第三方平台,为商家信息发布提供平台空间。用户咨询产品时请注意保护个人信息及财产安全,合理判断,谨慎选购商品,商家和用户对交易行为负责。对于医疗器械类产品,请先查证核实企业经营资质和医疗器械产品注册证情况。
文献和实验Generation of Antibody Molecules Through Antibody Engineering
been overcome to a large extent using genetic-engineering techniques to produce chimeric mouse/human and completely human antibodies. Such an approach is particularly suitable because of the domain structure of the antibody molecule ( 2 ), where functional
The importance of antibody molecules was first recognized in the 1890s, when it was shown that immunity to tetanus and diphtheria was caused by antibodies against the bacterial exotoxins (1 ). Around the same time, it was shown that antisera
General comments: Antibodies, like most proteins, do not like to be freeze-thawed. Avoid repetitive freezing of your solution. The best way to store your antibody is to keep a high protein concentration (>1 mg/ml), add some protease
技术资料暂无技术资料 索取技术资料











