相关产品推荐更多 >
万千商家帮你免费找货
0 人在求购买到急需产品
- 详细信息
- 询价记录
- 文献和实验
- 技术资料
- 库存:
大量
- 英文名:
Hematoxylin Staining Solution
- 保质期:
1年
- 供应商:
上海联迈生物工程有限公司
- 保存条件:
室温避光保存
- 规格:
100ml
| 产品编号 | 产品名称 | 产品包装 | 产品价格 |
| LM01077 | 苏木素染色液 | 100ml | 270.00元 |
苏木素染色(hematoxylin staining or haematoxylin staining),也被称作苏木精染色,是最常用的组织和细胞的染色方法之一。无色的苏木素(hematoxylin)氧化后形成有醌环结构(quinoid ring)的氧化苏木素(hematein or haematein),从而可以和三价的铝离子、铁离子等形成有颜色的带正电荷的复合物(如hematein-Al3+ complexes)。氧化苏木素(也称氧化苏木精)和铝离子
等形成有色的复合物的过程也被称为Dye Lake Formation。细胞核内基因组DNA的双螺旋结构中,双链上的磷酸基团向外,带负电荷,呈酸性,很容易与带正电荷的氧化苏木素复合物结合,从而形成细胞核染色。苏木素染色液有多种不同的配制方法,不同的方法可以把细胞核染色成不同深浅的蓝色或蓝紫色。
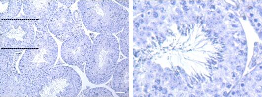
本苏木素染色液染色后细胞核呈蓝色,本产品用于石蜡切片染色的效果图参考图1。
图1. 本产品用于小鼠睾丸石蜡切片的染色效果图。右图为左图局部放大图片。图中可见非常清晰的细胞核着色。本图仅作参考,不同的样品不同的检测条件,实际获得的结果可能有所差别。Scale bar, 100μm。
本染色液可以和免疫荧光染色或免疫组化染色配合使用。一方面可以在本苏木素染色液染色后进行免疫荧光染色或其它染料的染色,另一方面也可以在免疫组化染色后再进行苏木素复染。
本染色液可以重复使用,直至认为效果不佳时再换用新的染色液。一个包装的本染色液至少可以染色200个样品。
包装清单:
| 产品编号 | 产品名称 | 包装 |
| LM0107 | 苏木素染色液 | 100ml |
| — | 说明书 | 1份 |
室温避光保存,至少一年有效。
注意事项:
染色后的分化为选做步骤,但分化后细胞核着色更清晰。
染色液可以重复使用多次,认为效果不佳时再更换新的染色液。
样品数量较多时,可以使用联迈生物生产的染色架和染色缸,便于操作。
第一次使用本试剂盒时建议先取1-2个样品做预实验。
本产品仅限于专业人员的科学研究用,不得用于临床诊断或治疗,不得用于食品或药品,不得存放于普通住宅内。
为了您的安全和健康,请穿实验服并戴一次性手套操作。
风险提示:丁香通仅作为第三方平台,为商家信息发布提供平台空间。用户咨询产品时请注意保护个人信息及财产安全,合理判断,谨慎选购商品,商家和用户对交易行为负责。对于医疗器械类产品,请先查证核实企业经营资质和医疗器械产品注册证情况。
- 作者
- 内容
- 询问日期
文献和实验附录I 染色液的配制 一、吕氏(Loeffler)碱性美蓝染液 (实验6,53) A液:美蓝(methylene blue) 0.6g 95%酒精 30ml B液:KOH 0.01g 蒸馏水 100ml 分别配制A液和B液,配好后混合即可。 二、齐氏 (Ziehl)石炭酸复红染色液 (实验6) A液:碱性复红(basic
问:配制苏木素染料所用的氧化汞一般用白氧化汞还是黄氧化汞?答:苏木红的产生需经氧化才能获得,获得苏木红有两种方法,其中一种是加入黄色氧化汞促进成熟,期间的注意事项:①苏木素一定要预先溶解,否则较难彻底溶解。②加入黄色氧化汞后,可产生大量的气泡,因此,配制500ml的溶液,一定要选择2000ml以上的容器,否则液体便会溢出。③当溶液变为深紫色后,应终止氧化,烧瓶应直接插入冰水中,
四、醋酸洋红染液 将洋红粉末1g倒入100mL45%醋酸溶液中,边煮边搅拌,煮沸(沸腾时间不超过30s),冷却后过滤,即可使用。也可再加入1%~2%铁明矾水溶液5-10滴,至此液变为暗红色而不发生沉淀为止。如制作永久标本染色时,可加入饱和氢氧化铁或醋酸铁(媒染剂)溶液数滴,至染色液呈浅蓝色为止。 五、硫堇染液(工作液) ①干液(硫堇):硫堇1g或2g溶于100mL 50%乙醇中,溶解后过滤备用; ②醋酸钠缓冲液:醋酸钠・3H2O 9.7g,巴比
技术资料暂无技术资料 索取技术资料










