相关产品推荐更多 >
万千商家帮你免费找货
0 人在求购买到急需产品
- 详细信息
- 询价记录
- 文献和实验
- 技术资料
- 供应商:
上海康朗生物科技有限公司
- 库存:
大量
- 目录编号:
kl-1110R
- 克隆性:
多克隆
- 抗原来源:
Rabbit
- 保质期:
12个月
- 抗体英文名:
Osterix antibody
- 抗体名:
成骨相关转录因子抗体
- 宿主:
Rabbit
- 适应物种:
Human, Mouse, Rat, Dog, Pig, Cow, Horse, Rabbit,
- 免疫原:
KLH conjugated synthetic peptide derived from human Osterix:331-431/431
- 亚型:
IgG
- 形态:
冻干粉或液体
- 应用范围:
WB=1:500-2000 ELISA=1:500-1000 IHC-P=1:400-800 IHC-F=1:400-800 Flow-Cyt=1:100-500 IF=1:100-500
- 浓度:
1mg/ml
- 保存条件:
-20 °C
- 规格:
50ul 100ul 200ul
| 中文名称 | 成骨相关转录因子抗体 |
| 别 名 | Osterix; MGC126598; Osx; Sp 7; Sp7; Sp7 transcription factor; Transcription factor Sp7; Zinc finger protein osterix; SP7_HUMAN. |
![]() |
Specific References (13) | bs-1110R has been referenced in 13 publications. [IF=6.13] Chen, Jin‐Ran, et al. "Diet derived phenolic acids regulate osteoblast and adipocyte lineage commitment and differentiation in young mice." Journal of Bone and Mineral Research (2013). WB ; Mouse. PubMed:23832484 [IF=3.68] Dong, Weijie, et al. "Phenotypic characterization of craniofacial bone marrow stromal cells: unique properties of enhanced osteogenesis, cell recruitment, autophagy, and apoptosis resistance." Cell and Tissue Research (2014): 1-11. WB ; Rat. PubMed:24927919 [IF=2.86] Kishi, Yuta, et al. "PARP Inhibitor PJ34 Suppresses Osteogenic Differentiation in Mouse Mesenchymal Stem Cells by Modulating BMP-2 Signaling Pathway."International Journal of Molecular Sciences 16.10 (2015): 24820-24838. WB ; Mouse. PubMed:26492236 [IF=6.52] Agarwal, Shailesh, et al. "Analysis of bone‐cartilage‐stromal progenitor populations in trauma induced and genetic models of heterotopic ossification." STEM CELLS (2016). IHC-P ; Mouse. PubMed:27068890 [IF=3.42] Tang, Zhurong, et al. "Comparison of ectopic bone formation process induced by four calcium phosphate ceramics in mice." Materials Science and Engineering: C (2016). IHC-P ; Mouse. PubMed:27772699 [IF=0.00] Schlie-Wolter, S., et al. Osteogenic Differentiation of Human Adipose-Derived Stem Cells (hASC): Role of FAK and Ras-MAPK Signaling. (2016) J Stem Cell Regen Bio 2(2): 1- 19 WB ; Human. PubMed:0 [IF=5.23] Agarwal, Shailesh, et al. "Local and Circulating Endothelial Cells Undergo Endothelial to Mesenchymal Transition (EndMT) in Response to Musculoskeletal Injury." Scientific Reports 6 (2016): 32514. WB ; Mouse. PubMed:27616463 [IF=5.30] Rajshankar, Dhaarmini, Yongqiang Wang, and Christopher A. McCulloch. "Osteogenesis requires FAK-dependent collagen synthesis by fibroblasts and osteoblasts." The FASEB Journal (2016): fj-201600645R. WB ; Mouse. PubMed:27881487 [IF=1.56] Wang, Yilin, et al. "Synergistic effects of overexpression of BMP‑2 and TGF‑β3 on osteogenic differentiation of bone marrow mesenchymal stem cells." Molecular Medicine Reports (2016): 11. WB ; Rabbit. PubMed:27878265 [IF=2.20] Ranganathan, Kavitha, et al. "The role of the adaptive immune system in burn-induced heterotopic ossification and mesenchymal cell osteogenic differentiation." Journal of Surgical Research 206.1 (2016): 53-61. IF(IHC-P) ; Mouse. PubMed:27916375 [IF=5.23] Li, Shao, et al. "A Conditional Knockout Mouse Model Reveals a Critical Role of PKD1 in Osteoblast Differentiation and Bone Development." Scientific Reports 7 (2017): 40505. WB ; Mouse. PubMed:28084409 [IF=2.33] Qian, Dong-Yang, et al. "Differential circRNA expression profiles during the BMP2-induced osteogenic differentiation of MC3T3-E1 cells." Biomedicine & Pharmacotherapy 90 (2017): 492-499. WB ; Mouse. PubMed:28395271 [IF=0.57] Shi, Hua-Li, et al. "Effect of polygonimitin C on bone formation and resorption in human osteoblast-like MG63 cells." Tropical Journal of Pharmaceutical Research 16.7 (2017): 1595-1600. WB ; Human. PubMed:0 |
| 规格价格 | 50ul/780元 购买 100ul/1380元 购买 200ul/2200元 购买 大包装/询价 |
| 说 明 书 | 50ul 100ul 200ul |
| 研究领域 | 细胞生物 染色质和核信号 信号转导 干细胞 转录调节因子 |
| 抗体来源 | Rabbit |
| 克隆类型 | Polyclonal |
| 交叉反应 | Human, Mouse, Rat, Dog, Pig, Cow, Horse, Rabbit, |
| 产品应用 | WB=1:500-2000 ELISA=1:500-1000 IHC-P=1:400-800 IHC-F=1:400-800 Flow-Cyt=1:100-500 IF=1:100-500 (石蜡切片需做抗原修复) not yet tested in other applications. optimal dilutions/concentrations should be determined by the end user. |
| 分 子 量 | 45kDa |
| 细胞定位 | 细胞核 |
| 性 状 | Lyophilized or Liquid |
| 浓 度 | 1mg/ml |
| 免 疫 原 | KLH conjugated synthetic peptide derived from human Osterix:331-431/431 |
| 亚 型 | IgG |
| 纯化方法 | affinity purified by Protein A |
| 储 存 液 | 0.01M TBS(pH7.4) with 1% BSA, 0.03% Proclin300 and 50% Glycerol. |
| 保存条件 | Store at -20 °C for one year. Avoid repeated freeze/thaw cycles. The lyophilized antibody is stable at room temperature for at least one month and for greater than a year when kept at -20°C. When reconstituted in sterile pH 7.4 0.01M PBS or diluent of antibody the antibody is stable for at least two weeks at 2-4 °C. |
| PubMed | PubMed |
| 产品介绍 | background: This gene encodes a member of the Sp subfamily of Sp/XKLF transcription factors. Sp family proteins are sequence-specific DNA-binding proteins characterized by an amino-terminal trans-activation domain and three carboxy-terminal zinc finger motifs. This protein is a bone specific transcription factor and is required for osteoblast differentiation and bone formation.[provided by RefSeq, Jul 2010] Function: Transcriptional activator essential for osteoblast differentiation. Binds to SP1 and EKLF consensus sequences and to other G/C-rich sequences (By similarity). Subunit: Interacts with NO66; the interaction is direct and inhibits transcription activator activity. Subcellular Location: Nucleus. Tissue Specificity: Osteoblast/chondrocyte specific. DISEASE: Osteogenesis imperfecta 12 (OI12) [MIM:613849]: A form of osteogenesis imperfecta, a connective tissue disorder characterized by low bone mass, bone fragility and susceptibility to fractures after minimal trauma. Disease severity ranges from very mild forms without fractures to intrauterine fractures and perinatal lethality. Extraskeletal manifestations, which affect a variable number of patients, are dentinogenesis imperfecta, hearing loss, and blue sclerae. OI12 is an autosomal recessive form characterized by recurrent fractures, mild bone deformations, generalized osteoporosis, delayed teeth eruption, no dentinogenesis imperfecta, normal hearing, and white sclerae. Note=The disease is caused by mutations affecting the gene represented in this entry. Similarity: Belongs to the Sp1 C2H2-type zinc-finger protein family. Contains 3 C2H2-type zinc fingers. SWISS: Q8TDD2 Gene ID: 121340 Database links: Entrez Gene: 121340 Human Entrez Gene: 170574 Mouse Entrez Gene: 300260 Rat Omim: 606633 Human SwissProt: Q8TDD2 Human SwissProt: Q5RM08 Mouse SwissProt: Q8VI67 Mouse SwissProt: Q6IMK1 Rat
Important Note: This product as supplied is intended for research use only, not for use in human, therapeutic or diagnostic applications. Osterix成骨相关转录因子是一种具有锌指基序结构域的转录因子,在体内的表达对成骨细胞具有特异性。该蛋白只在发育的骨组织中特异性表达,是成骨细胞分化和骨形成过程中所必需的转录因子。骨髓基质干细胞分化为表达典型的成骨性标志基因的成骨细胞需要OSX的调控。 |
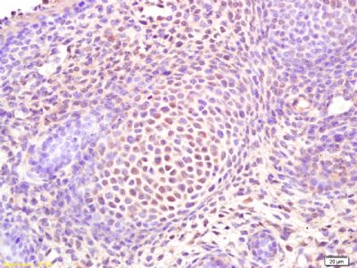
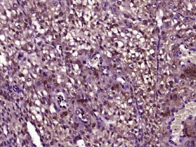
| 产品图片 | ![]() Sample:Spinal cord (Mouse) Lysate at 40 ug Primary: Anti-Osterix(bs-1110R)at 1/300 dilution Secondary: IRDye800CW Goat Anti-Rabbit IgG at 1/20000 dilution Predicted band size: 45kD Observed band size: 50kD ![]() Sample: Embryo(Mouse) lysate at 30ug; Embryo(Mouse) lysate at 30ug; Primary: Anti-Osterix (bs-1110R) at 1:200 dilution; Secondary: HRP conjugated Goat Anti-Rabbit IgG(bs-0295G-HRP) at 1: 3000 dilution; Predicted band size : 45kD Observed band size : 45kD ![]() Tissue/cell: mouse embryo tissue; 4% Paraformaldehyde-fixed and paraffin-embedded; Antigen retrieval: citrate buffer ( 0.01M, pH 6.0 ), Boiling bathing for 15min; Block endogenous peroxidase by 3% Hydrogen peroxide for 30min; Blocking buffer (normal goat serum,C-0005) at 37℃ for 20 min; Incubation: Anti-Osterix Polyclonal Antibody, Unconjugated(bs-1110R) 1:200, overnight at 4°C, followed by conjugation to the secondary antibody(SP-0023) and DAB(C-0010) staining |
风险提示:丁香通仅作为第三方平台,为商家信息发布提供平台空间。用户咨询产品时请注意保护个人信息及财产安全,合理判断,谨慎选购商品,商家和用户对交易行为负责。对于医疗器械类产品,请先查证核实企业经营资质和医疗器械产品注册证情况。
- 作者
- 内容
- 询问日期
文献和实验Generation of Antibody Molecules Through Antibody Engineering
been overcome to a large extent using genetic-engineering techniques to produce chimeric mouse/human and completely human antibodies. Such an approach is particularly suitable because of the domain structure of the antibody molecule ( 2 ), where functional
The importance of antibody molecules was first recognized in the 1890s, when it was shown that immunity to tetanus and diphtheria was caused by antibodies against the bacterial exotoxins (1 ). Around the same time, it was shown that antisera
General comments: Antibodies, like most proteins, do not like to be freeze-thawed. Avoid repetitive freezing of your solution. The best way to store your antibody is to keep a high protein concentration (>1 mg/ml), add some protease
技术资料暂无技术资料 索取技术资料












