相关产品推荐更多 >
万千商家帮你免费找货
0 人在求购买到急需产品
- 详细信息
- 文献和实验
- 技术资料
- 供应商:
上海康朗生物科技有限公司
- 库存:
大量
- 目录编号:
kl-0895R
- 克隆性:
多克隆
- 抗原来源:
Rabbit
- 保质期:
12个月
- 抗体英文名:
FSH receptor antibody
- 抗体名:
促卵泡刺激素受体抗体
- 宿主:
Rabbit
- 适应物种:
Human, Mouse, Rat, Dog, Pig, Cow, Horse, Sheep, Guinea Pig,
- 免疫原:
KLH conjugated synthetic peptide derived from human FSHR 225-270aa:201-300/695 <Extracellular>
- 亚型:
IgG
- 形态:
冻干粉或液体
- 应用范围:
ELISA=1:500-1000 IHC-P=1:400-800 IHC-F=1:400-800 IF=1:100-500
- 浓度:
1mg/ml
- 保存条件:
-20 °C
- 规格:
50ul 100ul 200ul
| 中文名称 | 促卵泡刺激素受体抗体 |
| 别 名 | Follicle-stimulating hormone receptor precursor; Follicle stimulating hormone receptor; Follicle stimulating hormone receptor isoform 1; Follitropin receptor; FSHRO; LGR1; ODG1; Follicle-stimulating hormone receptor; FSH-R; FSH R; Fshr; FSHR_HUMAN; MGC141667; MGC141668; ovarian dysgenesis 1. |
| 规格价格 | 50ul/780元 购买 100ul/1380元 购买 200ul/2200元 购买 大包装/询价 |
| 说 明 书 | 50ul 100ul 200ul |
| 研究领域 | 神经生物学 信号转导 |
| 抗体来源 | Rabbit |
| 克隆类型 | Polyclonal |
| 交叉反应 | Human, Mouse, Rat, Dog, Pig, Cow, Horse, Sheep, Guinea Pig, |
| 产品应用 | WB=1:500-2000 ELISA=1:500-1000 IHC-P=1:400-800 IHC-F=1:400-800 Flow-Cyt=1μg/Test IF=1:100-500 (石蜡切片需做抗原修复) not yet tested in other applications. optimal dilutions/concentrations should be determined by the end user. |
| 分 子 量 | 78kDa |
| 细胞定位 | 细胞膜 |
| 性 状 | Lyophilized or Liquid |
| 浓 度 | 1mg/ml |
| 免 疫 原 | KLH conjugated synthetic peptide derived from human FSHR 225-270aa:201-300/695 <Extracellular> |
| 亚 型 | IgG |
| 纯化方法 | affinity purified by Protein A |
| 储 存 液 | 0.01M TBS(pH7.4) with 1% BSA, 0.03% Proclin300 and 50% Glycerol. |
| 保存条件 | Store at -20 °C for one year. Avoid repeated freeze/thaw cycles. The lyophilized antibody is stable at room temperature for at least one month and for greater than a year when kept at -20°C. When reconstituted in sterile pH 7.4 0.01M PBS or diluent of antibody the antibody is stable for at least two weeks at 2-4 °C. |
| PubMed | PubMed |
| 产品介绍 | background: The protein encoded by this gene belongs to family 1 of G-protein coupled receptors. It is the receptor for follicle stimulating hormone and functions in gonad development. Mutations in this gene cause ovarian dysgenesis type 1, and also ovarian hyperstimulation syndrome. Alternative splicing results in multiple transcript variants. [provided by RefSeq, Mar 2010] Function: Receptor for follicle-stimulating hormone. The activity of this receptor is mediated by G proteins which activate adenylate cyclase. Subunit: Interacts with ARRB2. Subcellular Location: Cell membrane; Multi-pass membrane protein. Tissue Specificity: Sertoli cells and ovarian granulosa cells. DISEASE: Defects in FSHR are a cause of ovarian dysgenesis type 1 (ODG1) [MIM:233300]; also known as premature ovarian failure or gonadal dysgenesis XX type or XX gonadal dysgenesis (XXGD) or hereditary hypergonadotropic ovarian failure or hypergonadotropic ovarian dysgenesis with normal karyotype. ODG1 is an autosomal recessive disease characterized by primary amenorrhea, variable development of secondary sex characteristics, and high serum levels of follicle-stimulating hormone (FSH) and luteinizing hormone (LH). Defects in FSHR are a cause of ovarian hyperstimulation syndrome (OHSS) [MIM:608115]. OHSS is a disorder which occurs either spontaneously or most often as an iatrogenic complication of ovarian stimulation treatments for in vitro fertilization. The clinical manifestations vary from abdominal distention and discomfort to potentially life-threatening, massive ovarian enlargement and capillary leak with fluid sequestration. Pathologic features of this syndrome include the presence of multiple serous and hemorrhagic follicular cysts lined by luteinized cells, a condition called hyperreactio luteinalis. Similarity: Belongs to the G-protein coupled receptor 1 family. FSH/LSH/TSH subfamily. Contains 9 LRR (leucine-rich) repeats. Contains 1 LRRNT domain. SWISS: P23945 Gene ID: 2492 Database links: Entrez Gene: 281172 Cow Entrez Gene: 100861291 Goat Entrez Gene: 2492 Human Entrez Gene: 14309 Mouse Entrez Gene: 397679 Pig Entrez Gene: 25449 Rat Entrez Gene: 443299 Sheep Omim: 136435 Human SwissProt: P35376 Cow SwissProt: P23945 Human SwissProt: P35378 Mouse SwissProt: P49059 Pig SwissProt: P20395 Rat SwissProt: P35379 Sheep Unigene: 1428 Human Unigene: 57155 Mouse Unigene: 162843 Rat Important Note: This product as supplied is intended for research use only, not for use in human, therapeutic or diagnostic applications. FSHR属于G蛋白偶联受体超家族中的糖蛋白亚家族成员,跨膜蛋白。人类的FSHR是由695个氨基酸组成的一条肽链。主要分布于睾丸支持细胞和卵巢颗粒细胞,成熟的FSHR蛋白分子质量为:75kDa。 |
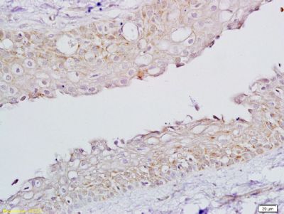
| 产品图片 | ![]() Sample: Testis (Mouse) Lysate at 40 ug Primary: Anti-FSH receptor (bs-0895R)at 1/300 dilution Secondary: IRDye800CW Goat Anti-Rabbit IgG at 1/20000 dilution Predicted band size: 78 kD Observed band size: 78 kD ![]() Paraformaldehyde-fixed, paraffin embedded (rat ovary); Antigen retrieval by boiling in sodium citrate buffer (pH6.0) for 15min; Block endogenous peroxidase by 3% hydrogen peroxide for 20 minutes; Blocking buffer (normal goat serum) at 37°C for 30min; Antibody incubation with (FSH receptor) Polyclonal Antibody, Unconjugated (bs-0895R) at 1:200 overnight at 4°C, followed by a conjugated secondary (sp-0023) for 20 minutes and DAB staining. ![]() Tissue/cell: human placenta tissue; 4% Paraformaldehyde-fixed and paraffin-embedded; Antigen retrieval: citrate buffer ( 0.01M, pH 6.0 ), Boiling bathing for 15min; Block endogenous peroxidase by 3% Hydrogen peroxide for 30min; Blocking buffer (normal goat serum,C-0005) at 37℃ for 20 min; Incubation: Anti-FSH receptor Polyclonal Antibody, Unconjugated(bs-0895R) 1:200, overnight at 4°C, followed by conjugation to the secondary antibody(SP-0023) and DAB(C-0010) staining ![]() Blank control: HUVEC cells(blue). Primary Antibody:Rabbit Anti-FSH receptor antibody(bs-0895R), Dilution: 1μg in 100 μL 1X PBS containing 0.5% BSA; Isotype Control Antibody: Rabbit IgG(orange) ,used under the same conditions ); Secondary Antibody: Goat anti-rabbit IgG-PE(white blue), Dilution: 1:200 in 1 X PBS containing 0.5% BSA. Protocol The cells were fixed with 2% paraformaldehyde (10 min) .Primary antibody (bs-0895R, 1μg /1x10^6 cells) were incubated for 30 min on the ice, followed by 1 X PBS containing 0.5% BSA + 1 0% goat serum (15 min) to block non-specific protein-protein interactions. Then the Goat Anti-rabbit IgG/PE antibody was added into the blocking buffer mentioned above to react with the primary antibody at 1/200 dilution for 30 min on ice. Acquisition of 20,000 events was performed. |
风险提示:丁香通仅作为第三方平台,为商家信息发布提供平台空间。用户咨询产品时请注意保护个人信息及财产安全,合理判断,谨慎选购商品,商家和用户对交易行为负责。对于医疗器械类产品,请先查证核实企业经营资质和医疗器械产品注册证情况。
文献和实验Aspects of CNS Lupus: Mouse Models of Anti-NMDA Receptor Antibody Mediated Reactivity
This chapter describes methods utilized in establishing a mouse model of neuropsychiatric lupus encompassing both cognitive and emotional dysfunction, and a model of the influence of maternal antibody on the developing brain. The antibody
This work describes protocols for the production of single-chain antibody and T-cell receptor fragments inE. coli . A choice of methods is given for the purification of the recombinant fragments that rely on the use of either immunoaffinity
Antibody Targeted siRNA Delivery
only. The commercial success of in vivo applications of RNAi hinges on the development of new delivery methods. Our strategy involves the use of antibody-based delivery agents to target and deliver siRNA into specific cell types. We have developed antibody-based agents
技术资料暂无技术资料 索取技术资料













