相关产品推荐更多 >
万千商家帮你免费找货
0 人在求购买到急需产品
- 详细信息
- 文献和实验
- 技术资料
- 供应商:
上海康朗生物科技有限公司
- 库存:
大量
- 目录编号:
kl-10306R
- 克隆性:
多克隆
- 抗原来源:
Rabbit
- 保质期:
12个月
- 抗体英文名:
TREM1 antibody
- 抗体名:
髓系细胞触发受体1抗体
- 宿主:
Rabbit
- 适应物种:
Human, Rat,
- 免疫原:
KLH conjugated synthetic peptide derived from human TREM1:151-234/234 <Extracellular>
- 亚型:
IgG
- 形态:
冻干粉或液体
- 应用范围:
WB=1:500-2000 ELISA=1:500-1000 IHC-P=1:400-800 IHC-F=1:400-800 Flow-Cyt=1μg/Test ICC=1:100-500 IF=1:100-500
- 浓度:
1mg/ml
- 保存条件:
-20 °C
- 规格:
100ul 200ul
| 中文名称 | 髓系细胞触发受体1抗体 |
| 别 名 | TREM 1; TREM-1; Triggering receptor expressed on monocytes 1; Triggering receptor expressed on myeloid cells 1; Triggering receptor TREM 1; Triggering receptor TREM1; Triggering-receptor TREM 1; Triggering-receptor TREM-1; Triggering-receptor TREM1; TREM1_HUMAN; CD354. |
| 规格价格 | 100ul/1380元 购买 200ul/2200元 购买 大包装/询价 |
| 说 明 书 | 100ul 200ul |
| 研究领域 | 细胞生物 免疫学 细胞分化 |
| 抗体来源 | Rabbit |
| 克隆类型 | Polyclonal |
| 交叉反应 | Human, Rat, |
| 产品应用 | WB=1:500-2000 ELISA=1:500-1000 IHC-P=1:400-800 IHC-F=1:400-800 Flow-Cyt=1μg/Test ICC=1:100-500 IF=1:100-500 (石蜡切片需做抗原修复) not yet tested in other applications. optimal dilutions/concentrations should be determined by the end user. |
| 分 子 量 | 24kDa |
| 细胞定位 | 细胞膜 分泌型蛋白 |
| 性 状 | Lyophilized or Liquid |
| 浓 度 | 1mg/ml |
| 免 疫 原 | KLH conjugated synthetic peptide derived from human TREM1:151-234/234 <Extracellular> |
| 亚 型 | IgG |
| 纯化方法 | affinity purified by Protein A |
| 储 存 液 | 0.01M TBS(pH7.4) with 1% BSA, 0.03% Proclin300 and 50% Glycerol. |
| 保存条件 | Store at -20 °C for one year. Avoid repeated freeze/thaw cycles. The lyophilized antibody is stable at room temperature for at least one month and for greater than a year when kept at -20°C. When reconstituted in sterile pH 7.4 0.01M PBS or diluent of antibody the antibody is stable for at least two weeks at 2-4 °C. |
| PubMed | PubMed |
| 产品介绍 | background: This gene encodes a receptor belonging to the Ig superfamily that is expressed on myeloid cells. This protein amplifies neutrophil and monocyte-mediated inflammatory responses triggered by bacterial and fungal infections by stimulating release of pro-inflammatory chemokines and cytokines, as well as increased surface expression of cell activation markers. Alternatively spliced transcript variants encoding different isoforms have been noted for this gene.[provided by RefSeq, Jun 2011]. Function: Stimulates neutrophil and monocyte-mediated inflammatory responses. Triggers release of pro-inflammatory chemokines and cytokines, as well as increased surface expression of cell activation markers. Amplifier of inflammatory responses that are triggered by bacterial and fungal infections and is a crucial mediator of septic shock. Subunit: Interacts with TYROBP/DAP12. Subcellular Location: Isoform 1: Cell membrane; Single-pass type I membrane protein (Potential). Isoform 2: Secreted (Potential). Tissue Specificity: Highly expressed in adult liver, lung and spleen than in corresponding fetal tissue. Also expressed in the lymph node, placenta, spinal cord and heart tissues. Expression is more elevated in peripheral blood leukocytes than in the bone marrow and in normal cells than malignant cells. Expressed at low levels in the early development of the hematopoietic system and in the promonocytic stage and at high levels in mature monocytes. Strongly expressed in acute inflammatory lesions caused by bacteria and fungi. Isoform 2 was detected in the lung, liver and mature monocytes. Post-translational modifications: Glycosylated. Similarity: Contains 1 Ig-like V-type (immunoglobulin-like) domain. SWISS: Q9NP99 Gene ID: 54210 Database links: Entrez Gene: 54210 Human Entrez Gene: 58217 Mouse Omim: 605085 Human SwissProt: Q9NP99 Human SwissProt: Q9JKE2 Mouse Unigene: 283022 Human Unigene: 248352 Mouse Important Note: This product as supplied is intended for research use only, not for use in human, therapeutic or diagnostic applications. |
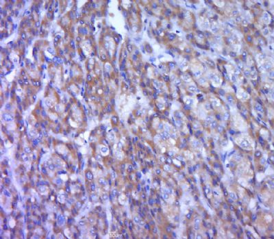
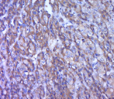
| 产品图片 | ![]() Sample:hcclm3(Human) Cell Lysate at 30 ug K562(Human) Cell Lysate at 30 ug Primary: Anti-CD200R (bs-7351R) at 1/300 dilution Secondary: IRDye800CW Goat Anti-Rabbit IgG at 1/20000 dilution Predicted band size: 24 kD Observed band size: 21 kD ![]() Paraformaldehyde-fixed, paraffin embedded (human liver carcinoma); Antigen retrieval by boiling in sodium citrate buffer (pH6.0) for 15min; Block endogenous peroxidase by 3% hydrogen peroxide for 20 minutes; Blocking buffer (normal goat serum) at 37°C for 30min; Antibody incubation with (TREM1) Polyclonal Antibody, Unconjugated (bs-10306R) at 1:400 overnight at 4°C, followed by a conjugated secondary (sp-0023) for 20 minutes and DAB staining. Primary Antibody:Rabbit anti-TREM1 antibody Supplier catalog number: bs-10306R Supplier: Bioss Isotype Control Antibody: Rabbit IgG Secondary Antibody: F(ab’)2 fragment goat anti-rabbit IgG-PE Supplier: Jackson Lab. Positive control:U937(4% paraformaldehyde for 10 min at room temperature) ![]() Primary Antibody:Rabbit anti-TREM1 antibody Supplier catalog number: bs-10306R Supplier: Bioss Isotype Control Antibody: Rabbit IgG Secondary Antibody: F(ab’)2 fragment goat anti-rabbit IgG-PE Supplier: Jackson Lab. Positive control:U937(4% paraformaldehyde for 10 min at room temperature) |
风险提示:丁香通仅作为第三方平台,为商家信息发布提供平台空间。用户咨询产品时请注意保护个人信息及财产安全,合理判断,谨慎选购商品,商家和用户对交易行为负责。对于医疗器械类产品,请先查证核实企业经营资质和医疗器械产品注册证情况。
文献和实验Generation of Antibody Molecules Through Antibody Engineering
been overcome to a large extent using genetic-engineering techniques to produce chimeric mouse/human and completely human antibodies. Such an approach is particularly suitable because of the domain structure of the antibody molecule ( 2 ), where functional
The importance of antibody molecules was first recognized in the 1890s, when it was shown that immunity to tetanus and diphtheria was caused by antibodies against the bacterial exotoxins (1 ). Around the same time, it was shown that antisera
General comments: Antibodies, like most proteins, do not like to be freeze-thawed. Avoid repetitive freezing of your solution. The best way to store your antibody is to keep a high protein concentration (>1 mg/ml), add some protease
技术资料暂无技术资料 索取技术资料













