相关产品推荐更多 >
万千商家帮你免费找货
0 人在求购买到急需产品
- 详细信息
- 文献和实验
- 技术资料
- 供应商:
上海康朗生物科技有限公司
- 库存:
大量
- 目录编号:
kl-10251R
- 克隆性:
多克隆
- 抗原来源:
Rabbit
- 保质期:
12个月
- 抗体英文名:
MHC class I/HLA-C antibody
- 抗体名:
组织相容性复合体蛋白1抗体
- 宿主:
Rabbit
- 适应物种:
Human, Mouse, Rat,
- 免疫原:
KLH conjugated synthetic peptide derived from human MHC class I:81-180/366 <Extracellular>
- 亚型:
IgG
- 形态:
冻干粉或液体
- 应用范围:
ELISA=1:500-1000 IHC-P=1:400-800 IHC-F=1:400-800 ICC=1:100-500 IF=1:100-500
- 浓度:
1mg/ml
- 保存条件:
-20 °C
- 规格:
100ul 200ul
| 中文名称 | 组织相容性复合体蛋白1抗体 |
| 别 名 | 1C07_HUMAN; Cw-7 alpha chain; D6S204; HLA class I histocompatibility antigen; HLA class I histocompatibility antigen, C alpha chain; HLA class I histocompatibility antigen, Cw-1 alpha chain; HLA-C; HLA-C histocompatibility type; HLA-Cw; HLA-JY3; HLAC; HLC-C; human leukocyte antigen-C alpha chain; major histocompatibility antigen HLA-C; major histocompatibility complex, class I, C; MHC class I antigen; MHC class I antigen Cw 1; MHC class I antigen Cw*7; MHC class I antigen heavy chain HLA-C; PSORS1. |
| 规格价格 | 100ul/1380元 购买 200ul/2200元 购买 大包装/询价 |
| 说 明 书 | 100ul 200ul |
| 研究领域 | 细胞生物 免疫学 |
| 抗体来源 | Rabbit |
| 克隆类型 | Polyclonal |
| 交叉反应 | Human, Mouse, Rat, |
| 产品应用 | ELISA=1:500-1000 IHC-P=1:400-800 IHC-F=1:400-800 ICC=1:100-500 IF=1:100-500 (石蜡切片需做抗原修复) not yet tested in other applications. optimal dilutions/concentrations should be determined by the end user. |
| 分 子 量 | 45kDa |
| 细胞定位 | 细胞膜 |
| 性 状 | Lyophilized or Liquid |
| 浓 度 | 1mg/ml |
| 免 疫 原 | KLH conjugated synthetic peptide derived from human MHC class I:81-180/366 <Extracellular> |
| 亚 型 | IgG |
| 纯化方法 | affinity purified by Protein A |
| 储 存 液 | 0.01M TBS(pH7.4) with 1% BSA, 0.03% Proclin300 and 50% Glycerol. |
| 保存条件 | Store at -20 °C for one year. Avoid repeated freeze/thaw cycles. The lyophilized antibody is stable at room temperature for at least one month and for greater than a year when kept at -20°C. When reconstituted in sterile pH 7.4 0.01M PBS or diluent of antibody the antibody is stable for at least two weeks at 2-4 °C. |
| PubMed | PubMed |
| 产品介绍 | background: HLA-A belongs to the HLA class I heavy chain paralogues. This class I molecule is a heterodimer consisting of a heavy chain and a light chain (beta-2 microglobulin). The heavy chain is anchored in the membrane. Class I molecules play a central role in the immune system by presenting peptides derived from the endoplasmic reticulum lumen. They are expressed in nearly all cells. The heavy chain is approximately 45 kDa and its gene contains 8 exons. Exon 1 encodes the leader peptide, exons 2 and 3 encode the alpha1 and alpha2 domains, which both bind the peptide, exon 4 encodes the alpha3 domain, exon 5 encodes the transmembrane region, and exons 6 and 7 encode the cytoplasmic tail. Polymorphisms within exon 2 and exon 3 are responsible for the peptide binding specificity of each class one molecule. Typing for these polymorphisms is routinely done for bone marrow and kidney transplantation. Hundreds of HLA-A alleles have been described. [provided by RefSeq, Jul 2008] Function: Involved in the presentation of foreign antigens to the immune system. Subunit: Heterodimer of an alpha chain and a beta chain (beta-2-microglobulin). Interacts with human herpesvirus 8 MIR1 protein. Interacts with HTLV-1 p12I accessory protein. Subcellular Location: Cell Membrane; Type I membrane protein. Post-translational modifications: Polyubiquitinated in a post ER compartment by interaction with human herpesvirus 8 MIR1 protein. This targets the protein for rapid degradation via the ubiquitin system. Similarity: Belongs to the MHC class I family. Contains 1 Ig-like C1-type (immunoglobulin-like) domain. SWISS: G0ZMJ8 Gene ID: 3107 Database links:
Entrez Gene: 3107 Human Omim: 142840 Human SwissProt: P04222 Human SwissProt: P10321 Human SwissProt: Q07000 Human Unigene: 656020 Human Unigene: 743218 Human Unigene: 77961 Human Important Note: This product as supplied is intended for research use only, not for use in human, therapeutic or diagnostic applications. |
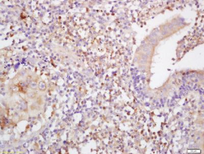
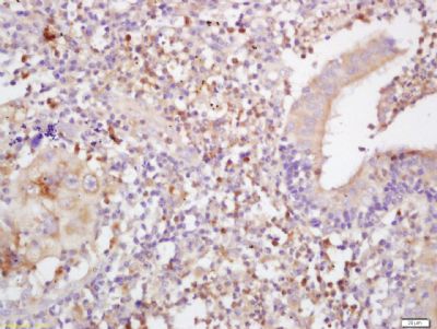
| 产品图片 | ![]() Tissue/cell: human lung carcinoma; 4% Paraformaldehyde-fixed and paraffin-embedded; Antigen retrieval: citrate buffer ( 0.01M, pH 6.0 ), Boiling bathing for 15min; Block endogenous peroxidase by 3% Hydrogen peroxide for 30min; Blocking buffer (normal goat serum,C-0005) at 37℃ for 20 min; Incubation: Anti-HLA-C Polyclonal Antibody, Unconjugated(bs-10251R) 1:200, overnight at 4°C, followed by conjugation to the secondary antibody(SP-0023) and DAB(C-0010) staining |
风险提示:丁香通仅作为第三方平台,为商家信息发布提供平台空间。用户咨询产品时请注意保护个人信息及财产安全,合理判断,谨慎选购商品,商家和用户对交易行为负责。对于医疗器械类产品,请先查证核实企业经营资质和医疗器械产品注册证情况。
文献和实验Identification of MHC Class II Binding Peptides: Microarray and Soluble MHC Class II Molecules
antibody (mAb). Positive events (MHC class II/peptide complexes) are normalized and available for pattern analysis.
Studying Ubiquitination of MHC Class I Molecules
The covalent attachment of ubiquitin to a protein is one of the most common post-translational modifications and regulates diverse eukaryotic cellular processes. Ubiquitination of MHC class I was first described in the context of viral
Establishing MHC Class I Peptide Motifs
Major histocompatibility complex (MHC) class I peptide motifs are used on a regular basis to identify and predict MHC class I ligands and CD8+ T-cell epitopes. This approach is above all an invaluable tool for the identification of disease
技术资料暂无技术资料 索取技术资料











