相关产品推荐更多 >
万千商家帮你免费找货
0 人在求购买到急需产品
- 详细信息
- 询价记录
- 文献和实验
- 技术资料
- 供应商:
上海康朗生物科技有限公司
- 库存:
大量
- 目录编号:
kl-10011R
- 克隆性:
多克隆
- 抗原来源:
Rabbit
- 保质期:
12个月
- 抗体英文名:
Occludin antibody
- 抗体名:
紧密连接蛋白抗体
- 宿主:
Rabbit
- 适应物种:
Human, Mouse, Rat, Dog, Pig, Cow, Sheep,
- 免疫原:
KLH conjugated synthetic peptide derived from human Occludin:151-250/522 <Extracellular>
- 亚型:
IgG
- 形态:
冻干粉或液体
- 应用范围:
WB=1:500-2000 ELISA=1:500-1000 IHC-P=1:400-800 IHC-F=1:400-800 Flow-Cyt=1μg/Test ICC=1:100-500 IF=1:100-500
- 浓度:
1mg/ml
- 保存条件:
-20 °C
- 规格:
50ul 100ul 200ul
| 中文名称 | 紧密连接蛋白抗体 |
| 别 名 | Occludin, Occludin-1; Occludin1; Occludin 1; FLJ08163; BLCPMG; FLJ18079; FLJ77961; FLJ94056; MGC34277; Occludin; OCLN; OCLN_HUMAN; Tight junction protein occludin. |
| 规格价格 | 50ul/780元 购买 100ul/1380元 购买 200ul/2200元 购买 大包装/询价 |
| 说 明 书 | 50ul 100ul 200ul |
| 研究领域 | |
| 抗体来源 | Rabbit |
| 克隆类型 | Polyclonal |
| 交叉反应 | Human, Mouse, Rat, Dog, Pig, Cow, Sheep, |
| 产品应用 | WB=1:500-2000 ELISA=1:500-1000 IHC-P=1:400-800 IHC-F=1:400-800 Flow-Cyt=1μg/Test ICC=1:100-500 IF=1:100-500 (石蜡切片需做抗原修复) not yet tested in other applications. optimal dilutions/concentrations should be determined by the end user. |
| 分 子 量 | 59kDa |
| 细胞定位 | 细胞膜 |
| 性 状 | Lyophilized or Liquid |
| 浓 度 | 1mg/ml |
| 免 疫 原 | KLH conjugated synthetic peptide derived from human Occludin:151-250/522 <Extracellular> |
| 亚 型 | IgG |
| 纯化方法 | affinity purified by Protein A |
| 储 存 液 | 0.01M TBS(pH7.4) with 1% BSA, 0.03% Proclin300 and 50% Glycerol. |
| 保存条件 | Store at -20 °C for one year. Avoid repeated freeze/thaw cycles. The lyophilized antibody is stable at room temperature for at least one month and for greater than a year when kept at -20°C. When reconstituted in sterile pH 7.4 0.01M PBS or diluent of antibody the antibody is stable for at least two weeks at 2-4 °C. |
| PubMed | PubMed |
| 产品介绍 | background: This gene encodes an integral membrane protein which is located at tight junctions. This protein may be involved in the formation and maintenance of the tight junction. The possibility of several alternatively spliced products has been suggested but the full nature of these products has not been described. [provided by RefSeq]. Function: May play a role in the formation and regulation of the tight junction (TJ) paracellular permeability barrier. Subunit: Interacts with TJP1/ZO1 and with VAPA. Subcellular Location: Membrane; Multi-pass membrane protein. Cell junction, tight junction. Tissue Specificity: Localized at tight junctions of both epithelial and endothelial cells. Highly expressed in kidney. Not detected in testis. Post-translational modifications: Phosphorylated upon DNA damage, probably by ATM or ATR. Dephosphorylated by PTPRJ. May be phosphorylated by PKC during translocation to cell-cell contacts. Similarity: Belongs to the ELL/occludin family. Contains 1 MARVEL domain. SWISS: Q16625 Gene ID: 100506658 Database links: Entrez Gene: 18260 Mouse Entrez Gene: 100506658 Human Entrez Gene: 397236 Pig Entrez Gene: 83497 Rat Entrez Gene: 403844 Dog Omim: 602876 Human SwissProt: Q28269 Dog SwissProt: Q16625 Human SwissProt: Q61146 Mouse SwissProt: Q6P6T5 Rat Unigene: 592605 Human Unigene: 4807 Mouse Unigene: 31429 Rat Important Note: This product as supplied is intended for research use only, not for use in human, therapeutic or diagnostic applications. |
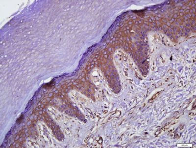
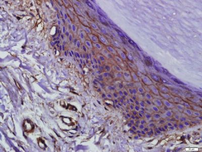
| 产品图片 | ![]() Sample: HepG2 Cell (Human) Lysate at 40 ug Primary: Anti-Occludin (bs-10011R) at 1/300 dilution Secondary: IRDye800CW Goat Anti-Rabbit IgG at 1/20000 dilution Predicted band size: 59 kD Observed band size: 60 kD ![]() Sample: Lung (Mouse) Lysate at 40 ug Primary: Anti-Occludin (bs-10011R) at 1/300 dilution Secondary: IRDye800CW Goat Anti-Rabbit IgG at 1/20000 dilution Predicted band size: 59 kD Observed band size: 59 kD ![]() Sample: Testis (Mouse) Lysate at 40 ug Kidney (Mouse) Lysate at 40 ug Primary: Anti-Occludin (bs-10011R) at 1/300 dilution Secondary: IRDye800CW Goat Anti-Rabbit IgG at 1/20000 dilution Predicted band size: 59 kD Observed band size: 59 kD ![]() Paraformaldehyde-fixed, paraffin embedded (Normal skin); Antigen retrieval by boiling in sodium citrate buffer (pH6.0) for 15min; Block endogenous peroxidase by 3% hydrogen peroxide for 20 minutes; Blocking buffer (normal goat serum) at 37°C for 30min; Antibody incubation with (Occludin) Polyclonal Antibody, Unconjugated (bs-10011R) at 1:400 overnight at 4°C, followed by a conjugated secondary (sp-0023) for 20 minutes and DAB staining. ![]() Paraformaldehyde-fixed, paraffin embedded (Normal skin); Antigen retrieval by boiling in sodium citrate buffer (pH6.0) for 15min; Block endogenous peroxidase by 3% hydrogen peroxide for 20 minutes; Blocking buffer (normal goat serum) at 37°C for 30min; Antibody incubation with (Occludin) Polyclonal Antibody, Unconjugated (bs-10011R) at 1:400 overnight at 4°C, followed by a conjugated secondary (sp-0023) for 20 minutes and DAB staining. ![]() Blank control(blue): 293T(fixed with 2% paraformaldehyde (10 min) and then permeabilized with ice-cold 90% methanol for 30 min on ice). Primary Antibody: Rabbit Anti-Occludin/FITC Conjugated antibody (bs-10011R /FITC), Dilution: 1μg in 100 μL 1X PBS containing 0.5% BSA; Isotype Control Antibody: Rabbit IgG/FITC(orange) ,used under the same conditions. |
风险提示:丁香通仅作为第三方平台,为商家信息发布提供平台空间。用户咨询产品时请注意保护个人信息及财产安全,合理判断,谨慎选购商品,商家和用户对交易行为负责。对于医疗器械类产品,请先查证核实企业经营资质和医疗器械产品注册证情况。
- 作者
- 内容
- 询问日期
文献和实验of interest available; 2) formation of the antibody-antigen complex by adding specific antibody; 3) separation and detection of the immune complex by sodium dodecyl sulfate-polyacrylamide gel electrophoresis (SDS-PAGE) and immunoblotting. Both polyclonal and monoclonal
Generation of Antibody Molecules Through Antibody Engineering
been overcome to a large extent using genetic-engineering techniques to produce chimeric mouse/human and completely human antibodies. Such an approach is particularly suitable because of the domain structure of the antibody molecule ( 2 ), where functional
The importance of antibody molecules was first recognized in the 1890s, when it was shown that immunity to tetanus and diphtheria was caused by antibodies against the bacterial exotoxins (1 ). Around the same time, it was shown that antisera
技术资料暂无技术资料 索取技术资料















