相关产品推荐更多 >
万千商家帮你免费找货
0 人在求购买到急需产品
- 详细信息
- 文献和实验
- 技术资料
- 供应商:
上海康朗生物科技有限公司
- 库存:
大量
- 目录编号:
kl-0975R
- 克隆性:
多克隆
- 抗原来源:
Rabbit
- 保质期:
12个月
- 抗体英文名:
SP1 antibody
- 抗体名:
转录生长因子SP1抗体
- 宿主:
Rabbit
- 适应物种:
Human, Mouse, Rat, Chicken, Dog, Pig, Cow, Sheep,
- 免疫原:
KLH conjugated synthetic peptide derived from human TSFP1:701-785/785
- 亚型:
IgG
- 形态:
冻干粉或液体
- 应用范围:
WB=1:500-2000 ELISA=1:500-1000 IHC-P=1:400-800 IHC-F=1:400-800 Flow-Cyt=1ug/Test IF=1:100-500
- 浓度:
1mg/ml
- 保存条件:
-20 °C
- 规格:
50ul 100ul 200ul
| 中文名称 | 转录生长因子SP1抗体 |
| 别 名 | Sp1 transcription factor isoform a; TSFP1; TSFP 1; SP1; Specificity protein 1; Transcription factor Sp1; SP1_HUMAN. |
![]() |
Specific References (2) | bs-0975R has been referenced in 2 publications. [IF=4.15] Peng, Yanfei, et al. "Prostaglandin E2 induces Stromal cell-derived factor-1 expression in prostate stromal cells by activating Protein kinase A and transcription factor Sp1." The International Journal of Biochemistry & Cell Biology (2012). WB ; Human. PubMed:23246486 [IF=2.80] Yang, J. H., et al. "Long-term persistent infection of HPV 16 E6 up-regulate SP1 and hTERT by inhibiting LKB1 in lung cancer cells." PloS one 12.8 (2017): e0182775. WB ; Human. PubMed:28813465 |
| 规格价格 | 50ul/780元 购买 100ul/1380元 购买 200ul/2200元 购买 大包装/询价 |
| 说 明 书 | 50ul 100ul 200ul |
| 研究领域 | 肿瘤 细胞生物 发育生物学 神经生物学 信号转导 干细胞 生长因子和激素 转录调节因子 锌指蛋白 表观遗传学 |
| 抗体来源 | Rabbit |
| 克隆类型 | Polyclonal |
| 交叉反应 | Human, Mouse, Rat, Chicken, Dog, Pig, Cow, Sheep, |
| 产品应用 | WB=1:500-2000 ELISA=1:500-1000 IHC-P=1:400-800 IHC-F=1:400-800 Flow-Cyt=1ug/Test IF=1:100-500 (石蜡切片需做抗原修复) not yet tested in other applications. optimal dilutions/concentrations should be determined by the end user. |
| 分 子 量 | 81kDa |
| 细胞定位 | 细胞核 细胞浆 |
| 性 状 | Lyophilized or Liquid |
| 浓 度 | 1mg/ml |
| 免 疫 原 | KLH conjugated synthetic peptide derived from human TSFP1:701-785/785 |
| 亚 型 | IgG |
| 纯化方法 | affinity purified by Protein A |
| 储 存 液 | 0.01M TBS(pH7.4) with 1% BSA, 0.03% Proclin300 and 50% Glycerol. |
| 保存条件 | Store at -20 °C for one year. Avoid repeated freeze/thaw cycles. The lyophilized antibody is stable at room temperature for at least one month and for greater than a year when kept at -20°C. When reconstituted in sterile pH 7.4 0.01M PBS or diluent of antibody the antibody is stable for at least two weeks at 2-4 °C. |
| PubMed | PubMed |
| 产品介绍 | background: Profound changes in patterns of gene expression can result from relatively small changes in the concentrations of sequence specific transcription factors. Synergistic interaction between factors bound to different sites within a transcriptional control region is supported by the work of Courey et al. (1989). Sp1 is a sequence specific transcription factor that recognizes GGGGCGGGGC and closely related sequences, which are often referred to as GC boxes. Sp1 binds to GC box promoters elements and selectively activates mRNA synthesis from genes that contain functional recognition sites. SP1 can interact with G/C rich motifs from serotonin receptor promoter. Kadonaga et al. (1987) cloned the human Sp1 cDNA and showed that it has contiguous zinc finger motifs and requires zinc for sequence specific binding to DNA. Altername:Sp1 transcription factor isoform a; TSFP1; TSFP 1; Specificity protein 1; Transcription factor Sp1. Function: Transcription factor that can activate or repress transcription in response to physiological and pathological stimuli. Binds with high affinity to GC-rich motifs and regulates the expression of a large number of genes involved in a variety of processes such as cell growth, apoptosis, differentiation and immune responses. Highly regulated by post-translational modifications (phosphorylations, sumoylation, proteolytic cleavage, glycosylation and acetylation). Binds also the PDGFR-alpha G-box promoter. May have a role in modulating the cellular response to DNA damage. Implicated in chromatin remodeling. Plays a role in the recruitment of SMARCA4/BRG1 on the c-FOS promoter. Plays an essential role in the regulation of FE65 gene expression. In complex with ATF7IP, maintains telomerase activity in cancer cells by inducing TERT and TERC gene expression. Subunit: Interacts with ATF7IP, ATF7IP2, BAHD1, POGZ, HCFC1, AATF and PHC2. Interacts with varicella-zoster virus IE62 protein. Interacts with HIV-1 Vpr; the interaction is inhibited by SP1 O-glycosylation. Interacts with SV40 VP2/3 proteins. Interacts with SV40 major capsid protein VP1; this interaction leads to a cooperativity between the 2 proteins in DNA binding. Interacts with HLTF; the interaction may be required for basal transcriptional activity of HLTF. Interacts (deacetylated form) with EP300; the interaction enhances gene expression. Interacts with HDAC1 and JUN. Interacts with ELF1; the interaction is inhibited by glycosylation of SP1. Interaction with NFYA; the interaction is inhibited by glycosylation of SP1. Interacts with SMARCA4/BRG1. Interacts with ATF7IP and TBP. Interacts with MEIS2 isoform 4 and PBX1 isoform PBX1a. Subcellular Location: Nucleus. Cytoplasm. Nuclear location is governed by glycosylated/phosphorylated states. Insulin promotes nuclear location, while glucagon favors cytoplasmic location. Tissue Specificity: Up-regulated in adenocarcinomas of the stomach (at protein level). Post-translational modifications: Phosphorylated on multiple serine and threonine residues. Phosphorylation is coupled to ubiquitination, sumoylation and proteolytic processing. Phosphorylation on Ser-59 enhances proteolytic cleavage. Phosphorylation on Ser-7 enhances ubiquitination and protein degradation. Hyperphosphorylation on Ser-101 in response to DNA damage has no effect on transcriptional activity. MAPK1/MAPK3-mediated phosphorylation on Thr-453 and Thr-739 enhances VEGF transcription but, represses FGF2-triggered PDGFR-alpha transcription. Also implicated in the repression of RECK by ERBB2. Hyperphosphorylated on Thr-278 and Thr-739 during mitosis by MAPK8 shielding SP1 from degradation by the ubiquitin-dependent pathway. Phosphorylated in the zinc-finger domain by calmodulin-activated PKCzeta. Phosphorylation on Ser-641 by PKCzeta is critical for TSA-activated LHR gene expression through release of its repressor, p107. Phosphorylation on Thr-668, Ser-670 and Thr-681 is stimulated by angiotensin II via the AT1 receptor inducing increased binding to the PDGF-D promoter. This phosphorylation is increased in injured artey wall. Ser-59 and Thr-681 can both be dephosphorylated by PP2A during cell-cycle interphase. Dephosphorylation on Ser-59 leads to increased chromatin association during interphase and increases the transcriptional activity. On insulin stimulation, sequentially glycosylated and phosphorylated on several C-terminal serine and threonine residues. Acetylated. Acetylation/deacetylation events affect transcriptional activity. Deacetylation leads to an increase in the expression the 12(s)-lipooxygenase gene though recruitment of p300 to the promoter. Ubiquitinated. Ubiquitination occurs on the C-terminal proteolytically-cleaved peptide and is triggered by phosphorylation. Sumoylated with SUMO1. Sumoylation modulates proteolytic cleavage of the N-terminal repressor domain. Sumoylation levels are attenuated during tumorigenesis. Phosphorylation mediates SP1 desumoylation. Proteolytic cleavage in the N-terminal repressor domain is prevented by sumoylation. The C-terminal cleaved product is susceptible to degradation. O-glycosylated; Contains 8 N-acetylglucosamine side chains. Levels are controlled by insulin and the SP1 phosphorylation states. Insulin-mediated O-glycosylation locates SP1 to the nucleus, where it is sequentially deglycosylated and phosphorylated. O-glycosylation affects transcriptional activity through disrupting the interaction with a number of transcription factors including ELF1 and NFYA. Also inhibits interaction with the HIV1 promoter. Inhibited by peroxisomome proliferator receptor gamma (PPARgamma). Similarity: Belongs to the Sp1 C2H2-type zinc-finger protein family. Contains 3 C2H2-type zinc fingers. SWISS: P08047 Gene ID: 6667 Database links: Entrez Gene: 6667 Human Entrez Gene: 395303 Chicken Entrez Gene: 540741 Cow Entrez Gene: 20683 Mouse Entrez Gene: 397314 Pig Entrez Gene: 24790 Rat Important Note: This product as supplied is intended for research use only, not for use in human, therapeutic or diagnostic applications. |
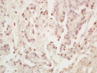
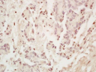
| 产品图片 | ![]() Sample: A549(Human) Cell Lysate at 30 ug Primary: Anti-SP1 (bs-0975R) at 1/300 dilution Secondary: IRDye800CW Goat Anti-Rabbit IgG at 1/20000 dilution Predicted band size: 81 kD Observed band size: 111 kD ![]() Paraformaldehyde-fixed, paraffin embedded (Human stomach cancer); Antigen retrieval by boiling in sodium citrate buffer (pH6.0) for 15min; Block endogenous peroxidase by 3% hydrogen peroxide for 20 minutes; Blocking buffer (normal goat serum) at 37°C for 30min; Antibody incubation with (TSFP1) Polyclonal Antibody, Unconjugated (bs-0975R) at 1:200 overnight at 4°C, followed by operating according to SP Kit(Rabbit) (sp-0023) instructionsand DAB staining. ![]() Blank control (Black line):Molt4 (Black). Primary Antibody (green line): Rabbit Anti-SP1 antibody (bs-0975R) Dilution: 1μg /10^6 cells; Isotype Control Antibody (orange line): Rabbit IgG . Secondary Antibody (white blue line): Goat anti-rabbit IgG-AF647 Dilution: 1μg /test. Protocol The cells were fixed with 4% PFA (10min at room temperature)and then permeabilized with 90% ice-cold methanol for 20 min at room temperature. The cells were then incubated in 5%BSA to block non-specific protein-protein interactions for 30 min at room temperature .Cells stained with Primary Antibody for 30 min at room temperature. The secondary antibody used for 40 min at room temperature. Acquisition of 20,000 events was performed. |
风险提示:丁香通仅作为第三方平台,为商家信息发布提供平台空间。用户咨询产品时请注意保护个人信息及财产安全,合理判断,谨慎选购商品,商家和用户对交易行为负责。对于医疗器械类产品,请先查证核实企业经营资质和医疗器械产品注册证情况。
文献和实验wuyf 我想看转录因子sp1对我的目的基因的表达是不是有影响,我用sp1siRNA转染细胞,发现与对照细胞相比,细胞内总RNA量减少。sp1siRNA转染细胞大家有做过的吗? freecell 同样结果重复了几次么?做了几个剂量?每个剂量做了几个重复? ffyy8888 :D因为转染了一些东西进去,或多或少会对细胞状态有影响的,你只要将对照做全,就可以呀,怕啥,多做几组对照
An Efficient Way of Studying ProteinProtein Interactions Involving HIF-, c-Myc, and Sp1
of mechanisms of cellular processes in biology and diseases. The hypoxia-inducible transcription factor HIF-1α possesses a non-transcriptional activity that competes with c-Myc for Sp1 binding, whereas its isoform HIF-2α lacks Sp1-binding activity
Generation of Antibody Molecules Through Antibody Engineering
been overcome to a large extent using genetic-engineering techniques to produce chimeric mouse/human and completely human antibodies. Such an approach is particularly suitable because of the domain structure of the antibody molecule ( 2 ), where functional
技术资料暂无技术资料 索取技术资料














