相关产品推荐更多 >
万千商家帮你免费找货
0 人在求购买到急需产品
- 详细信息
- 文献和实验
- 技术资料
- 供应商:
上海康朗生物科技有限公司
- 库存:
大量
- 目录编号:
kl-0771R
- 克隆性:
多克隆
- 抗原来源:
Rabbit
- 保质期:
12个月
- 抗体英文名:
CaMK2 alpha antibody
- 抗体名:
钙/钙调素依赖蛋白激酶2α抗体
- 宿主:
Rabbit
- 适应物种:
Human, Mouse, Rat,
- 免疫原:
KLH conjugated synthetic peptide derived from human CaMK2 alpha:101-200/478
- 亚型:
IgG
- 形态:
冻干粉或液体
- 应用范围:
WB=1:500-2000 ELISA=1:500-1000 IHC-P=1:400-800
- 浓度:
1mg/ml
- 保存条件:
-20 °C
- 规格:
50ul 100ul 200ul
| 中文名称 | 钙/钙调素依赖蛋白激酶2α抗体 |
| 别 名 | alpha CaMKII; Calcium / Calmodulin Dependent Protein Kinase II G; Calcium calmodulin dependent protein kinase CaM kinase II alpha; Calcium calmodulin dependent protein kinase II alpha-B subunit; Calcium calmodulin dependent protein kinase II; Calcium/calmodulin dependent protein kinase II alpha; Calcium/calmodulin-dependent protein kinase (CaM kinase) II alpha; Calcium/calmodulin-dependent protein kinase II alpha; Calcium/calmodulin-dependent protein kinase II-alpha; Calcium/calmodulin-dependent protein kinase type II subunit alpha; Calcium/calmodulin-dependent protein kinase type IIA; CaM kinase II alpha chain; CaM kinase II alpha subunit; CaM kinase II beta chain; CaM kinase II beta subunit; CaM kinase II delta chain; CaM kinase II delta subunit; CaM kinase II subunit alpha; CAM2; CaMK II alpha subunit; CaMK II beta subunit; CaMK II delta subunit; CaMK-II subunit alpha; CAMK2A; CAMK2B; CAMK2D; CAMKA; CAMKB; CaMKII; CaMK 2a; CaMK2a; KCC2A_HUMAN. |
| 规格价格 | 50ul/780元 购买 100ul/1380元 购买 200ul/2200元 购买 大包装/询价 |
| 说 明 书 | 50ul 100ul 200ul |
| 研究领域 | 肿瘤 心血管 细胞生物 神经生物学 信号转导 激酶和磷酸酶 新陈代谢 |
| 抗体来源 | Rabbit |
| 克隆类型 | Polyclonal |
| 交叉反应 | Human, Mouse, Rat, |
| 产品应用 | WB=1:500-2000 ELISA=1:500-1000 IHC-P=1:400-800 (石蜡切片需做抗原修复) not yet tested in other applications. optimal dilutions/concentrations should be determined by the end user. |
| 分 子 量 | 54kDa |
| 细胞定位 | 细胞浆 细胞膜 |
| 性 状 | Lyophilized or Liquid |
| 浓 度 | 1mg/ml |
| 免 疫 原 | KLH conjugated synthetic peptide derived from human CaMK2 alpha:101-200/478 |
| 亚 型 | IgG |
| 纯化方法 | affinity purified by Protein A |
| 储 存 液 | 0.01M TBS(pH7.4) with 1% BSA, 0.03% Proclin300 and 50% Glycerol. |
| 保存条件 | Store at -20 °C for one year. Avoid repeated freeze/thaw cycles. The lyophilized antibody is stable at room temperature for at least one month and for greater than a year when kept at -20°C. When reconstituted in sterile pH 7.4 0.01M PBS or diluent of antibody the antibody is stable for at least two weeks at 2-4 °C. |
| PubMed | PubMed |
| 产品介绍 | background: Ca2+/CalmodulinDependent Protein Kinase II (CaM Kinase II) is a multifunctional calcium and calmodulindependent protein kinase that mediates cellular responses to a wide variety of intercellular signals. CaM Kinase II has been shown to regulate diverse cellular functions including synaptic plasticity, neurotransmitter synthesis and release, gene expression, ion channel function, carbohydrate metabolism, cytoskeletal function, and Ca2+homeostasis. Phosphorylation of Thr286 on the kinase produces an autonomously active form of CaM Kinase II. Autophosphorylation of Thr305 inhibits the activity CaM Kinase II. Phosphorylation at this site appears to reduce the association of CaM Kinase II with the PSD and reduce LTP and learning. Function: CaM-kinase II (CAMK2) is a prominent kinase in the central nervous system that may function in long-term potentiation and neurotransmitter release. Member of the NMDAR signaling complex in excitatory synapses it may regulate NMDAR-dependent potentiation of the AMPAR and synaptic plasticity. Subunit: CAMK2 is composed of four different chains: alpha, beta, gamma, and delta. The different isoforms assemble into homo- or heteromultimeric holoenzymes composed of 8 to 12 subunits. Interacts with BAALC, MPDZ, SYN1, CAMK2N2 and SYNGAP1 Subcellular Location: Cell junction, synapse, presynaptic cell membrane. Cell junction, synapse. Note=Postsynaptic lipid rafts. Similarity: Belongs to the protein kinase superfamily. CAMK Ser/Thr protein kinase family. CaMK subfamily. Contains 1 protein kinase domain. SWISS: Q9NZ42 Gene ID: 815 Database links: Entrez Gene: 282162 Cow Entrez Gene: 525416 Cow Entrez Gene: 530719 Cow Entrez Gene: 532713 Cow Entrez Gene: 815 Human Entrez Gene: 816 Human Entrez Gene: 817 Human Entrez Gene: 818 Human Entrez Gene: 108058 Mouse Entrez Gene: 12322 Mouse Entrez Gene: 12323 Mouse Entrez Gene: 12325 Mouse Entrez Gene: 171140 Rat Entrez Gene: 24245 Rat Entrez Gene: 24246 Rat Entrez Gene: 25400 Rat Omim: 114078 Human SwissProt: Q2HJF7 Cow SwissProt: Q3MHJ9 Cow SwissProt: Q13554 Human SwissProt: Q13555 Human SwissProt: Q13557 Human SwissProt: Q9UQM7 Human SwissProt: P11798 Mouse SwissProt: P28652 Mouse SwissProt: Q6PHZ2 Mouse SwissProt: Q923T9 Mouse SwissProt: P08413 Rat SwissProt: P11275 Rat SwissProt: P11730 Rat SwissProt: P15791 Rat Unigene: 725992 Human Unigene: 131530 Mouse Unigene: 107499 Rat Important Note: This product as supplied is intended for research use only, not for use in human, therapeutic or diagnostic applications. |
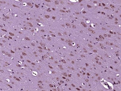
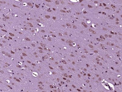
| 产品图片 | ![]() Sample: Heart (Mouse) Lysate at 40 ug Primary: Anti-CaMK2 alpha (bs-0771R) at 1/300 dilution Secondary: IRDye800CW Goat Anti-Rabbit IgG at 1/20000 dilution Predicted band size: 54 kD Observed band size: 54 kD ![]() Paraformaldehyde-fixed, paraffin embedded (Rat brain); Antigen retrieval by boiling in sodium citrate buffer (pH6.0) for 15min; Block endogenous peroxidase by 3% hydrogen peroxide for 20 minutes; Blocking buffer (normal goat serum) at 37°C for 30min; Antibody incubation with (CaMK2 alpha) Polyclonal Antibody, Unconjugated (bs-0771R) at 1:400 overnight at 4°C, followed by operating according to SP Kit(Rabbit) (sp-0023) instructionsand DAB staining. |
风险提示:丁香通仅作为第三方平台,为商家信息发布提供平台空间。用户咨询产品时请注意保护个人信息及财产安全,合理判断,谨慎选购商品,商家和用户对交易行为负责。对于医疗器械类产品,请先查证核实企业经营资质和医疗器械产品注册证情况。
文献和实验In situ hybridisation to alpha satellite sequences (chromosome specific)
Alpha satellite sequences, whilst highly repetitive, are specific to each individual chromosome. These sequences flank the centromeres and can present a target measured in megabases. In this protocol a biotin or digoxigenin labelled DNA
marrow. The prime suspect: an adhesion molecule called alpha2 integrin. The molecule showed increased expression on memory cells, and its ligand is predominantly expressed in bone marrow tissue. Also, when the researchers blocked alpha2 integrin
domesticus x Mus spretus] F1 DNA). In the analysis of the antibody bound (B) and unbound (U) fractions (right panel), the bands representing the maternal and paternal alleles are indicated.MATERIALS Reagents100-bp DNA step ladder (for duplex PCR
技术资料暂无技术资料 索取技术资料












