相关产品推荐更多 >
万千商家帮你免费找货
0 人在求购买到急需产品
- 详细信息
- 询价记录
- 文献和实验
- 技术资料
- 供应商:
上海康朗生物科技有限公司
- 库存:
大量
- 目录编号:
kl-0495R
- 克隆性:
多克隆
- 抗原来源:
Rabbit
- 保质期:
12个月
- 抗体英文名:
Selenoprotein W antibody
- 抗体名:
硒蛋白W抗体
- 宿主:
Rabbit
- 适应物种:
Human, Mouse, Rat, Sheep,
- 免疫原:
KLH conjugated synthetic peptide derived from mouse Selenoprotein W:13-88/88
- 亚型:
IgG
- 形态:
冻干粉或液体
- 应用范围:
ELISA=1:500-1000 IHC-P=1:400-800 IHC-F=1:400-800 IF=1:100-500
- 浓度:
1mg/ml
- 保存条件:
-20 °C
- 规格:
100ul 200ul
| 中文名称 | 硒蛋白W抗体 |
| 别 名 | MGC105482; SelW; SEPW1; Selenoprotein W; SELW_RAT; SELW_HUMAN. |
| 规格价格 | 100ul/1380元 购买 200ul/2200元 购买 大包装/询价 |
| 说 明 书 | 100ul 200ul |
| 研究领域 | |
| 抗体来源 | Rabbit |
| 克隆类型 | Polyclonal |
| 交叉反应 | Human, Mouse, Rat, Sheep, |
| 产品应用 | ELISA=1:500-1000 IHC-P=1:400-800 IHC-F=1:400-800 IF=1:100-500 (石蜡切片需做抗原修复) not yet tested in other applications. optimal dilutions/concentrations should be determined by the end user. |
| 分 子 量 | 9.5kDa |
| 性 状 | Lyophilized or Liquid |
| 浓 度 | 1mg/ml |
| 免 疫 原 | KLH conjugated synthetic peptide derived from mouse Selenoprotein W:13-88/88 |
| 亚 型 | IgG |
| 纯化方法 | affinity purified by Protein A |
| 储 存 液 | 0.01M TBS(pH7.4) with 1% BSA, 0.03% Proclin300 and 50% Glycerol. |
| 保存条件 | Store at -20 °C for one year. Avoid repeated freeze/thaw cycles. The lyophilized antibody is stable at room temperature for at least one month and for greater than a year when kept at -20°C. When reconstituted in sterile pH 7.4 0.01M PBS or diluent of antibody the antibody is stable for at least two weeks at 2-4 °C. |
| PubMed | PubMed |
| 产品介绍 | background: This gene encodes a selenoprotein containing a selenocysteine (Sec) residue, which is encoded by the UGA codon that normally signals translation termination. The 3' UTRs of selenoprotein mRNAs contain a conserved stem-loop structure, the Sec insertion sequence (SECIS) element that is necessary for the recognition of UGA as a Sec codon rather than as a stop signal. This protein is highly expressed in skeletal muscle and brain. It belongs to the SelWTH family, which possesses a thioredoxin-like fold and a conserved CxxU (C is cysteine, U is Sec) motif, suggesting a redox function for this gene. Studies in mouse show that this selenoprotein is involved in muscle growth and differentiation, and in the protection of neurons from oxidative stress during neuronal development. A pseudogene for this locus has been identified on chromosome 10. [provided by RefSeq, May 2017]. Function: Plays a role as a glutathione (GSH)-dependent antioxidant. May be involved in a redox-related process. May play a role in the myopathies of selenium deficiency. Subunit: Interacts with DPYSL2, PRDX1, YWHAB, YWHAG, HSP70 and HSP90. Subcellular Location: Cytoplasm. Tissue Specificity: Ubiquitously expressed with highest levels in skeletal muscle and heart, moderate levels in brain, spinal cord, thyroid, spleen, prostate, ovary, small intestine and colon, and lowest levels in liver and lymph node. Similarity: Belongs to the SelWTH family. SELW subfamily. SWISS: P63300 Gene ID: 20364 Database links:
Important Note: This product as supplied is intended for research use only, not for use in human, therapeutic or diagnostic applications. 硒蛋白-W(selenoprotein W)和一种存在于多种组织中的18ku硒蛋白P(18ku selenoprotein)。它们具有防止膜结构及生物大分子的氧化损伤;合成并调节DNA表达;促进精子生成、发育及维持其活力;保护内皮细胞和维护肌肉组织的正常功能等广泛的生理作用。该蛋白与人、羊有部分交叉。 |
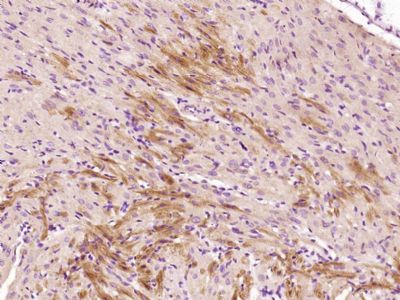
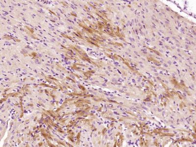
| 产品图片 | ![]() Paraformaldehyde-fixed, paraffin embedded (Rat heart); Antigen retrieval by boiling in sodium citrate buffer (pH6.0) for 15min; Block endogenous peroxidase by 3% hydrogen peroxide for 20 minutes; Blocking buffer (normal goat serum) at 37°C for 30min; Antibody incubation with (Selenoprotein W) Polyclonal Antibody, Unconjugated (bs-0495R) at 1:500 overnight at 4°C, followed by a conjugated secondary (sp-0023) for 20 minutes and DAB staining. |
风险提示:丁香通仅作为第三方平台,为商家信息发布提供平台空间。用户咨询产品时请注意保护个人信息及财产安全,合理判断,谨慎选购商品,商家和用户对交易行为负责。对于医疗器械类产品,请先查证核实企业经营资质和医疗器械产品注册证情况。
- 作者
- 内容
- 询问日期
文献和实验指含有硒的蛋白质。多以硒代胱氨酸(以硒取代硫)的形态存在。已知的有动物红细胞的谷胱甘肽过氧化物酶(分子量 7.6万— 9.2万, 1分子对 4分子)、牛、羊肌的肉蛋白质(分子量 1万, 1分子)、鼠精子尾部的蛋白质(分子量 1.5万, 1分子)等。但硒的功能尚不清楚。厌氧性细菌梭菌属( Clostridium)的甘氨酸还原酶、乙酰 CoA乙酰基转移酶、黄嘌呤脱氢酶等,大肠埃希氏菌( E. coli)、甲烷细菌和梭菌属的甲酸脱氢酶中有硒与 Fe, Mo或与 W一起存在。因氢硒
How Do I make an Antibody against a Peptides
hemocyanin (KLH), which is isolated from the giant sea mollusc Megathura crenulata, is one of the most popular carrier proteins used to create an immunogen for injection. KLH induces a strong antibody response because of its large mass (>106 M.W
make an Antibody against a Peptides
. KLH induces a strong antibody response because of its large mass (>10 6 M.W.) and because it is a non-mammalian protein. Pierce recently introduced mariculture KLH (mcKLH), a product that is less damaging to marine aquatic environments
技术资料暂无技术资料 索取技术资料











