相关产品推荐更多 >
万千商家帮你免费找货
0 人在求购买到急需产品
- 详细信息
- 文献和实验
- 技术资料
- 供应商:
上海康朗生物科技有限公司
- 库存:
大量
- 目录编号:
kl-0200R
- 克隆性:
多克隆
- 抗原来源:
Rabbit
- 保质期:
12个月
- 抗体英文名:
PACAP-38 antibody
- 抗体名:
腺苷酸环化酶激活肽-38抗体
- 宿主:
Rabbit
- 适应物种:
Human, Mouse, Rat, Pig, Cow, Sheep,
- 免疫原:
KLH conjugated synthetic peptide derived from human PACAP-38:31-38/176
- 亚型:
IgG
- 形态:
冻干粉或液体
- 应用范围:
ELISA=1:500-1000 IHC-P=1:400-800 IHC-F=1:400-800 IF=1:100-500
- 浓度:
1mg/ml
- 保存条件:
-20 °C
- 规格:
50ul 100ul 200ul
| 中文名称 | 腺苷酸环化酶激活肽-38抗体 |
| 别 名 | HSPC190; Proapoptotic Caspase Adaptor Protein; PACAP; pERp1; Plasma cell-induced ER protein 1; Plasma cell-induced resident endoplasmic reticulum protein; Plasma cell-induced resident ER protein; Proapoptotic caspase adapter protein; pituitary adenylate cyclase activating polypeptide; PRP-48; Pituitary adenylate cyclase-activating polypeptide 27; PACAP-related peptide; PACAP27; PACAP-27; Pituitary adenylate cyclase-activating polypeptide 38; Pituitary adenylate cyclase-activating polypeptide 38; PACAP38; PACA_HUMAN. |
| 规格价格 | 50ul/780元 购买 100ul/1380元 购买 200ul/2200元 购买 大包装/询价 |
| 说 明 书 | 50ul 100ul 200ul |
| 研究领域 | 细胞生物 神经生物学 激酶和磷酸酶 |
| 抗体来源 | Rabbit |
| 克隆类型 | Polyclonal |
| 交叉反应 | Human, Mouse, Rat, Pig, Cow, Sheep, |
| 产品应用 | ELISA=1:500-1000 IHC-P=1:400-800 IHC-F=1:400-800 IF=1:100-500 (石蜡切片需做抗原修复) not yet tested in other applications. optimal dilutions/concentrations should be determined by the end user. |
| 分 子 量 | 5kDa |
| 性 状 | Lyophilized or Liquid |
| 浓 度 | 1mg/ml |
| 免 疫 原 | KLH conjugated synthetic peptide derived from human PACAP-38:31-38/176 |
| 亚 型 | IgG |
| 纯化方法 | affinity purified by Protein A |
| 储 存 液 | 0.01M TBS(pH7.4) with 1% BSA, 0.03% Proclin300 and 50% Glycerol. |
| 保存条件 | Store at -20 °C for one year. Avoid repeated freeze/thaw cycles. The lyophilized antibody is stable at room temperature for at least one month and for greater than a year when kept at -20°C. When reconstituted in sterile pH 7.4 0.01M PBS or diluent of antibody the antibody is stable for at least two weeks at 2-4 °C. |
| PubMed | PubMed |
| 产品介绍 | background: Pituitary adenylate cyslase Activating polypeptide-27/38, PACAP-27/38 is a neuropeptide that has substantial sequence homology to vasoactive intestinal peptide (VIP).Both VIPand PACAP-38are equipotent at the VCAP-2 receptor, while PAC AP -38 is equipotent to PACAP-27 and more potent than VIP at the PAC-1receptor. The function of PACAP is Stimulates adenylate cyclase in pituitary cells. It belongs to the glucagon family. Function: Binding to its receptor activates G proteins and stimulates adenylate cyclase in pituitary cells. Subunit: Interacts with ADCYAP1R1 (via N-terminal extracellular domain). Subcellular Location: Secreted. Similarity: Belongs to the glucagon family. SWISS: P18509 Gene ID: 116 Database links: Entrez Gene: 116 Human Entrez Gene: 11516 Mouse Entrez Gene: 414283 Pig Entrez Gene: 24166 Rat Omim: 102980 Human SwissProt: P18509 Human SwissProt: O70176 Mouse SwissProt: P41535 Pig SwissProt: P13589 Rat Unigene: 531719 Human Unigene: 727476 Human Unigene: 3407 Mouse Unigene: 37400 Rat Important Note: This product as supplied is intended for research use only, not for use in human, therapeutic or diagnostic applications. 腺苷酸环化酶激活肽是一种可激活垂体腺苷酸环化酶的多肽,有PACAP-27和 PACAP-38两种形式,他们共同具有N端27个氨基酸,属于PACAP/glucagon超级家族。在中枢神经系统分布广泛,其中以下丘脑含量最高。 |
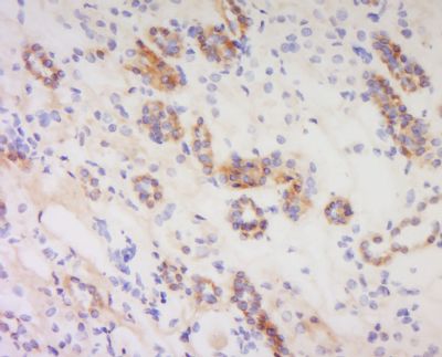
| 产品图片 | ![]() Tissue/cell: human kidney tissue; 4% Paraformaldehyde-fixed and paraffin-embedded; Antigen retrieval: citrate buffer ( 0.01M, pH 6.0 ), Boiling bathing for 15min; Block endogenous peroxidase by 3% Hydrogen peroxide for 30min; Blocking buffer (normal goat serum,C-0005) at 37℃ for 20 min; Incubation: Anti-PACPA Polyclonal Antibody, Unconjugated(bs-0200R) 1:200, overnight at 4°C, followed by conjugation to the secondary antibody(SP-0023) and DAB(C-0010) staining Tissue/cell: rat brain tissue; 4% Paraformaldehyde-fixed and paraffin-embedded; Antigen retrieval: citrate buffer ( 0.01M, pH 6.0 ), Boiling bathing for 15min; Block endogenous peroxidase by 3% Hydrogen peroxide for 30min; Blocking buffer (normal goat serum,C-0005) at 37℃ for 20 min; Incubation: Anti-PACAP-38 Polyclonal Antibody, Unconjugated(bs-0200R) 1:200, overnight at 4°C, followed by conjugation to the secondary antibody(SP-0023) and DAB(C-0010) staining Tissue/cell: mouse small intestine tissue;4% Paraformaldehyde-fixed and paraffin-embedded; Antigen retrieval: citrate buffer ( 0.01M, pH 6.0 ), Boiling bathing for 15min; Blocking buffer (normal goat serum,C-0005) at 37℃ for 20 min; Incubation: Anti-PACAP-38 Polyclonal Antibody, Unconjugated(bs-0200R) 1:200, overnight at 4°C; The secondary antibody was Goat Anti-Rabbit IgG, Cy3 conjugated(bs-0295G-Cy3)used at 1:200 dilution for 40 minutes at 37°C. DAPI(5ug/ml,blue,C-0033) was used to stain the cell nuclei |
风险提示:丁香通仅作为第三方平台,为商家信息发布提供平台空间。用户咨询产品时请注意保护个人信息及财产安全,合理判断,谨慎选购商品,商家和用户对交易行为负责。对于医疗器械类产品,请先查证核实企业经营资质和医疗器械产品注册证情况。
文献和实验【求助】测试p38功能变化仅测磷酸化的P38就可以了,为何还要测总P38呢?
伽利略 我一直都不太明白,请达人解释下,谢谢 bigbang_0_0 蛋白质功能上的变化包括质变和量变两种,所以要检测总的p32蛋白水平。 George2 测总P38是为了了解P38的表达背景,以估测激活的P38占总量的比例。 伽利略 我是这样想的,请问有何问题 P38磷酸化水平若增高不论是否P38总量变化,都能说明P38活跃或者激活,不测P38
yzzaici888 大家好,本人最近一直在做p-p38的磷酸化,但是一直都做不好。希望各位大侠帮助解决: 蛋白上样量80-100ug,半干转膜70min,5%BSA封闭70min,一抗CST(#9211) 1:500加,4℃孵育过夜,二抗1:8000加室温70min。曝光出的结果很不好,杂带很多,也分析不出那条是目的条带,且没有趋势,见下图 15001046419
内寿命这一概念。 WI38细胞是有限传代性人的二倍体成纤细胞系的代表,显有约 55PDL的寿命(参见细胞集团倍化数),作为标准株,应用于各种研究。也就是说,此有限增殖能力,可认为是正常的多细胞生物增殖性体细胞老化的试管内模型,广泛应用于细胞老化的研究。另外,作为正常细胞在癌研究中用作对照,或用作致癌研究的材料,因它对人所能感染的病毒有广泛的感受性,所以在感冒病毒( Rhimovirus)的分离,制作脊髓灰质炎疫苗及其他疫苗等方面都有用。
技术资料暂无技术资料 索取技术资料









