相关产品推荐更多 >
万千商家帮你免费找货
0 人在求购买到急需产品
- 详细信息
- 文献和实验
- 技术资料
- 供应商:
上海康朗生物科技有限公司
- 库存:
大量
- 目录编号:
kl-0121R
- 克隆性:
多克隆
- 抗原来源:
Rabbit
- 保质期:
12个月
- 抗体英文名:
SYAP1 antibody
- 抗体名:
突触素抗体/突触相关蛋白-1
- 宿主:
Rabbit
- 适应物种:
Human, Mouse, Rat, Chicken, Dog, Pig, Cow, Horse,
- 免疫原:
KLH conjugated synthetic peptide derived from human SAP-1 :151-230/352
- 亚型:
IgG
- 形态:
冻干粉或液体
- 应用范围:
ELISA=1:500-1000 IHC-P=1:400-800 IHC-F=1:400-800 Flow-Cyt=1μg/Test IF=1:100-500
- 浓度:
1mg/ml
- 保存条件:
-20 °C
- 规格:
50ul 100ul 200ul
| 中文名称 | 突触素抗体/突触相关蛋白-1 |
| 别 名 | Synapse associated protein-1; synapse-associated protein 1-like; 2010110O17Rik, AW011796, DKFZp686K221, FLJ14495, FLJ44185, MGC94115, PRO3113, SYAP1; SYAP1_HUMAN; SAP-1. |
![]() |
Specific References (1) | bs-0121R has been referenced in 1 publications. [IF=2.88] Gao, Yuhua, et al. "Isolation and Characterization of Chicken Dermis-Derived Mesenchymal Stem/Progenitor Cells." BioMed Research International 2013 (2013). Chicken. PubMed:23984389 |
| 规格价格 | 50ul/780元 购买 100ul/1380元 购买 200ul/2200元 购买 大包装/询价 |
| 说 明 书 | 50ul 100ul 200ul |
| 研究领域 | 细胞生物 免疫学 神经生物学 信号转导 |
| 抗体来源 | Rabbit |
| 克隆类型 | Polyclonal |
| 交叉反应 | Human, Mouse, Rat, Chicken, Dog, Pig, Cow, Horse, |
| 产品应用 | ELISA=1:500-1000 IHC-P=1:400-800 IHC-F=1:400-800 Flow-Cyt=1μg/Test IF=1:100-500 (石蜡切片需做抗原修复) not yet tested in other applications. optimal dilutions/concentrations should be determined by the end user. |
| 分 子 量 | 40kDa |
| 细胞定位 | 细胞浆 细胞膜 |
| 性 状 | Lyophilized or Liquid |
| 浓 度 | 1mg/ml |
| 免 疫 原 | KLH conjugated synthetic peptide derived from human SAP-1 :151-230/352 |
| 亚 型 | IgG |
| 纯化方法 | affinity purified by Protein A |
| 储 存 液 | 0.01M TBS(pH7.4) with 1% BSA, 0.03% Proclin300 and 50% Glycerol. |
| 保存条件 | Store at -20 °C for one year. Avoid repeated freeze/thaw cycles. The lyophilized antibody is stable at room temperature for at least one month and for greater than a year when kept at -20°C. When reconstituted in sterile pH 7.4 0.01M PBS or diluent of antibody the antibody is stable for at least two weeks at 2-4 °C. |
| PubMed | PubMed |
| 产品介绍 | background: SYAP1 (synapse-associated protein 1) is a 352 amino acid protein that is ubiquitously expressed in adult tissues. SYAP1 contains one BSD domain which is a novel domain that is present in basal transcription factors, synapse-associated proteins and several hypothetical proteins. The BSD domain is characterized by three predicted alpha helices and by conserved tryptophan and phenylalanine residues, located at the C-terminus of the domain. The gene that encodes SYAP1 in humans is located on chromosome X. Chromosome X consists of about 153 million base pairs and nearly 1,000 genes. Color blindness, hemophilia, and Duchenne muscular dystrophy are well known X chromosome-linked conditions which affect males more frequently as males carry a single X chromosome. Similarity: Contains 1 BSD domain. SWISS: Q96A49 Gene ID: 94056 Database links: Entrez Gene: 509355 Cow Entrez Gene: 94056 Human Entrez Gene: 67043 Mouse Entrez Gene: 302678 Rat SwissProt: Q96A49 Human SwissProt: Q9D5V6 Mouse Unigene: 729197 Human Unigene: 44207 Mouse Important Note: This product as supplied is intended for research use only, not for use in human, therapeutic or diagnostic applications. 突触素SAP-1/SYP(Synaptophysin, FRG-4)是分布于突触囊泡膜上含量丰富的糖蛋白之一,与递质释放关系密切,并可影响突触可塑性。突触相关蛋白-1可作为神经元和神经内分泌细胞的可靠标记物用于神经系统形态、功能和发育以及相关疾病的研究。对于SAP-1的功能及其具体作用机制,尚待进一步研究。 |
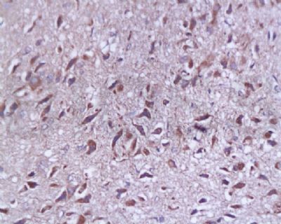
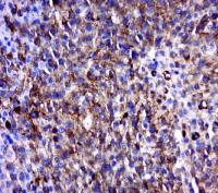
| 产品图片 | ![]() Tissue/cell: rat brain tissue; 4% Paraformaldehyde-fixed and paraffin-embedded; Antigen retrieval: citrate buffer ( 0.01M, pH 6.0 ), Boiling bathing for 15min; Block endogenous peroxidase by 3% Hydrogen peroxide for 30min; Blocking buffer (normal goat serum,C-0005) at 37℃ for 20 min; Incubation: Anti-SYP p38/Synaptophysin/SAP-1 Polyclonal Antibody, Unconjugated(bs-0121R) 1:200, overnight at 4°C, followed by conjugation to the secondary antibody(SP-0023) and DAB(C-0010) staining ![]() Blank control (blue line): Hep G2 (blue). Primary Antibody (green line): Rabbit Anti-SYAP1 antibody (bs-0121R) Dilution: 1μg /10^6 cells; Isotype Control Antibody (orange line): Rabbit IgG . Secondary Antibody (white blue line): Goat anti-rabbit IgG-PE Dilution: 1μg /test. Protocol The cells were fixed with 70% ethanol (Overnight at 4℃) and then permeabilized with 0.1% PBS-Tween for 20 min at room temperature. Cells stained with Primary Antibody for 30 min at room temperature. The cells were then incubated in 1 X PBS/2%BSA/10% goat serum to block non-specific protein-protein interactions followed by the antibody for 15 min at room temperature. The secondary antibody used for 40 min at room temperature. Acquisition of 20,000 events was performed. |
风险提示:丁香通仅作为第三方平台,为商家信息发布提供平台空间。用户咨询产品时请注意保护个人信息及财产安全,合理判断,谨慎选购商品,商家和用户对交易行为负责。对于医疗器械类产品,请先查证核实企业经营资质和医疗器械产品注册证情况。
文献和实验Generation of Antibody Molecules Through Antibody Engineering
been overcome to a large extent using genetic-engineering techniques to produce chimeric mouse/human and completely human antibodies. Such an approach is particularly suitable because of the domain structure of the antibody molecule ( 2 ), where functional
The importance of antibody molecules was first recognized in the 1890s, when it was shown that immunity to tetanus and diphtheria was caused by antibodies against the bacterial exotoxins (1 ). Around the same time, it was shown that antisera
General comments: Antibodies, like most proteins, do not like to be freeze-thawed. Avoid repetitive freezing of your solution. The best way to store your antibody is to keep a high protein concentration (>1 mg/ml), add some protease
技术资料暂无技术资料 索取技术资料












