相关产品推荐更多 >
万千商家帮你免费找货
0 人在求购买到急需产品
- 详细信息
- 技术资料
- 供应商:
上海抚生
- 库存:
23
- 克隆性:
单克隆
- 抗体英文名:
SCN5A rabbit polyclonal antibody
- 抗体名:
polyclonal antibody
- 宿主:
rabbit
- 适应物种:
Human, Mouse, Rat
- 免疫原:
rabbit
- 应用范围:
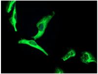
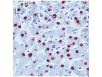
ELISA, IHC
- 规格:
100 ul
SCN5A rabbit polyclonal antibody用途
产品名称: SCN5A rabbit polyclonal antibody用途
反应性物种:Human, Mouse, Rat
测试应用:ELISA, IHC
包装规格:100ul
价格和运输:详情可来电咨询。
SCN5A rabbit polyclonal antibody用途多克隆抗体的概念:
由一种抗原(抗原通常是由多个抗原决定簇组成的)决定簇刺激机体,由一个B淋巴细胞接受该抗原刺激所产生的抗体称之为单克隆抗体。由多种抗原决定簇刺激机体,相应地就产生各种各样的单克隆抗体,这些单克隆抗体混杂在一起就是多克隆抗体;除了抗原决定簇的多样性以外,同样一种抗原决定簇,也可刺激机体产生IgG、IgM、IgA、IgE和IgD等五类抗体。
SCN5A rabbit polyclonal antibody用途抗原准备:
经常使用的抗原有:偶联多肽、偶联的小分子或化合物、天然或重组蛋白等等。
对可溶性抗原而言,为了增强其免疫原性或改变免疫反应的类型、节约抗原等目的,通常采用加佐剂的方法以刺激机体产生较强的免疫应答。
兔子胰岛素样生长因子1(IGF-1)ELISA试剂盒规格:96T/48T
兔子胰岛素样生长因子2(IGF-2)ELISA试剂盒规格:96T/48T
兔子孕激素/孕酮(PROG)ELISA试剂盒规格:96T/48T
兔子脂联素(ADP)ELISA试剂盒规格:96T/48T
兔子中性粒细胞弹性蛋白酶(NE)ELISA试剂盒规格:96T/48T
兔子肿瘤坏死因子α(TNF-α) ELISA试剂盒 规格:96T/48T
兔子肿瘤坏死因子相关凋亡诱导配体3(TRAIL-R3)ELISA试剂盒规格:96T/48T
SCN5A rabbit polyclonal antibody用途Cy7-N-羟基琥珀酰亚胺酯1 mg支
Masson三色染色试剂盒7×50ml盒
Phosphoglucomutase 磷酸葡萄糖变位酶400U瓶
UMP 尿苷酸10g瓶
4×dNTPs(100mM)4×1ml支
anti-Myc Tag Mouse Monoclonal antibody100ul瓶
IgG干粉10mg支
40%丙烯酰胺(37.5:1)500ml瓶
鸡外周血淋巴细胞分离液试剂盒200ml/KIT盒
Cimigenol-3-O-α-L-arabinoside 升麻酮醇-3-O-α-L-拉伯糖苷161207-05-210mg
Phloretin 根皮素60-82-220mg
Ganoderenic acid A 灵芝酸A81907-62-220mg
Cinnamaldehyde 肉桂醛104-55-220mg
Maltose 麦芽糖69-79-420mg
Xylocaine 利多卡因137-58-6100mg
L(+)-Asparagine monohydrate L-天冬酰胺一水5794-13-8200mg
人IgG干粉10mg支
Turpentine oil 松节油100ml瓶
产品名称: SCN5A rabbit polyclonal antibody用途
反应性物种:Human, Mouse, Rat
测试应用:ELISA, IHC
包装规格:100ul
价格和运输:详情可来电咨询。
SCN5A rabbit polyclonal antibody用途多克隆抗体的概念:
由一种抗原(抗原通常是由多个抗原决定簇组成的)决定簇刺激机体,由一个B淋巴细胞接受该抗原刺激所产生的抗体称之为单克隆抗体。由多种抗原决定簇刺激机体,相应地就产生各种各样的单克隆抗体,这些单克隆抗体混杂在一起就是多克隆抗体;除了抗原决定簇的多样性以外,同样一种抗原决定簇,也可刺激机体产生IgG、IgM、IgA、IgE和IgD等五类抗体。
SCN5A rabbit polyclonal antibody用途抗原准备:
经常使用的抗原有:偶联多肽、偶联的小分子或化合物、天然或重组蛋白等等。
对可溶性抗原而言,为了增强其免疫原性或改变免疫反应的类型、节约抗原等目的,通常采用加佐剂的方法以刺激机体产生较强的免疫应答。
兔子胰岛素样生长因子1(IGF-1)ELISA试剂盒规格:96T/48T
兔子胰岛素样生长因子2(IGF-2)ELISA试剂盒规格:96T/48T
兔子孕激素/孕酮(PROG)ELISA试剂盒规格:96T/48T
兔子脂联素(ADP)ELISA试剂盒规格:96T/48T
兔子中性粒细胞弹性蛋白酶(NE)ELISA试剂盒规格:96T/48T
兔子肿瘤坏死因子α(TNF-α) ELISA试剂盒 规格:96T/48T
兔子肿瘤坏死因子相关凋亡诱导配体3(TRAIL-R3)ELISA试剂盒规格:96T/48T
SCN5A rabbit polyclonal antibody用途Cy7-N-羟基琥珀酰亚胺酯1 mg支
Masson三色染色试剂盒7×50ml盒
Phosphoglucomutase 磷酸葡萄糖变位酶400U瓶
UMP 尿苷酸10g瓶
4×dNTPs(100mM)4×1ml支
anti-Myc Tag Mouse Monoclonal antibody100ul瓶
IgG干粉10mg支
40%丙烯酰胺(37.5:1)500ml瓶
鸡外周血淋巴细胞分离液试剂盒200ml/KIT盒
Cimigenol-3-O-α-L-arabinoside 升麻酮醇-3-O-α-L-拉伯糖苷161207-05-210mg
Phloretin 根皮素60-82-220mg
Ganoderenic acid A 灵芝酸A81907-62-220mg
Cinnamaldehyde 肉桂醛104-55-220mg
Maltose 麦芽糖69-79-420mg
Xylocaine 利多卡因137-58-6100mg
L(+)-Asparagine monohydrate L-天冬酰胺一水5794-13-8200mg
人IgG干粉10mg支
Turpentine oil 松节油100ml瓶
风险提示:丁香通仅作为第三方平台,为商家信息发布提供平台空间。用户咨询产品时请注意保护个人信息及财产安全,合理判断,谨慎选购商品,商家和用户对交易行为负责。对于医疗器械类产品,请先查证核实企业经营资质和医疗器械产品注册证情况。
技术资料暂无技术资料 索取技术资料
SCN5A rabbit polyclonal antibody用途
询价









