万千商家帮你免费找货
0 人在求购买到急需产品
- 详细信息
- 技术资料
- 免疫原:
KLH conjugated
- 亚型:
IgG
- 形态:
冻干粉
- 保存条件:
Store at -20 °C for one year
- 克隆性:
多克隆
- 标记物:
见说明书
- 适应物种:
见说明书
- 宿主:
Rabbit
- 应用范围:
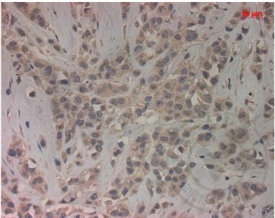
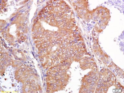
WB=1:500-2000 ELISA=1:500-1000 IHC-P=1:400-800 IHC-F=1:400-800 IF=1:100-500
- 浓度:
1mg/ml
- 靶点:
见说明书
- 抗体英文名:
PALB2
- 抗体名:
乳腺癌易感基因相关蛋白2免疫组化荧光抗体
- 规格:
100ul
英文名称PALB2
中文名称乳腺癌易感基因相关蛋白2
别 名DKFZp667I166; 4732427B05; BC066140; DKFZp686E1054; FANCN; FANCN GENE; FLJ21816; OTTMUSP00000025884; PALB2; partner and localizer of BRCA2; RGD1304759; PALB2_HUMAN.
规格价格50ul/780元 购买 100ul/1380元 购买 200ul/2200元 购买 大包装/询价
说 明 书50ul 100ul 200ul
研究领域肿瘤 神经生物学 信号转导 细胞凋亡
抗体来源Rabbit
克隆类型Polyclonal
交叉反应 Human, Mouse, Rat, Pig, Cow,
产品应用WB=1:500-2000 ELISA=1:500-1000 IHC-P=1:400-800 IHC-F=1:400-800 Flow-Cyt=1μg/Test IF=1:100-500 (石蜡切片需做抗原修复)
not yet tested in other applications.
optimal dilutions/concentrations should be determined by the end user.
分 子 量131kDa
细胞定位细胞核
性 状Lyophilized or Liquid
浓 度1mg/ml
免 疫 原KLH conjugated synthetic peptide derived from human PALB2 C-terminus:1101-1186/1186
亚 型IgG
纯化方法affinity purified by Protein A
储 存 液0.01M TBS(pH7.4) with 1% BSA, 0.03% Proclin300 and 50% Glycerol.
保存条件Store at -20 °C for one year. Avoid repeated freeze/thaw cycles. The lyophilized antibody is stable at room temperature for at least one month and for greater than a year when kept at -20°C. When reconstituted in sterile pH 7.4 0.01M PBS or diluent of antibody the antibody is stable for at least two weeks at 2-4 °C.
PubMedPubMed
产品介绍background:
This gene encodes a protein that may function in tumor suppression. This protein binds to and colocalizes with the breast cancer 2 early onset protein (BRCA2) in nuclear foci and likely permits the stable intranuclear localization and accumulation of BRCA2. Essential partner of BRCA2 that promotes the localization and stability of BRCA2. Also enables its recombinational repair and checkpoint functions of BRCA2. May act by promoting stable association of BRCA2 with nuclear structures, allowing BRCA2 to escape the effects of proteosome-mediated degradation.
Function:
Plays a critical role in homologous recombination repair (HRR) through its ability to recruit BRCA2 and RAD51 to DNA breaks. Serves as the molecular scaffold in the formation of the BRCA1-PALB2-BRCA2 complex which is essential for homologous recombination. Strongly stimulates the DNA strand-invasion activity of RAD51, stabilizes the nucleoprotein filament against a disruptive BRC3-BRC4 polypeptide and helps RAD51 to overcome the suppressive effect of replication protein A (RPA). Functionally cooperates with RAD51AP1 in promoting of D-loop formation by RAD51. Essential partner of BRCA2 that promotes the localization and stability of BRCA2. Also enables its recombinational repair and checkpoint functions of BRCA2. May act by promoting stable association of BRCA2 with nuclear structures, allowing BRCA2 to escape the effects of proteasome-mediated degradation. Binds DNA with high affinity for D loop, which comprises single-stranded, double-stranded and branched DNA structures.
Subunit:
Homooligomer. Oligomerization is essential for its focal accumulation at DNA breaks. Part of a trimeric complex containing BRCA1, BRCA2 and PALB2. Interacts with BRCA1 and this interaction is essential for its function in HRR. Interacts with RAD51, BRCA2, RAD51AP1 and MORF4L1/MRG15.
Subcellular Location:
Nucleus. Note=Colocalizes with BRCA2 in nuclear foci.
DISEASE:
Breast cancer (BC) [MIM:114480]: A common malignancy originating from breast epithelial tissue. Breast neoplasms can be distinguished by their histologic pattern. Invasive ductal carcinoma is by far the most common type. Breast cancer is etiologically and genetically heterogeneous. Important genetic factors have been indicated by familial occurrence and bilateral involvement. Mutations at more than one locus can be involved in different families or even in the same case. Note=Disease susceptibility is associated with variations affecting the gene represented in this entry. Breast cancer susceptibility is strongly associated with PALB2 truncating mutations. Conversely, rare missense mutations do not strongly influence breast cancer risk (PubMed:22241545).
Fanconi anemia complementation group N (FANCN) [MIM:610832]: A disorder affecting all bone marrow elements and resulting in anemia, leukopenia and thrombopenia. It is associated with cardiac, renal and limb malformations, dermal pigmentary changes, and a predisposition to the development of malignancies. At the cellular level it is associated with hypersensitivity to DNA-damaging agents, chromosomal instability (increased chromosome breakage) and defective DNA repair. Note=The disease is caused by mutations affecting the gene represented in this entry.
Pancreatic cancer 3 (PNCA3) [MIM:613348]: A malignant neoplasm of the pancreas. Tumors can arise from both the exocrine and endocrine portions of the pancreas, but 95% of them develop from the exocrine portion, including the ductal epithelium, acinar cells, connective tissue, and lymphatic tissue. Note=The disease is caused by mutations affecting the gene represented in this entry.
Similarity:
Contains 7 WD repeats.
SWISS:
Q86YC2
Gene ID:
79728
Database links:
Entrez Gene: 79728 Human
Entrez Gene: 233826 Mouse
Entrez Gene: 293452 Rat
Omim: 610355 Human
SwissProt: Q86YC2 Human
SwissProt: Q3U0P1 Mouse
Unigene: 444664 Human
Unigene: 38348 Mouse
Unigene: 43638 Rat
Important Note:
This product as supplied is intended for research use only, not for use in human, therapeutic or diagnostic applications.
BRCA1,BRCA2和其他已经确定的易感性基因,只能解释不到一半的乳腺癌已知遗传性易感特征,芬兰科学家对113个有乳腺癌患者的家族进行了研究。他们在3个家族中发现了一种名为PALB2的基因,这种基因出现缺陷与家族成员患乳腺癌关系密切。PALB2基因与BRCA2基因在DNA修复中发生作用,新发现的突变会削弱这一功能。
研究结果表明,PALB2基因出现缺陷使这些家族成员患乳腺癌的危险增加3倍。另外,这一基因出现缺陷也使这些家族的男性成员患前列腺癌的危险增加。
中文名称乳腺癌易感基因相关蛋白2
别 名DKFZp667I166; 4732427B05; BC066140; DKFZp686E1054; FANCN; FANCN GENE; FLJ21816; OTTMUSP00000025884; PALB2; partner and localizer of BRCA2; RGD1304759; PALB2_HUMAN.
规格价格50ul/780元 购买 100ul/1380元 购买 200ul/2200元 购买 大包装/询价
说 明 书50ul 100ul 200ul
研究领域肿瘤 神经生物学 信号转导 细胞凋亡
抗体来源Rabbit
克隆类型Polyclonal
交叉反应 Human, Mouse, Rat, Pig, Cow,
产品应用WB=1:500-2000 ELISA=1:500-1000 IHC-P=1:400-800 IHC-F=1:400-800 Flow-Cyt=1μg/Test IF=1:100-500 (石蜡切片需做抗原修复)
not yet tested in other applications.
optimal dilutions/concentrations should be determined by the end user.
分 子 量131kDa
细胞定位细胞核
性 状Lyophilized or Liquid
浓 度1mg/ml
免 疫 原KLH conjugated synthetic peptide derived from human PALB2 C-terminus:1101-1186/1186
亚 型IgG
纯化方法affinity purified by Protein A
储 存 液0.01M TBS(pH7.4) with 1% BSA, 0.03% Proclin300 and 50% Glycerol.
保存条件Store at -20 °C for one year. Avoid repeated freeze/thaw cycles. The lyophilized antibody is stable at room temperature for at least one month and for greater than a year when kept at -20°C. When reconstituted in sterile pH 7.4 0.01M PBS or diluent of antibody the antibody is stable for at least two weeks at 2-4 °C.
PubMedPubMed
产品介绍background:
This gene encodes a protein that may function in tumor suppression. This protein binds to and colocalizes with the breast cancer 2 early onset protein (BRCA2) in nuclear foci and likely permits the stable intranuclear localization and accumulation of BRCA2. Essential partner of BRCA2 that promotes the localization and stability of BRCA2. Also enables its recombinational repair and checkpoint functions of BRCA2. May act by promoting stable association of BRCA2 with nuclear structures, allowing BRCA2 to escape the effects of proteosome-mediated degradation.
Function:
Plays a critical role in homologous recombination repair (HRR) through its ability to recruit BRCA2 and RAD51 to DNA breaks. Serves as the molecular scaffold in the formation of the BRCA1-PALB2-BRCA2 complex which is essential for homologous recombination. Strongly stimulates the DNA strand-invasion activity of RAD51, stabilizes the nucleoprotein filament against a disruptive BRC3-BRC4 polypeptide and helps RAD51 to overcome the suppressive effect of replication protein A (RPA). Functionally cooperates with RAD51AP1 in promoting of D-loop formation by RAD51. Essential partner of BRCA2 that promotes the localization and stability of BRCA2. Also enables its recombinational repair and checkpoint functions of BRCA2. May act by promoting stable association of BRCA2 with nuclear structures, allowing BRCA2 to escape the effects of proteasome-mediated degradation. Binds DNA with high affinity for D loop, which comprises single-stranded, double-stranded and branched DNA structures.
Subunit:
Homooligomer. Oligomerization is essential for its focal accumulation at DNA breaks. Part of a trimeric complex containing BRCA1, BRCA2 and PALB2. Interacts with BRCA1 and this interaction is essential for its function in HRR. Interacts with RAD51, BRCA2, RAD51AP1 and MORF4L1/MRG15.
Subcellular Location:
Nucleus. Note=Colocalizes with BRCA2 in nuclear foci.
DISEASE:
Breast cancer (BC) [MIM:114480]: A common malignancy originating from breast epithelial tissue. Breast neoplasms can be distinguished by their histologic pattern. Invasive ductal carcinoma is by far the most common type. Breast cancer is etiologically and genetically heterogeneous. Important genetic factors have been indicated by familial occurrence and bilateral involvement. Mutations at more than one locus can be involved in different families or even in the same case. Note=Disease susceptibility is associated with variations affecting the gene represented in this entry. Breast cancer susceptibility is strongly associated with PALB2 truncating mutations. Conversely, rare missense mutations do not strongly influence breast cancer risk (PubMed:22241545).
Fanconi anemia complementation group N (FANCN) [MIM:610832]: A disorder affecting all bone marrow elements and resulting in anemia, leukopenia and thrombopenia. It is associated with cardiac, renal and limb malformations, dermal pigmentary changes, and a predisposition to the development of malignancies. At the cellular level it is associated with hypersensitivity to DNA-damaging agents, chromosomal instability (increased chromosome breakage) and defective DNA repair. Note=The disease is caused by mutations affecting the gene represented in this entry.
Pancreatic cancer 3 (PNCA3) [MIM:613348]: A malignant neoplasm of the pancreas. Tumors can arise from both the exocrine and endocrine portions of the pancreas, but 95% of them develop from the exocrine portion, including the ductal epithelium, acinar cells, connective tissue, and lymphatic tissue. Note=The disease is caused by mutations affecting the gene represented in this entry.
Similarity:
Contains 7 WD repeats.
SWISS:
Q86YC2
Gene ID:
79728
Database links:
Entrez Gene: 79728 Human
Entrez Gene: 233826 Mouse
Entrez Gene: 293452 Rat
Omim: 610355 Human
SwissProt: Q86YC2 Human
SwissProt: Q3U0P1 Mouse
Unigene: 444664 Human
Unigene: 38348 Mouse
Unigene: 43638 Rat
Important Note:
This product as supplied is intended for research use only, not for use in human, therapeutic or diagnostic applications.
BRCA1,BRCA2和其他已经确定的易感性基因,只能解释不到一半的乳腺癌已知遗传性易感特征,芬兰科学家对113个有乳腺癌患者的家族进行了研究。他们在3个家族中发现了一种名为PALB2的基因,这种基因出现缺陷与家族成员患乳腺癌关系密切。PALB2基因与BRCA2基因在DNA修复中发生作用,新发现的突变会削弱这一功能。
研究结果表明,PALB2基因出现缺陷使这些家族成员患乳腺癌的危险增加3倍。另外,这一基因出现缺陷也使这些家族的男性成员患前列腺癌的危险增加。
风险提示:丁香通仅作为第三方平台,为商家信息发布提供平台空间。用户咨询产品时请注意保护个人信息及财产安全,合理判断,谨慎选购商品,商家和用户对交易行为负责。对于医疗器械类产品,请先查证核实企业经营资质和医疗器械产品注册证情况。
PALB2乳腺癌易感基因相关蛋白2
¥1380
















