万千商家帮你免费找货
0 人在求购买到急需产品
- 详细信息
- 询价记录
- 文献和实验
- 技术资料
- 免疫原:
KLH conjugated
- 亚型:
IgG
- 形态:
冻干粉
- 保存条件:
Store at –20 ºC for one year
- 克隆性:
Polyclonal
- 标记物:
辣根过氧化物酶
- 适应物种:
见说明书
- 宿主:
Rabbit
- 应用范围:
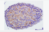
WB=1:1000-10000,Elisa=1:1000-10000,IHC-P=1:100-1000,IHC-F=1:100-1000,IF=1:100-1000,
- 浓度:
2mg/1ml
- 靶点:
见说明书
- 抗体英文名:
Mouse Anti-rabbit IgG/HRP
- 抗体名:
辣根过氧化物酶标记的小鼠抗兔IgG
- 规格:
100ul
一、服务内容
本服务项目主要是根据客户的要求免疫Balb/c小鼠,提取B细胞与SP2/0骨髓瘤细胞融合,制备特异性的鼠单克隆抗体。
1、客户可提供抗原制备鼠源单克隆抗体,抗原可包含:天然蛋白、重组蛋白、细胞或细胞提取液、病毒或病原体、菌种或菌体蛋白、小分子多肽、化合物;其中小分子多肽和化合物等半抗原免疫前需偶联载体蛋白。
2、客户可提供蛋白名称、GeneID、核酸序列、氨基酸序列等信息,我公司根据客户的实验需求设计抗原、合成多肽抗原或表达蛋白抗原,免疫动物制备单克隆抗体。
3、可提供抗体标记、抗体对筛选、试剂盒开发、免疫学检测等增值服务。
FITC标记的兔抗人IgM,产品应用
Western blot、免疫共沉淀、免疫染色及亲和纯化。
上海雅吉生物公司提供的标签抗体为小鼠IgG单克隆抗体,可结合6xHis-, GFP-, GST-, D*-, HA-,及Myc-标记的融合蛋白。本抗体可通过western blots、免疫染色或免疫共沉淀鉴定或获得融合蛋白。这种固化抗体也可以用于对带标签融合蛋白的亲和纯化。搭配多种融合标签可选的ORF表达克隆使用,可获得最佳实验效果。抗标签抗体使用含特异融合标签合成肽的免疫小鼠制备。它们可识别受转染的哺乳动物细胞或其它表达系统中,N端或C端带标签的过表达重组蛋白。
FITC标记的兔抗人IgM,样品要求
1、客户提供制备抗体所需蛋白或多肽片段,抗原纯度>85%,数量>10mg,浓度>1mg/ml。
2、客户提供的抗原信息应包含蛋白抗原的英文全称、种属信息、GeneID或序列信息;化合物抗原应提供化学结构式、活性基团、溶解性等信息。
3、请提前说明样品来源和生物危害等情况,或其他任何特殊情况。
FITC标记的兔抗人IgM,标记一抗:HRP Biotin Gold RBITC AP FITC Cy3 Cy5 Cy5.5Cy7PEPE-Cy3PE-Cy5PE-Cy5.5PE-Cy7APCAlexa Fluor 350Alexa Fluor 488Alexa Fluor 555Alexa Fluor 594Alexa Fluor 647
研究领域:肿瘤,心血管,细胞生物,免疫学,发育生物学,染色质和核信号微生物学,细胞凋亡,信号转导,干细胞,神经生物学,生长因子和激素,糖尿病,内分泌病,转运蛋白,植物,细菌及病毒,转录调节因子,海洋生物,上皮细胞,趋化因子,结合蛋白,细胞表面分子,G蛋白偶联受体,胶原蛋白,糖蛋白,交换蛋白,细胞分化,血管内皮细胞,细胞类型标志物,内皮细胞,淋巴细胞,T-淋巴细胞,B-淋巴细胞,细胞粘附分子,肿瘤细胞生物标志物,骨髓细胞,细胞骨架,跨膜蛋白,细胞因子,自然杀伤细胞,树突状细胞标志物,脂蛋白,新陈代谢,锌指蛋白,通道蛋白,细胞周期蛋白,激酶和磷酸酶,昆虫,线粒体,环指蛋白,细胞自噬,细胞膜受体,药物及化合物,泛素,干扰素,G蛋白信号,细胞膜蛋白,Alzheimer's表观遗传学,细胞外基质,合成与降解。FITC标记的兔抗人IgM
风险提示:丁香通仅作为第三方平台,为商家信息发布提供平台空间。用户咨询产品时请注意保护个人信息及财产安全,合理判断,谨慎选购商品,商家和用户对交易行为负责。对于医疗器械类产品,请先查证核实企业经营资质和医疗器械产品注册证情况。
- 作者
- 内容
- 询问日期
文献和实验当FITC在碱性溶液中与抗体蛋白反应时,主要是蛋白质上赖氨酸的r氨基与荧光素的硫碳胺键(thiocarbmide)结合,形成FITC-蛋白质结合物,即荧光抗体或荧光结合物。一个IgG分子中有86个赖氨酸残基,一般最多能结合15~20个,一个IgG分子可结合2~8个分子的FITC,其反应式如下FITC-N=C=S + N-H2-蛋白质 → FITC-NS-C-N-H2-蛋白质常用Marsshall(1958)法标记荧光抗体,也可以根据条件采用Chadwick等标记法或Clark
ml三蒸水中即成; 方法与步骤: 根据Marshall氏法高效价的抗人球蛋白兔免疫血清,分离球蛋白。 1. 用0.15 mol/L NaCl的盐水及0.15 mol/L pH9.0的NaHCO3-Na2CO3缓冲液稀释使每毫升内含抗体10mg,缓冲液为总量的10%; 2. 将以上溶液降温至4℃,按蛋白:荧光素=50—80mg:1mg的比例加入异硫氰酸荧光素,在0—4℃下电磁搅拌12—14h; 3.用半饱和硫酸铵将标记球蛋白
5. 过柱。取透析过夜的标记物,过葡萄糖凝胶G-25或G-50柱,分离出游离荧光素,收集标记的荧光抗体进行鉴定。
技术资料暂无技术资料 索取技术资料









