相关产品推荐更多 >
万千商家帮你免费找货
0 人在求购买到急需产品
- 详细信息
- 文献和实验
- 技术资料
- 英文名:
Hut78
- 库存:
100
- 供应商:
镜像绮点
- 肿瘤类型:
皮肤白血病
- 细胞类型:
-
- ATCC Number:
-
- 品系:
细胞系
- 组织来源:
皮肤T淋巴细胞组织
- 相关疾病:
皮肤白血病
- 物种来源:
组织
- 免疫类型:
否
- 细胞形态:
淋巴母细胞
- 是否是肿瘤细胞:
是
- 器官来源:
皮肤T淋巴细胞组织
- 运输方式:
冻存/复苏
- 年限:
长期
- 生长状态:
-
- 规格:
T25
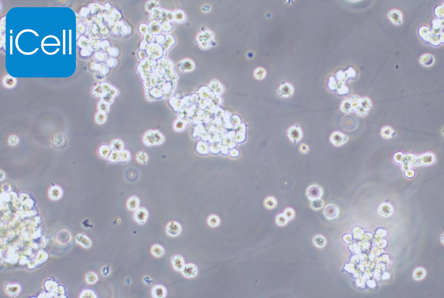
细胞介绍
H9 (ATCC HTB-176) 是HuT 78衍生出来的克隆。
细胞特性
1) 来源:男 疾病:皮肤白血病(塞扎里综合症) 细胞类型:皮肤T淋巴细胞
2) 形态:淋巴母细胞
3) 含量:>1x10^6
4) 污染:支原体、细菌、酵母和真菌检测为阴性
5) 规格:T75瓶或者1mL冻存管包装

一.培养基及培养冻存条件准备:
1) 准备IMDM(推荐:iCell-0008);优质胎牛血清,20%; P/S 1%。
2) 培养条件: 气相:空气,95%;二氧化碳,5%。 温度:37摄氏度,培养箱湿度为70%-80%。
3) 冻存液:90%完全培养基,10%DMSO,现用现配。液氮储存。
对于悬浮细胞,传代可参考以下方法:
方法一:收集细胞,1000RPM条件下离心4分钟,弃去上清液,补加1-2mL培养液后吹匀,将细胞悬液按1:2到1:5的比例分到新的含8ml培养基的新皿中或者瓶中。
方法二:可选择半数换液方式,弃去半数培养基后,将剩余细胞悬起,将细胞悬液按1:2到1:3的比例分到新的含8ml培养基的新皿中或者瓶中。
3)细胞冻存:待细胞生长状态良好时,可进行细胞冻存。贴壁细胞冻存时,弃去培养基后加入少量胰酶,细胞变圆脱落后,加入约1ml含血清的培养基后加入冻存管中,再添加10%DMSO后进行冻存。悬浮细胞冻存时,应将细胞收集,1000RPM条件下离心4分钟,少量保存上清液(防止细胞吸走),加入部分新鲜培养基,加入到冻存管中,在冻存管中加入10%DMSO后进行冻存。
业务范围



风险提示:丁香通仅作为第三方平台,为商家信息发布提供平台空间。用户咨询产品时请注意保护个人信息及财产安全,合理判断,谨慎选购商品,商家和用户对交易行为负责。对于医疗器械类产品,请先查证核实企业经营资质和医疗器械产品注册证情况。
文献和实验查询:www.icellbioscience.com/news/News/blog/1
人上皮中性粒细胞活化肽-78(ENA-78)ELISA试剂盒 说明书
人上皮中性粒细胞活化肽-78 (ENA-78)ELISA 试剂盒 ( 用于血清、血浆、细胞培养上清液和尿液生物体液内 ) 原理 本实验采用双抗体夹心 ABC-ELISA 法。用抗人 ENA-78/CXCL5 单抗包被于酶标板上,标准品和样品中的 ENA-78与单抗结合,加入生物素化的抗人 ENA-78 ,形成免疫复合物连接在板上,辣根过氧化物酶标记的 Streptavidin 与生物素结合
小鼠上皮中性粒细胞活化肽-78(ENA-78)ELISA试剂盒 说明书
上海西唐生物科技有限公司 021-55229872, 65333639 www.westang.com 小鼠上皮中性粒细胞活化肽-78 (ENA-78)ELISA 试剂盒 ( 用于血清、血浆、细胞培养上清液和尿液生物体液内 ) 原理 本实验采用双抗体夹心 ABC-ELISA 法。用抗小鼠 ENA-78/CXCL5 单抗包被于酶标板上,标准品和样品中的 ENA-78
CDw78 分子 CDw78 常用单克隆抗体或代号: Leu21,Ba抗原 主要表达细胞: B,Macsub [B] 分子质量(kDa)和结构: p67? 功 能: B细胞活化的辅助蛋白 CDw78 Deleted at 7th HLDA Workshop
技术资料










